
急性坏死性脑病(ANE)是一种罕见的感染后急性脑病,多继发于病毒感染,发病机制可能与宿主感染病毒后产生过度免疫反应有关。其病理改变为局灶性血管损伤所致血脑屏障破坏、血浆渗出,最终引起脑水肿、点状出血、神经元及胶质细胞坏死。影像学改变具有诊断意义,为对称性多灶脑损害,双侧丘脑100%受累。对ANE的治疗无特效药物,主要采用激素、免疫球蛋白和血浆置换等治疗。
版权归中华医学会所有。
未经授权,不得转载、摘编本刊文章,不得使用本刊的版式设计。
除非特别声明,本刊刊出的所有文章不代表中华医学会和本刊编委会的观点。
急性坏死性脑病(acute necrotizing encephalopathy,ANE)是一种罕见的感染后急性脑病。自1995年Mizuguchi等[1]首次将其命名为ANE后,人们对该病越来越重视,但是病因和发病机制目前还不十分清楚,由于本病较少,容易被误诊,现就本病近年来的研究进行阐述,以期为临床提供帮助。
ANE开始主要发生于亚洲,如日本、中国、韩国,后来欧洲和北美也均见报道[2],现在认为ANE分布范围几近全球。本病全年均可发病,多见于冬季12月份至次年2月份,并与流行性感冒的流行有一定相关性,患儿年龄24 d~13岁,发生高峰在6 ~18个月婴幼儿,也可见于成人,男女发病率无显著差异,亦无种族差异[3]。
目前ANE的病因仍未完全清楚,考虑可能与环境和宿主均有关系[4]。多数学者认为继发于病毒感染。最常见的有流感病毒甲型、乙型,新型甲型流感(H1N1),副流感病毒,水痘病毒,人类疱疹病毒-6(HHV-6),人类疱疹病毒7 (HHV-7),单纯疱疹病毒,风疹,轮状病毒,柯萨奇病毒,麻疹病毒,肺炎支原体等;其中流感病毒和HHV-6最常见[5,6]。尽管ANE继发于病毒感染,而且脑脊液中某些病毒PCR检查呈阳性,但其并不被认为是一种病毒性脑炎,因为通过尸体解剖,病理检查并无炎性改变[7]。有学者认为继发于流感病毒和非流感病毒的ANE患者在临床特点和预后方面差别不大,推测ANE病情发展与病毒感染的种类没有关系[8]。还有研究发现,应用非甾体抗炎药,如双氯芬酸和苯海拉明可加重ANE的症状[9]。
ANE的发病机制不是十分清楚,目前最流行的假说是高细胞因子血症,即细胞因子风暴(cytokine storm),是一种潜在的致命免疫反应,由细胞因子和白细胞之间的正反馈环组成。ANE患者对各种病毒产生过度的免疫反应,类似于全身炎性反应综合征(systemic inflammatory response syndrome,SIRS)[10]。细胞因子风暴可导致全身症状,如肝功能异常、急性肾损伤、弥散性血管内凝血(disseminated intravascular coagulation,DIC)等,在神经系统,细胞因子风暴通过改变血管壁通透性(血管壁未被破坏)而造成脑损伤[11]。根据这一假说,ANE是一种伴有免疫失衡的脑病。流式细胞检测分析,在ANE患者的外周血中,在病情恢复期,CD56自然杀伤(natural killer,NK)细胞比例升高,且可引起多种细胞因子水平升高,因而认为NK细胞参与ANE的发病[12]。另外不同病毒感染后的ANE患者血清或脑脊液中增高的细胞因子包括白细胞介素(interleukin,IL)-6、IL-10、肿瘤坏死因子-α(tumor necrosis factor-alpha,TNF-α)、IL-10、IL-15、IL-1β(γ),其中IL-6和TNF-α最重要,过度的免疫反应触发了IL-6和TNF-α基因转录水平的提高,导致中枢神经特定部位损伤[13,14]。细胞因子风暴通过胰蛋白酶的作用和基质金属蛋白酶-9激活可以破坏血脑屏障而导致脑水肿、点状出血和坏死[15]。起初认为ANE的发病只是在某些特定的地域,而后越来越多的研究证实全球范围内均可发病,大多数患者被认为散发而不再反复,但有研究指出有很少部分患者出现复发,有些还呈现一定的遗传倾向[16]。除了与环境的关系外,ANE与宿主也有关系,从遗传背景来看,人类白细胞抗原(HLA)DRB/HLA DQB基因可能参与ANE发病机制。有学者研究认为,Ran binding protein 2(RNABP2)基因错误表达在家族性和复发病例中扮演者重要角色,而sodium channel alpha 1(SCA1A)基因的变异可能也是ANE发病机制之一[9,17]。有学者还认为肉毒碱二棕榈酰转移酶基因(carnitine palmitoyl transferase Ⅱ,CPT Ⅱ)变异通过降低酶的活性参与ANE发病[18]。
ANE的主要病理改变为局灶性血管损伤所致血脑屏障破坏、血浆渗出,最终引起脑水肿、点状出血、神经元及胶质细胞坏死[19]。炎性细胞因子被认为是病毒感染和血脑屏障破坏之间的中介因子而备受关注,ANE急性期血液和脑脊液中TNF-α及IL-6水平升高,但并非ANE的特异性变化,因为伴随多器官衰竭和DIC的其他流感病毒性脑病也可以出现TNF-α及IL-6水平升高,部分ANE合并出现噬血细胞综合征(hemophagocytic syndrome,HPS),HPS也是伴高细胞因子血症的疾病之一。ANE大体病理为对称的脑组织软化、伴部分组织溶解,主要见于丘脑、脑干被盖及大、小脑深部白质,组织学切片上述病变区可见新鲜坏死灶,但无星形细胞及小胶质细胞反应性增生及炎性细胞浸润。
ANE多见于小儿,但也可见于成人,既无典型的临床症状,也无特殊的神经系统体征,与一般脑炎或脑病症状相似。(1)前驱症状:大部分出现病毒性前驱感染症状,如上呼吸道感染、病毒性胃肠炎、幼儿急疹等。(2)全身感染中毒症状:表现为高热、咽痛、精神萎靡、皮疹、过度呼吸、肝大等。(3)神经系统表现:多在前驱感染期的1 ~3 d出现脑病症状;①惊厥:占94%,发作频繁,多表现为全面强直阵挛发作,少数可表现为局灶性发作,持续时间不等,也可表现为惊厥持续状态;②意识障碍:可引起嗜睡、谵妄、意识模糊、昏迷等表现,发生率约为98%; ③颅内压增高:频繁呕吐占70%,视乳头水肿占38%,昏迷,去大脑强直占85%; ④神经系统体征:早期即可出现,73%可出现瞳孔缩小,66%巴氏征阳性、66%腱反射亢进。(4)病情迅速发展,高热持续2~5 d后,肌张力减低、频繁呼吸暂停、瞳孔扩大、低血压、DIC、多器官障碍、HPS等。6~10 d若病情不再进展,以意识恢复为标志进入恢复期。神经系统功能恢复持续数月,少于10%的患者可完全恢复,大多数患者留有不同程度的后遗症,一般认知功能较运动功能恢复好。有学者将上述病情演变划分前驱期,急性脑病期,恢复期或慢性期[1,20]。
外周血白细胞可升高,以中性粒细胞为主。急性期重症者可有DIC表现:血小板计数下降、凝血酶原时间延长,纤维蛋白原降低、纤溶降解产物升高,一般达不到DIC的程度。部分血清中C反应蛋白升高和红细胞沉降率(ESR)可升高。
多数患者于6~12 h生化有明显改变,转氨酶、乳酸脱氢酶增高。部分患者还可以出现低血脂症,氮质血症,代谢性酸中毒等。出现高血氨和低血糖的很少,电解质一般正常。
尿可出现一过性的蛋白尿和镜下血尿。
脑脊液无特殊改变,压力可增高,细胞数正常,蛋白增高或正常,糖氯化物正常。无寡克隆带。
急性期显示广泛性慢波,尖波棘波少见,慢性期背景活动随着患者意识的恢复慢慢恢复。
影像学检查具有诊断意义。对称性多灶脑损害是ANE的特征表现,主要分布在丘脑(100%)、上脑干被盖(61%)、侧脑室周围白质(56%)和小脑髓质(51%),其中丘脑病变最重要[20] 。
脑CT在脑病的早期可表现正常,昏迷患者CT表现早期可异常,一般3~7 d CT或增强CT大部分患者在丘脑和深部大脑白质表现为环状强化,1周后CT上丘脑损害灶表现为花斑状低密度区中掺杂不规则高密度影,脑白质密度更低。恢复期病灶缩小,一些轻型病例可完全消失,但大部分严重患者会留下多个囊腔,大脑萎缩[21]。
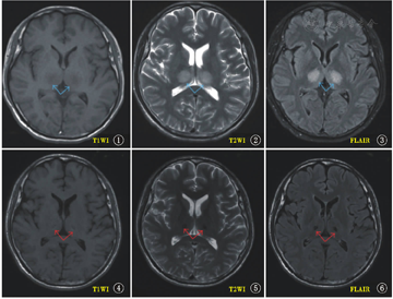
MRI检查丘脑等灰白质病变区,初期出现T1强化像低信号,T2强化像高信号。数日后病变内部,无论是T1还是T2像,均出现高信号。脑白质病变始终T1呈低信号,T2呈高信号。慢性期丘脑病变缩小或消失,白质病变囊性化或消失。1例ANE患者丘脑的MRI动态变化见图1,图2,图3,图4,图5,图6[22] 。


注:T1WI:T1加权成像;T2WI:T2加权成像;FLAIR:液体衰减反转恢复
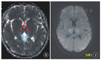
弥散加权成像(diffusion-weighted image,DWI)较传统序列能更好地反映病理变化,DWI其表观弥散系数图(apparent diffusion coefficient,ADC)能更好地反映出来。在急性期典型病例丘脑损伤的表现可用具有特征的三色板模式图形象地将其原理表现出来(图7),丘脑中央部(图7A,下同)显示为较正常脑组织高的ADC值,表示出血坏死;A周围的ADC值低(图7B),表示细胞毒性水肿;损害灶的外围部(图7C)有较中央更高的ADC值,为血管源性水肿[22]。


注:ADC:表观弥散系数;A显示为较正常脑组织高的ADC值,表示出血坏死;B表示比A低的ADC值,为细胞毒性水肿;C表示比A更高的ADC值,为血管源性水肿
图8、图9为一轻型ANE病例的ADC图[22](缺少典型病例的A表现),表现为中央ADC值低(为细胞毒性水肿),而在DWI呈高信号(因弥散受限),其周围的ADC值高(表示血管源性水肿),而在DWI呈等信号(因弥散不受限)。而图10、图11为2个月后慢性期的ADC和DWI,异常信号消失,仅存有较小的囊腔(含铁血黄素沉积后)表现。




Wong等[23]提出一个MRI得分系统与临床预后有很好的相关性。此系统分值为0~4分,计算得分方法:出血1分,囊腔形成1分,损害定位(仅计算脑干损害)1分,白质(大脑和/或小脑)损伤1分,丘脑损害在所有患者是必备所以不得分,结果显示得分越高,预后越差。
Mizuguchi等[1]提出ANE的诊断标准如下:(1)病毒感染后出现惊厥、意识障碍等急性脑病症状;(2)脑脊液检查蛋白水平升高,无细胞数升高;(3)影像学检查提示多部位对称性病灶,包括双侧丘脑、脑干被盖上部、侧脑室周围白质、小脑髓质、内囊、壳核,而不涉及中枢神经的其他区域;(4)血清转氨酶不同程度升高,乳酸脱氢酶、肌酸激酶和尿素氮亦有增高,无高血氨症;(5)排除相似疾病。
后来Neilson等[4,24]又对Mizuguchi等[1]的诊断标准作出补充,增加了以下3条,可与上述5条并列。(1)家族中有相似的神经系统感染症状者;(2)复发性脑病伴发热者;(3)脑MRI病灶也可累及下列部位:颞叶内侧病变、岛叶、屏状核、外囊、杏仁核、海马、乳状体、脊髓。
脑病与脑炎不一样。脑炎是指脑实质受病原体侵袭导致的炎症性病变,脑病是指任何脑器质性损害,病因方面可继发于病原体感染,也可以有其他原因,如营养、外伤、遗传代谢和中毒等。脑炎与脑病均为脑组织结构和生理功能异常的疾病,在病理方面呈现炎症变化的称为脑炎,呈现变性变化的称为脑病。ANE作为一种特殊类型的脑病应重点与下列疾病相鉴别。
乙脑临床表现与ANE相似,且影像学上也可累及丘脑、大脑皮质、脊髓等处,但乙脑由蚊子传播,夏季发生,多为<10岁儿童。临床以高热、抽搐、意识障碍、脑膜刺激征等为特征。脑脊液和血白细胞升高以中性粒细胞为主,血清特异的IgM抗体可于发病3~4 d检测到。虽然乙脑在影像学上可累及丘脑、大脑皮质、脊髓等处,但病灶分布不对称,脑干也较少受累。
因ANE病情重,发展快,出现呕吐,昏迷和肝功能损伤等表现,故应注意排除各种中毒可能,如药物、强力灭鼠药、食物和农药等。
因多数患者出现呕吐,肝功能损伤和昏迷,故应注意排除重型肝炎。重型肝炎是以大量肝细胞坏死为主要病理特点为表现的一种严重肝脏疾病,可引起肝衰竭甚至危及生命,是肝病患者死亡的主要原因之一。引起重型肝炎的原因很多,包括甲、乙、戊病毒及其他泛嗜病毒,如EB病毒(EBV)、巨细胞病毒(CMV)等感染。但重型肝炎没有典型的对称性多灶脑损害的影像学改变。
部分ANE消化道症状开始较明显,有时出现血尿和血小板减少,应排除溶血尿毒综合征。溶血尿毒综合征的前驱症状也多是胃肠炎,表现为腹痛、呕吐及腹泻等,但以后会突然出现溶血性贫血、血小板减少及急性肾衰竭三大特征,且无典型的对称性多灶脑损害的脑影像学改变,故不难鉴别。
Reye综合征是一种以急性脑病伴肝脏脂肪变性为主要临床特征的综合征。常在病毒感染后出现急性颅内压增高、意识障碍、惊厥等脑病症状伴肝功能异常。生化检查血清转氨酶不同程度升高,血氨升高和血糖降低。影像检查主要为弥散脑水肿征象,少有脑实质损害。此病来势凶猛,可在24 h内死亡,幸存者多在2~3 d病情好转。
多在感染或接种1~3周出现的脱髓鞘病变,以脑症状、脊髓症状为主。MRI上脑白质多发散在非对称长信号,较少累及丘脑和脑干,DWI上损害灶ADC值高。对激素治疗反应较好,可有复发。
本病发病迅速,病死率高,生存者易留有严重的神经系统后遗症,其临床特点是突发的抽搐和昏迷、休克、DIC、水样腹泻、代谢性酸中毒、肝肾功能障碍。实验室检查提示多脏器功能损害,以肝酶、心肌酶动态改变为主,脑CT或MRI以脑水肿为主要表现。本病症状与ANE相似,但通过实验室和影像学检查可进行鉴别。
ADANE是一种不完全外显基因疾病,基因定位于2q12.1-2q13,其病理基础是线粒体氧化磷酸化失偶联。主要影响儿童,表现为热性疾病后2~3 d突然出现脑病症状。影像学上损害主要对称分布于丘脑和脑干等处,与ANE相似。此病有复发的倾向,复发带来更严重的损害,必要时进行基因检查进行鉴别。
多在2岁以内发病,一般于发病2岁内死亡。通常以眼球震颤、共济失调、肢体运动障碍为临床表现。影像学损害主要在双侧基底核区,其次在中脑导水管周围灰质、黑质、视神经、丘脑、脑干神经核、脊髓。血和脑脊液中的乳酸水平升高。
又称维生素B1(VitB1)缺乏症脑病,主要见于吃精白米地区的< 1岁婴儿。临床以精神萎靡、抽搐、四肢活动减少、目光呆滞等症状为主。影像学损害主要在豆状核及脑室周围灰质,如乳头体、下丘脑、四叠体及第四脑室底,不累及白质。予VitB1治疗后症状迅速改善。





















