
伴有错
畸形及牙列缺损的重度牙周炎病情较复杂,其治疗应在完善牙周基础治疗的前提下进行多学科联合诊治,以达到恢复牙周组织健康、重建咬合功能及改善前牙美观的目标。在牙周再生性手术修复牙槽骨缺损过程中,可通过正畸整体移动、伸长、压低以及直立患牙等进行辅助治疗。本文报道1例多学科联合诊治广泛型重度慢性牙周炎病例的全过程,纵向观察4年,分析正畸压低在改善前牙区美学缺陷中的作用,并探讨牙周再生性手术与正畸治疗时机的个性化选择,以期为重度牙周炎的多学科治疗提供参考。
重度牙周炎患者由于牙周支持组织破坏严重,往往造成牙齿松动、移位甚至脱落。针对伴有前牙美学区“黑三角”及牙列缺损的情况,为改善美观并重建咬合,需要牙周、正畸、种植等多学科联合诊治。目前,对于牙周再生性手术与正畸治疗的时机选择尚无定论。浙江大学医学院附属第二医院牙周病专科收治1例广泛型重度慢性牙周炎患者,经完善、合理的多学科综合治疗,纵向观察4年,效果满意,现报道如下。
(1)主诉和病史:患者男性,38岁,因“全口牙齿渐进性松动10年”于2017年5月就诊于浙江大学医学院附属第二医院牙周病专科。患者10年前出现刷牙牙龈出血,全口牙齿松动伴前牙移位,影响美观。5年前曾于外院行牙周洁治,病情无明显好转。近年来全口牙齿松动加重,咬物不适明显,3个月前右上和左下各有1颗后牙自行脱落。患者平时刷牙2次/d,20 s/次,使用普通尼龙牙刷以中等力度横刷法刷牙,未曾使用牙线或牙间隙刷。否认吸烟、酗酒史,否认正畸史,否认系统性疾病史、药物过敏史及家族遗传史。
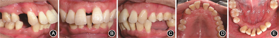
(2)临床及影像学检查:全口口腔卫生差,软垢指数为3,牙石(+++);全口牙龈充血红肿,质地松软,局部位点自发性出血;全口探诊出血(bleeding on probing,BOP)阳性位点百分比为100%(156/156),全口探诊深度(probing depth,PD)2~14 mm,其中PD≥5 mm的位点占64.1%(100/156),临床附着丧失(clinical attachment loss,CAL)2~14 mm;17、31、36、37、41、44、47Ⅲ度松动,多颗牙Ⅰ~Ⅱ度松动;17、36根分叉病变Ⅲ度,16根分叉病变Ⅱ度,26、27、37、47根分叉病变Ⅰ度(图1)。全口曲面体层X线片示全口牙槽骨吸收至根长的1/2至2/3,17、36、31、41、44牙槽骨吸收近根尖(图2)。14、35缺失,44、28伸长;上前牙扇形移位,11与21间隙约4 mm,前牙Ⅲ度深覆
、Ⅱ度深覆盖,双侧磨牙中性关系(图3)。

像;B:正面
像;C:左侧
像;D:上颌
面像;E:下颌
面像
像;B:正面
像;C:左侧
像;D:上颌
面像;E:下颌
面像(3)诊断:广泛型重度慢性牙周炎[1, 2];安氏Ⅰ类错
畸形;牙列缺损。牙周炎诊断依据:①CAL及牙槽骨吸收累及牙数>30%(广泛型);②2颗以上患牙PD>6 mm、CAL≥5 mm及牙槽骨吸收超过根长的1/2(重度);③菌斑沉积量与牙周破坏程度一致,牙周破坏区域分布广泛,无明显家族史。
(1)危险因素:不利因素为错
畸形、全口广泛深牙周袋、牙槽骨吸收严重、多颗牙有根分叉病变;相对有利因素为年龄较轻、全身健康、无烟酒等不良嗜好、依从性良好。
(2)预后判断:17、36、41、44Ⅲ度松动,牙槽骨吸收近根尖,且17、36根分叉病变Ⅲ度,41唇侧移位严重,44
向伸长,预后无望。31、37、47松动Ⅲ度,且31牙槽骨吸收近根尖,37、47根分叉病变Ⅰ度,预后可疑。11、16、21、32、42 Ⅱ度松动,中重度牙槽骨吸收,预后较差。其余牙齿预后尚可。
(1)牙周基础治疗:口腔卫生宣教;建议拔除18、28、48及预后无望患牙17、36、41、44;洁治、刮治及根面平整。
(2)牙周手术治疗:37、11、16、21、31、32、42、47试保留,酌情考虑牙周再生性手术。
(3)正畸治疗:排齐整平上下牙列,关闭散在间隙,调整咬合关系,纠正深覆
、深覆盖,缺牙区预留充足
龈距离及近远中距离行种植治疗。
(4)种植治疗:14、17、35、36、44行种植治疗。
(5)牙周维护治疗:每3~4个月定期进行牙周维护。
(1)牙周基础治疗:2017年6至11月,拔除预后无望患牙17、36、41、44和3颗第三磨牙18、28、48,完成龈上洁治、龈下刮治及根面平整术,使用复方氯己定含漱液(口泰,深圳南粤药业有限公司)含漱(20 ml/次,2次/d,10 d),并口服奥硝唑(固特,湖南九典制药股份有限公司)分散片(500 mg/次,2次/d,5 d)。复查显示口腔卫生良好,牙龈色粉红,质地坚韧(图4)。由于上前牙仍然存在PD>5 mm的位点,且根尖X线片显示11、21间牙槽骨呈垂直型吸收,建议行牙周再生性手术。

像;B:正面
像;C:左侧
像;D:上颌
面像;E:下颌
面像
像;B:正面
像;C:左侧
像;D:上颌
面像;E:下颌
面像(2)上前牙牙周手术治疗:牙周基础治疗后6个月进行牙周植骨术联合引导性组织再生术(guided tissue regeneration,GTR)增高11、21间牙槽嵴顶水平。常规消毒铺巾,局部麻醉下双侧侧切牙间行沟内切口,其中11、21间行保留龈乳头切口,翻开唇侧全厚瓣,植入骨粉(Bio-Oss,Geistlich,瑞 士),并覆盖可吸收胶原膜(Bio-Gide,Geistlich,瑞士),将龈瓣复位后间断缝合(图5)。术后嘱患者口服5 d头孢呋辛酯片(250 mg/次,2次/d)及奥硝唑(500 mg/次,2次/d),复方氯己定含漱液含漱10 d,酌情使用复方对乙酰氨基酚片止痛,术后2周拆线。术后10周复查牙周状况良好,全口BOP(+)%为4.5%(6/132),全口PD为2~6 mm,PD≥5 mm的位点占15.2%(20/132),仍有7颗牙Ⅰ~Ⅱ度松动(图6)。曲面体层X线片示全口牙槽骨无进行性吸收,牙槽嵴有清晰骨白线形成(图7),建议开始正畸。




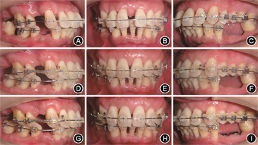
(3)正畸治疗:上前牙牙周再生性手术后10周转正畸科治疗,正畸过程中每月定期检查口腔卫生并酌情进行牙周治疗。正畸治疗14个月下前牙压低基本完成,牙周再评估时31、32已形成骨下袋,建议行牙周再生性手术;牙列基本排齐,缺牙区间隙
龈距离及近远中距离基本充足,建议合理安排种植修复时机(图8)。

像;B:治疗后4个月正面
像;C:治疗后4个月左侧
像;D:治疗后14个月右侧
像;E:治疗后14个月正面
像;F:治疗后14个月左侧
像;G:治疗后20个月右侧
像;H:治疗后20个月正面
像;I:治疗后20个月左侧
像
像;B:治疗后4个月正面
像;C:治疗后4个月左侧
像;D:治疗后14个月右侧
像;E:治疗后14个月正面
像;F:治疗后14个月左侧
像;G:治疗后20个月右侧
像;H:治疗后20个月正面
像;I:治疗后20个月左侧
像(4)下前牙牙周手术治疗:在正畸排齐压低下前牙后,于正畸治疗后17个月行牙周植骨术联合GTR,翻瓣后可见31、32间存在4 mm骨内缺损,刮净肉芽组织后植入骨粉(Bio-Oss,Geistlich,瑞士),并覆盖可吸收胶原膜(Bio-Gide,Geistlich,瑞士),缝合(图9)。结合术前根尖片及术中口内像可见正畸压入后,31、32间牙槽骨吸收类型由水平型吸收转为垂直型吸收,有利于牙周再生术的成功实施,术后根尖片进一步显示骨充填良好(图10)。




(5)种植治疗:2019年9至11月先后进行35、36、14、17、44种植体植入(图11)。其中,35植入4.1 mm×10.0 mm(S,RN,SLActive,Straumann,瑞士)植体,36、17植入4.8 mm×10.0 mm(S,RN,SLActive,Straumann,瑞士)植体,14、44植入 3.3 mm×10.0 mm(BL,NC,SLActive,Straumann,瑞士)植体。


(6)牙周维护治疗:2020年5月正畸结束,上下前牙舌侧丝固定。11、21间牙槽骨垂直向高度恢复,牙龈乳头充盈良好(图12)。局部牙龈充血红肿,全口牙周维护治疗后,完成种植体上部修复,嘱患者每3~4个月牙周复查。正畸结束9个月随访复查时全口牙周状况良好,牙列整齐,种植体无松动,牙龈无红肿,咬合关系正常,患者对治疗效果满意(图13, 14, 15)。



像;B:正面
像;C:左侧
像;D:上颌
面像;E:下颌
面像
像;B:正面
像;C:左侧
像;D:上颌
面像;E:下颌
面像1.完善以菌斑控制为导向的牙周基础治疗是多学科交叉治疗重度牙周炎的基础:在多学科联合治疗伴错
畸形及牙列缺损的重度牙周炎时,严格的菌斑控制不仅是消除炎症、恢复牙周组织健康的有效手段,还是规避正畸及种植治疗风险的重要前提[3, 4]。
2.牙周再生性手术与正畸治疗时机的个性化选择:本例患者上、下前牙病理性移位,周围牙槽骨分别呈垂直型吸收及水平型吸收,针对其牙槽骨吸收类型个性化选择牙周再生性手术与正畸压低治疗时机。
对牙槽骨呈垂直型吸收的患牙,正畸治疗前实施牙周再生性手术可创造有利条件,如在正畸压低前行GTR有助于新骨形成和临床附着增加[5],但牙周再生性手术后多久开始正畸治疗目前尚无定论。Roccuzzo等[6]在牙周再生性手术后8~12个月施加正畸力,并指出在组织完全愈合即术后至少6个月进行正畸移动,可获得稳定的再生效果。也有学者认为术后早期可开始正畸治疗:有动物实验表明牙周再生性手术后1个月应用正畸力可获得牙周组织的良好再生[7];多篇病例报道同样支持术后宜早期进行正畸治疗[8, 9, 10]。本病例上前牙GTR术中加入Bio-Oss,术后10周开始正畸治疗。牙周再生性手术前11、21平均PD为4.25 mm,正畸治疗结束9个月平均PD为2.25 mm,与术前相比平均附着获得为3.08 mm,术后根尖片显示骨充填良好,可为垂直型骨吸收患牙牙周再生性手术后正畸治疗时机的选择提供参考。
本例患者下前牙牙槽骨呈水平型吸收,由于水平型骨吸收区域无法创造充足且稳定的再生空间,通常认为此类骨缺损并非牙周再生性手术的最佳适应证[11]。动物研究显示,正畸治疗可改善大鼠牙髓、牙周膜及牙槽骨中的血液循环[12]。正畸压低还可将患牙牙槽骨缺损类型由水平型吸收转变为垂直型吸收,Cao等[13]对56颗存在水平型骨缺损的伸长前牙采用正畸压低联合牙槽嵴上纤维环切术治疗,有14颗患牙骨缺损类型转变为垂直型吸收。本病例通过正畸治疗排齐牙列并压低下前牙,成功形成4 mm的骨内缺损,创造了足够的再生空间,随后进行牙周再生性手术并取得良好效果,为牙槽骨水平型吸收患牙的牙周再生治疗提供了参考。
3.牙周再生性手术联合正畸压低治疗也是恢复前牙美学的有效手段:牙龈乳头缺陷导致的“黑三角”是影响前牙美学的重要问题,“黑三角”的形成与牙槽嵴顶至相邻牙接触点的距离、相邻牙根间分离角等有关[14]。重度牙周炎常伴有牙槽骨缺损及牙齿病理性移位,联合应用增加骨嵴顶高度的牙周手术及关闭间隙并改变相邻牙根间分离角的正畸移动是解决此类患者前牙美学问题的有效手段[15, 16]。本例患者上前牙扇形移位,11、21间存在约4 mm间隙,牙周基础治疗后仍有较深的牙周袋,牙槽骨呈垂直型吸收。正畸医师联合会诊后制订的治疗策略如下:首先采用牙周再生性手术增加牙槽骨垂直向高度,随后正畸压低内收上前牙并联合邻面去釉调整邻牙接触区,尽量控制11、21间牙槽嵴顶至相邻牙接触点距离在5 mm以内,以避免上前牙的美学缺陷。治疗后上前牙牙间隙关闭,11、21间龈乳头形态良好,患者对治疗效果满意。
综上,本病例在恢复牙周组织健康、重建咬合功能及改善前牙美观方面均获得良好疗效,可为重度牙周炎的多学科诊治提供临床思路。完善的牙周基础治疗、个性化的治疗方案设计及患者良好的依从性是获得理想疗效的关键。本病例随访时间较短,后续将继续随访观测其长期预后。
所有作者均声明不存在利益冲突
在重度牙周炎的序列治疗中,错
畸形和多颗后牙缺失造成的继发性
创伤可影响牙周治疗的预后。患者在牙周基础治疗和切除性手术治疗完成后,口腔咀嚼功能的恢复及咬合重建是牙周-多学科联合诊疗的难点。本病例在完成基础治疗后,通过牙周-正畸联合治疗纠正错
畸形,在牙列缺失位点通过种植修复恢复咬合,上述操作改善了重度牙周炎余留牙的不良咬合关系,避免余留牙受到异常
力。本病例序列治疗的亮点:①患者口腔卫生保持良好,从病因学上解除菌斑刺激物对牙周微环境的影响;②牙周基础治疗效果好,为后续的牙周手术、正畸、种植等创造很好条件;③正畸及种植时机把握得当,治疗结果改善患者咬合,有利于牙周维护及保持长期治疗效果。
但在本病例中作者阐述“通过正畸治疗排齐牙列并压低下前牙,成功形成4 mm骨内缺损,创造了足够的再生空间,随后进行牙周再生性手术并取得良好疗效,为牙槽骨水平型吸收患牙的牙周再生治疗提供经验”,这段讨论尚缺乏循证医学证据。在本病例中虽然通过正畸压低前牙造成“垂直型”的骨外形,利于牙周组织再生过程支架材料的放置,但本病例术前口内临床检查及影像学资料不够清楚,如何有目的地通过正畸造成适合引导组织再生的三壁骨袋、骨下袋的形成是偶然还是必然,以及与牙周炎导致的骨下袋如何区别等描述不够清晰。另外,牙周基础治疗中抗生素和漱口水的使用原则和时间可以更详细些。
综上,本病例通过牙周序列治疗及多学科联合控制了牙周炎的病因和刺激因素,成功改善了口内炎症微环境并重建了咬合关系。关于“正畸创造垂直型骨吸收以创造牙周引导组织再生性手术操作条件”,尚需提供更充分的临床证据,并讨论适应证和长期预后。





















