
提高对8p11骨髓增殖综合征(EMS)的认识。
回顾性分析天津金域医学检验实验室2020年6月收治的1例伴t(8;22)(p11;q11)BCR-FGFR1融合基因EMS患者的临床表现、实验室特征及诊治经过。
患者细胞遗传学常规染色体核型分析发现t(8;22)(p11;q11),临床特征主要为骨髓粒系增生明显、外周血白细胞计数明显升高、肝脾大等;荧光原位杂交显示FGFR1基因重排。
t(8;22)(p11;q11)染色体易位形成BCR-FGFR1融合基因,伴有该融合基因的EMS患者具有独特的实验室及临床特征。
版权归中华医学会所有。
未经授权,不得转载、摘编本刊文章,不得使用本刊的版式设计。
除非特别声明,本刊刊出的所有文章不代表中华医学会和本刊编委会的观点。
8p11骨髓增殖综合征(EMS)也被称为干细胞白血病/淋巴瘤(SCLL),是一种罕见的骨髓侵袭性血液肿瘤,与位于8p11上的髓系/淋系细胞成纤维细胞生长因子受体1(FGFR1)基因易位相关[1,2,3,4]。定位于8p11的FGFR1基因发生断裂重排,与不同染色体上的伙伴基因形成融合,干扰FGFR1正常功能并使伙伴基因的正常功能丧失,导致造血细胞发生恶性转化[2]。涉及8p11常见的易位有:t(8;13)(p11;q12)、t(8;22)(p11;q22)、t(6;8)(q27;p11)、t(8;9)(p12;q33)、t(8;17)(p11;q23)等。目前全世界报道的EMS患者不足100例,男性患者居多,可发生于任何年龄。患者常表现为外周血嗜酸性粒细胞增多,骨髓检查通常表现为白细胞增多,并呈现出类似于慢性粒细胞白血病(CML)的骨髓增殖性肿瘤(MPN),伴或不伴嗜酸性粒细胞增多。EMS患者通常在诊断后1年内进展为急性髓系白血病、急性T淋巴细胞白血病(T-ALL)、T系淋巴瘤或混合表型急性白血病[3,4,5]。我们回顾分析1例伴t(8;22)(p11;q11)BCR-FGFR1融合基因阳性EMS患者的临床病理和细胞遗传学特征,并复习相关文献。
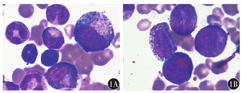
患者,男性,74岁,2020年5月6日入院,入院前3个月无诱因出现乏力、头晕、食欲减退,体质量下降约10 kg,皮肤无出血点,B型超声示脾大。血常规:白细胞计数199.43×109/L,血小板计数1 241.0×109/L,单核细胞15.46×109/L,中性粒细胞152.59×109/L,嗜酸性粒细胞15.31×109/L,嗜碱性粒细胞7.47×109/L,血红蛋白110 g/L,红细胞计数3.55×109/L,平均红细胞体积93 fl 。骨髓涂片检查(细胞学检查+细胞化学染色):考虑CML。骨髓象:增生明显活跃,粒系占0.895,形态正常,红系占0.08,形态大致正常,粒红比11.19∶1,可见嗜酸嗜碱细胞比例升高,淋巴细胞比例降低,全片可见109个巨核细胞,血小板散在成簇多见(图1)。染色体核型:46,XY,t(8;22)(p11;q11)[20](图2)。贝克曼库尔特五色流式细胞仪CHNAM-AL免疫分型(28CD)检测示:骨髓标本中可见约2.69%髓系原始细胞,粒细胞相对比例明显升高,CML可能性大。荧光原位杂交(FISH)检测:FGFR1重排检测阳性(图3)。患者未接受系统治疗,1周后要求出院,自行应用羟基脲和乌苯美司,自述白细胞计数暂能得到控制,但未提供具体数据。




注:图中箭头均显示该患者骨髓细胞G带核型存在t(8;22)(p11;q11)


注:采用成纤维细胞生长因子受体1重排探针,阴性模式为两个黄色融合信号,阳性模式为一红一绿一融合信号
t(8;22)(p11;q11)是与EMS相关的较常见易位[2]。其他变异易位FGFR1也有报道,如t(8;9)(p11;q33)、t(6;8)(q27;p11)、t(8;17)(p11;q23)等,典型的EMS患者表现为髓细胞增生、嗜酸性粒细胞增多,但无嗜碱性粒细胞增多,罕见的是伴有T细胞表型的相关淋巴瘤。除FGFR1激活外,FGFR1伙伴被认为在疾病的表型表达中具有特定作用。t(8;22)(p11;q11)患者的临床和形态学特征类似于典型BCR-ABL阳性CML,在已报道的t(8;22)(p11;q11)病例中,骨髓中也发现过量的异常淋巴细胞,8p11细胞遗传学异常均存在于髓样细胞和淋巴样细胞中,这表明它与多能干细胞和普通干细胞存在双系分化。据报道,t(6;8)(q27;p11)、t(8;9)(p12;q33)患者存在血小板减少和单核细胞增多,形态学类似于慢性粒单核细胞白血病(CMML)[13];t(8;17)(p11;q23)患者形态学也表现为骨髓增生异常综合征/骨髓增殖性疾病(MDS/MPD)的特征,存在血小板减少,巨核细胞大小和数量显著减少,单核细胞、嗜酸性细胞和嗜碱性细胞数量增加。t(8;13)(p11;q12)患者更易进展为急性T淋巴细胞白血病或非霍奇金淋巴瘤[14]。
细胞遗传学异常(在8p11位点易位)最终涉及FGFR1基因[14],位于8p11的FGFR1基因编码跨膜受体酪氨酸激酶,可被染色体易位激活。FGFR1与伙伴基因之间的融合有关,目前已鉴定出与FGFR1重排相关的8个伙伴基因。EMS如果治疗不及时,可在数月内转变为急性白血病,并且其恶性克隆无法通过常规化疗获得改善或根除,干细胞移植是目前唯一可能实现患者长期生存的治疗手段[13]。
所有作者均声明不存在利益冲突

























