
版权归中华医学会所有。
未经授权,不得转载、摘编本刊文章,不得使用本刊的版式设计。
除非特别声明,本刊刊出的所有文章不代表中华医学会和本刊编委会的观点。
腹部包块作为腹部外科的常见疑难病例,常因病因复杂、性质不明而为诊断带来困难,多数病例需及时剖腹探查或病理学检查方能确诊。笔者在临床上遇到1例腹腔包块致反复腹痛及发热,患者多次就诊,经抗感染治疗后病情反复,最终通过剖腹探查得以确诊,详细报道如下。
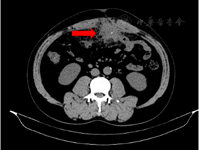
患者,男性,55岁,因"反复腹痛伴低热2个月余,加重1周"于2016年10月9日入院。患者于半年前因胆总管结石、胆囊结石先后行内镜下逆行胰胆管造影+括约肌切开术、腹腔镜胆囊切除术(Laparoscopic cholecystectomy, LC),术后恢复良好出院。2个多月前开始感觉中腹部疼痛,脐周偏左明显,伴有低热38 ℃左右,经抗感染等对症支持治疗后减轻,而后反复发作,曾在多家医院诊治,病情反复。入院查体:体温37.9 ℃,腹平软,脐下1.0 cm、剑突下1.0 cm、右锁中线肋缘下0.5 cm、右锁中线平脐水平0.5 cm手术切口均愈合良好,脐周皮肤稍发红,未见皮疹、胃肠型及蠕动波,脐周偏左压痛明显,无反跳痛、肌紧张,脐周偏左可触及大小约4 cm×5 cm包块,质地硬,移动度可,边界清楚,明显触痛。化验示肝功能、肾功能、电解质、大小便常规、凝血功能、降钙素原均未见异常。血常规示:白细胞16.07×109 /L,中性粒细胞比率85.1%,腹部增强CT提示中腹部脐水平团块状密度增高伴条状致密影,大小约2.7 cm×4.1 cm,炎性包块可能性大,与周围肠管粘连(见封四,图1)。经胃肠外科会诊后,术前诊断考虑中腹部占位:炎性包块可能性大,胆囊切除术后腹腔脓肿待排。鉴于患者反复发热、腹痛,保守治疗后病情反复,建议抗感染控制急性炎症后予以剖腹探查以明确诊断并彻底清创引流。患者同意手术治疗,经充分抗感染治疗后患者未发热,血常规示:白细胞8.76×109 /L,中性粒细胞比率69.9%,脐周疼痛症状得到缓解。


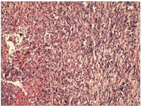
完善术前准备,予以在全麻下行剖腹探查术,术中见:腹腔内无积液,肝、胃、十二指肠未见异常,右上腹轻度粘连,中腹部距离屈氏韧带约40 cm处可见一大小约9 cm×7 cm×5 cm包块,与腹壁、大网膜、回肠及横结肠粘连严重,锐钝性相结合分离包块与周围的粘连后发现肿块下缘与空肠形成内瘘,瘘口旁坏死组织内可见一长约1 cm质硬条状物,形似鱼骨刺,考虑质硬条状物刺破肠管形成炎性包块,因瘘口周围肠管炎症水肿较重,遂术中即行包块切除+病变段肠管切除+空肠侧侧吻合术,术后恢复良好,治愈出院。病理检查:包块内增生性纤维胶原组织伴多量浆细胞、嗜酸性粒细胞浸润,部分区出血、坏死,大量中性粒细胞浸润,考虑炎症性病变(见封四,图2)。


LC术因其创伤小、住院时间短、患者满意度高等因素已成为胆囊结石的首选治疗方式,然而和传统开腹胆囊切除术相比,LC又增加了胆道损伤、结石残留等并发症的发生率[1]。LC术后结石残留大多于患者无害,不到0.3%的患者会出现残留结石所致危害,其中最常见危害为腹腔脓肿形成,平均形成时间为术后4个月[1],正与本病例术后发病时间吻合。
本例患者行LC术后不到4个月即出现反复腹痛伴低热,临床表现结合各项检查提示腹腔炎性包块,临床医师常考虑术后腹腔脓肿形成,可能原因是术后结石残留致腹腔脓肿形成或手术器具纱布残留腹腔致异物肉芽肿或纱布瘤形成[1,2,3,4],亦或是LC手术时器械穿破脏器致"隐匿性"肠瘘并被网膜包裹、脓肿形成。此例患者出院后再度出现腹痛伴发热,就诊于多家大型医院,并一度质疑手术成败,先后3次入住中南大学湘雅医学院附属株洲医院肝胆胰外科,但均因患者要求保守治疗而未行腹腔探查手术,最终因保守治疗后病情反复而同意剖腹探查才得以得出确切的诊断及有效的治疗。最终结合术中所见及病理结果明确诊断为鱼刺致小肠穿孔包裹、炎性包块形成,与既往腹腔镜手术无关。发病及延迟确诊原因可能是:(1)胆道术后患者消化功能下降甚至紊乱,部分小肠壁与腹壁粘连而固定,进食鱼类食物后不易消化,鱼刺进入小肠并逐渐穿破空肠,发生"隐匿性"肠瘘并被网膜包裹、炎性包块形成;(2)"鱼刺"吞食史不详:患者不能提供鱼刺详细吞食史且鱼类为南方常见食物,因而诊断上具有较大难度。
通过此病例笔者有如下体会:(1)临床上若遇到术后近期(<6个月)即出现的腹腔炎性包块,应仔细询问饮食情况,有无"异物"吞食史;查体时注意腹部包块大小、质地、活动度、触动等,完善增强CT检查以排除恶性肿瘤可能;(2)治疗上先采取积极抗感染等对症支持治疗,定期复查CT,若肿块明显缩小则可继续观察;若保守治疗后病情反复、肿块不消,或有症状提示肠穿孔,则应当机立断剖腹探查以明确诊断并手术治疗;(3)注重医患沟通技巧,详细耐心解释病情,告知腹腔炎性包块的可能种种原因及治疗方案,不规避问题也不激化矛盾,及时有效解决患者病痛。





















