
版权归中华医学会所有。
未经授权,不得转载、摘编本刊文章,不得使用本刊的版式设计。
除非特别声明,本刊刊出的所有文章不代表中华医学会和本刊编委会的观点。
黏液表皮样癌(mucoepidermoid carcinoma,MEC)是起源于唾液腺导管储备细胞的恶性肿瘤,约占唾液腺肿瘤的6.5%。MEC大多发生于腮腺(54.4%),其次为腭部(18.1%)[1]。自1973年报道首例舌根部MEC至今,国内外文献报道仅20余例[2]。为总结舌根部MEC的临床特点及诊治经验,现将我科收治的5例患者的临床表现、治疗方法及预后报道如下,并结合相关文献进行讨论。
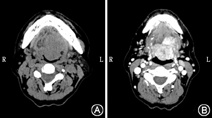
收集四川大学华西医院耳鼻咽喉头颈外科2010年1月至2018年1月收治入院,病理诊断为舌根部MEC且病历资料完整共5例患者,其中男3例,女2例;年龄27~76岁,平均53.5岁,中位年龄54岁;病程1个月至1年,平均病程约5个月;3例男性患者均有长期吸烟史,烟龄20~60年,平均烟龄36.7年,其中2例>10支/d,1例有长期饮酒史(>10年且>400 g/d)。3例以吞咽困难为主要症状,其中2例伴痰中带血,1例以声嘶和咽异物感为主诉,1例无特殊症状,为体检时发现颈部包块就诊。查体均可见舌根部来源肿物,其中2例单纯位于舌根;1例累及咽侧、咽后壁,会厌及喉;余2例累及扁桃体下极、咽侧壁和会厌谷,其中1例还侵及喉和梨状窝。舌根部肿物大小为1.5~6.0 cm(图1),质硬,其中4例肿物表面黏膜较光滑,1例表面粗糙糜烂,呈菜花状新生物,与周围组织有粘连。5例行CT及MRI检查,均显示舌根部有大小不等的软组织团块影,边界不清,增强后不均匀强化,其中3例伴有颈部淋巴结不同程度增大(图2)。




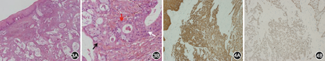
按照世界卫生组织2005年的MEC分级标准,根据肿瘤的囊性成分比例、神经侵犯程度、有丝分裂活性以及细胞间变、坏死情况可将MEC分为高、中、低三种级别。经术后病理证实,本组5例患者中有4例为舌根部MEC中级别(图3),1例为高级别;1例高级别及1例中级别MEC有双侧颈部淋巴转移,所有患者均未发现远处转移。3例(3/5)行免疫组化染色,结果均示抑癌基因P63和细胞角蛋白(cytokeratin,CK)呈阳性(图4)。本组中1例患者首诊为舌根部鳞状细胞癌,术后确诊为高级别MEC。根据涎腺癌TNM分期,本组5例有T1N0M0 1例,T2N0M0 1例,T4N0M0 1例,T4N2M0 2例;临床分期Ⅰ期1例,Ⅱ期1例,Ⅳ期3例。


本组患者均采取手术治疗,结合术中冰冻病理检查结果,根据病变部位、范围及淋巴结转移情况选择手术方式及切除范围,除1例较早期的舌根T1N0M0病例外,其他4例均行预防性气管切开及双侧颈淋巴清扫,具体手术方式为:经口单纯舌根肿瘤切除1例(T1N0M0),经舌骨径路单纯舌根肿瘤切除术1例(T2N0M0),舌根肿瘤切除术+左扁桃体摘除术+口咽肿瘤切除术+游离股前外侧皮瓣移植修复1例(T4N0M0),舌根肿瘤切除术+声门上部分喉切除术+下咽肿瘤切除术+游离股前外侧皮瓣移植修复1例(T4N2M0),舌根肿瘤切除术+双侧扁桃体摘除术+全喉切除术+梨状窝肿瘤切除术+下咽肿瘤切除术+带蒂胸大肌皮瓣修复1例(T4N2M0)。淋巴结转移患者1例术后于院外补充放、化疗(具体剂量不详);另1例行单纯化疗,药物为紫杉醇、顺铂及氟尿嘧啶。所有患者均密切随访,随访日期从第一次出院截至2018年3月1日,随访内容包括电子纤维喉镜检查、CT、MRI及PET-CT等。
本组5例患者中,4例术后恢复良好,皮瓣存活,无咽瘘、出血、伤口感染等并发症,术后2~3周开始进食后拔除胃管,其中3例于术后1~3个月拔除气管套管,1例因进食呛咳拔管延至术后40个月,仅1例术后出现咽瘘,经换药后愈合,7周后正常进食。本组所有患者均密切随访,随访13~57个月,中位随访期为22个月。
5例患者中,1例高级别MEC于术后9个月发现肿瘤复发,未再进一步治疗,并在随访至11个月时死亡。余4例均存活,喉镜、CT及MRI检查未查见转移及复发,生存时间为13~57个月,中位生存时间为29.5个月。
MEC是唾液腺最常见的恶性肿瘤,约占唾液腺恶性肿瘤的30%,主要发生在大唾液腺,舌根部十分罕见[1]。舌根部MEC好发于50岁左右的中年人,女性居多[3]。该病病因目前尚不清楚,可能与电离辐射、吸烟及基因突变有关[3]。其肿物通常表现为缓慢、无痛、固定生长的包块,质地偏硬,与周围组织边界不清。早期患者没有特殊症状或仅有咽喉不适,当肿瘤生长较大或侵及神经后,临床症状更加明显且多样,可出现疼痛、咽异物感、吞咽困难、麻木、牙关紧闭、耳漏、声嘶等,甚至咯血、流涎及严重的口内出血等[4]。MEC的本组患者中除1例因颈淋巴结包块就诊外,其余4例均与上述症状相符,主要为声嘶、咽异物感、吞咽困难、痰中带血及咯血等;4例中级别MEC黏膜光滑,1例高级别MEC表面糜烂,与周围组织有粘连。
通常间接喉镜或电子纤维喉镜即可较容易地发现舌根部的该实性占位病变,进一步的诊断包括明确肿物性质、浸润深度、累及范围及有无淋巴结转移。影像学检查是必要的,舌根部MEC多表现为大小不等的软组织团块影,边界不清,增强后多呈不均匀强化。颈部增强CT有助于判断颈部淋巴结转移,MRI则能够更精确地显示肿瘤的范围、边界、与周围结构的关系及浸润深度[4,5]。本组患者术前均行CT/MRI检查,结果提示舌根部有大小不等、边界不清的软组织团块影,3例有颈部淋巴结肿大,其中2例术后病理检查证实有淋巴结转移。
病理检查是诊断MEC的金标准,在显微镜下可见MEC由黏液细胞、中间细胞及表皮样鳞状细胞构成,可伴有柱状细胞、透明细胞和大嗜酸粒细胞的形态特征。必要时可以做免疫组织化检查协助病理诊断,常用的免疫标记物包括CK、S-100、P63、P16等。另外,通过荧光原位杂交技术检测MAML2基因也有助于MEC的诊断[6]。世界卫生组织2005年综合多种组织学特征将MEC分为高、中、低三个级别并制定出了以下评分系统:①囊性成分<20%(2分);②侵袭神经(2分);③坏死(3分);④核分裂>4个/10个高倍视野(3分);⑤细胞间变(4分)。其中低级别为0~4分,中级别为5~6分,高级别为≥7分。
舌根部MEC需与其他舌根良恶性占位病变相鉴别,其鉴别诊断与分级相关,低级别MEC的鉴别诊断包括坏死性唾液化生、黏液囊肿、转移性肾细胞癌及肺癌;高级别MEC则需与发生在口腔黏膜表面的腺鳞状细胞癌、鳞状细胞癌及原发性涎腺导管癌相鉴别[3,4]。由于不同性质的疾病治疗方式及预后差别大,加上舌根部MEC症状及体征均不具有特征性,因此应谨慎鉴别,根据组织病理及免疫组化结果确诊。
手术根治性切除是MEC主要的治疗手段,应根据肿瘤的级别、累及范围及转移情况制定具体的手术方式。需要注意的是,高级别MEC还需扩大切除范围,建议保持1.5~2.0 cm的安全切缘距离,且其隐匿性淋巴转移的比例高达30%~50%,因此更应做常规淋巴清扫[7]。舌根部MEC常用入路包括口内进路、下颌进路以及舌骨进路,相较于前两者,舌骨进路切口隐蔽,暴露充分,且最大限度的保存了舌体,有利于术后功能恢复。既往大多舌根部恶性肿瘤经口内进路切除效果不佳,但近年来,经口内的机器人手术开始用于切除舌根部肿瘤,并取得了不错的效果[8]。手术切除范围是基于肿瘤的范围及波及的周围结构而定,在完整切除舌根原发病灶的同时,应将受累及的病变结构一并切除,最后根据缺损的大小酌情采用相应的修复方式同期修复。
放、化疗对于MEC的价值存在争议。大多数学者认为单独放、化疗无法根治MEC,但术后辅助放疗可使MEC患者5年生存率提高38%[9],化疗药物如阿霉素、紫杉醇及氟尿嘧啶等也能一定程度减少肿瘤复发。因此有学者主张若诊断为高级别MEC,或存在切缘阳性、神经浸润及淋巴结转移等不利因素,建议术后补充放化疗,以提高患者生存率[10],推荐剂量为60~66Gy[11]。近年来有报道碳离子束及125I放射治疗对MEC效果较好,但其作用有待进一步证实[12]。
MEC的预后主要取决于临床分期、病理分级及肿瘤切缘状态。大量研究表明,MEC的病理分级对术后无瘤生存率及总体生存率均有影响。低级别MEC 5年生存率为76%~95%,而中、高级别MEC更易发生浸润,复发及转移,其5年生存率为30%~50%[9]。MEC主要通过淋巴转移,血管转移较少见,常见的转移部位包括皮肤皮下组织、骨组织和肺部。研究发现中、高级别MEC发生淋巴结转移的概率分别为22%、72%,而低级别MEC则没有发生淋巴结转移的现象[13]。手术切缘阳性也是预后不良的原因之一,研究发现即使采取下颌或舌骨进路等手术方式,口咽部唾液腺癌的手术切缘阳性率仍可达46%。一方面是肿瘤本身较隐蔽,切除难度大,另一方面是它们有向黏膜下生长及沿神经侵犯的趋势,易造成手术不彻底。另外,有研究表明临床Ⅲ、Ⅳ期患者的肿瘤复发、转移率及病死率大于临床Ⅰ、Ⅱ期患者。本组5例患者中临床Ⅳ期的患者有3例,Ⅰ、Ⅱ期各有1例;1例为高级别,4例为中级别MEC;术中冰冻显示所有患者手术切缘均呈阴性。本组复发的1例患者为高级别、临床Ⅳ期的MEC,综合分析认为病理级别和临床分期不佳可能是该患者复发的原因。
近年来,研究发现多种细胞标记物也与预后相关:葡萄糖转运蛋白-1、膜结合黏蛋白-1、碱性成纤维细胞生长因子的表达多提示肿瘤具有侵袭性;转化生长因子-β1、膜结合黏蛋白-4的表达增强则预示着细胞分化及预后良好[14]。要注意的是,高级别MEC复发主要发生在术后5年内,但也有术后15年后才复发的案例,故长期随访是必须的,且应重视对患者颈部淋巴结的检查及评估。
综上所述,舌根部MEC临床少见,又大多起病隐匿,临床症状无明显特异性,就诊时多为中晚期。故对年龄为50岁左右的中年患者,出现了咽部不适、吞咽困难、咯血、声嘶和颈部包块等症状,查体又发现舌根部包块,临床医生则要警惕该病的可能性,必要时行纤维喉镜、CT或MRI辅助诊断。由于该病术前无法确诊,医生应做好同期颈淋巴清扫的准备,避免二次手术,且应避免切开包膜,防止肿瘤细胞扩散,同时尽可能保证手术切缘阴性,再根据术后病检结果谨慎决定是否补充放化疗。





















