
探讨维布妥昔单抗(BV)联合CHP(环磷酰胺、表柔比星、泼尼松)方案治疗间变性淋巴瘤激酶(ALK)阳性的原发皮肤间变大细胞淋巴瘤(PC-ALCL)的效果及安全性。
回顾性分析山东大学齐鲁医院2021年6月收治的1例ALK阳性PC-ALCL患者的诊疗过程,并复习相关文献。
该患者接受CHOP方案治疗1个疗程,BV联合CHP方案化疗5个疗程,疗效良好,创面愈合,且未出现严重不良反应。
成年ALK阳性PC-ALCL患者表现出很高的侵袭性,可考虑早期积极干预。BV联合CHP方案治疗ALK阳性PC-ALCL安全有效。
版权归中华医学会所有。
未经授权,不得转载、摘编本刊文章,不得使用本刊的版式设计。
除非特别声明,本刊刊出的所有文章不代表中华医学会和本刊编委会的观点。
原发皮肤的间变大细胞淋巴瘤(PC-ALCL)是一种原发于皮肤的T细胞淋巴瘤,临床较为罕见[1]。间变性淋巴瘤激酶(ALK)多表达于系统型间变大细胞淋巴瘤(S-ALCL),ALK阳性PC-ALCL罕见。现对我院诊治的1例ALK阳性PC-ALCL患者进行报道并复习相关文献。
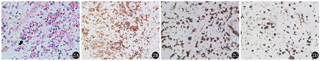
患者,男性,41岁,2021年4月右侧大腿外侧皮肤多发红斑丘疹,伴瘙痒(图1A),于外院诊为"皮囊炎"。经火疗、服用中药后效果不佳,丘疹扩大破溃,中间可见脓性分泌物,于当地医院行脓肿切开引流术后创面不愈合。2021年6月29日就诊于我院。查体:右侧大腿外侧见2 cm×3 cm创面,深达深筋膜层,创面覆有脓性分泌物,周围红肿,触之疼痛(图1B),于局部麻醉下行右下肢清创和局部皮瓣转移修复术,术后创面不愈合,外用表皮生长因子,创面扩大至3 cm×4 cm。8月27日行右下肢皮损组织活组织检查,病理结果提示水肿组织间查见显著异型细胞(图2A)。免疫组织化学检查:ALK(图2B)、CD30(图2C)、CD4、CD2均阳性,TIA-1部分阳性,S-100、SOX-10、CD68、CD3、CD20、SMA、MyoD1、Desmin、CK、CD1a均阴性,Ki-67大细胞增殖指数高(图2D)。考虑为原发于皮肤的CD30阳性T细胞增生性病变,符合PC-ALCL。PET-CT提示:右股根部外侧术区局部皮肤局限性增厚且高度摄取氟代脱氧葡萄糖(FDG),考虑肿瘤残留可能大;全身多骨骼/髓淋巴瘤浸润不除外。




2021年9月患者在外院就诊,乳酸脱氢酶(LDH)正常,EBV-DNA未检出,骨髓细胞学未见明显异常。确诊为非霍奇金淋巴瘤ALK阳性间变大细胞淋巴瘤(ALCL)T2aN0M0,年龄校正的国际预后评分(aaIPI)评分0~1分,给予1个周期CHOP(环磷酰胺、长春新碱、多柔比星、泼尼松)方案化疗,疗效欠佳,创口先缩小后增大至7.5 cm×7.5 cm(图1C),期间多次就诊于我院清创换药,创面难以愈合。患者右腹股沟区触及新发肿物,抗炎后自行消退,考虑炎症反应性淋巴结肿大。分别于2021年10月22日、11月12日给予2、3个周期维布妥昔单抗(BV)联合CHP(BV 1.8 mg/kg,142 mg第1天;环磷酰胺1.5 g第1天;表柔比星150 mg第1天、泼尼松100 mg第1天至第5天)方案治疗,2个周期后PET-CT评价疗效为部分代谢缓解。2021年12月8日至2022年1月23日患者于我院行第4~6个周期BV联合CHP方案治疗,6个周期治疗后创面愈合(图1D)。建议再行2个周期化疗,患者自感无不适后,拒绝继续治疗,现已失访。
ALCL是一种表达CD30的外周T细胞淋巴瘤(PTCL),占PTCL和NK/T细胞淋巴瘤(NKTCL)的13.8%[1],亚洲人群中男女发病率分别为3.8/100万人年、2/100万人年[2]。ALCL典型的形态学表现为细胞体积大,中等核质比,偏心性马蹄形或肾形细胞核,在胞膜和高尔基区均匀高表达CD30染色。PC-ALCL好发于成年人,中位发病年龄约为60岁[3],男性多见,大多表现为孤立性结节,10%~42%的病灶可部分或完全自发消退,但高达39%的患者治疗后可复发,主要为皮肤复发,皮外受累为10%~15%。但PC-ALCL预后良好,5年总生存(OS)率为90%[1]。S-ALCL是ALCL最常见的类型,多以淋巴结肿大为首发表现,结外器官受累可见于皮肤、软组织、肝脏、骨骼和骨髓等,疾病呈侵袭性进展,预后较PC-ALCL差。由于不同的临床特点和预后,二者治疗方案有很大差异。2021年美国国家综合癌症网络(NCCN)指南推荐S-ALCL的一线治疗方案为CHOPE±放疗[4],而PC-ALCL需根据分级制订治疗方案。对于孤立或局部病灶,推荐手术切除±放疗或仅放疗,广泛病灶可考虑单药化疗,多药化疗用于皮肤外侵犯或病灶进展迅速时[4,5]。
ALK是一种酪氨酸激酶受体,在ALCL中首次被发现,并因此命名。根据是否表达ALK蛋白,S-ALCL又可进一步分为ALK阴性ALCL和ALK阳性ALCL。55%的S-ALCL患者表达ALK蛋白,其主要生物学特征是染色体易位形成ALK融合基因。经典型融合基因是t(2;5)(p23;q35)形成的骨髓增殖性肿瘤(MPN)-ALK,在细胞质和细胞核中表达;约15%的ALK阳性ALCL仅在细胞质中表达MPN-ALK以外的融合基因[6]。95%的儿童和青少年S-ALCL患者表达ALK蛋白,中位年龄为30岁,明显低于ALK阴性患者。ALK阳性是S-ALCL预后较好的标志,其5年OS率为79.8%,显著高于阴性患者的32.9%[7]。皮肤中检测到ALK蛋白通常认为是S-ALCL累及皮肤的标志,由于S-ALCL和PC-ALCL形态学特征相似,仅根据形态学特点无法鉴别,因此所有PC-ALCL患者都应行全身检查,以排除S-ALCL。
目前尚不清楚ALK蛋白的表达及类型对于PC-ALCL病程和预后的影响。在PubMed、万方数据库、中国知网数据库中进行检索,删除重复及诊断不明确的病例,共纳入24篇[8,9,10,11,12,13,14,15,16,17,18,19,20,21,22,23,24,25,26,27,28,29,30,31],35例是关于ALK阳性PC-ALCL文献报道。总结有限的ALK阳性PC-ALCL病例报道发现,患者中位年龄为26.5岁,低于PC-ALCL中位年龄60岁,表明ALK蛋白更常在年轻患者中表达。22.9%(8/35)患者为多发病灶,且较孤立病灶更易复发[HR=5.8(1.3,26.7),P=0.024];54.2%(13/24)患者表达经典融合蛋白MPN-ALK,ALK的类型对PC-ALCL的预后差异无统计学意义。经过28个月(12~46.5个月)中位随访,5.7%(2/35)患者病灶自发消退,31.4%(11/35)复发,14.3%(5/35)进展为多系统疾病,11.4%(4/35)因疾病死亡,这与PC-ALCL病程相似。然而成年(≥18岁)患者较儿童(<18岁)疾病复发率和进展率更高,6.3%(1/16)儿童复发且进展为S-ALCL,死于疾病进展;52.6%(10/19)成年患者复发,其中21.1%(4/19)进展为S-ALCL,15.8%(3/19)死于疾病进展。目前对于ALK阳性PC-ALCL治疗方法各异,结果和预后也各不相同。儿童患者的惰性病程和预后与PC-ALCL患者总体相似,切除或放疗可取得良好的疗效,但成年患者表现出了更高的侵袭性,可考虑早期积极干预。靶向药物的问世改善了患者的临床预后,如克唑替尼,其对应靶点为ALK、HGDR、ROS1、RON。有研究表明口服克唑替尼在复发难治ALK阳性S-ALCL患者中具有很好的疗效[32],有望应用于ALK阳性PC-ALCL患者。BV是一种靶向CD30的抗体药物偶联物,被证明其客观缓解和无进展生存均优于甲氨蝶呤和贝沙罗汀[33],已获批用于复发难治ALCL的二线治疗。本例患者病理形态学符合ALCL,免疫组织化学提示ALK阳性,经PET-CT及骨髓细胞学检查后确诊为ALK阳性的PC-ALCL,鉴于成年患者具有更高的侵袭性,且病灶感染,反复清创后难以愈合,为避免化疗所致免疫力低下,遂给予CHOP方案治疗。患者病灶进展迅速,故采用多药化疗方案,给予BV+CHP方案多个周期治疗后创口愈合。鉴于PC-ALCL的高复发率,仍需行长期随访才能评估疗效。
综上所述,皮肤淋巴瘤罕见,易被误诊,需提高对该类疾病的认识以实现早期诊断。病理检查是诊断皮肤淋巴瘤的金标准,然而S-ALCL和PC-ALCL形态学特征相似,仅根据病理结果无法鉴别,因此ALCL患者均应行全身影像学检查以明确诊断。ALK蛋白的表达对PC-ALCL患者的诊断和治疗提出了挑战,然而由于ALK蛋白在PC-ALCL中的表达罕见,目前少有病例报道。ALK阳性PC-ALCL患者的预后及其理想治疗方法仍需进一步探索。
所有作者均声明不存在利益冲突





















