围生期脑损伤主要指在妊娠28周至出生7 d,各种因素如感染、创伤、意外窒息、中毒和脑血管病等所致的中枢神经系统损伤。常见病因包括宫内感染、围生期缺氧窒息、脑出血、局灶性脑梗死、低血糖脑损伤、胆红素脑病和代谢性脑病等。围生期脑损伤可引起各种精神和肢体残疾,包括发育迟缓、视听觉损伤、言语障碍、交流困难、癫痫、异常运动模式和精神心理问题等[1,2]。同时,围生期是中枢神经系统髓鞘化进程和功能发育进程最快的时期,发育带来的功能改善,极易掩盖围生期脑损伤的短期不利影响,从而错失最佳的早期干预时机。临床如何判定围生期脑损伤的危害,头颅磁共振成像(MRI)显示出了巨大的优势。
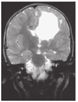
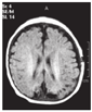
1 头颅MRI评估的发展历史早在1983年,Johnson等[3]首次报道了头颅MRI应用于新生儿脑发育及损伤的评估,展示了从胎龄36周至出生后20月龄不同时期髓鞘化的水平(图1);同时提供了早产儿脑室旁出血和后期白质软化、侧脑室扩张等病变(图2)。

点击查看大图
图1
髓鞘化进程 A:纠正胎龄36周;B:纠正胎龄42周;C:纠正胎龄52周;D:10月龄时;E:20月龄时
Figure 1
Myelination process A:36 weeks postmenstrual age;B:42 weeks postmenstrual age;C:52 weeks postmenstrual age;D:full term infant at 10 months;E:full term infant at 20 months

点击查看大图
图1
髓鞘化进程 A:纠正胎龄36周;B:纠正胎龄42周;C:纠正胎龄52周;D:10月龄时;E:20月龄时
Figure 1
Myelination process A:36 weeks postmenstrual age;B:42 weeks postmenstrual age;C:52 weeks postmenstrual age;D:full term infant at 10 months;E:full term infant at 20 months

点击查看大图
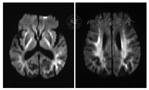
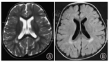
图2
早产儿脑室旁出血和后期白质软化、侧脑室扩张 A:纠正胎龄35周时;B:2岁时
Figure 2
Periventricular hemorrhage and late white matter softening and la-teral ventricular dilatation in premature infants A:at 35 weeks postmenstrual age;B:magnetic resonance imaging at 2 years old

点击查看大图
图2
早产儿脑室旁出血和后期白质软化、侧脑室扩张 A:纠正胎龄35周时;B:2岁时
Figure 2
Periventricular hemorrhage and late white matter softening and la-teral ventricular dilatation in premature infants A:at 35 weeks postmenstrual age;B:magnetic resonance imaging at 2 years old
2 婴幼儿髓鞘化与对应的脑MRI影像学特点随着婴幼儿脑发育的进行,髓鞘化进程也随之加速,由此对应的头颅MRI表现也随着改变,对婴幼儿脑损伤的判定带来一定干扰。
(1)皮质:足月正常婴儿出生时皮质T1加权像(T1WI)高信号、T2加权像(T2WI)低信号,在罗兰氏区或中央沟周围对比最明显。2月龄时,T1WI皮质高信号减低,6个月后T2WI皮质高信号减低。在1月龄左右,MRI图像处于相对等信号时期,此期难以判定脑组织正常或损伤。
(2)中央灰质:足月儿的基底核和丘脑相对较大。内囊清晰地分隔了尾状核头、纹状体(苍白球、壳核)和丘脑结构。苍白球、丘脑腹外侧核、壳核后部在T1WI呈高信号。之后数周,苍白球和壳核的高信号逐渐变得不明显,此时胆红素脑病引发的异常信号与足月儿接近,易误诊。丘脑腹外侧核与周围组织的信号对比可持续数月。苍白球、红核、黒质、齿状核(后期)由于铁沉积在T2WI上表现的低信号,在9岁之前不应出现。
(3)脑白质:足月儿脑白质相对不成熟,出生时大部分尚无髓鞘化。髓鞘化的区域主要位于脑干、苍白球、丘脑腹外侧核;从妊娠38周开始,脑白质髓鞘化进程加速,一直持续至出生后的第1年,而且2岁后仍有小部分髓鞘化进行,少部分髓鞘化可一直延续至青春期。
髓鞘化从背侧至头侧,大脑半球首先从顶叶,之后分别至枕叶、额叶、颞叶。半球内椎体束相关区域髓鞘化早于脑叶。脑干髓鞘化背侧先于腹侧,感觉先于运动。总之,在T1WI上,1月龄时内囊髓鞘化达膝部,3月龄时完全髓鞘化。之后髓鞘化的区域在半卵圆中心、视神经辐射和胼胝体部位,在T2WI上,这些改变要慢,时间要长,因此较为隐匿,在出生后第2年髓鞘化延迟在T2WI观察较好。
(4)终末带:在侧脑室后方和上方的脑室周围区,T2WI和液体衰减反转恢复序列(FLAIR)尤为明显。在正常婴儿出生后第2年能看到,可持续存在多年,称为"终末带"。组织学上这些部位符合"细胞贫乏区域"。这些区域也是脑室周围白质软化症(periventricular leukomalacia,PVL)中最常见的区域,同时也是无明确病因的全面性发育落后儿童影像学常见表现。
鉴别要点:脑室边缘相对平滑,形状正常,T2WI表现为脑室边缘低信号,考虑终末带(图3)。而PVL则出现脑室边缘不规则,边缘异常高信号,信号高于正常"终末带"(图4)[4],常伴胼胝体后部变薄及部分丘脑萎缩。

点击查看大图
Figure 3
Ventricular marginal terminal zone A:T2WI;B:FLAIR

点击查看大图
Figure 3
Ventricular marginal terminal zone A:T2WI;B:FLAIR

点击查看大图
Figure 4
Periventricular leukomalacia A:T2WI;B:FLAIR

点击查看大图
Figure 4
Periventricular leukomalacia A:T2WI;B:FLAIR
(5)胼胝体:出生时,胼胝体很薄,厚度均匀(约2 mm),相对平坦,未髓鞘化。胼胝体膝部、压部在出生后第1年后期(0.5岁后)逐渐增厚并存在髓鞘化,才会呈现出其特有的形态。胼胝体的体部在9月龄左右呈现成人形态,在体部和压部连接的地方经常出现局灶性变薄。
(6)小脑:小脑蚓部和小脑半球在出生时已发育良好。中线区小脑向前旋转,与脑干后缘向下毗连。小脑半球中央区、小脑下脚、小脑上脚已完成髓鞘化。出生后3个月,表现与成人相似,但T2WI需要更久才能看到髓鞘化。小脑外周髓鞘化逐步完成,渐延伸至叶部,4个月后在TIWI中开始出现,8个月后在T2WI中出现,18个月时小脑发育与成人接近。
(7)脑室系统:侧脑室前后角小而圆,可看到向颞叶延伸。第三脑室后部在丘脑之间,前部向前下指向垂体窝,因此更为明显。导水管狭窄,但应该可见。第四脑室宽度大于深度,约为脑桥直径的1/2。
(8)脑外和发育性间隙:脑半球间裂狭窄规则,外侧裂更为显著。顶叶、颞叶周围腔隙、基底池比较大,可达到5~6 mm,直到孕36~37周,顶后部蛛网膜下腔都可以很宽(12~13 mm)。额部脑外隙增宽并不少见,可能与婴儿期的巨脑畸形有关。
对早产儿的头颅MRI影像学评估,最好在相当于足月龄时进行,此时内囊后肢的外观可用来预测其预后。
3 常见婴幼儿脑损伤及头颅MRI演变MRI提供了关于新生儿期观察到的脑损伤演变的详细信息,使用常规序列的连续MRI研究可以提供很好的结果预测。特别是围生期脑损伤后预后的判定,一直是人们关注的重点。
3.1 缺氧缺血性脑病(hypoxic ischemic encephalo-pathy,HIE)对存在弥散性HIE的婴儿,其Apgar评分和脐带血pH值通常较低,并有新生儿脑病的临床症状。病变通常在早期扫描中被发现,1周后的MRI检查中表现更为显著。常规MRI对受损脑组织的范围与类型均能进行清晰描述。早期表现包括:脑水肿、以中央前后回与顶枕部为主要病变部位的T1WI皮质与深部白质可见点状、条状迂回的高信号;部分病情严重患儿于皮质内均可见雪花状高信号、T1WI皮质下白质可见低信号(小囊状),T2WI则表现为高信号等。
更严重的表现如下:(1)深部白质受累:T1WI双侧侧脑室前角前方额叶深部白质内表现为高信号(点状),且沿侧脑室壁可见条状、较粗的高信号,侧脑室三角区背侧白质表现为低信号(斑片状),T2WI则表现为高信号,为脑室旁白质软化;当T2WI白质呈弥散性高信号,T1WI为低信号时,为弥散性脑水肿;(2)基底核和丘脑病变(basal ganglionic and thalamic injury,BGT):表现为均匀或不均匀的高信号,两侧多见,严重者可见丘脑、基底核坏死;(3)脑室与室外间隙:蛛网膜下腔与脑室内均可出血。晚期MRI则有蛛网膜下腔间隙增宽、髓鞘化异常、多发性脑软化、脑白质明显减少、脑萎缩和胼胝体发育不良。
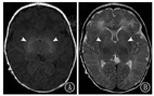
脑水肿消失且新生儿出生2~4周行常规MRI可有效评估其远期结局,在符合HIE标准的婴儿中,最常见的病变是BGT(图5)[5]。BGT的病变常伴皮质和皮质下白质损伤,最典型的是在中央沟周围和内侧颞叶,BGT病变的严重程度决定了脑瘫的严重程度和性质。

点击查看大图
图5
T1WI及DWI:缺氧缺血性脑病患儿双侧基底核及丘脑高信号(箭头所示)
Figure 5
T1WI and DWI:bilateral basal nuclei and thalamus hyperintensity in children with hypoxic-ischemic encephalopathy (arrow showed)

点击查看大图
图5
T1WI及DWI:缺氧缺血性脑病患儿双侧基底核及丘脑高信号(箭头所示)
Figure 5
T1WI and DWI:bilateral basal nuclei and thalamus hyperintensity in children with hypoxic-ischemic encephalopathy (arrow showed)
在伴有严重白质病变的患儿中,运动功能取决于BGT病变的程度,而认知缺陷与白质损伤的严重性有关,白质病变越严重,认知功能越差。当然,严重的BGT病变同样带来严重的认知障碍,主要与病变导致脑组织萎缩有关。
在一些患有HIE的婴儿中,发病初期的MRI可能只显示轻度异常,轻度异常中可能存在严重脑损伤,尤其是对没有经验的放射科医师来说,易漏诊。弥散加权成像(diffusion-weighted images,DWI)可用于大多数现代扫描仪,其能够识别任何梗死的白质,特别注意HIE引起的早期梗死组织DWI影像表现明显,持续约1周。因此,早期图像检查均应包括DWI,但DWI在检测基底神经节和丘脑的明显损伤时却不那么可靠[6]。HIE导致严重的脑软化、坏死等的远期结局不良基本是肯定的。
3.2 胆红素脑病对于疑有胆红素脑病的婴儿,在急性期,苍白球内T1WI信号强度的增加明显,T2WI增加较T1WI不明显(图6)[7]或不增加。到6个月后,在T2WI上异常信号变得更加明显,T1WI上信号强度降低。胆红素脑病经典的头颅MRI后期表现:T2WI在苍白球区显示高信号强度(图7)[8],还可累及到丘脑底核和海马等。

点击查看大图
图6
胆红素脑病急性期 A:T1加权像:苍白球内信号强度增加明显(箭头所示);B:T2加权像:信号强度增加不明显(箭头所示)
Figure 6
Nuclear jaundice A:T1 weighted image showing subtle but clear increased T1 signal intensity in the globus pallidum bilaterally (arrow showed);B:T2 weighted image showing unremarkable T2 signal intensity in the globus pallidum bilaterally(arrow showed)

点击查看大图
图6
胆红素脑病急性期 A:T1加权像:苍白球内信号强度增加明显(箭头所示);B:T2加权像:信号强度增加不明显(箭头所示)
Figure 6
Nuclear jaundice A:T1 weighted image showing subtle but clear increased T1 signal intensity in the globus pallidum bilaterally (arrow showed);B:T2 weighted image showing unremarkable T2 signal intensity in the globus pallidum bilaterally(arrow showed)

点击查看大图
图7
胆红素脑病后期T2加权像:苍白球区显示高信号强度(箭头所示)
Figure 7
Late bilirubin encephalopathy T2 weighted image magnetic resonance image showing bilateral T2 hyperintensities of the globus pallidus(arrow showed)

点击查看大图
图7
胆红素脑病后期T2加权像:苍白球区显示高信号强度(箭头所示)
Figure 7
Late bilirubin encephalopathy T2 weighted image magnetic resonance image showing bilateral T2 hyperintensities of the globus pallidus(arrow showed)
部分胆红素脑病早期诊断不明,临床苍白球内T1WI信号强度较弱,T2WI信号正常,可以采用T2WI和T1WI的预磁化快速梯度回波序列,能够更精确地发现早期胆红素脑病(图8)[9]。

点击查看大图
图8
1例7日龄患儿苍白球及丘脑下核的3D T1加权MP2RAGE图像 A:横断位T1加权图像;B:横断位T1加权MP2RAGE图像;C:常规T2加权图像;D:常规扩散加权图像;E:常规表观扩散系数图;F:增强检查3D T1加权MP2RAGE扫描显示丘底核高信号(箭头所示)
Figure 8
Globus pallidus(GP) and subthalamic nucleus with 3D T1-weighted MP2RAGE in a 7 days old patient A:high intensity signal in the GP (curved arrow) was shown with axial T1-weighted image;B:axial T1-weighted MP2RAGE;C:normal T2-weighted image;D:normal diffusion weighted image;E:normal apparent diffusion coefficient map;F:high intensity signal in the subthalamic nucleus was revealed with coronary image reconstruction from the 3D T1-weighted MP2RAGE (arrow showed)

点击查看大图
图8
1例7日龄患儿苍白球及丘脑下核的3D T1加权MP2RAGE图像 A:横断位T1加权图像;B:横断位T1加权MP2RAGE图像;C:常规T2加权图像;D:常规扩散加权图像;E:常规表观扩散系数图;F:增强检查3D T1加权MP2RAGE扫描显示丘底核高信号(箭头所示)
Figure 8
Globus pallidus(GP) and subthalamic nucleus with 3D T1-weighted MP2RAGE in a 7 days old patient A:high intensity signal in the GP (curved arrow) was shown with axial T1-weighted image;B:axial T1-weighted MP2RAGE;C:normal T2-weighted image;D:normal diffusion weighted image;E:normal apparent diffusion coefficient map;F:high intensity signal in the subthalamic nucleus was revealed with coronary image reconstruction from the 3D T1-weighted MP2RAGE (arrow showed)
3.3 脑出血围生期获得性脑损伤的演变是可预测的,因此,常规的系列影像学检查可对损伤时机进行评估。连续扩散成像将额外提供病变的时间信息。随着血液成分的降解,出血性病变随之迅速演变,但在T1WI或T2WI上看到的确切信号强度将取决于出血病变的部位、大小和确切性质。
大的出血灶在约10 d后的T2WI上表现为高信号强度,较小的病变则没有。重复成像也可能有助于记录异常的非典型演变,特别是当怀疑存在代谢性疾病等其他不同的诊断时。在某些代谢性疾病中,还存在大脑的先天畸形,如非酮症高血糖症患者的胼胝体发育不全。
对于早期脑出血,后期持续的癫痫发作、头颅MRI正常或仅有髓鞘发育延迟婴儿来说,合并代谢性疾病的可能性大。
在新生儿期的MRI中,出血病变可能非常显著,但也可能表现仅有某种程度的脑萎缩。婴儿自发性出血病因复杂,这可能决定预后。围生期白质损害与认知缺陷有关;损害越严重,认知的缺陷也就越严重。如果皮质脊髓束和/或基底神经节和丘脑有额外的累及,就可能发生运动障碍。特别注意的是,部分严重早期出血患儿,有较好预后(图9)[10]。

点击查看大图
图9
1例宫内严重脑出血患儿的预后 A:孕29周胎儿T2:左侧额叶出血伴脑室扩张,出血周围存在水肿(TR/TE=3 630/90 ms);B:出生后1 d:侧脑室和第三脑室严重扩张,与大脑导水管水平的严重梗阻性脑积水相一致,大脑实质变薄,左侧较右侧显著(第2天进行了手术);C:2岁时,患儿坐在母亲腿上欣赏收到的生日贺卡
Figure 9
Prognosis of a child with severe intracerebral hemorrhage A:fetal magnetic resonance imaging T2-weighted half-fourier acquisition single-shot turbo spin-echo sequence at 29 weeks of gestational age.Arrows indicate left frontal hemorrhage with ventricular extension.The hemorrhage is surrounded by edema (TR/TE=3 630/90 ms);B:computed tomography of the head at 1 day of age,demonstrating severe dilatation of the lateral and third ventricles,consistent with severe obstructive hydrocephalus at the level of the cerebral aqueduct,and thinning of the brain parenchyma,left more than right.She underwent surgery the next day;C:patient at age 2 years,sitting in her mother′s lap,admiring a card she received for her second birthday

点击查看大图
图9
1例宫内严重脑出血患儿的预后 A:孕29周胎儿T2:左侧额叶出血伴脑室扩张,出血周围存在水肿(TR/TE=3 630/90 ms);B:出生后1 d:侧脑室和第三脑室严重扩张,与大脑导水管水平的严重梗阻性脑积水相一致,大脑实质变薄,左侧较右侧显著(第2天进行了手术);C:2岁时,患儿坐在母亲腿上欣赏收到的生日贺卡
Figure 9
Prognosis of a child with severe intracerebral hemorrhage A:fetal magnetic resonance imaging T2-weighted half-fourier acquisition single-shot turbo spin-echo sequence at 29 weeks of gestational age.Arrows indicate left frontal hemorrhage with ventricular extension.The hemorrhage is surrounded by edema (TR/TE=3 630/90 ms);B:computed tomography of the head at 1 day of age,demonstrating severe dilatation of the lateral and third ventricles,consistent with severe obstructive hydrocephalus at the level of the cerebral aqueduct,and thinning of the brain parenchyma,left more than right.She underwent surgery the next day;C:patient at age 2 years,sitting in her mother′s lap,admiring a card she received for her second birthday
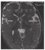
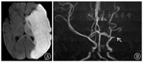
3.4 局灶性病变/脑梗死有新生儿癫痫,但Apgar评分相对正常和需要复苏的婴儿,通常存在局灶性缺血性或出血性病变。局灶性缺血通常以大脑中动脉梗死的形式出现,最常累及左半球(图10)。一般来说,在第1周结束时进行扫描能更好地判断病变范围。在少数婴儿中,早期常规MRI图像的异常可能非常细微。相比之下,同期的DWI将能够突出扫描的梗死区域[11]。DWI的异常在第1周结束时变得不明显,此时常规T1WI和T2WI的异常信号却十分明显。

点击查看大图
图10
大脑中动脉梗死新生儿 A:左侧大脑中动脉区梗死;B:头颅磁共振血管造影:左侧大脑中动脉主干梗阻
Figure 10
Newborn with middle cerebral artery infarction A:left middle cerebral artery territory infarction;B:left middle cerebral artery main branch obstruction (arrow showed) is evident in magnetic resonance angiography image

点击查看大图
图10
大脑中动脉梗死新生儿 A:左侧大脑中动脉区梗死;B:头颅磁共振血管造影:左侧大脑中动脉主干梗阻
Figure 10
Newborn with middle cerebral artery infarction A:left middle cerebral artery territory infarction;B:left middle cerebral artery main branch obstruction (arrow showed) is evident in magnetic resonance angiography image
从2周以后,梗死组织可能会分解。脑外间隙可扩大。空洞性囊肿可能会形成,尽管其中可见一些组织。受累半球看起来比未受累半球小,在梗死部位周围最为明显的是髓鞘化的普遍减少。在一些病例中,随着脑发育,梗死灶可能会缩小,甚至在一些病例中,原始病灶可能难以识别。6~8周后,由于瓦勒氏变性引起的脑干变化也可能变得明显,在6个月及以后甚至更加明显。
初始病变的程度决定了预后的进展。如果涉及3个部位,即大脑半球、基底神经节和内囊的后肢,婴儿很可能发展为偏瘫。V因子Leiden杂合突变在此3个部位受累的婴儿中更为常见。无论是晚期还是早期的图像,3个部位参与通常均很明显[12](图11)。

点击查看大图
图11
2岁患儿T2加权像:左侧侧脑室后囊性扩张伴皮质下白质缺失
Figure 11
T2 weighted image at 2 years of age:porencephalic cystic dilatation of the left lateral ventricle with loss of subcortical white matter

点击查看大图
图11
2岁患儿T2加权像:左侧侧脑室后囊性扩张伴皮质下白质缺失
Figure 11
T2 weighted image at 2 years of age:porencephalic cystic dilatation of the left lateral ventricle with loss of subcortical white matter
在某些病例中,BGT在出生后的第1年可能很难发现,脑白质梗死可导致脑萎缩,这是很难检测到的,尤其是在最初累及皮质很少的情况下。在某些情况下,围生期梗死可能演变为类似于脑裂畸形的发育异常。
3.5 低血糖脑损伤低血糖脑损伤早期MRI异常主要集中在大脑皮质的后部,弥散性皮质及皮质下白质损害,顶叶和枕叶受影响最严重,有或无相关的皮质下或脑室周围白质病变[13](图12)。

点击查看大图
Figure 12
T1 weighted axial spin echo image shows microcephaly and cortical and subcortical cystic changes in posterior parietal lobes

点击查看大图
Figure 12
T1 weighted axial spin echo image shows microcephaly and cortical and subcortical cystic changes in posterior parietal lobes
基底神经节、丘脑可以存在异常信号,但这种情况很少见。当局灶性病变累及内囊后肢(图13),结果良好。当病变弥散至内囊、放射冠和半卵圆中心(图14)[14],结果较差。涉及大脑半球的急性异常多数是暂时的,应进行头颅MRI随访确定。

点击查看大图
图13
弥散加权成像:病变累及内囊后肢 A:单侧;B:双侧
Figure 13
Diffusion-weighted images:focal lesions involving the posterior limb of the internal capsule A:unilateral lesion;B:bilateral lesions

点击查看大图
图13
弥散加权成像:病变累及内囊后肢 A:单侧;B:双侧
Figure 13
Diffusion-weighted images:focal lesions involving the posterior limb of the internal capsule A:unilateral lesion;B:bilateral lesions

点击查看大图
图14
弥散加权成像:病变弥散到内囊、放射冠和半卵圆中心
Figure 14
Diffusion-weighted images:diffuse lesions involving bilateral hemispheric white matter including the internal capsule,corona radiata,and centrum semiovale

点击查看大图
图14
弥散加权成像:病变弥散到内囊、放射冠和半卵圆中心
Figure 14
Diffusion-weighted images:diffuse lesions involving bilateral hemispheric white matter including the internal capsule,corona radiata,and centrum semiovale
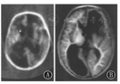
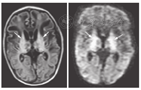
3.6 早产儿脑损伤[15,16,17]早产儿脑损伤的主要原因是围生期缺氧缺血,经典病理形式是脑室周围-脑室内出血(periventricular-intraventricular hemorrhage,PVL-IVH)和PVL。根据Paneth将早产儿脑损伤分为脑白质损伤(brain white matter damage,WMD)、脑非实质区出血、脑其他部位(小脑、基底核和脑干等)损伤。其中WMD又分为囊性、非囊性和弥散性脑白质病变3种(图15)。

点击查看大图
图15
早产儿白质软化类型示意图 A:囊性脑白质病变;B:非囊性脑白质病变;C:弥散性脑白质病变
Figure 15
Schematic diagram of leukomalacia type in premature infants A:cystic periventricular leukomalacia;B:non-cystic periventricular leukomalacia;C:diffuse periventricular leukomalacia

点击查看大图
图15
早产儿白质软化类型示意图 A:囊性脑白质病变;B:非囊性脑白质病变;C:弥散性脑白质病变
Figure 15
Schematic diagram of leukomalacia type in premature infants A:cystic periventricular leukomalacia;B:non-cystic periventricular leukomalacia;C:diffuse periventricular leukomalacia
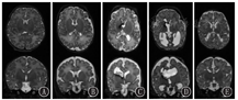
下图列出的是每个脑损伤类别中有代表性的个体婴儿[15](轴位T2加权MRI扫描显示)(图16)。

点击查看大图
图16
每个脑损伤类别中有代表性的个体婴儿轴位T2加权磁共振成像结果 A:足月婴儿(对照);B:极早产的婴儿,无脑损伤,存在折叠减少,解剖结构正常;C:极早产儿,Ⅲ/Ⅳ级IVH,可见脑室内和脑室周围出血;D:极早产儿伴IVH和出血后脑积水,侧脑室扩张;E:极早产儿伴有囊性脑室旁白质软化症
Figure 16
Representative individual infant axial T2 weighted magnetic resonance imaging results in each brain injury category A:full-term infant;B:very preterm infant without brain injury,note dolichocephalic shape and decreased folding but otherwise normal anatomy;C:very preterm infant with grade Ⅲ/Ⅳ IVH,note presence of intra-and periventricular hemorrhage;D:very preterm infant with IVH and post-hemorrhagic hydrocephalus requiring neurosurgical intervention,note dilated lateral ventricles;E:very preterm infant with cystic periventricular leukomalacia

点击查看大图
图16
每个脑损伤类别中有代表性的个体婴儿轴位T2加权磁共振成像结果 A:足月婴儿(对照);B:极早产的婴儿,无脑损伤,存在折叠减少,解剖结构正常;C:极早产儿,Ⅲ/Ⅳ级IVH,可见脑室内和脑室周围出血;D:极早产儿伴IVH和出血后脑积水,侧脑室扩张;E:极早产儿伴有囊性脑室旁白质软化症
Figure 16
Representative individual infant axial T2 weighted magnetic resonance imaging results in each brain injury category A:full-term infant;B:very preterm infant without brain injury,note dolichocephalic shape and decreased folding but otherwise normal anatomy;C:very preterm infant with grade Ⅲ/Ⅳ IVH,note presence of intra-and periventricular hemorrhage;D:very preterm infant with IVH and post-hemorrhagic hydrocephalus requiring neurosurgical intervention,note dilated lateral ventricles;E:very preterm infant with cystic periventricular leukomalacia
后期随访的MRI可以从病理学角度判定现有的临床症状(图17),上列显示T2WI轴向;下列显示T2WI运动束冠状面的损伤[16]。

点击查看大图
图17
后期随访的磁共振成像结果 A:轻度不对称形式,涉及右侧运动束(大箭头所示),小箭头显示额部神经胶质增生(6岁,左侧单侧痉挛性脑瘫,GMFCS Ⅰ级);B:轻度对称性,涉及两侧运动束,箭头指示室周神经胶质增生(3岁,双侧痉挛性脑瘫,GMFCS Ⅰ级);C:不止双侧神经胶质增生的严重形式(箭头),还有组织的损失(6岁,双侧痉挛性脑瘫,GMFCS Ⅴ级)
Figure 17
Magnetic resonance imaging results of late follow-up A:a mild,but very asymmetrical form,involving the motor tract only on the right side,indicated by the big arrow,while the small arrow indicates frontal gliosis (age 6 years old,unilateral spastic CP on the left side,GMFCS level Ⅰ);B:a mild symmetrical form,involving motor tracts on both sides,the arrow indicates the periventricular gliosis (3 years old,bilateral spastic CP,GMFCS level Ⅰ);C:a severe form with not only bilateral gliosis,indicated by the arrows,but also tissue loss (6 years old,bilateral spastic CP,GMFCS level Ⅴ)

点击查看大图
图17
后期随访的磁共振成像结果 A:轻度不对称形式,涉及右侧运动束(大箭头所示),小箭头显示额部神经胶质增生(6岁,左侧单侧痉挛性脑瘫,GMFCS Ⅰ级);B:轻度对称性,涉及两侧运动束,箭头指示室周神经胶质增生(3岁,双侧痉挛性脑瘫,GMFCS Ⅰ级);C:不止双侧神经胶质增生的严重形式(箭头),还有组织的损失(6岁,双侧痉挛性脑瘫,GMFCS Ⅴ级)
Figure 17
Magnetic resonance imaging results of late follow-up A:a mild,but very asymmetrical form,involving the motor tract only on the right side,indicated by the big arrow,while the small arrow indicates frontal gliosis (age 6 years old,unilateral spastic CP on the left side,GMFCS level Ⅰ);B:a mild symmetrical form,involving motor tracts on both sides,the arrow indicates the periventricular gliosis (3 years old,bilateral spastic CP,GMFCS level Ⅰ);C:a severe form with not only bilateral gliosis,indicated by the arrows,but also tissue loss (6 years old,bilateral spastic CP,GMFCS level Ⅴ)
4 神经系统异常与头颅MRI在一些婴儿中,只有在1岁以后才发现神经系统异常。此时成像非常有价值。
(1)偏瘫患儿:出现偏瘫的婴儿可能出现与PVH一致的空洞性脑囊肿。这可能发生在围生期病史并不显著的足月儿身上,其表现应与新生儿卒中(即大脑中动脉梗死)所引起的表现有所区别。这可能是一种更典型的足月龄儿脑损伤,尽管围生期病史也可能是正常的,或可能漏诊了微发作的癫痫。重要的是排除导致偏瘫的先天性疾病,如脑裂畸形或多小脑回畸形。这些情况可能在以后的怀孕中再次发生,需要对其父母进行仔细的咨询建议和指导。
(2)双瘫患儿:双瘫患儿的影像学表现可能与PVL一致。这同样可以是围生期病史正常,却由于围生期脑损伤导致的不良结果。然而,如果足月儿存在新生儿脑病,那么晚期PVL可能是足月儿脑损伤的结果。
(3)四肢瘫患儿:有广泛的PVL或基底神经节和丘脑异常的证据,且损伤在6周龄到1岁之间变化不大。严重的BGT与白质萎缩有关,白质萎缩似乎是一种继发性或迟发性效应。白质萎缩之前无明显梗死。在后期的图像中,严重的脑白质萎缩背后的病因可能难以分辨。然而,如果损伤主要是中央灰质,那么将会萎缩和持续的异常信号。在因PVL而导致脑白质萎缩的婴儿中,丘脑可能会萎缩,但基底神经节大小与形状一般是正常的。
在有或无听力损失的运动迟缓或四肢瘫痪的婴儿中,偶尔会意外地发现与胆红素脑病异常相一致的现象。通常有黄疸病史,需要介入治疗,但这在当时可能认为情况并不严重。
(4)大头婴儿:脑外间隙增宽或"良性脑积水"。早产儿通常在1岁之前,出生后4个月头围增加。某些情况下,头围扩大继发于硬膜下出血。这可能是自发的,也可能是意外跌倒后发生的,但通常需要进一步的放射学检查来排除其他原因。有几种罕见的以大头畸形为特征的疾病,如亚历山大病和卡纳万病。这些婴儿可伴随神经功能障碍以及明显的发育退化。
(5)小头婴儿:小头意味着大脑发育不良。同样,评估自分娩以来头围增长情况,记录父母的头围。早期连续测量头围有助于区分原发性和继发性小头畸形。尽管临床表型不尽相同,详细的家族史可以诊断家族性小头畸形。磁共振成像可显示与先前的损伤相一致的明显梗死或萎缩的区域,或确定引起小头畸形的遗传或先天性原因。
严重脑损伤导致的脑组织液化和头围畸形,可能后期诱发反复自发性硬膜下或硬膜外出血,在评估预后的时候一定要担心。值得注意的是,一些认为患有孤立性认知障碍的儿童,也可能是围生期损伤的结果。然而,通常有异常围生期病史,多数是癫痫,很可能是小头畸形。此外,在患有围生期获得性白质损伤的儿童中,后期随访与PVL难以区分,这种损伤可能会被错误地归因于妊娠早期的产前损伤。有足月出生的婴儿在影像学上和/或临床上出现PVL征象,必须围生期出现新生儿脑病或癫痫症状等情况时,才可能合理推断其围生期事件的发生。
5 小结MRI已成为研究婴儿神经系统异常的一项宝贵技术。在任何年龄的图像通常可以区分先天性或获得性疾病,脑损伤的病因、发病时间、预后,尤其对运动功能、视觉发育、认知功能有一定的早期预测价值。诊断脑瘫或其他非进行性神经系统疾病的时候,若缺乏明确的出生前和围生期脑损伤,发育进程出现停滞或倒退的证据,或者新的神经学信号出现等,此时应复查头颅MRI[18]。
头颅MRI并不能完全预测婴幼儿脑损伤的结局,以脑瘫的发生为例,存在脑损伤和环境复杂相关作用的过程,早期合理必要的干预可能会阻断不良神经系统结局的发生。