
异位胰腺是一种较为少见的胃肠道黏膜下肿瘤,一般病灶较小,多见于胃、十二指肠和空肠上部,而发生在回肠的异位胰腺较为罕见。异位胰腺通常无特异性症状,当出现炎症、出血、梗阻时会出现相应症状。本文报道1例回肠异位胰腺引起消化道出血病例的诊治过程。
版权归中华医学会所有。
未经授权,不得转载、摘编本刊文章,不得使用本刊的版式设计。
除非特别声明,本刊刊出的所有文章不代表中华医学会和本刊编委会的观点。
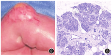
患者男,34岁,因"便血1 d"急诊入院。入院前1 d无明显诱因解暗红色糊状便2次,总量约600 mL,伴头晕、乏力,无腹痛、恶心,无晕厥、黑矇等。否认消化性溃疡、慢性肝炎病史,无非甾体消炎药等药物服用史,无吸烟、饮酒等不良嗜好。入院查体:体温36.3℃,脉搏83次/min,呼吸18次/min,血压114/65 mmHg(1 mmHg=0.133 kPa),贫血貌,睑结膜苍白,皮肤巩膜无黄染,未见肝掌、蜘蛛痣,心肺未见异常体征,腹软,全腹无压痛及反跳痛,肝脾肋下未触及,肠鸣音活跃(约10次/min)。实验室检查:血红蛋白79 g/L、红细胞比容0.225、血小板227×109/L;便潜血(+);肝功能、肾功能、凝血功能及肿瘤标记物均正常。胃镜检查结果:慢性非萎缩性胃炎。结肠镜检查结果:正常结肠黏膜,回肠末段肠液呈洗肉水样。胶囊内镜检查结果:回肠中段见一结节样肿物,表面充血、糜烂(图1)。患者胃肠镜检查均未见明显出血病灶,结合胶囊内镜检查结果及病情,考虑小肠病变致消化道出血可能性大,遂转外科行开腹手术以明确出血原因及部位。术中见:距离回盲部约55 cm处小肠壁见一大小约2 cm×2 cm肿物,病灶处肠壁血管增多并轻度曲张(图2),行小肠病损切除术。术后病理提示小肠胰腺异位Ⅰ型(图3)。患者术后血红蛋白稳定上升,出院随访至今无便血现象。




异位胰腺又称副胰或迷走胰腺,指在正常胰腺以外部位出现,且与正常胰腺无血管、神经、解剖联系的孤立胰腺组织,由Jean-Schultz于1727年首次报道[1]。异位胰腺可发生于消化道任何部位,70%~90%位于上消化道,其中胃占25%~47%,十二指肠占11.7%~36.3%,空肠占15%~35%,回肠较为罕见,占3.8%[2]。组织学上,异位胰腺大多位于黏膜下层(占54%~75%),部分横跨黏膜下层和固有肌层(占23%),其次是固有肌层(占8%)和浆膜层(11%~13%)。胃和十二指肠球部的异位胰腺可能累及全层(占4%)[1,3]。本例病例异位胰腺组织位于回肠浆膜层内。
异位胰腺的发生机制尚不十分清楚,目前主要有两种理论,分别为错位理论和化生理论。错位理论认为胰腺原基在胚胎发育过程中小部分随着原肠道转位等运动与胰腺原基逐渐分离,在邻近的胃、肠壁或肠系膜等处形成异位胰腺组织[2,4],这种观点目前已被广泛接受。化生理论的观点是胚胎在发育期间内胚层组织迁移到黏膜下层,然后转变为胰腺组织[1]。异位胰腺可具备正常胰腺的所有成分。异位胰腺分为4种类型:Ⅰ型由类似于正常胰腺组织的腺泡、胰管和胰岛细胞组成;Ⅱ型由腺泡和胰管组成,无胰岛细胞;Ⅲ型仅有胰管;Ⅳ型仅有胰岛细胞[1]。上述4型中以Ⅰ型最多见,本例病例组织病理学表现包含了正常胰腺的3种成分,属Ⅰ型。
异位胰腺通常是偶然发现,一般无临床症状,当合并炎症、出血、梗阻或恶变时,会出现明显的相应症状[2,4]。异位胰腺的临床表现取决于它所在的位置和大小。由于异位胰腺以上消化道多见,因此消化不良、上腹部疼痛、恶心、呕吐、腹胀及贫血是较为常见的症状[5]。其原因可能是由于异位胰腺组织压迫致黏膜缺血、坏死;分泌的血管活性物质引起的周围组织痉挛影响了消化道黏膜屏障功能,分泌的消化酶通过化学刺激可直接破坏黏膜;同时异位胰腺腺管受阻,可导致炎症和出血等[6,7]。当病变较大时可能导致消化道梗阻[8,9]。肠套叠是小肠异位胰腺最常见的表现[9]。回肠异位胰腺较空肠罕见,国外报道引起肠套叠者极少[4]。但国内文献报道的小肠异位胰腺引起肠套叠者,几乎均发生于回肠[10,11],这种差异可能与报道病例数较少有关。异位胰腺的恶变率很低,仅发生在0.7%~1.8%的病例中,最常见的恶性肿瘤是导管腺癌,其他已报道的肿瘤包括黏液性囊腺癌、腺泡细胞癌、胰岛细胞瘤和实性假乳头状瘤[1]。
异位胰腺是不明原因消化道出血的少见病因,由于报道病例较少,发生率尚不清楚。出血的原因包括胰腺组织炎症,分泌的胰酶破坏邻近组织、血管或侵蚀胃肠道黏膜,最终导致黏膜糜烂、溃疡并出血[10]。不明原因消化道出血占所有消化道出血的5%,其中75%是小肠出血,异位胰腺是不可忽视的病因之一[12]。
异位胰腺内镜下多表现为直径0.5~5.0 cm的半球形或盘状、息肉状黏膜下隆起,表面黏膜光滑,典型的病灶中央呈脐样凹陷或有导管开口。但是超过一半的病变内镜下表现与其他黏膜下肿瘤相似[7]。上消化道钡餐造影、CT和磁共振检查有助于异位胰腺的诊断,但敏感度和特异度均较低[1]。内镜超声检查是评估消化道黏膜下肿瘤最重要的检查,异位胰腺在内镜超声下表现为不均匀低回声肿块,边界不清晰,绝大多数位于黏膜下层或横跨黏膜下层和固有肌层[3,9]。对于小肠的异位胰腺,通过胶囊内镜、小肠镜、X线钡餐造影、CT或磁共振成像等方法诊断均有报道,但对于类似小肠异位胰腺这类不明原因消化道出血,胶囊内镜因其安全无创、检出率较高等优点被推荐为被首选检查方法[13]。本例病例就是经胶囊内镜检查发现回肠病变,术后经病理证实为异位胰腺。
有症状的异位胰腺患者可行内镜下切除或局部手术切除[3,14],切除方式取决于异位胰腺组织的位置、大小和来源。位于黏膜层或黏膜下层的异位胰腺可采用内镜下切除[3]。当异位胰腺并发出血、消化道梗阻或怀疑有恶变时应行外科手术。对于无症状的异位胰腺是否需要切除目前仍存在争议,明确排除恶性肿瘤的无症状患者可随访,随访间隔时间尚未明确,也有学者认为为防止其并发症发生,一经发现应予以切除[14]。
所有作者声明不存在利益冲突





















