
二尖瓣环分离(MAD)是一种二尖瓣环的结构异常,表现为二尖瓣后叶附着点从左心室后侧壁顶部移位至左心房。MAD可导致心脏结构和功能异常,并与室性心律失常和心脏性猝死密切相关。该文就MAD的研究现状做一概述,以期提高临床对该病的认识。
二尖瓣环分离(mitral annulus disjunction,MAD)是一种二尖瓣环结构的解剖学异常,表现为二尖瓣瓣叶(通常为后叶)附着点向左心房侧移位,从而与左心室游离壁心肌顶端之间存在不同程度的分离。近年来,随着影像学技术的快速发展,MAD的检出率提高,各国学者对MAD的研究不断深入,人们开始认识到MAD的重要临床意义。目前认为MAD与室性心律失常及心脏性猝死有密切关系,并且能导致继发的心脏结构和功能改变[1]。
1981年,Bharati等[2]报道了1例有长期心悸病史的患者,体格检查发现其有典型二尖瓣脱垂(mitral valve prolapse,MVP)的体征,心电监测捕捉到频发室性早搏和非持续性室速。患者拒绝进一步治疗并于首诊1年后猝死。尸检除证实了MVP的临床诊断外,还发现其二尖瓣后叶的附着点位于左心房侧,而不是通常所在的房室沟水平的左心室游离壁心肌内膜侧。
随后Hutchins等[3]对这一解剖学异常进行了系统研究,提出了MAD的概念,将其定义为二尖瓣-左心房连接点与左心室后侧壁心肌顶部之间存在较宽的分离(图1)。MAD实质上就是二尖瓣后叶的附着点向心房侧移位,导致后叶二尖瓣环明显拉长呈“帘状”,而非正常时沿房室交界平面分布的线状结构。二尖瓣前叶附着点因临近致密的“纤维三角”,所以较少发生MAD[4, 5]。MAD的发病机制目前还不清楚,无法确定它是先天性、退行性还是后天获得性结构异常,也缺乏遗传学与基因学的研究证据[1]。


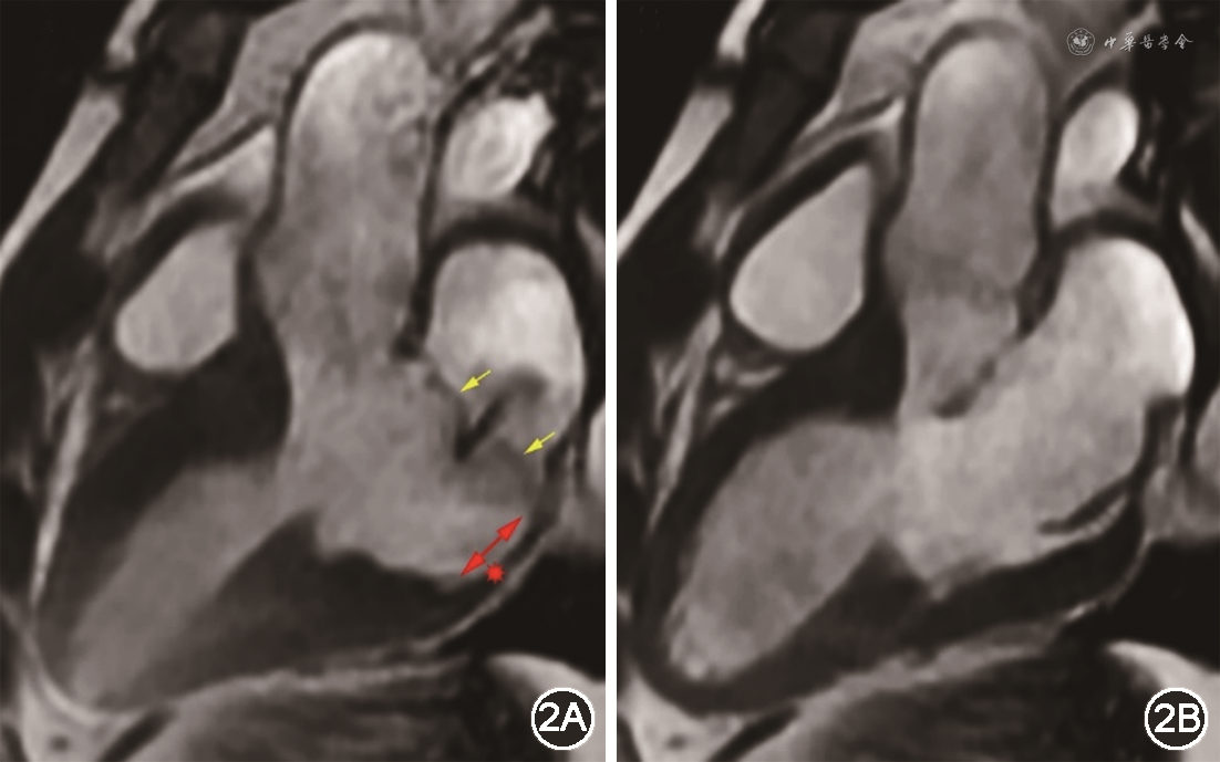
MAD的影像学表现为:左心房壁-二尖瓣环后叶连接点与左心室后侧壁顶部之间存在不同程度的分离,可伴有后叶二尖瓣环的收缩期外向运动,即卷曲运动(curling motion)。影像学检查时,在胸骨旁长轴切面、心室收缩末期最易观察到MAD。心室舒张时左心室游离壁顶部正好位于二尖瓣后叶附着点下方,二者呈纵向线性毗邻关系,MAD可能会被掩盖;当左心室后外侧壁心肌收缩时,二尖瓣环滑动使后叶附着点与左心室游离壁顶部的距离拉大,形成可见的MAD,分离距离从1 mm到>10 mm不等(图2)。文献报道中MAD的诊断标准并不统一,但一般认为分离距离>2 mm即可诊断[1,4,6, 7],但是否所有符合诊断标准的MAD都有临床意义尚不明确。经胸超声(transthoracic echocardiography,TTE)、经食管超声(transesophageal echocardiography,TEE)和心脏磁共振(cardiac magnetic resonance,CMR)等无创影像学检查是诊断MAD的主要方法,但目前作为参考标准的影像学技术尚未确定。TTE是诊断MAD的重要工具,其简单有效、成本低廉,可以很好地评估二尖瓣形态和二尖瓣反流,但容易受声窗不足、二尖瓣钙化、空间分辨率较低和操作者经验的影响,导致MAD的漏诊率较高。TEE对MAD的检出率较TTE稍高,但其主要应用于外科术前评估二尖瓣的解剖结构,且TEE为半侵入性检查,因此在临床上并不常规应用。CMR的空间分辨率高,可清晰辨别相邻的组织结构,因此能更敏感地发现MAD,其对MAD的检出率最高,可作为诊断MAD的金标准,同时CMR还可以通过延迟钆增强成像识别可能并存的心肌纤维化[6]。有研究报道,心脏CT(cardiac computed tomography,CCT)也可用于检测MAD[8],CCT有很高的空间分辨率,可进行各向同性三维图像重建,因此能很好地识别MAD,且CCT较CMR更为普及、检查过程省时简便,应用于MAD的筛查和诊断有较好前景。


MAD无特异性临床表现,患者可出现胸部不适、胸痛、呼吸困难、心悸、疲乏、先兆晕厥和晕厥等症状,可伴有符合二尖瓣反流或者MVP特征的心脏杂音或异常心音;部分患者可出现室性心律失常,甚至发生心搏骤停或心脏性猝死[7, 8]。
目前尚无针对MAD的大规模流行病学调查。Hutchins等[3]对900例成人进行尸检,发现65例(7%)存在MAD。一项系统综述总结了19项关于MAD的研究后发现,MAD在二尖瓣黏液样病变(myxomatous mitral valve disease,MMVD)患者中发生率为50.8%,MVP患者中为32.6%,普通人群中为7.9%[1]。MAD常与MMVD和/或MVP并存,但受样本量和研究对象的影响,二者的比例关系在不同研究中的数据有差异[3,5, 6,9, 10, 11, 12](表1)。MAD也可独立存在,Hutchins等[3]观察到部分MAD患者(42/900)并不伴有MVP。Konda等[13]也在38例所谓“心脏彩超基本正常”者中检出了MAD,而且他们还发现MAD患者平均年龄较非MAD患者低,且女性患者较多;其他研究中MAD患者的性别与年龄分布也符合这一特征[3,9]。

MAD在MVP/MMVD患者中的比例
MAD在MVP/MMVD患者中的比例
| 作者 | 患者人群 | 病例数 (男/女) | MAD患者 [例(%)] |
|---|---|---|---|
| Hutchins等[3] | MVP | 25(-) | 23(92) |
| Mantegazza等[6] | MVP | 131(96/35) | 55(42) |
| Lee等[10] | MVP | 101(73/28) | 42(42) |
| Konda等[11] | MVP | 185(111/74) | 45(24) |
| Essayagh等[12] | MVP | 89(26/63) | 31(35) |
| Eriksson等[5] | 重度MMVD | 67(44/23) | 66(98) |
| Carmo等[9] | MMVD | 38(20/18) | 21(55) |
注:MAD为二尖瓣环分离,MVP为二尖瓣脱垂,MMVD为二尖瓣黏液样病变;-为未提供病例性别分布数据
1.MAD对心脏结构和功能的影响:MAD与其他二尖瓣组件结构异常的因果关系及其机制尚不清楚,但研究表明MAD与MMVD和/或MVP关系密切,而二尖瓣黏液样病变导致瓣叶脱垂即为Barlow综合征。Hutchins等[3]的研究发现,25例Barlow综合征患者中有23例存在MAD,单纯MAD患者较合并Barlow综合征的患者更为年轻,因此作者推测MAD发生在先,MAD引起二尖瓣瓣叶过度运动、机械应力增加,从而导致瓣膜黏液样病变和二尖瓣脱垂。Eriksson等[5]和Carmo等[9]的研究也发现,在MMVD患者中MAD极为常见,而且MAD距离与MVP的严重程度呈正相关。由于丧失了左心室游离壁心肌的对抗力学作用,二尖瓣环在收缩期向上滑动和向外扩张,这种瓣环的过度运动会增加瓣叶和腱索的机械牵拉应力,导致瓣叶和腱索黏液样退行性变,随着时间推移发展为MVP[10,14]。虽然这些研究结果提示MAD可能是导致MMVD和/或MVP(包括Barlow综合征)的原因,但并不是所有的MMVD和/或MVP患者均存在MAD,且缺乏从儿童时期开始的前瞻性研究,二者的关系仍有待阐明。
正常情况下二尖瓣环后环与左心室游离壁的运动同步,心室收缩时其向下向内运动,当存在MAD时,二尖瓣环的后半部分在收缩期跟随左心房壁向外向上运动,使整个二尖瓣瓣环反常性扩张及扁平化或“失马鞍化(unsaddling)”,会直接影响二尖瓣的闭合,引起或加重二尖瓣反流[5,10]。尽管如此,MAD距离大小与二尖瓣反流程度是否呈线性关系,在Carmo等[9]和Lee等[10]的研究中有不一致的结果,这可能也与定量分析二尖瓣反流的技术有关。
MAD除了引起继发性二尖瓣反流、使左心房容量负荷加重以外,尚不清楚二尖瓣后叶在左心房壁附着点局部的心肌是否有解剖与功能的变化。在Konda等[11,13]的研究中,MAD患者的左心房直径、左心房容积、左心房容积指数均小于非MAD患者,这显然不太符合血流动力学改变的规律,另外几项研究则显示MAD患者的左心房直径、左心房容积与非MAD患者相比并无明显差异[9, 10,12]。
理论上而言,MAD本身不会直接影响左心室整体结构与功能。有研究显示,MAD患者与非MAD患者在左心室容积和左心室收缩功能方面没有差异,左心室整体纵向应变与非MAD患者也相似[9, 10]。但MAD患者的CMR影像上可见到局部心室肌纤维化,最常见部位是左心室基底部近瓣环处(即左心室游离壁顶部、正常二尖瓣后叶附着点的位置)和左心室乳头肌(也是二尖瓣的附属结构)[7,12,14]。当存在MAD时,一方面使分离的二尖瓣环组织在收缩期相对左心室游离壁顶部的心室肌向上向外运动,造成对该部位心室肌的持续过度牵拉;另一方面二尖瓣环不再对左心室游离壁顶部的心室肌产生挤压,该部位与其他部位心室肌及其上方心房肌之间的应力平衡被破坏,二者共同作用久之可致心肌肥厚和纤维化。同时,二尖瓣后叶的过度活动,对后组乳头肌造成机械牵拉,最终引起乳头肌纤维化[14];而乳头肌纤维化、收缩功能下降又会加重二尖瓣反流,导致左心室容量负荷增加,随之发生心室重构。
2.MAD与室性心律失常和心脏性猝死:在MAD被广泛认识之前,通常认为室性心律失常和心脏性猝死为MVP综合征所导致的严重并发症,既往报道中MVP患者心脏性猝死的年发生率约为0.2%~1.9%[15]。然而越来越多的证据表明,MAD的存在与MVP患者室性心律失常和心脏性猝死风险增加有关。在Carmo等[9]对黏液样病变二尖瓣脱垂(Barlow综合征)患者的研究中,MAD组患者的室性心律失常发生率明显增加,MAD距离与非持续性室速的发生显著相关,分离距离>8.5 mm是发生非持续性室速的强有力预测因子。随后的多项研究也都表明,在过去被认为与MVP相关的室性心律失常或心脏性猝死事件中,MAD是独立危险因素或预测因子(表2)[7,9,12,14,16]。Dejgaard等[7]的研究发现,MAD患者室性心律失常的发生率为34%,12%的患者发生了严重心律失常事件(心搏骤停和持续性室速)。值得注意的是,22%的MAD患者不存在MVP,室性心律失常事件的发生与是否合并MVP无关,表明MAD本身在室性心律失常事件的发生过程中起关键作用,因此作者提出了一种新的临床综合征——MAD心律失常综合征。这也提示我们,可能有相当一部分既往诊断为“恶性”MVP综合征的病例,实际上是伴有MVP的MAD心律失常综合征患者。

MAD与室性心律失常/心脏性猝死相关性研究总结
MAD与室性心律失常/心脏性猝死相关性研究总结
| 作者 | 患者人群 | 总病例数(例) | 主要结果 |
|---|---|---|---|
| Carmo等[9] | MMVD | 38 | MAD组患者的室性心律失常发生率明显增加,MAD距离与非持续性室性心动过速的发生相关,分离距离>8.5 mm是非持续性室速的强有力预测因子 |
| Perazzolo等[14] | MVP | 52 | 伴左心室纤维化的心律失常性MVP患者均存在MAD,与无纤维化的MVP患者相比MAD距离较长,起源于左心室的复杂室性心律失常更为多见。伴有MVP的SCD患者与无MVP的SCD患者相比,MAD距离更长。MAD与左心室下基底部心肌纤维化有关 |
| Essayagh等[12] | MVP | 89 | MAD组室性心律失常发生率高于对照组(29%比10%),心律失常患者的MAD距离更长。MAD患者乳头肌纤维化更常见 |
| Dejgaard等[7] | MAD | 116 | MAD患者室性心律失常的发生率为34%,12%的患者发生了严重心律失常事件(心脏骤停和持续性室速),后侧壁MAD距离是室性心律失常的预测因子,且与24 h室性早搏数量有关。22%的MAD患者不存在MVP,严重室性心律失常事件的发生与是否合并MVP无关。严重室性心律失常患者乳头肌纤维化更为常见 |
| Scheirlynck等[16] | MAD | 72 | 22例(31%)MAD患者发生室性心律失常,室性心律失常患者LVEF较低,心肌纤维化(特别是乳头肌纤维化)更常见,sST2水平更高。心律失常组和非心律失常组双叶二尖瓣脱垂的发生率相当 |
注:MAD为二尖瓣环分离,MMVD为二尖瓣黏液样病变,MVP为二尖瓣脱垂,SCD为心脏性猝死,LVEF为左心室射血分数,sST2为可溶性ST2
心肌纤维化是各种心律失常发生的共同机制之一,在MAD相关的室性心律失常中也不例外。无论是心电图特征还是心内电生理标测都表明MAD患者的室性早搏、室性心动过速大部分都起源于前述两个常见的心肌纤维化部位,即左心室游离壁顶部(左心室基底部)和乳头肌。Dejgaard等[7]、Perazzolo等[14]、Essayagh等[12]的研究均显示乳头肌或左心室下基底部心肌纤维化与MAD患者室性心律失常的发生密切相关。MAD发生时这些部位的心肌增厚和纤维化,局部激动与传导特性的改变导致心肌电活动不稳定,为心律失常的发生提供了基质。另一项针对MAD患者的研究发现,室性心律失常患者心肌纤维化(特别是乳头肌部位的纤维化)的发生率高于无室性心律失常患者,而且反映心肌纤维化的血清标志物可溶性ST2(sST2)也明显升高[16],进一步证实了二者之间的关系。
3.MAD与房性心律失常:目前尚无文献报道MAD与房性心律失常的关系。理论上,当二尖瓣后叶附着到左心房后侧壁时也会对局部的心房肌造成牵拉,一方面导致心肌纤维化,另一方面也会影响到左心房功能,可能易化房性心律失常特别是心房颤动的发生。
部分学者认为,对于偶然发现MAD的患者,评估是否有心悸、晕厥病史,并行24 h动态心电图检查是合理的;对于没有其他明确病因的室性心律失常患者,尤其是异位心律疑似起源于左心室乳头肌或左心室后基底部时,应进行MAD的筛查;对于各种二尖瓣病变患者应该排查可能存在的MAD[7,17]。目前尚无针对MAD的治疗策略,当MAD导致中重度二尖瓣反流时可以手术干预;出现药物控制不佳的室性心律失常时可考虑导管消融;心脏性猝死高危的患者应考虑置入型心律转复除颤器(implantable cardiac defibrillator,ICD)治疗。但这些方法仅仅停留在对症治疗或二级预防的层面,不仅缺乏患者远期获益的循证医学证据,而且可能对患者产生次生危害。如二尖瓣修复或置换是否能降低已发生明显心肌纤维化的MAD患者室性心律失常和心脏性猝死发生率?广泛的乳头肌消融虽然改良了室性心律失常基质,是否会加重乳头肌纤维化和功能不全而导致心功能下降?要回答这些问题,亟待通过前瞻性多中心研究来评估药物、ICD、导管消融、外科瓣膜修复或置换等方法对改善MAD患者远期预后的价值。
综上所述,MAD是一种二尖瓣环的结构异常,可导致心脏结构及功能异常,且越来越多的证据显示MAD与室性心律失常及心脏性猝死关系密切,具有重要的临床意义。但迄今为止,我们对MAD的了解还非常有限,仍存在许多问题亟待解答。临床和影像医师应加强对MAD的认识,提高MAD的检出率,积累病例资料,为进一步了解其临床特征和转归以及探索有效的管理方案奠定基础。
所有作者均声明不存在利益冲突





















