
提高对成年人T细胞白血病/淋巴瘤(ATLL)的认识。
回顾性分析2例确诊为ATLL患者的临床病理特征,结合细胞形态、组织病理学、流式细胞学及临床特征综合分析,并进行相关文献复习。
2例患者均为男性,年龄分别为54岁和44岁,临床分型均为急性型。例1为白血病性表现伴皮肤多发损害,例2表现为系统性疾病,肝、脾大及全身多发淋巴结肿大伴乳酸脱氢酶升高;例1外周血可见花瓣状核细胞,例2形态学特征不典型,组织学特点为以中等大细胞为主,部分胞核不规则的异常淋巴细胞弥漫增生。免疫表型除ATLL典型表型CD2、CD3、CD4、CD25均阳性外,2例CD99均阳性,应与T淋巴母细胞白血病/淋巴瘤鉴别。1型人类T细胞白血病病毒检测结果阳性。
ATLL比较少见,在非流行区应进一步提高对该病的认识,以免漏诊、误诊。
版权归中华医学会所有。
未经授权,不得转载、摘编本刊文章,不得使用本刊的版式设计。
除非特别声明,本刊刊出的所有文章不代表中华医学会和本刊编委会的观点。
成年人T细胞白血病/淋巴瘤(ATLL)是一种少见的成熟T淋巴细胞肿瘤,发病与感染1型人类T细胞白血病病毒(HTLV-1)相关[1]。该病呈区域性流行,我国福建省东部沿海市县有HTLV-1的小流行区,本研究2例患者均来自福建省。由于国内发病例数较少,大多学者对ATLL缺乏认识,易发生误诊和漏诊。我们报道2例ATLL,结合细胞形态、组织病理学、流式细胞学及临床特征综合分析,并进行相关文献复习,以期进一步加强对ATLL的认识。
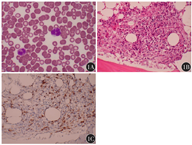
例1,男性,54岁,2019年7月以左侧咽部异物感为主诉就诊,术后病理提示左侧咽部乳头状瘤,但多次复查血常规发现白细胞计数明显升高,追问病史,患者近一年出现皮疹,近半年反复口腔溃疡,可自行愈合,1周前出现外阴溃疡。查体:左侧肩背部、右前臂、腰部、两侧臀部以及双侧足背部皮肤可见广泛片状隆起,伴脱屑,无皮肤抓痕,溃疡位于外唇、舌部。血常规示:白细胞计数20.05×109/L,淋巴细胞绝对值15.15× 109/L,血红蛋白和血小板计数正常,无高钙血症。细胞形态:外周血涂片中异型淋巴细胞("花细胞")占0.360(图1A),骨髓涂片中该类细胞占0.145;骨髓活组织检查:低倍镜下骨髓受累不明显,高倍镜下见少量中等大、形态不规则淋巴细胞散在分布(图1B),CD3染色显示其分布模式(图1C)。流式细胞学:以CD45/CD4设门,发现一群CD4阳性的异常T细胞大部分CD45表达缺失(红色细胞群),占有核细胞的59.78%,表达cCD3、CD2、CD5,部分表达CD25、CD7和CD99,mCD3部分表达缺失,不表达CD8、CD1a、CD34、TdT(图2)。血清学检查示HTLV-1/HTLV-2抗体阳性。




例2,男性,44岁,2021年6月因发现颈部肿物10 d就诊,无疼痛、发热及红肿,门诊考虑反应性改变,未予特殊处置。后患者自行口服消炎药,次日出现皮疹,并进行性增多,呈全身性分布,以躯干为主,患者再次入院,住院期间颈部肿物逐渐增多增大。血常规示:白细胞计数42.5×109/L,淋巴细胞绝对值22.48×109/L,血红蛋白和血小板计数正常,乳酸脱氢酶(LDH)升高,无高钙血症。PET-CT示:肝、脾大及全身多发淋巴结肿大,考虑淋巴瘤多发浸润可能。细胞形态:骨髓涂片可见分类不明细胞,占0.375,胞体中等偏大,胞质深蓝色,易见空泡,核大而不规则,可见核仁;外周血涂片中该类细胞占0.27(图3A),考虑为淋巴瘤细胞。骨髓活组织检查:可见少量核形不规则淋巴细胞散在分布。流式细胞学:可见一群异常T细胞,占有核细胞的15%,表达CD3dim、CD4、CD2、CD5、CD99,不表达CD7、CD8和TdT,考虑为异常成熟T淋巴细胞可能性大。行右侧锁骨上淋巴结穿刺活组织检查,组织形态学低倍镜下见致密、异常淋巴细胞弥漫增生,高倍镜下异常细胞以中等大细胞为主,少量胞体偏大细胞散在分布,胞质嗜碱性,部分胞核不规则,染色质偏细致,无特征性分叶状花瓣核细胞,背景中炎性细胞稀少,可见较多核碎屑及星空现象(图3B);免疫组织化学:CD3、CD4和CD25阳性(图3C、图3D、图3E),CD30、TCL1阴性,Ki-67阳性指数约80%(图3F)。HTLV-1前病毒基因阳性。


ATLL典型表现为HTLV-1阳性、外周血出现特征性花瓣核淋巴细胞及经组织学和(或)细胞学证实的成熟表型T细胞淋巴瘤[2]。临床上分为4种亚型:急性型、淋巴瘤样型、慢性型和冒烟型,最常见的类型是以白血病期为特征的急性型[3,4,5,6,7,8]。本组报道的2例均来自福建省沿海HTLV-1小流行区,参照分型标准,2例均为急性型,外周血表现为白细胞和淋巴细胞绝对值升高,例1为白血病性表现伴皮肤多发损害,例2为典型的急性型表现,肝、脾大及全身多发淋巴结肿大伴LDH升高。
外周血特征性细胞的发现对于ATLL的诊断有重要意义,形态学表现为细胞呈多形性,胞质很少,胞核有深切迹或呈多分叶状、花瓣样,通常无明显核仁。然而,ATLL的细胞形态非常多样,吴正军等[9]报道的12例ATLL中有3例ATLL细胞形态不典型。本组2例均行外周血和骨髓形态学检查,均检出异型淋巴细胞,例1形态典型,可见特征性花瓣核细胞,例2细胞形态不典型。组织学上,ATLL淋巴结受累通常表现为弥漫性破坏,典型的肿瘤性淋巴细胞呈中等至大,常有明显的核多形性,可见不同比例的具有转化性核和疏松染色质的母细胞样细胞,例2组织学与细胞学一致,异型性较小,未见明显的核多形性。ATLL骨髓受累通常不明显,侵犯程度低于预期并且与淋巴细胞增生的程度不相符,陈燕坪等[10]报道了4例ATLL中仅1例骨髓可见斑片状不典型淋巴细胞浸润,本组2例骨髓受累亦不明显,仅少量不典型淋巴细胞呈间质性散在分布。
ATLL起源于外周成熟CD4阳性T细胞,典型免疫表型为CD2、CD3、CD5、CD4均阳性,通常CD7阴性,不表达细胞毒分子(granzyme B、perforin、TIA1),几乎所有病例都表达CD25。本组2例与典型ATLL免疫表型基本相符。值得注意的是,例1肿瘤细胞大部分CD45表达缺失,mCD3部分表达缺失,表达CD99。CD45表达减弱或缺失在不成熟前体细胞肿瘤中常见,而在成熟淋巴瘤中少见,CD99在造血系统中主要表达于不成熟的淋系和髓系前体细胞[11],尤其是在胸腺中不成熟的前体T细胞,而在T细胞成熟过程中逐渐表达丢失,当原始细胞标记CD34、TdT阴性时,CD99常作为T淋巴母细胞白血病/淋巴瘤(T-ALL/LBL)的诊断补充,因此本组例1仅依据流式表型最初考虑为T-ALL。Lin等[12]报道了1例CD3+ CD4- CD8- CD25+ ATLL表达CD99,因细胞形态呈单一母细胞样,最初被误诊为T-LBL。CD99在ATLL中的表达并不少见,Lin等[12]回顾病例发现6例ATLL中有4例表达,本组2例CD99均阳性。Juncà等[13]报道了1例ATLL表型为cCD3+ mCD3- CD4- CD8- CD25+,且CD1a阳性,需与T-ALL鉴别,而CD1a在皮质T细胞中表达,且CD4、CD8双阳性,此病例CD4、CD8双阴性且外周血出现特征性"花细胞",HTLV-1检测阳性,最终诊断为ATLL。因此,ATLL可出现T-ALL/LBL表型特点,应予以鉴别。
ATLL病例少见,容易发生误诊或漏诊,应与以下疾病鉴别诊断。(1)T-ALL/LBL:因ATLL细胞形态的多样性及免疫表型的不典型,当CD34、CD117原始标记均阴性,仅CD99阳性时,需考虑到ATLL,尤其在HTLV-1非流行区,应进行CD25表型检测,同时行HTLV前病毒基因检测,与T-ALL/LBL鉴别。(2)T细胞幼淋巴细胞白血病(T-PLL):T-PLL亦常出现白细胞计数升高伴有全身系统性症状,典型T-PLL细胞呈中等大小,缺乏ATLL细胞明显的多形性,有明显的中位核仁,骨髓通常广泛浸润,取代正常骨髓结构,肿瘤细胞特征性表达TCL1。本组中的例2最初考虑为T-PLL,但细胞形态不符合,且TCL1阴性。(3)蕈样霉菌病(MF):约半数以上ATLL伴有皮肤损害,尤其是MF或干燥综合征(SS)样的皮疹,MF的肿瘤细胞亲表皮,核呈"脑回形",通常不表达CD25,且患者无HTLV感染。(4)ALK阴性间变性大细胞淋巴瘤(ALK- ALCL):少数具有间变形态的ATLL可表达CD30,ALK- ALCL肿瘤细胞呈黏附性生长,表达EMA和细胞毒分子,无HTLV感染。(5)外周T细胞淋巴瘤,非特指型(PTCL-NOS):PTCL-NOS是排除性的诊断,本组例2因流式检测提示CD25阴性,最初诊断为PTCL-NOS,但HTLV-1前病毒基因阳性,最终确诊为ATLL,后经组织学检测证实CD25表达阳性。
综上所述,ATLL的正确诊断不能基于单一类型的数据,而应通过对疾病进行多方面(临床特征、形态学、免疫表型和分子生物学)的综合分析和全面回顾。在临床工作中对来自HTLV-1小流行区的病例应警惕ATLL的可能,对T细胞淋巴瘤,尤其是CD4阳性T细胞淋巴瘤进行诊断与分型时,应常规进行CD25染色并进行全面的免疫表型检测(包括TdT、CD99、CD30、ALK、TIA1等),密切关注外周血和骨髓表现,同时进行HTLV检测。对于以白血病形式为主的ATLL,骨髓浸润可能不明显,通过TCR基因重排检测辅助诊断也是必要的。
所有作者均声明不存在利益冲突

























