
提高对慢性粒细胞白血病(CML)中枢神经系统急变期的认识。
回顾性分析台州市第一人民医院收治的1例CML髓外中枢神经系统急变期患者的临床资料,并进行文献复习。
该患者骨髓为CML慢性期,临床表现为反复头痛、恶心、呕吐,影像学检查示颅内多发占位,后经颅内肿块病理活组织检查及脑脊液检查确诊为CML中枢神经系统急变期。
CML中枢神经系统急变期临床罕见,发病率低,预后极差,免疫组织化学、细胞形态学、分子生物学检查有助于正确诊断。
版权归中华医学会所有。
未经授权,不得转载、摘编本刊文章,不得使用本刊的版式设计。
除非特别声明,本刊刊出的所有文章不代表中华医学会和本刊编委会的观点。
慢性粒细胞白血病(CML)急变期绝大部分表现为髓内急变,并多见于急性髓系变、急性淋系变等;而髓外急变期是一种特殊类型的CML急变期,指CML出现髓外原始细胞侵犯浸润。我们收治1例中枢神经系统急变期CML患者,现报道如下。
患者,女性,33岁,2018年7月20日因确诊CML 7年,恶心、呕吐3个月入住我科。患者7年前(2011年8月)因腹胀在当地医院检查血常规示:白细胞计数(WBC)252×109/L,B型超声示巨脾。后就诊上海长海医院,查骨髓涂片示:粒系占0.97,中晚幼粒细胞及以下阶段为主;BCR-ABL阳性,p210 62.86%;骨髓染色体核型:46,XX,t(9,22)(q34;q11),确诊为CML。患者拒绝接受伊马替尼治疗,给予羟基脲口服治疗后WBC下降,但此后WBC反复升高,最高达320×109/L,未定期复查骨髓象,均自行服用羟基脲降白细胞治疗。2014年4月开始服用伊马替尼靶向治疗,此后监测BCR-ABL融合基因始终阳性,多次检查BCR-ABL激酶突变均阴性;2016年2月在我院复查骨髓细胞学示:有核细胞数量中等,粒系占0.55,中晚幼粒系以及以下阶段为主,原始粒细胞约占0.01;BCR-ABL融合基因阳性,p210 73.53%;2016年2月开始改用达沙替尼治疗,融合基因仍始终阳性,测BCR-ABL激酶突变均阴性,2018年4月10日开始改用尼洛替尼靶向治疗。2018年4月25日开始出现恶心、呕吐,并伴有视物模糊,在我院及外院眼科多次检查增强头部磁共振成像、眼眶CT均等未见异常,考虑视神经炎予对症治疗,2018年7月13日恶心、呕吐较前加重,伴有头疼、乏力,门诊查外周血BCR-ABL p210 0.879%,为进一步治疗入院。
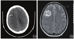
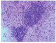
入院查体示:神志清楚,精神差,急性面容,双侧瞳孔等大等圆,对光反射灵敏,双眼视力下降,伸舌居中,口齿清楚,心肺听诊无异常,腹软,全腹未触及压痛、反跳痛,四肢肌力肌张力正常。入院血常规:WBC 5.6×109/L,中性粒细胞3.8×109/L,血红蛋白(Hb)116 g/L,血小板计数(Plt)350×109/L;凝血酶谱、生化、免疫系列、肿瘤标志物等检查均未见明显异常。头部CT示:右额叶占位,右侧脑室稍受压(图1A)。头颅磁共振平扫+增强示:右侧额颞叶多发结节,淋巴瘤?(图1B)。2018年7月26日行B型超声引导下右额占位病变活组织检查,快速冷冻可见大量幼稚细胞(图2),免疫组织化学示:CD34阳性(图3A)、CD43阳性(图3B)、CD117阳性(图3C)、MPO阳性(图3D)、CD68阴性。2018年7月27日脑脊液检查:乳酸脱氢酶274 U/L,幼稚细胞0.80,WBC 1.280×109/L,嗜碱细胞0.08。查脑脊液BCR-ABL基因阳性。确诊为CML中枢神经系统急变期。患者诊治过程中,病情持续加重、恶化,未行骨髓评估,后自动出院,电话随访死亡。






CML是一种慢性骨髓克隆增殖性疾病,95%的CML存在t(9;22)(q34;q11)染色体易位,并导致BCR-ABL融合基因阳性[1]。典型的临床表现为慢性期、加速期、急变期;急变期患者约70%表现为急性髓系变,20%~30%为急性淋系变。CML髓外急变是指髓外出现原始幼稚细胞聚集、浸润侵犯[2],无论是否有髓内急变,髓外部分一旦出现原始细胞累积侵犯,均认为CML急变[3]。临床上CML髓外急变报道较少见,主要为个例报道,如见于淋巴结、局部皮肤肿块、骨骼肿块等[4,5,6],国外报道CML髓外急变期占CML的4%~10%[7],CML患者出现髓外急变通常是血液学急变的前期,预示不良预后[8]。CML中枢神经系统急变期国内鲜见报道,国外曾报道1例首先表现为局部淋巴结侵犯,经TKI药物联合化疗治疗后,疾病进展为中枢神经系统侵犯[9]。本例患者为TKI靶向治疗中仍处于血液学缓解状态,而颅内出现急变,目前临床上鲜见相关报道。
目前CML的治疗已进入TKI靶向治疗时代,未经TKI靶向治疗的CML患者,大部分在确诊后3~5年出现急变,TKI靶向治疗可以更深层次地使细胞得到遗传学、分子生物学缓解,显著延长患者生存期[10]。本例患者确诊后前期未及时使用TKI靶向治疗,予羟基脲对症治疗,后期才使用伊马替尼、达沙替尼、尼洛替尼治疗,虽能得到血液学缓解,但遗传学、分子学检查仍始终阳性,最后疾病进展出现髓外急变。
临床工作中,CML髓外急变期十分罕见,容易被误诊为局部的原发肿瘤,特别是骨髓相关检查阴性时,更容易出现漏诊误诊,局部肿块的组织病理诊断是金标准。本例患者影像学检查提示淋巴瘤或脓肿?局部颅内占位活组织检查发现大量幼稚细胞,脑脊液检查可见大量幼稚细胞,脑脊液查BCR-ABL基因阳性,最终确诊为CML髓外急变期,遗憾的是本例患者疾病加重出院,未进一步行骨髓穿刺评估髓内病变。
目前CML髓外急变期的发病机制尚未明确,有学者认为与T315I突变相关[11],第三代药物普纳替尼能有效控制疾病,而本例患者多次行BCR-ABL激酶突变检测均未见T315I突变。CML髓外急变期目前治疗上无统一标准,主要为TKI药物靶向治疗、造血干细胞移植或联合局部放疗等[12],特别是中枢神经系统急变时,伊马替尼不能透过血脑屏障。本例患者靶向治疗过程中,出现疾病进展,监测BCR-ABL融合基因持续阳性、BCR-ABL激酶突变基因阴性,先后更换达沙替尼、尼洛替尼,融合基因仍阳性,若及时进行新药临床试验或异基因造血干细胞移植,可能预后更佳;本例患者如果及早行腰椎穿刺检查发现脑脊液幼稚细胞,并予高剂量化疗和联合鞘内化疗,可避免错过最佳治疗时机。
因此,在临床工作中,初诊的CML患者需及早进行TKI药物靶向治疗,规范监测融合基因,若缓解欠佳,及时更换二代、三代药物或行异基因造血干细胞移植控制病情,若疾病诊治过程中出现恶心、呕吐或视物模糊等颅内症状,影像学虽未见占位病变,情况许可时仍需进一步行腰椎穿刺检查评估颅内病变。
所有作者均声明不存在利益冲突





















