
探讨采用经口内镜食管下括约肌切开术治疗儿童贲门失弛缓症的临床应用价值。
回顾性分析2020年5月至2021年7月就诊于上海市儿童医院的15例贲门失弛缓症患儿临床资料,其中男12例,女3例;年龄为(9.90±2.12)岁,记录围手术期相关情况,分析患儿手术前后Eckardt评分、定时钡餐造影和身体质量指数的差异,定期随访至少3个月以上。符合正态分布的计量资料采用t检验,不符合正态分布的计量资料采用秩和检验。
15例患儿均成功完成经口内镜食管下括约肌切开术,手术时间为(1.50±0.87)h,隧道总长度为(8.50±1.57)cm,隧道开口距胃食管连接部长度为(6.55±1.23)cm,肌切开长度为(3.90±0.94)cm。15例患儿中,1例术中出现胃穿孔,予钛夹夹闭创口,术后愈合;5例术后皮下气肿,均自行吸收,其他并发症包括发热2例,胃食管反流1例。随访3~17个月,所有患儿吞咽困难等症状明显缓解。Eckardt评分术后3个月(0.10±0.30)分低于术前(4.70±1.35)分,差异有统计学意义(P<0.001),定时钡餐造影5 min钡剂高度术后(1.12±1.45)cm低于术前(11.55±3.52)cm,差异有统计学意义(P<0.001),中位身体质量指数术后高于术前,差异有统计学意义(17.95 kg/m2比14.30 kg/m2,P=0.009)。
经口内镜食管下括约肌切开术治疗儿童贲门失弛缓症安全有效、具有可操作、微创术后恢复快的优点,其远期并发症及疗效仍需进一步的观察随访。
版权归中华医学会所有。
未经授权,不得转载、摘编本刊文章,不得使用本刊的版式设计。
除非特别声明,本刊刊出的所有文章不代表中华医学会和本刊编委会的观点。
贲门失弛缓症(achalasia,AC)是一种食管动力障碍性疾病,该病主要表现有呕吐、吞咽困难、胃食管反流、胸痛及体重减轻等[1],既往治疗首选腹腔镜下行Heller肌切开术(laparoscopic Heller myotomy,LHM)。近年来随着内镜隧道微创技术的发展,经口内镜食管下括约肌切开术(peroral endoscopic myotomy,POEM)治疗AC应运而生,目前该技术已广泛应用于治疗成人AC并取得良好的临床效果[2,3,4,5,6],但该技术应用于儿童AC的报道较为少见。上海市儿童医院对15例AC患儿行POEM治疗,取得较好的临床效果,现报道如下。
回顾性分析2020年5月至2021年7月于上海市儿童医院接受POEM治疗的15例AC患儿的临床资料。其中男12例,女3例;患儿年龄为(9.90±2.12)岁;中位身体质量指数为14.30(13.45,18.05)kg/m2;病程为(15.70±9.33)个月。15例患儿均出现吞咽困难,3例存在胃食管反流,1例胸骨后疼痛,2例体重减轻。所有患儿术前均行上消化道造影、食管测压及胸部CT等检查,排除食管狭窄等其他疾病后确诊为AC。AC芝加哥分型Ⅰ型5例,Ⅱ型9例,Ⅲ型1例。15例患儿中既往2例接受过球囊扩张治疗,其余13例未接受有创干预。本研究已通过上海市儿童医院伦理委员会审核(2022R052-E01),所有患儿家属均知情同意。
奥林巴斯电子胃肠镜主机CV-290、奥林巴斯电子胃镜GIF-H290、爱博高频电刀主机、透明帽、内镜下注射针、黏膜切开刀、热活检钳、钛夹、CO2气泵。
①患儿均行气管插管全身麻醉。②经口胃镜进镜,清洁食管、胃内。③选定切口位置(图1A),于该处用生理盐水、亚甲蓝及肾上腺素的混合液(50 ml生理盐水加1 mg肾上腺素及0.5 ml亚甲蓝注射液)进行黏膜下注射使黏膜隆起(图1B),建立长约1.5~2.0 cm纵行黏膜隧道开口(图1C)。④将胃镜经切口置入,逐步纵行往下剥离黏膜下层至食管胃连接部(esophagogastric junction,EGJ)远端(图1D、1E)。⑤切开环形肌层(图1F、1G)。⑥钛夹封闭隧道口(图1H)。


患儿术中、术后监测血压、心率、血氧饱和度等生命体征,观察有无发热、皮下气肿等并发症或其他不良反应。住院期间院内随访,术后1个月、3个月定期门诊随访并记录患儿Eckardt评分及定时钡餐造影(timed barium esophagram,TBE)评估治疗有效性[7,8]。所有患儿均在术前及术后定期随访时行TBE检查,记录患儿检查时1、2、5 min钡剂的高度。
采用SPSS 23.0统计软件处理数据,计量资料符合正态分布者以
±s表示,采用t检验;非正态分布以M(Q1,Q3)表示,采用秩和检验。计数资料以例表示。P<0.05为差异有统计学意义。
本组15例患儿均经内镜成功完成手术,手术时间为(1.50±0.87)h。隧道总长度为(8.50±1.57)cm,隧道开口距EGJ长度为(6.55±1.23)cm,肌切开长度为(3.90±0.94)cm。
15例患儿中1例术中胃穿孔,术中予钛夹夹闭创口,术后予质子泵抑制剂及胃肠减压治疗后治愈。5例患儿出现皮下气肿,均未影响生命体征,未予特殊处理,术后3~4 h自行吸收。2例患儿术中食管黏膜损伤,予钛夹夹闭。所有患儿无大出血、术后迟发性出血、迟发性穿孔、纵隔感染或死亡等严重不良事件。术后2例出现发热,为本组开展POEM初期,予抗感染治疗后好转,优化手术方式后未再出现发热患儿。术后1例存在胃食管反流,予奥美拉唑口服抑酸治疗。
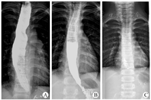
所有患儿术后随访3~17个月,所有患儿吞咽困难等症状较术前均明显缓解,术后Eckardt评分均小于3分,15例患儿POEM治疗效果良好。典型病例TBE检查结果见图2。术后3个月Eckardt评分及TBE 5 min钡剂高度较术前明显降低,差异有统计学意义(均P<0.001,表1)。术后3个月身体质量指数较术前明显增加,差异有统计学意义(P=0.009)。



贲门失弛缓症患儿手术前后Eckardt评分、TBE 5 min钡剂高度、身体质量指数比较
贲门失弛缓症患儿手术前后Eckardt评分、TBE 5 min钡剂高度、身体质量指数比较
| 时间 | Eckardt评分(分, ±s) | TBE5 min钡剂高度(cm, ±s) | 身体质量指数[kg/m2,M(Q1,Q3)] |
|---|---|---|---|
| 术前 | 4.70±1.35 | 11.55±3.52 | 14.30(12.5,21.9) |
| 术后3个月 | 0.10±0.30 | 1.12±1.45 | 17.95(14.0,22.0) |
| P值 | <0.001a | <0.001a | 0.009b |
注:TBE,定时钡餐造影;a,采用t检验;b,采用秩和检验
AC为食管壁肌间神经丛内神经节细胞进行性变性,导致食管下括约肌(lower esophageal aphincter,LES)松弛障碍,伴有食管体部蠕动消失或异常蠕动的一种食管动力障碍性疾病。其病因不明,可能的相关因素包括:自身免疫、感染、遗传等[9]。AC年发病率为1.6/100 000,而儿童年发病率为(0.10~0.18)/100 000,是一种罕见病[10,11,12,13]。目前AC无法彻底治愈,所有治疗的主要目的是改善LES松弛功能,防止食管进一步扩张,从而缓解症状、改善生活质量。手术是治疗该疾病的有效方法,LHM是治疗该病的经典方式,但腹腔镜手术创伤相对大,恢复慢且有纵隔感染等严重并发症风险。而随着内镜微创技术的发展,日本学者Inoue等[14]在2010年首次报道将POEM应用于临床。因POEM治疗经自然腔道、并发症少,目前已成为成人治疗AC的主要手术方式[2,3,4,5,6,15,16],但POEM治疗儿童AC的临床报道相对较少,为此,本团队开展了此项研究。
儿童消化道管壁相对成人较薄弱,管腔相对较小,且不同年龄食管长度也不同,以上特点加大了儿童POEM术的难度。本组总结治疗经验如下:①有研究建议芝加哥Ⅲ型或食管管腔明显扭曲的AC使用短隧道[17],成人将隧道开口距EGJ≥10 cm定义为长隧道,而<10 cm为短隧道,但儿童食管本身较短,儿童隧道长度的选择在AC分型的基础上,还需结合生理发育等特点,个体化设计隧道长度,本组隧道长度为(8.50±1.57)cm,即建议年龄越小隧道越短,但隧道的长短需遵循AC分型。②基本确定隧道开口食管纵轴的位置后,横轴位置建议选择食管右后壁,避开左侧的主动脉弓、胸主动脉等重要血管。③隧道需达到一定长度且终点需跨过EGJ,才能为肌切开提供足够的操作空间,一般建议隧道终点为EGJ肛侧端1~2 cm,而本组确定隧道终点位置的方法为将内镜从隧道中退出,胃内倒镜观察胃底黏膜发白变蓝的位置是否位于贲门下。④因考虑儿童尚在发育中,发生胃食管反流可能性大,本组均采用纵行切开环形肌,肌切开长度为(3.90±0.94)cm,其中小年龄儿童肌切开长度稍短,大年龄儿童或芝加哥Ⅲ型AC的肌切开长度相应延长。⑤本组2例为既往行球囊扩张治疗后症状复发的患儿,且其中1例为既往食管穿孔形成继发憩室,POEM术中未发生纵隔气肿、食管穿孔等并发症,分别随访至术后3个月、17个月,目前Eckardt评分均为0分,提示POEM可作为球囊扩张治疗失败的补救手术选择。但此类复杂型AC行POEM治疗,建议由经验丰富的高年资内镜医师操作,既往反复球囊扩张使食管黏膜下粘连严重,增加了建立黏膜下隧道的难度和食管穿孔的风险。对于POEM手术并发症的预防与处理同样至关重要。本组病例中POEM治疗儿童AC取得了良好的临床效果,无大出血、死亡等严重并发症的发生,但术中及术后并发症的预防不容忽视,如发生迟发性穿孔、大出血则可能需要二次手术。本组15例患儿均经内镜成功手术,且随着术者手术经验的积累与手术方式的不断改进,并发症发生情况也较少。本组认为应做好围手术期管理,建议患儿术前2 d开始流质饮食,与成人常规术前准备不同的是,本组患儿术前1 d开始分段胃肠减压,即前半夜予胃内胃肠减压,后半夜将胃管拔至食管深度,进行食管内胃肠减压,良好的腔道清洁为手术创造好的视野,并且降低了术中误吸的发生率。术中始终遵守无菌操作原则:①按照成人经验,术前胃镜下用生理盐水充分冲洗清理食管腔及胃腔[17];②本组建议于隧道开口后,对胃镜镜身使用碘皮肤消毒剂消毒,术者更换手套后,再进行黏膜下的隧道分离;③保证隧道内无液体残留,并充分做好止血,可有效降低术后感染的发生率。另外,内镜医师在开展POEM操作前,不仅要熟练掌握内镜下治疗(如内镜下黏膜剥离术、内镜下黏膜切除术),而且需有独立处理消化道出血、穿孔的能力和经验。本组1例术中发生胃底穿孔,术中即时钛夹封闭穿孔处,且完全封闭隧道口,术后恢复好,避免普外科行补救或二次手术。儿童黏膜较成人薄,内镜操作空间较小,操作难度更高,风险更大,因此儿童行POEM治疗对术者有相对更高的要求。最后,建议患儿术后予奥美拉唑静脉推注抑制胃酸,防止食管反流,有利于创面早期愈合。
儿童AC的术后疗效评估具有一定的特殊性。POEM术后常使用Eckardt评分、食管测压、食管钡餐造影、生活质量评分等作为评估手段,其中Eckardt评分为患儿主观症状评估,因儿童难以准确表达主观感受,可能存在一定程度的测量偏倚,需结合客观数据整体评估疗效。食管高分辨率测压可提供精确、客观的食管动力学数据,评估手术疗效准确度高,但检查过程较为痛苦,术后随访儿童常难以接受[18,19]。TBE由传统钡餐造影中发展而来,可观察食管直径及食管排空情况,有研究建议将TBE作为评估AC术后疗效的主要方式[20]。本组选择Eckardt评分、TBE 5 min钡剂高度及身体质量指数评估手术疗效,三者均提示术后较术前有明显改善,差异有统计学意义,POEM术治疗儿童AC有良好的手术效果。
内镜下采用POEM治疗儿童AC,是通过人体自然腔道运用内镜隧道技术,对病变部位的食管环肌进行切断的治疗方式。POEM治疗不仅具有微创特点,而且安全性较高,近期疗效明显,其远期疗效需进一步临床随访与验证。
所有作者均声明不存在利益冲突

±s)
±s)



















