
版权归中华医学会所有。
未经授权,不得转载、摘编本刊文章,不得使用本刊的版式设计。
除非特别声明,本刊刊出的所有文章不代表中华医学会和本刊编委会的观点。
特发性肺纤维化(IPF)是一种病因未明的慢性进展性纤维化肺疾病,组织病理学和(或)胸部高分辨率CT(HRCT)特征为普通型间质性肺炎(UIP)[1]。IPF患者从诊断开始中位生存期仅2~3年[1,2,3,4,5]。部分患者在短期内可出现急性呼吸功能恶化,称之为IPF急性加重(AE-IPF),是IPF患者死亡的重要原因[1,2]。由于AE-IPF患者病情危重,进展迅速,预后差,近年来对其研究和认识不断深入,国际上对AE-IPF的定义及诊断标准也不断更新。为了规范国内AE-IPF的诊治,中华医学会呼吸病学分会间质性肺病学组联合中国医师协会呼吸医师分会间质性肺疾病工作委员会专家,结合国内外研究进展,并参考和借鉴国际AE-IPF诊治指南,制定了本共识,旨在规范我国AE-IPF的诊断流程和治疗策略,提高我国AE-IPF的诊治水平。
20世纪90年代初,日本学者Kondoh等[6]首先将IPF患者在临床上出现了不明原因的急性呼吸功能恶化定义为AE-IPF,同时提出AE-IPF诊断标准,包括:(1)IPF患者在近1个月内出现气促加重;(2)动脉血氧分压(PaO2)提示低氧血症或低氧合指数[PaO2与吸入氧浓度(FiO2)的比值PaO2/FiO2<225 mmHg(1 mmHg=0.133 kPa)];(3)胸部X线片出现新的肺部浸润病灶;(4)无明显的感染或心脏疾病。2007年IPF领域国际多学科专家和IPF临床研究网(IPFnet)联合发表了AE-IPF专家共识,标志着多数临床医师和研究者对AE-IPF的认同和重视[7],随之AE-IPF的诊断标准亦更新为:(1)既往或当前诊断为IPF;(2)30 d内出现的不明原因呼吸困难的加重或恶化;(3)胸部HRCT在原来UIP表现的双肺网状阴影或蜂窝影的背景上出现新的磨玻璃影(GGO)和(或)实变影;(4)缺乏感染的证据:气管内吸出物或支气管肺泡灌洗液(BALF)培养阴性;(5)排除左心心力衰竭、肺栓塞或病因明确的急性肺损伤等[7]。2013年美国胸科学会/欧洲呼吸学会(ATS/ERS)在特发性间质性肺炎(IIP)分类的更新指南中指出急性加重亦可发生于特发性非特异性间质性肺炎、慢性过敏性肺炎、结缔组织疾病相关的纤维化间质性肺疾病[8]。
随着对AE-IPF的不断研究和认识提高,2016年由国际多学科专家组成的AE-IPF工作组发布了AE-IPF工作报告,再次更新了AE-IPF的定义和诊断标准[9]。本共识参照最新标准,建议将其定义为IPF患者在短期内出现显著的急性呼吸功能恶化,主要特征为胸部HRCT在原来UIP背景上新出现双肺弥漫性GGO和(或)实变影[9]。AE-IPF诊断标准包括:(1)既往或当前诊断IPF;(2)通常在1个月内发生的呼吸困难急性恶化或进展;(3)胸部HRCT表现为在原来网状阴影或蜂窝影等UIP型表现背景上新出现双肺弥漫性GGO和(或)实变影;(4)排除心力衰竭或液体负荷过重[9]。
目前,大多数学者认为AE-IPF应该包括任何不能以心力衰竭和液体负荷过重导致的双肺新增GGO和(或)实变影的急性呼吸事件为特征的疾病,包括由感染、药物毒性、手术/操作史、误吸等因素导致的急性加重,故将"特发性"从概念中删除[9]。AE-IPF诊断主要应排除心力衰竭和液体负荷过重导致的急性呼吸功能恶化和肺水肿。既往AE-IPF诊断标准要求排除感染,最新标准不再要求除外感染等潜在触发因素但临床医师应该重视并识别这些潜在的触发因素[7,9,10,11]。对于典型AE-IPF发病的时间窗设定为1个月,如果临床医师认为符合急性加重,但发生在时间窗之外的患者,亦可诊断判为AE-IPF,所以更具灵活性。
由于AE-IPF定义、诊断标准、研究人群、疾病基线的严重程度、随访时间及统计方法等不同,有关AE-IPF患者年发生率研究结果存在差异[12]。前瞻性临床试验及回顾性队列研究显示AE-IPF年发生率在13%~20%,回顾性队列研究报道的AE-IPF的发病率可能要高于临床试验[13,14,15]。一项美国的注册登记研究报道AE-IPF年发生率13%[15],韩国研究显示IPF患者1年和3年AE-IPF发生率分别为14.2%和20.7%[16],日本队列研究报道1、2和3年的AE-IPF发生率分别为8.6%、12.6%和23.9%[17]。到目前为止,我国尚无AE-IPF发病率的前瞻性临床和回顾性队列研究的流行病学数据报道。
AE-IPF发生的病因和机制至今尚不明确。由于急性加重与急性呼吸窘迫综合征(ARDS)在临床、影像和病理组织学上非常相似[18,19,20]。研究显示能够导致急性肺损伤和ARDS的原因,很可能导致或诱发IPF患者发生AE-IPF。
病毒或细菌感染可能导致急性加重的发生或是AE-IPF的始发因素[10,21,22]。研究发现AE-IPF患者BALF中的细菌负荷明显高于稳定期患者[10]。同样,在动物模型中也发现病毒感染参与急性加重发生[22]。
胃食管反流导致微量误吸可能导致AE-IPF发生。研究发现AE-IPF患者BALF中胃蛋白酶的含量显著高于稳定期患者,胃蛋白酶含量是急性加重发生的危险因素[23]。另外,抑酸药物的使用可延缓IPF患者用力肺活量(FVC)下降和减少AE-IPF的发生风险[24]。
经支气管肺泡灌洗(BAL)和支气管镜肺活检(TBLB)、胸部手术及非胸部手术都可能导致AE-IPF的发生[25,26,27]。机械通气时高浓度氧疗和机械通气容积伤和(或)气压伤也可能与AE-IPF有关[27]。这些研究均是回顾性分析研究,AE-IPF和这些临床过程间的因果关系有待进一步研究。
空气污染会导致IPF患者体内活性氧簇的产生,当其含量超过肺组织所能承受能力时,则出现肺组织的损伤。由于IPF患者体内本身抗氧化能力的下降,因此IPF患者更容易受到空气污染的影响,导致AE-IPF的发生[29]。
其他危险因素,如肺动脉高压、体质指数升高、冠状动脉性疾病和免疫抑制剂治疗等也可能导致AE-IPF的发生[30]。
AE-IPF患者主要临床症状为数天到几周之内出现的呼吸困难或运动耐力降低,可伴有咳嗽,多为干咳或咳少许白色痰,当合并感染时可出现痰量增多或黄色脓性痰。部分患者可出现发热和流感样症状。病程通常在1个月之内[9]。病情往往进展迅速,很快出现Ⅰ型呼吸衰竭。主要的体征表现为呼吸急促、四肢末端和口唇发绀,典型的双肺基底部爆裂音(Velcro啰音)。若合并右心功能不全,可出现颈静脉怒张、双下肢浮肿等。
动脉血气分析显示低氧血症,患者通常出现PaO2/FiO2降低,通常<225 mmHg[1]。后期可出现二氧化碳潴留,动脉血二氧化碳分压(PaCO2)升高。
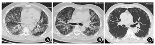
胸部X线检查可排除气胸或其他需要立即处理的胸部异常情况。胸部HRCT可准确显示肺实质异常的形态及部位,并可进一步对AE-IPF的影像学表现进行分类[9,31]。AE-IPF患者HRCT显示在典型UIP型[如网状影、牵拉性支气管和(或)细支气管扩张及蜂窝改变]的背景上,出现新的GGO和(或)实变影[9](图1)。AE-IPF患者胸部HRCT新增异常阴影可表现为3种类型:弥漫型、多灶型和周边型[31](图2)。


注:稳定期患者双肺外周分布的网格状、双下肺胸膜下蜂窝影,伴牵拉性支气管扩张(UIP型)(A、B);急性加重患者双肺在原有UIP型改变的背景上新出现弥漫性分布的GGO(C、D)。UIP为普通型间质性肺炎;GGO为磨玻璃影


注:A为弥漫型,双肺弥漫性GGO、斑片状实变和胸膜下蜂窝影;B为多灶型,在胸膜下蜂窝和牵拉性支气管扩张背景上出现双肺中心和外周多处分布斑片状GGO;C为周边型,双肺外周分布GGO和胸膜下蜂窝影。GGO为磨玻璃影
IPF患者静脉血栓栓塞症的风险高,CT肺血管造影(CTPA)检查有助于排除肺栓塞[32,33,34]。对于肾功能下降不能进行CTPA检查者,可进行通气/灌注(V/Q)扫描以排除肺栓塞,如果V/Q扫描仍不能确定,建议检查双下肢血管彩色超声以示是否合并下肢深静脉血栓形成(DVT),如果合并DVT,需要抗凝治疗预防静脉血栓栓塞症(VTE)。
目前尚无特异性的实验室检查项目可以诊断AE-IPF,但对怀疑AE-IPF者,实验室检查对于鉴别诊断、合并症处理、潜在诱发因素评估非常重要。
怀疑AE-IPF者,应常规进行外周全血细胞及分类计数、淋巴细胞计数及免疫分型、脑钠肽(BNP)、肌钙蛋白监测、降钙素原(PCT)和D-二聚体检测,帮助鉴别是否合并感染或肺栓塞。血浆肌钙蛋白水平明显升高需要排除急性心肌梗死和肺栓塞[35]。对于IPF患者,血清D-二聚体的升高除了需要排除肺栓塞或合并肺栓塞,同时AE-IPF发生率亦增高[36]。C-反应蛋白(CRP)和红细胞沉降率(ESR)可升高,但由于缺乏特异性,诊断价值不大,其他的血清炎症和肺损伤标志物的作用尚不清楚[9, 37]。
对怀疑AE-IPF者应常规进行血气分析检查,通过PaO2/FiO2判断患者病情的轻重程度;连续血气分析监测,可及时准确地反映AE-IPF患者的病情变化。血气分析通常表现为低氧血症、PaO2/FiO2降低,后期如果PaCO2升高,往往提示预后不良。
对于怀疑AE-IPF者,应进行肺部感染病相关病原体的检测包括痰和血培养、尿肺炎链球菌和军团菌抗原检测、呼吸道分泌物快速流感抗原测试(流感爆发季节)和多重聚合酶链式反应(PCR)检测呼吸道病毒[11,38,39]。
应用可弯曲支气管镜进行BAL是AE-IPF患者病情评估的重要手段之一,有助于鉴别感染和恶性肿瘤。对于临床评估能够耐受支气管镜检查的AE-IPF患者,或者肺功能DLCO≥30%预测值或吸氧后PaO2能够纠正到70 mmHg以上的患者,权衡利弊,谨慎选择BAL检查[40]。在进行BAL时,应根据HRCT,在病灶受累明显的亚段支气管进行。BALF可送检多种微生物检查,包括细菌、真菌和分枝杆菌的特殊染色和培养,呼吸道病毒的多重PCR检测及细胞学检测。TBLB小标本的病理诊断价值有限,有可能引起病情加重,不建议常规进行[9]。
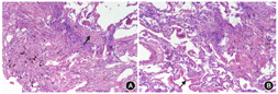
由于AE-IPF患者进行经支气管镜或开胸肺活检的风险较高,所以组织病理学的标本往往来自于此类患者肺移植后切除标本或死后尸检。AE-IPF组织病理学上最常见UIP与弥漫性肺损伤混合存在,有明显的成纤维细胞灶,也可以出现机化性肺炎[8](图3)。


注:图A示显微镜下肺组织部分区域纤维组织增生伴胶原化,少量炎症细胞浸润,纤维化病灶边缘见成纤维细胞灶(箭头示成纤维细胞灶)(HE ×100);图B示高倍镜下纤维化病灶周围肺泡腔内见透明膜样物质沿肺泡壁分布(箭头示透明膜形成)(HE ×200)(图A、B来自于同一患者肺移植后切除标本)
参照国际有关AE-IPF诊断标准,对于已经诊断或当前诊断IPF者,如果满足以下条件,则可做出诊断[9]:(1)通常在1个月内出现了临床上显著的急性呼吸困难加重;(2)胸部HRCT证实在原来UIP型改变背景上双肺新出现GGO和(或)实变影;(3)排除心力衰竭或液体负荷过重导致的呼吸功能恶化或急性肺水肿。
为了方便临床医师早期识别AE-IPF,及时予以治疗,建议AE-IPF的临床诊断流程如图4[8,9]。


注:IPF为特发性肺纤维化;AE-IPF为IPF急性加重;HRCT为高分辨率CT;GGO为磨玻璃影;BNP为脑钠肽
对IPF患者出现急性呼吸困难加重,临床怀疑急性加重,首先通过病史询问、体格检查、实验室及胸片检查,明确有无肺外病变如气胸或胸腔积液等。如果存在肺外病变,则不是AE-IPF;如无肺外病变,则检查胸部HRCT(必要时行CTPA以排除肺栓塞)证实新出现双肺GGO和(或)实变影,通过相关检查(BNP和心脏彩色超声等)明确是否存在心力衰竭和液体负荷过重,如果存在则不是AE-IPF;如无心力衰竭和液体负荷过重,则可诊断AE-IPF。最后,对符合AE-IPF诊断的患者,需要仔细寻找有无如感染、药物毒性、手术/操作史及误吸等触发因素,存在触发因素则为已知原因AE-IPF,如无诱发因素的则为特发性AE-IPF(图4)。
当IPF患者临床上出现急性呼吸困难恶化时,传统的胸部X线即可识别是否合并气胸及胸腔积液等原因。临床上需要与AE-IPF鉴别的疾病包括静脉血栓栓塞症、感染、心力衰竭及肺动脉高压等。
IPF发生VTE的风险明显升高[32,33,34]。当患者同时存在肥胖、制动、恶性肿瘤和既往家族性VTE病史,临床上短期内出现呼吸困难症状加重时,更需警惕VTE可能,必要时可行CTPA或肺V/Q检查以排除肺血栓栓塞症。如果合并肾功能不全,可行肺V/Q检查以排除肺栓塞。
目前认为病毒和细菌等可引起IPF患者的肺部感染,可能是发生急性加重的重要原因[10,21,22]。需要常规外周血细胞及分类计数、淋巴细胞免疫分型、CRP、ESR、PCT、非典型病原体和病毒指标检测。如果患者能够耐受,也可通过支气管镜BAL进行肺部感染相关病原体的全套检查。同时开始给予经验性抗生素治疗,抗生素的选择建议参照社区获得性肺炎的使用原则。
由于IPF患者多发生于中老年人,所以必需进行仔细的心脏评估(如心力衰竭或心肌梗死)。通常起始发病时需要进行系列肌钙蛋白、BNP、心电图及心脏彩色超声等检查。如果IPF患者既往有慢性心脏基础疾病,短期内出现呼吸困难的加重,胸部HRCT显示双肺新增的磨玻璃影和(或)实变影,同时伴有双侧胸腔积液、心包积液,或上下肢浮肿等,则需要排除心功能不全可能。
已知肺动脉高压是IPF并发症之一,表现为逐渐加重的呼吸困难,但不伴有影像学上新增阴影。当患者出现急性呼吸功能恶化,伴有气体交换能力明显下降,胸部HRCT却无间质性肺病恶化的证据及CTPA排除肺栓塞时,应当考虑肺动脉高压的可能。通常伴有血浆BNP的升高,心脏彩色超声可以估测肺动脉压力,确定诊断则需要右心漂浮导管检查。
近几年来,有关AE-IPF治疗的研究大多为小样本的回顾性临床研究,缺乏多中心、大样本的随机对照临床研究支持。到目前为止,AE-IPF尚无最佳的治疗方案,本共识推荐所有患者均需要支持治疗来缓解低氧血症和减轻呼吸急促和咳嗽等症状。
所有AE-IPF患者都需要支持治疗,包括以下措施。
对AE-IPF患者来说,氧疗是一种有确切疗效的治疗措施,患者通常需要高浓度吸氧来维持脉氧饱和度(SpO2)在90%以上。标准的经鼻导管吸氧通常很难满足AE-IPF患者吸氧流量的需求,对这些急性缺氧性呼吸衰竭不伴有高碳酸血症的患者来说,可采用经鼻导管的高流量氧疗来维持动脉血氧饱和度,改善患者呼吸困难和咳嗽的症状。必要时可选择面罩供氧和(或)无创呼吸机纯氧供给。
对AE-IPF患者来说,经鼻导管、面罩或高流量吸氧可在一定程度上缓解低氧血症引起的呼吸困难。但是AE-IPF引起的呼吸困难往往是难治性的,建议在氧疗的基础上,采用姑息性的治疗策略(见下述姑息性治疗),可能有助于缓解症状。
住院患者AE-IPF发生静脉血栓栓塞的风险增加,应该常规采取预防住院患者VTE的措施,如弹力袜、间断性使用双下肢气压泵和低分子量肝素等[43]。
国际和国内关于IPF治疗指南推荐酌情使用激素治疗急性加重患者[1,50],但是无明确的证据支持。建议根据AE-IPF是否存在已知原因(如感染、手术/操作后、药物毒性、误吸等),是否存在合并症、疾病严重程度等因素综合考虑,制定激素治疗方案。激素的起始剂量范围可从口服泼尼松(1 mg·kg-1·d-1)到静脉滴注甲泼尼龙(500~1 000 mg/d、连用3 d),然后减为泼尼松或等效剂量激素,根据患者病情和治疗反应,在4~8周逐步减至维持量。对激素治疗有临床疗效的患者,在数周到数月内缓慢减量,并且要密切随访,防止复发。有研究提示,IPF患者无论其是否发生急性加重,稳定期避免使用激素有利于延长自然病程[51]。
越来越多的证据表明,病毒或细菌感染可能与AE-IPF发病有关[10,21,22, 52]。所以,多数临床医师在处理AE-IPF患者时,选择不同种类的抗生素或抗病毒药物进行预防或治疗。建议抗生素使用原则开始时广覆盖,包括兼顾非典型病原体,如果培养或检测鉴定出某种特殊病原体,则应缩小抗生素的范围,针对性使用抗生素。对于病原体检测阴性患者,建议抗生素的疗程一般为1~2周。另外,有研究认为AE-IPF患者外周血PCT水平可以指导抗生素使用,缩短抗生素使用的疗程[53]。
目前,肺移植可能是唯一可以治愈AE-IPF、并延长患者生存期的有效的治疗方法[58]。但对于未在肺移植中心进行评估的AE-IPF患者来说,由于时间和肺源限制,紧急行肺移植往往不可行。少数情况下,对于已经在移植中心评估等待肺移植患者,单独机械通气或联合ECMO可使AE-IPF患者顺利过度到肺移植,为急性加重患者提供生存的机会[49]。推荐稳定期IPF患者应该在疾病早期在肺移植中心进行全面评估,以便急性加重发生后尽早进行肺移植。
对于AE-IPF患者,需要明确治疗目标,并且与患者本人及直系家属共同商量后决定治疗方案。姑息性治疗对于减轻呼吸困难和咳嗽的症状和缓解患者及家属的压力非常重要。减轻呼吸困难的姑息性治疗策略,包括放松技巧及使用苯二氮䓬类镇静药,使用无创通气可明显减轻呼吸困难[46,48]。咳嗽也是AE-IPF患者的主要症状之一,ILD相关的慢性难治性咳嗽治疗相关证据有限,必要时可考虑使用阿片类药物[59]。
对疑诊AE-IPF患者,推荐按以下标准诊断:(1)已经诊断IPF(或在急性呼吸恶化时诊断);(2)急性恶化的持续时间通常少于1个月;(3)胸部HRCT证实在原来UIP型(即双肺基底部网状阴影伴蜂窝样改变或伴牵拉性支气管扩张)背景上出现新的双侧GGO和(或)实变影;(4)呼吸困难的恶化不能用心力衰竭或液体负荷过重解释。
对疑诊AE-IPF患者临床评估,推荐重视识别导致呼吸功能下降触发因素和可能原因,是否存在感染、VTE和心力衰竭等。
对疑诊AE-IPF患者,推荐血细胞计数分类、BNP、肌钙蛋白、D-二聚体等检查。推荐肺部感染病原体检测包括痰和血培养、尿肺炎链球菌和军团菌抗原检测、呼吸道分泌物快速流感抗原测试(流感爆发季节)和PCR方法检测呼吸道病毒。
对临床怀疑AE-IPF,推荐所有患者均应进行胸部HRCT检查;如临床怀疑VTE的患者,建议CTPA以排除肺栓塞。
对临床疑诊AE-IPF患者,即使患者能够耐受支气管镜检查,建议谨慎考虑是否需要进行BAL评估肺部感染和恶性肿瘤;不建议进行TBLB和外科肺活检。
推荐氧疗和缓解呼吸急促症状等支持治疗用于AE-IPF患者治疗。
目前激素仍然是AE-IPF患者主要的治疗药物,建议酌情使用全身性激素治疗。
在AE-IPF的起始治疗,推荐使用广谱抗生素,包括覆盖非典型病原体。如果鉴定出某种微生物,应该针对性使用抗生素。
目前缺乏尼达尼布或吡非尼酮治疗AE-IPF临床证据,建议患者继续原来的基线治疗方案。
基于现有的临床证据和临床实践经验,对于大多数AE-IPF患者不推荐使用机械通气;对极少数可能行肺移植患者,建议机械通气支持,以便过渡到肺移植。
AE-IPF患者预后非常差,据报道中位生存期约为3~4个月,急性加重发生后住院期间病死率为55%~80%[1,8,16]。近90%的AE-IPF患者需要入ICU治疗[45],初次发生急性加重后存活的患者,随后半年的病死率后可达90%以上[60]。
AE-IPF患者生理学功能和发病时临床的指标与预后相关,包括较低的基线FVC、DLCO、急性加重发病时胸部CT累及范围、氧合状态、BALF中性粒细胞和淋巴细胞百分比[16, 61]。外周血标志物如乳酸脱氢酶、涎液化糖链抗原-6(KL-6)、中性粒细胞弹性蛋白酶、循环纤维细胞、热休克蛋白和瘦素等对预后有一定的预测价值[8,9,31,62,63,64]。
由于缺乏有效的治疗措施,预防AE-IPF的发生比任何治疗更有效[49]。针对IPF发病可能的病因和诱发因素,首先需要预防呼吸道感染,注射流感病毒和肺炎疫苗被认为是有效的预防呼吸道感染的重要措施[65]。在冬季,洗手和避免与病患接触也是非常有用的预防方法[65]。采用药物和非药物的方法来减少胃食管反流也被认为可以预防AE-IPF的发生。由于空气污染是AE-IPF发生的危险因素[29],避免空气传播的刺激物和空气污染也是预防AE-IPF的方法之一。
在IPF伴急性呼吸衰竭需要机械通气支持的患者,可采用保护性肺通气策略(低潮气量)和无创通气模式。尽可能减少的侵入性外科手术或操作,如进行外科手术,机械通气时需要降低氧分压和潮气量[49]。
稳定期IPF患者使用抗纤维化制剂尼达尼布可降低急性加重的发生率[66]。另外,稳定期患者尽量避免使用激素和(或)免疫抑制剂,以减少感染机会,从而避免感染导致AE-IPF的发生。对临床上已经使用激素治疗的IPF患者,应考虑使用复方新诺明预防机会性肺孢子菌感染[67](表1)。

特发性肺纤维化急性加重的预防措施推荐[49]
特发性肺纤维化急性加重的预防措施推荐[49]
| 预防措施 | 推荐 | |
|---|---|---|
| 流感和肺炎疫苗 | + | |
| 洗手、避免接触病患 | + | |
| 尽量采取措施减少胃食管反流 | +/- | |
| 避免空气刺激物和污染物接触 | + | |
| 当需要机械通气时,以下措施可以尽量减少通气诱导的肺损伤 | +/- | |
| 低潮气量通气 | ||
| 无创通气 | ||
| 高流量经鼻导管氧疗 | ||
| 尼达尼布 | +/- | |
| 吡非尼酮 | -/+ | |
| 避免联合使用泼尼松龙和硫唑嘌呤 | + | |
复方磺胺甲 唑 | + | |
注:+为考虑使用,在大多数患者中潜在获益超过潜在危害;+/-为考虑使用,在某些患者结合临床状况认为获益和危害平衡;-/+为不考虑使用,在大多数患者结合临床状况认为获益和危害平衡;-为不考虑使用,在大多数患者中缺乏支持临床获益的证据
总之,急性加重是影响IPF自然病程的重要事件,也是IPF患者死亡的主要原因。希望通过本共识进一步提高国内临床医师对AE-IPF的认识及诊治水平。对于稳定期IPF患者,采取积极措施预防急性加重的发生;对于疑似急性加重患者,通过规范诊治流程,早期诊断,积极采取措施,以改善IPF患者预后。同时,本共识提出的AE-IPF定义、诊断标准和诊治流程,有利于在国内开展多中心真实世界的临床研究,推动我国AE-IPF临床和基础研究的发展。
专家组
顾问:朱元珏(北京协和医院呼吸与危重症医学科);康健、李振华(中国医科大学附属第一医院呼吸与危重症医学科)
组长:代华平(中日友好医院呼吸与危重症医学科国家呼吸系统疾病临床医学研究中心);徐作军(北京协和医院呼吸与危重症医学科);李惠萍(同济大学附属上海市肺科医院呼吸与危重症医学科);蔡后荣(南京大学医学院附属鼓楼医院呼吸与危重症医学科)
成员(按姓氏拼音顺序):白晶(广西医科大学第一附属医院呼吸与危重症医学科);包海荣(兰州大学第一医院老年呼吸科);蔡后荣(南京大学医学院附属鼓楼医院呼吸与危重症医学科);曹孟淑(南京大学医学院附属鼓楼医院呼吸与危重症医学科);曹卫军(同济大学附属上海市肺科医院呼吸与危重症医学科);陈碧(徐州医科大学附属医院呼吸与危重症医学科);陈宏(哈尔滨医科大学第二附属医院呼吸与危重症医学科);陈静瑜(中日医院呼吸与危重症医学科、南京医科大学附属无锡人民医院移植科);陈娟(宁夏医科大学总医院呼吸与危重症医学科);陈丽萍(新疆维吾尔自治区人民医院呼吸与危重症医学科);陈起航(北京医院放射科);陈瑞英(郑州大学第一附属医院呼吸与危重症医学科);程晓明(陆军军医大学新桥医院呼吸与危重症医学科);程真顺(武汉大学中南医院呼吸与危重症医学科);代华平(中日友好医院呼吸与危重症医学科国家呼吸系统疾病临床医学研究中心);代静泓(南京大学医学院附属鼓楼医院呼吸与危重症医学科);董昭兴(昆明医科大学第二附属医院呼吸与危重症医学科);冯瑞娥(北京协和医院病理科);傅恩清(空军军医大学唐都医院呼吸与危重症医学科);高丽(内蒙古自治区人民医院呼吸与危重症医学科);高凌云(四川省医学科学院四川省人民医院东院呼吸与危重症医学科);葛海燕(复旦大学附属华东医院呼吸与危重症医学科);黄慧(北京协和医院呼吸与危重症医学科);黄燕(空军总医院呼吸与危重症医学科);蒋捍东(上海交通大学医学院附属仁济医院呼吸与危重症医学科);金洪(四川大学华西医院呼吸与危重症医学科);金建敏(首都医科大学附属北京同仁医院呼吸与危重症医学科);康健(中国医科大学附属第一医院呼吸与危重症医学科);李凤森(新疆维吾尔自治区中医医院呼吸与危重症医学科);李海潮(北京大学第一医院呼吸与危重症医学科);李惠萍(同济大学附属上海市肺科医院呼吸与危重症医学科);李萍(山西医科大学山西大医院呼吸与危重症医学科);李振华(中国医科大学附属第一医院呼吸与危重症医学科);刘建博(广州中医药大学第一附属医院呼吸科);刘杰(广州医学院第一附属医院呼吸与危重症医学科);刘运秋(开滦总医院呼吸内科);路明(北京大学第三医院呼吸与危重症医学科);吕长俊(滨州医学院附属医院呼吸与危重症医学科);罗群(广州医科大学第一附属医院呼吸与危重症医学科);罗自强(中南大学基础医学院);马万里(华中科技大学同济医学院附属协和医院呼吸与危重症医学科);孟婕(中南大学湘雅医院呼吸与危重症医学科);孟莹(南方医科大学南方医院呼吸与危重症医学科);倪吉祥(三峡大学人民医院呼吸与危重症医学科);宁文(南开大学生命科学院);彭红(中南大学湘雅二医院呼吸与危重症医学科);饶珊珊(贵州省人民医院呼吸与危重症医学科);任雁宏(中日友好医院呼吸与危重症医学科 国家呼吸系统疾病临床医学研究中心);王思勤(河南省人民医院呼吸与危重症医学科);王笑歌(中国医科大学附属第四医院呼吸科);汪铮(河南省人民医院呼吸与危重症医学科);魏路清(武警特色医学中心呼吸与危重症医学科);徐作军(北京协和医院呼吸与危重症医学科);杨俊玲(吉林大学白求恩第二医院呼吸与危重症医学科);杨莉[树兰(杭州)医院呼吸与危重症医学科];叶俏(首都医科大学附属北京朝阳医院呼吸与危重症医学科);于化鹏(南方医科大学珠江医院呼吸与危重症医学科);于文成(青岛大学附属医院呼吸与危重症医学科);张国俊(郑州大学第一附属医院呼吸与危重症医学科);张惠兰(华中科技大学同济医学院附属同济医院呼吸与危重症医学科);张静(天津医科大学总医院呼吸与危重症医学科);张彦平(河北医科大学第二医院呼吸与危重症医学科);张云辉(云南省人民医院呼吸与危重症医学科);赵铁梅(解放军总医院第一医学中心呼吸与危重症医学科);赵亚滨(中国医科大学附属第一医院呼吸与危重症医学科);郑金旭(江苏大学附属医院呼吸与危重症医学科);朱元珏(北京协和医院呼吸与危重症医学科)
主执笔人:曹孟淑、蔡后荣、代华平
专家组所有成员均声明不存在利益冲突

唑



















