
探讨NK/T细胞淋巴瘤合并噬血细胞综合征(HPS)的临床特点及治疗方法。
回顾性分析佛山复星禅诚医院2021年10月收治的1例NK/T细胞淋巴瘤合并HPS患者的临床资料,并复习相关文献。
患者为71岁女性,因高热入院,合并重度三系血细胞减少、凝血障碍、铁蛋白升高,确诊HPS。骨髓活组织检查发现NK/T细胞淋巴瘤骨髓浸润,发现隐匿的淋巴瘤。治疗过程中出现多重感染等并发症。使用芦可替尼后高热迅速改善,但凝血功能障碍和血细胞三系减少无改善;采用依托泊苷化疗后血象、凝血功能恢复。
HPS可能合并隐匿的淋巴瘤。芦可替尼可以缓解HPS的相关症状,但不能逆转疾病进程。
版权归中华医学会所有。
未经授权,不得转载、摘编本刊文章,不得使用本刊的版式设计。
除非特别声明,本刊刊出的所有文章不代表中华医学会和本刊编委会的观点。
噬血细胞性淋巴组织细胞增多症又称噬血细胞综合征(HPS),是一种由遗传性或获得性免疫功能异常导致的以病理性炎症反应为主要特征的临床综合征。主要由淋巴细胞、单核细胞和吞噬细胞系统异常激活、增殖,分泌大量炎性细胞因子,引起的一系列炎症反应。临床以持续性发热、肝脾大、全血细胞减少以及骨髓、肝、脾、淋巴结组织发现噬血现象为主要特征。由于其临床表现错综复杂,疾病进展迅速,临床诊断容易延误,病死率较高。现将我院收治的1例典型的NK/T细胞淋巴瘤合并HPS患者资料进行总结,并结合文献进行复习。
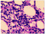
患者,女性,71岁,因反复发热1周,加重2 d于2021年10月20日入我院。患者入院时持续高热,伴畏寒、乏力、活动后气促、牙龈出血、腹部闷胀,并呕吐1次胃内容物。既往持续鼻塞1年余,未发现肿瘤病灶。入院查体:多部位散在皮肤瘀斑,无浅表淋巴结肿大,肝脾不大。血常规示:白细胞计数0.3×109/L,血红蛋白85 g/L,血小板计数27×109/L;骨髓形态学:淋巴细胞0.463,单核细胞0.78,中性粒细胞0.447;网织红细胞0.011%;脑钠肽(BNP)33.2 pg/ml,活化部分凝血活酶时间59.9 s,纤维蛋白原0.68 g/L,凝血酶原时间21.2 s,凝血酶时间36.3 s;血清铁蛋白>100 000 ng/ml;清蛋白28.6 g/L,三酰甘油2.29 mmol/L,丙氨酸氨基转移酶(ALT)49 U/L,天冬氨酸氨基转移酶(AST)167 U/L,乙型肝炎病毒表面抗原3 942 COI,乙型肝炎病毒定量<1.0×102 U/ml;降钙素原0.961 ng/ml;乳酸脱氢酶(LDH)4 974 U/L。先后3次骨髓穿刺涂片均稀释。11月11日骨髓活组织检查:间质可见一类细胞增生,散在及灶状分别,胞体中等偏大,胞质略丰富,核不规则,染色质深,偶见核仁(图1);免疫组织化学检查:CD3、CD2、CD8、TIA、GreB阳性,CD7部分阳性,CD5丢失,ALK、CXCL-13、CD10、程序性死亡受体1(PD-1)、CD4、CD15、CD56、CD57、CD30、CD25、CD19、CD20、MPO均阴性,Ki-67阳性指数约80%,CD61巨核细胞阳性,EBER原位杂交阳性。考虑NK/T细胞淋巴瘤可能。入院后给予输注纤维蛋白原、抗感染等对症治疗。10月22日考虑HPS可能,开始给予地塞米松15 mg/d,2周后逐渐减量。10月24日NK细胞杀伤活性6.15%(正常>15%),白细胞介素10(IL-10)2 433 pg/ml(正常<4.5 pg/ml),肿瘤坏死因子γ(TNF-γ)22.29(正常<4.43),可溶性CD25(sCD25)1 482.4 U/ml(正常13.1~43.7 U/ml),EB病毒DNA(EBV-DNA)4.62×106拷贝/ml。突变基因检测均未见有明确意义的一级突变。由于单纯使用激素病情无明显改善,患者家属拒绝化疗,10月26日开始给予芦可替尼10 mg,2次/d治疗,用药2次体温恢复正常。10月28日LDH显著下降至2 155 U/L。ALT、AST也迅速下降至接近正常,但持续严重凝血功能障碍和持续重度血细胞三系减少无改善,即予HLH-94方案:依托泊苷150 mg/m2,每周2次,共4次。10月30日口腔白色念珠菌、琼氏不动杆菌感染,抗感染治疗后感染消失。复查IL-10 772 pg/ml(正常<4.5 pg/ml),TNF-γ 13.56(正常<4.43),sCD25 639.4 U/ml(正常13.1~43.7 U/ml),较前明显下降。11月8日凝血功能和纤维蛋白原基本恢复正常,但仍重度三系血细胞减少,患者再次并发肺部铜绿假单胞菌和翠绿色链球菌感染,抗感染治疗后感染消失。患者一直以来的鼻塞此时明显缓解,结合骨髓病理结果,拟诊断合并NK/T细胞淋巴瘤,鼻塞缓解与依托泊苷的使用有关。11月14日患者并发耶氏肺孢子菌病,复方磺胺嘧啶治疗后好转。11月18日患者再次真菌感染,泊沙康唑治疗后缓解。当日血白细胞计数恢复正常,血小板计数开始回升至36×109/L,EBV-DNA降至1.61×103拷贝/ml,血清铁蛋白7 715 ng/ml。凝血功能维持正常,三酰甘油0.92 mmol/L,LDH进一步降至303 U/L。由于持续重度骨髓抑制及感染,仅给予4次依托泊苷治疗,此时患者上颚口腔黏膜开始出现病损,涂片及培养未发现病原体,拟诊断淋巴瘤病灶可能。同时髂后上棘穿刺部位出现骨性包块隆起,因患者家属放弃进一步治疗,签字出院,1周后死亡。


HPS按照触发因素不同,分为原发性和继发性。原发性HPS的基因改变涉及免疫功能缺陷,成人HPS患者多为继发,往往因感染、肿瘤等多种因素诱发,很多找不到明确的基因缺陷。既往研究显示T细胞(特别是CD8+ T细胞)是HPS的关键上游驱动因素[1]。炎症反应中T细胞分泌的干扰素(IFN)-γ是巨噬细胞的经典激活剂,IFN-γ直接作用于巨噬细胞,特别是肝脾的巨噬细胞,通过STAT1和IRF-1信号机制激活巨噬细胞,诱导噬血反应,导致血细胞减少[2,3]。
无论儿童还是成年患者,感染相关HPS为最常见的类型,其中又以EB病毒(EBV)感染为主。因此对怀疑发生HPS的成年患者,在诊断过程中查找EBV感染对寻找HPS的诱发因素具有重要意义。恶性肿瘤相关HPS在成年人HPS中的发生率也较高,特别是淋巴瘤,并且以T细胞来源多见,而淋巴瘤的发生又与EBV相关,因此对于EBV阳性的患者,需要寻找潜在可能不典型的淋巴瘤。抗HPS的治疗包括激素和依托泊苷可能导致潜在淋巴瘤病灶缩小和消失,这些临床中的矛盾需要个体化权衡。本例患者治疗初期病情危重,限制了进行部分检查,初诊时淋巴瘤表现不典型,浅表淋巴结和肝脾没有明显肿大,即使是可疑的鼻咽部病灶,发病前持续1年多鼻塞,曾经先后在2家医院的耳鼻喉科就诊并行活组织检查都未发现病变。因此对于这类患者,在使用激素或依托泊苷前尽可能完善PET-CT和活组织检查。
HPS和败血症或多器官功能障碍综合征的临床表现常容易混淆,包括持续发热,伴有明显的细胞减少,尤其是血小板减少。低纤维蛋白原血症可能有助于区分HPS和败血症[4]。肝脾大常见于HPS,但在败血症患者中不常见,有助于诊断[5]。骨髓中的噬血细胞可提示HPS,但在其他非HPS的危重患者中也可以发现噬血现象。本例患者曾经3次骨髓穿刺涂片检查均显示稀释,考虑与噬血导致的重度骨髓增生低下有关。
HPS患者经常发生低纤维蛋白原血症和凝血功能障碍,原因尚不完全清楚,现有研究认为可能与弥散性血管内凝血和(或)纤溶亢进有关,特别是原发的纤溶亢进。研究显示HPS患者活化的巨噬细胞可以释放纤溶酶原激活剂[6],导致血浆组织型纤溶酶原激活物(tPA)和纤溶酶-抗纤溶酶复合物水平增加,HPS期间纤溶系统过度激活。
对于HPS的治疗,指南推荐使用激素和依托泊苷。本例患者单纯使用糖皮质激素控制效果不佳。芦可替尼作为JAK抑制剂,可以降低CD8+ T细胞的活化,减少炎症因子的释放,逆转高炎症状态。Albeituni等[7]研究显示芦可替尼可以降低TNF、IL-6、粒细胞集落刺激因子(G-CSF)等炎症因子的水平,通过阻断IFN-γ依赖的信号通路可以阻断炎症相关贫血,通过阻断非IFN-γ通路可以减少T细胞和中性粒细胞数量并减轻它们在肝脾的聚集,抑制高细胞因子血症和器官肿大。Wang等[8]使用芦可替尼单独或联合糖皮质激素治疗34例难治、复发HPS患者,总有效率为73.5%,完全缓解率为14.7%,部分缓解率为58.8%,总生存率为54.0%。在开始使用芦可替尼的24 h内,30例(88%)患者发热消失,认为芦可替尼用于HPS安全有效,但缓解深度不足,需要联合化疗。Zhou等[9]对比HLH-94联合或不联合芦可替尼方案治疗70例淋巴瘤相关HPS患者,发现联合芦可替尼可以快速缓解症状,延长总生存时间,但由于芦可替尼不能控制淋巴瘤本身的发展,联合化疗才有可能控制疾病发展。依托泊苷有助于清除活化的T细胞,对抑制炎症因子产生有重要作用。本例患者给予芦可替尼后高热症状迅速缓解,但凝血和血细胞减少都未改善,桥接化疗后凝血和血细胞减少才获得改善,EBV滴度迅速下降。
由于JAK-STAT通路是正常造血的重要通路,芦可替尼可导致血细胞减少,特别是贫血和血小板减少。同时芦可替尼也会对免疫功能产生抑制。本例患者在治疗中由于疾病本身导致持续重度粒细胞缺乏、长时间使用大剂量地塞米松、淋巴瘤本身的免疫缺陷、芦可替尼潜在的骨髓抑制作用以及化疗加重了骨髓抑制,因此先后并发了白色念珠菌、曲霉菌、卡氏肺孢子菌病及多种细菌的感染,导致HPS患者病死率增高。HPS治疗中芦可替尼的具体使用方式、依托泊苷的化疗剂量和疗程都值得进一步研究。
所有作者均声明不存在利益冲突





















