
总结腹腔脏器外淋巴管瘤的CT、MRI及18氟-氟代脱氧葡萄糖(18F-FDG)PET/CT检查影像学特征。
采用回顾性横断面研究方法。收集2009年1月至2015年12月宁波大学医学院附属医院收治的11例和第二军医大学附属长海医院收治的5例腹腔脏器外淋巴管瘤患者的临床资料。患者行CT、MRI、18F-FDG PET/CT检查。观察指标:(1)影像学检查情况。(2)CT和MRI检查影像学特征。(3)18F-FDG PET/CT检查影像学特征。(4)治疗及随访情况。全组患者完善术前相关检查后,遵循患者及家属意愿行手术治疗,术后行病理学检查。采用门诊和电话方式进行随访,术后每6~12个月随访1次。随访内容为淋巴管瘤复发情况。随访时间截至2016年7月。
(1)影像学检查情况:16例患者中,行CT平扫+增强扫描检查12例;MRI平扫+增强扫描检查5例,MRI平扫2例;18F-FDG PET/CT扫描检查1例。其中1例同时行CT、MRI和PET/CT检查,2例同时行CT和MRI检查。(2)CT和MRI检查影像学特征:16例患者中,①淋巴管瘤的分型:单房型淋巴管瘤6例,多房型淋巴管瘤9例,淋巴管瘤病1例。②淋巴管瘤的部位: 9例淋巴管瘤位于一个区域内(单房型淋巴管瘤6例、多房型淋巴管瘤3例),7例淋巴管瘤累及2个及以上区域(多房型淋巴管瘤6例、淋巴管瘤病1例)。③淋巴管瘤的直径:16例患者病变直径为4~25 cm,平均直径为12 cm,其中9例淋巴管瘤直径>10 cm。④淋巴管瘤的形状: 3例淋巴管瘤形态规则,呈类圆形改变;13例淋巴管瘤形态不规则,具有"塑形"性改变。⑤淋巴管瘤的内部结构:内容物:12例行CT平扫检查,病变呈液性低密度,密度均匀一致,CT值为-10~19 HU;7例行MRI检查T1加权成像(T1WI)呈低信号、T2加权成像(T2WI)呈高亮信号,信号基本均匀一致。16例患者腹腔脏器外淋巴管瘤内均未见出血。1例淋巴管瘤病患者肝脏病变内因出血呈"液-液平面"表现。囊壁及间隔:15例患者淋巴管瘤的囊壁厚度<2 mm;1例多房型淋巴管瘤囊壁及间隔较厚,部分厚度>3 mm,呈等密度,T1WI、T2WI等信号。16例患者淋巴管瘤均未见壁结节、钙化。⑥淋巴管瘤的边界:15例患者淋巴管瘤边缘光整,与毗邻组织边界清晰;1例患者多房型淋巴管瘤与毗邻的十二指肠、胰头部及升结肠边界不清晰。⑦淋巴管瘤的毗邻器官关系: 10例患者淋巴管瘤被反挤压而局部内凹,呈弧形压迹、"脐凹"样表现;4例患者淋巴管瘤包绕血管;2例患者淋巴管瘤内部见脂肪密度或信号。16例患者淋巴管瘤均未见包绕肠管,周围均未见肿大淋巴结。⑧淋巴管瘤的强化模式:14例行增强扫描患者中,13例淋巴管瘤囊壁及间隔轻度强化,1例中度强化;淋巴管瘤内容物均无强化。(3)18F-FDG PET/CT检查影像学表现:1例多房型淋巴管瘤呈18F-FDG不均匀摄取增加,代谢活性略高于肝脏,最大标准摄取值=3.71。(4)治疗及随访情况:14例患者行单纯淋巴管瘤切除术(6例单房型、8例多房型);1例多房型淋巴管瘤患者行淋巴管瘤+十二指肠降部+胰头部+升结肠切除术;1例淋巴管瘤病患者因腹腔脏器外病变较小,仅行脾脏切除术。16例患者术后病理学检查结果均确诊为淋巴管瘤。16例淋巴管瘤患者中,13例获得随访,随访时间为6~31个月,中位随访时间为15个月。随访期间,12例患者未复发,疗效满意;1例淋巴管瘤病患者,因复发多次行右肩部腋下、颈胸部淋巴管瘤切除术及硬化治疗。
腹腔脏器外淋巴管瘤的影像学表现具有一定特征性,常表现为多房、"塑形" 、液性密度或信号、囊壁及间隔菲薄、边界清晰的较大病变,多房型淋巴管瘤可以摄取18F-FDG。
版权归中华医学会所有。
未经授权,不得转载、摘编本刊文章,不得使用本刊的版式设计。
除非特别声明,本刊刊出的所有文章不代表中华医学会和本刊编委会的观点。
淋巴管瘤是一种发生在淋巴系统的良性病变,<1%的成人淋巴管瘤发生于腹腔[1]。腹腔淋巴管瘤的诊断有赖于影像学检查,正确诊断及确定病变范围对指导其临床治疗有重要价值。既往对腹腔淋巴管瘤影像学表现的报道多集中于CT检查,MRI和PET/CT检查的影像学表现的相关报道甚少[2,3,4,5,6,7,8]。本研究回顾性分析2009年1月至2015年12月宁波大学医学院附属医院收治的11例和第二军医大学附属长海医院收治的5例腹腔脏器外淋巴管瘤患者的临床资料,总结其CT、MRI、18氟-氟代脱氧葡萄糖(fluorine-18 fluorodeoxy glucose,18F-FDG)PET/CT检查的影像学特征。
采用回顾性横断面研究方法。收集16例腹腔脏器外淋巴管瘤患者的临床资料,男7例,女9例;年龄28~63岁,平均年龄43岁。11例患者以腹痛和(或)腹胀入院,4例患者无明显症状因健康体检发现腹腔病变就诊,1例为右肩部腋下淋巴管瘤术后因脾肿大、脾功能亢进入院。本研究通过宁波大学医学院附属医院和第二军医大学附属长海医院伦理委员会审批。患者及家属均签署检查和手术知情同意书。
纳入标准:(1)术前影像学检查资料完整。(2)行外科手术治疗。(3)术后病理学检查证实为淋巴管瘤。(4)临床病理资料完整。
排除标准:(1)术前影像学资料不完整。(2)未行穿刺或外科手术治疗。(3)临床病理资料缺失。
CT和MRI图像由2名腹部影像诊断医师共同阅片评价,协商达成一致结果。观察腹腔脏器外淋巴管瘤的CT和(或)MRI检查影像学表现,以及有无其他器官受累及。PET/CT图像由1名核医学医师和1名腹部影像诊断医师共同阅片,协商达成一致结果。观察CT或MRI检查阳性表现在PET/CT上放射性摄取程度的改变,通过勾画感兴趣区测量其摄取值。
(1)影像学检查情况。(2)CT和MRI检查影像学特征:①淋巴管瘤的分型。②淋巴管瘤的部位:结肠上区(肝上间隙、肝下间隙)、结肠下区(肠系膜窦、结肠旁沟)、腹膜后间隙。③淋巴管瘤的直径:横断面图像上测量病变最大截面的长径。④淋巴管瘤的形状。⑤淋巴管瘤的内部结构:内容物,囊壁及间隔。⑥淋巴管瘤的边界。⑦淋巴管瘤与毗邻器官关系。⑧淋巴管瘤的强化模式。(3)18F-FDG PET/CT检查影像学特征:①评估淋巴管瘤放射性摄取程度。②半定量测量最大标准摄取值(maximum standardized uptake value,SUVmax)。(4)治疗及随访情况。
完善术前相关检查后,遵循患者及家属意愿行手术治疗,术后行病理学检查。采用门诊和电话方式进行随访,术后每6~12个月随访1次。随访内容为淋巴管瘤复发情况。随访时间截至2016年7月。
16例患者中,行CT平扫+增强扫描检查12例;MRI平扫+增强扫描检查5例,MRI平扫2例;18F-FDG PET/CT扫描检查1例。其中1例同时行CT、MRI和18F-FDG PET/CT检查,2例同时行CT和MRI检查。
(1)淋巴管瘤的分型:16例患者中,单房型淋巴管瘤6例,多房型淋巴管瘤9例,淋巴管瘤病1例。
(2)淋巴管瘤的部位:16例患者中,9例淋巴管瘤位于一个区域内(单房型淋巴管瘤6例、多房型淋巴管瘤3例),分别为腹膜后间隙5例、左肝下前间隙、左肝下后间隙、右肠系膜窦、右结肠旁沟各1例。7例淋巴管瘤累及2个及以上区域(多房型淋巴管瘤6例、淋巴管瘤病1例),分别为左、右肠系膜窦+右结肠旁沟2例、左、右肠系膜窦2例,右肝下间隙+右肠系膜窦+右结肠旁沟+腹膜后间隙1例,左结肠旁沟+腹膜后间隙1例,右肝下间隙+右肠系膜窦+右结肠旁沟+腹膜后间隙+肝+脾1例。
(3)淋巴管瘤的直径:16例患者病变直径为4~25 cm,平均直径为12 cm,其中9例淋巴管瘤直径>10 cm。
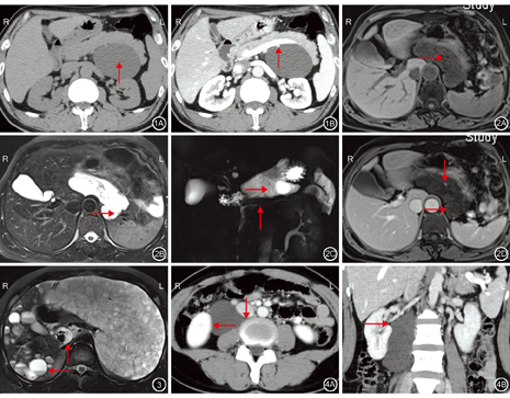
(4)淋巴管瘤的形状:16例患者中,3例淋巴管瘤形态规则,呈类圆形改变(图1),直径均<6 cm;13例淋巴管瘤形态不规则,呈迂曲的囊袋状、管状改变(图2,图3,图4),沿其所在区域间隙生长,具有"塑形"性改变(图2,图4),其中7例淋巴管瘤伸入周围组织间隙,呈"钻缝"样表现(图4)。


(5)淋巴管瘤的内部结构:内容物: 16例患者中,12例行CT平扫检查,病变呈液性低密度(图1A),密度均匀一致,CT值为-10~19 HU;7例行MRI检查T1加权成像(T1 weight image,T1WI)呈低信号(图2A)、T2加权成像(T2 weight image,T2WI)呈高亮信号(图2B),信号基本均匀一致。16例患者腹腔脏器外淋巴管瘤内均未见出血。1例淋巴管瘤病患者肝脏病变内因出血呈"液-液平面"表现(图3)。囊壁及间隔:15例患者淋巴管瘤的囊壁均菲薄、光滑,淋巴管瘤病内部见纤细间隔(图2A、图2B,图3),囊壁及间隔厚度均<2 mm难以测量。1例多房型淋巴管瘤患者囊壁及间隔较厚,且厚薄欠均匀,部分厚度>3 mm,呈等密度,T1WI、T2WI等信号。16例患者淋巴管瘤均未见壁结节、钙化。
(6)淋巴管瘤的边界:16例患者中,15例淋巴管瘤边缘光整,与毗邻组织边界清晰;1例多房型淋巴管瘤与毗邻的十二指肠、胰头部及升结肠边界不清晰(图5)。


(7)淋巴管瘤的毗邻器官关系:16例患者中,10例淋巴管瘤被反挤压而局部内凹,呈弧形压迹(图4)、"脐凹"样表现(图1);4例淋巴管瘤包绕血管(图2D);2例淋巴管瘤内部见脂肪密度或信号(图2)。16例淋巴管瘤均未见包绕肠管,周围均未见肿大淋巴结。
(8)淋巴管瘤的强化模式: 14例行增强扫描患者中,13例淋巴管瘤囊壁及间隔轻度强化(图2D),1例多房型淋巴管瘤中度强化(图5);淋巴管瘤内容物均无强化。
1例多房型淋巴管瘤呈18F-FDG不均匀摄取增加,内部见多发摄取缺损区,高摄取区与囊壁、间隔走行区基本一致,其代谢活性略高于肝脏,SUVmax=3.71,双侧腹股沟淋巴结FDG摄取增加,其余各部位未见明显18F-FDG摄取(图6)。
淋巴管瘤可发生于任何年龄,常见于儿童,好发于头颈部和腋窝[13]。成人腹腔淋巴管瘤患者平均年龄54岁,男女发病比例为(1.2~3.0)∶1.0[1,14]。本研究中女性比例高于文献报道。腹腔脏器外淋巴管瘤的临床表现及体征多无特异性,当病变增长至压迫邻近脏器或组织才出现相应的症状,甚至表现为急腹症[15,16]。手术完整切除淋巴管瘤及其周围黏附组织是首选的治疗方法[1,17]。低浓度平阳霉素注射治疗淋巴管瘤是安全、有效的微创治疗方法[18]。
根据本研究结果并结合相关文献[3,4,5,6,7,8,19,20,21,22,23],笔者认为腹腔脏器外淋巴管瘤的影像学表现具有以下特征:(1)以多房型淋巴管瘤多见,囊壁及间隔常菲薄,无壁结节,囊内多为水样密度或信号,少数淋巴管瘤可伴发出血。张梦然等[1]回顾性分析101例成人腹腔淋巴管瘤患者的临床资料,51%(52/101)淋巴管瘤位于脏器外,其中多房型淋巴管瘤>80%。MRI检查对出血性淋巴管瘤的诊断较CT检查更敏感[19]。
(2)部位:淋巴管瘤易发生于淋巴系统丰富的腹膜系统。Davidson和Hartman[20]报道63%的腹腔淋巴管瘤发生于左侧腹腔。毛晓楠等[21]报道50%的腹腔淋巴管瘤发生于右侧腹腔。本研究结果显示:淋巴管瘤主要发生于腹膜后间隙、肠系膜窦,且右侧腹腔多于左侧,这与上述研究报道不相符。
(3)病变较大:淋巴管瘤体积较大,直径一般>10 cm[22]。本研究中淋巴管瘤平均直径为12 cm。其原因可能与腹腔组织间隙疏松,器官有一定的活动度,淋巴管瘤沿其所在间隙蔓延且生长缓慢有关。
(4)形态:与淋巴管瘤的大小、囊内张力高低有关。淋巴管瘤挤压、包绕腹腔内器官和组织,使其具有"塑形"改变的特点,伴有"钻缝"样、"脐凹"样表现,并可见血管穿行、脂肪密度或信号。本研究中描述的以上影像学特征与既往报道一致[3,20,21,23]。
(5)18F-FDG PET/CT检查18F-FDG摄取:本研究中1例多房型淋巴管瘤呈FDG不均匀摄取增加,这提示淋巴管瘤虽然为良性囊性病变,但仍可以摄取FDG。Kwon等[4]报道右髂总动脉和右腹股沟区淋巴管瘤呈18F-FDG摄取增加(SUVmax=3.1)。Ji和Kuang[5]报道脾脏淋巴管瘤呈轻度18F-FDG摄取增加(SUVmax=3.0)。此外也有文献报道,肠系膜、腹膜后间隙和脾脏淋巴管瘤没有出现18F-FDG摄取的情况[6,7,8]。肿瘤、炎性病变活动期及肉芽肿形成期均可以显著摄取FDG[24]。本研究中淋巴管瘤病理学检查提示未见感染,摄取FDG的机制可能与淋巴细胞的特异性有关。此外,18F-FDG PET/CT检查还可以弥补CT或MRI基于形态学改变和局部检查的不足[25]。
综上,腹腔脏器外淋巴管瘤的临床表现缺乏特异性,影像学检查通常表现为腹腔内较大的多房囊性病变,伴有"塑形"改变,边界清晰,囊壁及间隔常菲薄,囊内多为水样密度或信号;多房型淋巴管瘤可以摄取FDG。临床工作中,如果发现具有上述影像学特征的腹部囊性病变患者时,需考虑腹腔脏器外淋巴管瘤的可能。





















