
评价超声造影在移植肾动脉狭窄(transplant renal artery stenosis,TRAS)程度评估中的临床应用价值及其诊断重度TRAS的诊断效能。
将复旦大学附属中山医院2013年2月至2022年2月经数字减影血管造影(digital subtraction angiography,DSA)或磁共振血管成像(magnetic resonance angiography,MRA)确诊为TRAS的23例(其中2例为MRA诊断)受者作为研究对象,随机选取同期行肾移植术后血流正常、肾功能稳定的32例受者为对照组,回顾性分析上述55例受者的临床及随访资料。根据DSA或MRA显示的移植肾动脉内径减少率,将上述23例受者又分为重度狭窄组(18例)和轻中度狭窄组(5例)。对上述55例受者的超声造影图像进行定量分析,得出造影定量参数:叶间动脉上升时间(rising time of interlobular artery,RTi)、皮质上升时间(rising time of cortex,RTc)、髓质上升时间(rising time of medulla,RTm)、叶间动脉达峰时间(time to peak of interlobular artery,TTPi)、皮质达峰时间(time to peak of cortex,TTPc)、髓质达峰时间(time to peak of medulla,TTPm)。比较重度狭窄组、轻中度狭窄组及对照组三组间超声造影定量参数的差异,并评估各个超声造影定量参数诊断重度TRAS的诊断效能。
超声造影定量参数RTi、RTc、TTPi、TTPc在轻中度狭窄组与正常组间差异有统计学意义(均P<0.05),RTi、RTc、RTm、TTPi、TTPc、TTPm在重度狭窄组与对照组间差异均有统计学意义(均P<0.05),RTm在轻中度狭窄组及重度狭窄组间差异有统计学意义(P<0.05)。与对照组相比,轻中度狭窄组受者RTi、RTc、TTPi、TTPc延长,重度狭窄组RTi、RTc、RTm、TTPi、TTPc、TTPm均明显延长(均P<0.05)。重度狭窄组受者RTm较轻中度狭窄组受者延长(P<0.05)。以上各个参数中RTc诊断重度TRAS的诊断效能最佳(AUC=0.848),诊断敏感度、特异度及准确率分别为72.22%、86.49%、81.82%。
超声造影可以用于评估TRAS受者狭窄程度,在诊断重度TRAS方面有一定的临床应用价值,其中参数RTc诊断重度TRAS的诊断效能最高。
版权归中华医学会所有。
未经授权,不得转载、摘编本刊文章,不得使用本刊的版式设计。
除非特别声明,本刊刊出的所有文章不代表中华医学会和本刊编委会的观点。
移植肾动脉狭窄(transplant renal artery stenosis,TRAS)是肾移植术后最常见的一种血管并发症,约占血管并发症的75%[1]。TRAS初期一般无特征性临床表现,易被忽略从而延误治疗,TRAS发展到后期其主要临床表现为移植肾功能减退,甚至移植肾丢失[2,3]。随着血管介入治疗技术的迅速发展,TRAS受者尽早进行干预治疗可以延缓甚至逆转部分肾功能损害。由于碘造影剂具有肾毒性且介入技术存在相关并发症,部分轻度狭窄的TRAS受者肾功能趋于稳定,甚至有可能自行恢复,因此在进行血管造影及介入治疗前,区分狭窄程度具有一定的临床重要性。超声造影作为超声领域的一项新技术,利用超声造影剂气体微泡提高超声对组织中低速血流的显示,提供更多的血管结构信息,结合超声造影定量技术,可客观定量的评价移植肾的血流灌注[4],在诊断TRAS方面已被证实有一定的临床应用价值,但关于超声造影定量参数在移植肾动脉狭窄程度的评估方面鲜有报道,本研究通过比较分析2013年2月至2022年2月期间复旦大学附属中山医院的23例TRAS受者和同期移植肾血流正常的32例受者资料,对超声造影定量参数在评估移植肾动脉狭窄程度及其诊断重度TRAS方面的临床应用价值进行了初步探讨。
回顾性分析2013年2月至2022年2月期间在复旦大学附属中山医院行肾移植并随访的受者资料,入组标准:数字减影血管造影(digital subtraction angiography,DSA)或磁共振血管造影(magnetic resonance angiography,MRA)检查确诊为TRAS;有超声造影资料。排除标准:移植肾急慢性排斥反应、移植肾动脉或静脉血栓、移植肾尿路梗阻、肾周血肿局部感染及严重心肺疾病。最终入组的23例受者作为研究对象。根据DSA或MRA显示的移植肾动脉内径减少率,将上述23例受者分为轻中度狭窄组(5例)和重度狭窄组(18例),判定标准为:狭窄程度为0~49%的受者为轻度,狭窄程度50%~79%的为中度,狭窄程度为80%~99%的为重度[5]。另随机选取同时期移植肾功能稳定(术后随访6个月内临床表现、化验结果及超声检查结果均无异常)且有超声造影资料的受者32例作为对照组。
本研究经复旦大学附属中山医院伦理委员会批准(伦理号:2021-224R2),所有受者均知情并签署知情同意书。
使用Philips iU 22彩色多普勒超声诊断仪,探头选择C1-5 MHz,所有受者检查时该仪器的参数均设置为械指数0.07,增益90%。造影剂选用意大利Bracco公司的SonoVue,使用前注入5 ml生理盐水振荡混匀,造影时每次抽取0.6 ml。超声造影检查具体方法如下:取仰卧位,暴露腹壁移植肾区,先使用常规超声探查移植肾,选取一个移植肾血管树主干及分支显示清晰的长轴切面,嘱受者均匀缓慢呼吸并保持身体不动,启动录像采集系统的同时经肘静脉使用注射器团注0.6 ml造影剂并随即推入5 ml生理盐水冲管,为了保证推药速度,每次检查均由同一受培训者注药。造影过程中保持探头静止且不施加压力,保存至少2 min的造影动态影像资料,一次造影结束后核实图像质量,如图片质量不合格、模糊或者造影过程中受者动度较大等均需行第二次超声造影,两次检查的间隔时间>15 min。
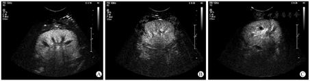
将保存的动态图像导入SonoLiver软件(德国TomTec公司)中进行定量分析,首先沿移植肾包膜外缘勾画要分析的区域,然后在其内依次勾画四个感兴趣区(region of interest,ROI),分别为移植肾中部段间动脉、叶间动脉、皮质及髓质(图1A),经软件分析生成4个ROI的时间-强度曲线(time-intensity cure,TIC,图1B),以移植肾段间动脉作为参考区,并获取上升时间、达峰时间及拟合优度等超声造影定量参数。要求曲线拟合优度达到75%,才认为结果是可靠的,否则重新分析。本研究主要观察以下造影定量参数:叶间动脉上升时间(rising time of interlobular artery,RTi)、皮质上升时间(rising time of cortex,RTc)、髓质上升时间(rising time of medulla,RTm)、叶间动脉达峰时间(time to peak of interlobular artery,TTPi)、皮质达峰时间(time to peak of cortex,TTPc)、髓质达峰时间(time to peak of medulla,TTPm)。


使用统计软件SPSS 22.0处理数据。对于数值变量,首先进行正态性检验,如果各组均满足正态分布,采用
±s进行统计描述,采用单因素方差分析(one-way ANOVA)或t检验进行组间比较,否则采用M(IQR)进行统计描述,采用Kruskal-Wallis检验进行组间比较。比较组间超声造影定量参数采用单因素方差分析,首先对数据进行方差齐性检验,方差齐则输出单因素方差分析结果,方差不齐则输出Welch方差分析结果。对差异有统计学意义的超声造影定量参数进行事后两两比较(post hoctest)采用Bonferroni法。重度狭窄组与非重度狭窄组间超声造影定量参数的比较采用t检验。采用MedCalac医学统计软件,以DSA或MRA为诊断金标准绘制受试者工作特征(receiver operating characteristic,ROC)曲线,确定超声造影定量参数诊断重度TRAS时的最佳诊断界值,并得出诊断效能。P<0.05为差异有统计学意义。
TRAS受者共23例,其中男性16例,女性7例,年龄为(42.62±13.7)岁。23例TRAS受者均行血管介入治疗,其中19例行单纯移植肾动脉球囊扩张术,4例行动脉支架植入术。重度狭窄组、轻中度狭窄组及对照组间年龄差异无统计学意义(P=0.460),血清肌酐值、估算的肾小球滤过率(estimated glomerular filtration rate,eGFR)及各超声造影定量参数差异均有统计学意义(均P<0.05,表1)。对照组移植肾超声造影时,造影剂进入速度较轻中度狭窄组及重度狭窄组快,达峰时间更短,造影剂分布更均匀(图2)。

不同程度移植肾血管狭窄受者的临床指标及超声造影定量参数的比较
不同程度移植肾血管狭窄受者的临床指标及超声造影定量参数的比较
| 参数(单位) | 正常组 | 轻中度狭窄组 | 重度狭窄组 | 统计值 | P值 |
|---|---|---|---|---|---|
| 例数(例) | 32 | 5 | 18 | - | - |
年龄(岁, ±s) | 37.72±10.41 | 42.00±12.45 | 42.83±13.10 | 1.66 | 0.460 |
| 肌酐[μmol/L,M(IQR)] | 99.00(23.00) | 318.00(373.00) | 245.50(176.25) | 33.82 | <0.01 |
| eGFR[ml/(min·1.73m2),M(IQR)] | 75.00(21.75) | 20.72(41.10) | 27.47(25.95) | 37.32 | <0.01 |
RTi(s, ±s) | 4.61±1.81 | 6.97±1.93a | 6.80±2.42a | 8.03 | 0.001 |
RTc(s, ±s) | 5.86±2.77 | 8.87±1.51a | 9.92±2.33a | 15.40 | <0.01 |
RTm(s, ±s) | 10.71±4.51 | 11.89±2.03 | 15.38±3.77ab | 7.37 | 0.002 |
TTPi(s, ±s) | 6.31±1.77 | 8.11±2.22a | 9.47±2.06a | 16.13 | <0.01 |
TTPc(s, ±s) | 6.84±2.20 | 10.84±3.05a | 10.71±2.45a | 18.23 | <0.01 |
TTPm(s, ±s) | 11.90±4.15 | 15.76±3.43 | 17.48±3.64a | 12.07 | <0.01 |
注:eGFR为估算的肾小球滤过率;RTi为叶间动脉上升时间;RTc为皮质上升时间;RTm肾髓质上升时间;TTPi为叶间动脉峰值强度;TTPc为皮质峰值强度、TTPm为髓质峰值强度;a为与正常组比较,P<0.05;b为与轻中度狭窄组比较,P<0.05


轻中度狭窄组与对照组相比,RTi、RTc、TTPi、TTPc延长(均P<0.05),RTm、TTPm差异无统计学意义(均P>0.05);重度狭窄组与对照组相比,RTi、RTc、RTm、TTPi、TTPc、TTPm差异均有统计学意义,重度狭窄组上述定量参数均较对照组延长(均P<0.05);重度狭窄组RTm较轻中度狭窄延长(均P<0.05)。(表1)
RTi、RTc、RTm、TTPi、TTPc、TTPm在重度狭窄组与非重度狭窄组之间差异具有统计学意义(均P<0.01,表2),重度狭窄组的RTi、RTc、RTm、TTPi、TTPc、TTPm较非重度狭窄组延长(均P<0.01,表2)。

重度移植肾动脉狭窄组与非重度移植肾动脉狭窄组超声造影定量参数的比较(
±s)
重度移植肾动脉狭窄组与非重度移植肾动脉狭窄组超声造影定量参数的比较(
±s)
| 组别 | 例数 | RTi(s) | RTc(s) | RTm(s) | TTPi(s) | TTPc(s) | TTPm(s) |
|---|---|---|---|---|---|---|---|
| 非重度狭窄组 | 37 | 4.93±1.98 | 6.27±2.82 | 10.87±4.26 | 6.55±1.94 | 7.38±2.67 | 12.42±4.24 |
| 重度狭窄组 | 18 | 6.80±2.42 | 9.92±2.33 | 15.38±3.77 | 9.47±2.06 | 10.71±2.45 | 17.48±3.64 |
| 统计值 | - | -3.061 | -5.086 | -3.816 | -5.193 | -4.448 | -4.342 |
| P值 | - | 0.003 | <0.001 | <0.001 | <0.001 | <0.001 | <0.001 |
注:RTi为叶间动脉上升时间;RTc为皮质上升时间;RTm肾髓质上升时间;TTPi为叶间动脉峰值强度;TTPc为皮质峰值强度;TTPm为髓质峰值强度
RTc这一参数的ROC曲线下面积最大,当RTc>9.2 s作为诊断界值时,诊断效能最高,诊断敏感度、特异度、准确率分别为72.22%、86.49%、81.82%(表3,图3)。

各造影参数诊断重度移植肾动脉狭窄的诊断截断值及其诊断效能
各造影参数诊断重度移植肾动脉狭窄的诊断截断值及其诊断效能
| 参数 | 截断值(s) | 敏感度(%) | 特异度(%) | 准确度(%) | AUC |
|---|---|---|---|---|---|
| RTi | 4.58 | 83.33 | 51.35 | 61.82 | 0.731 |
| RTc | 9.20 | 72.22 | 86.49 | 81.82 | 0.848 |
| RTm | 15.43 | 66.67 | 86.49 | 80.00 | 0.787 |
| TTPi | 8.30 | 77.78 | 81.08 | 80.00 | 0.841 |
| TTPc | 9.69 | 66.67 | 86.49 | 80.00 | 0.821 |
| TTPm | 15.27 | 77.78 | 78.38 | 78.18 | 0.820 |
注:RTi为叶间动脉上升时间;RTc为皮质上升时间;RTm为肾髓质上升时间;TTPi为叶间动脉峰值强度;TTPc为皮质峰值强度;TTPm为髓质峰值强度


注:RTi为叶间动脉上升时间;RTc为皮质上升时间;RTm为肾髓质上升时间;TTPi为叶间动脉峰值强度;TTPc为皮质峰值强度;TTPm为髓质峰值强度
移植肾动脉狭窄是一种发生率最高的肾移植术后血管并发症[6],早期诊断并及时治疗受者预后良好。目前诊断TRAS的方法较多[7],其中DSA是诊断TRAS的金标准,计算机断层扫描血管造影(computed tomography angiography,CTA)及MRA也可用于移植肾动脉狭窄的诊断,以上检查均可以较好地显示血管解剖结构,诊断效能均较高,但CTA检查使用的碘造影剂具有肾毒性,MRA检查使用的钆剂则可能引起肾纤维化[8]。DSA检查有创、操作复杂、使用肾毒性造影剂且检查时需要受者暴露在放射性环境中,以上多个因素导致很多疑诊受者拒绝行DSA检查确诊。且有研究揭示TRAS程度较轻的受者,随时间的推移肾功能趋于稳定,甚至自行恢复,因此在DSA检查及血管介入治疗之前,正确地诊断TRAS并评估其狭窄程度尤为重要[9]。
随着超声造影的发展及相关软件的开发,超声造影定量分析技术的应用也越来越广泛。超声造影检查是通过超声造影剂微泡增强人体的血流散射信号从而提高主肾动脉及副肾动脉的显示率,同时可通过定量分析软件分析超声造影剂微泡的时间强度曲线来定量评估移植肾的血流灌注的原理来诊断移植肾动脉狭窄。与CTA及MRA造影剂经肾脏代谢不同,超声造影剂微泡溶解后,其内的惰性气体随呼吸经肺排泄,外壳则经肝脏代谢,其代谢不经由肾脏,故超声造影剂无肾毒性,已有大量的动物实验及临床实验证实了其可行性及安全性[10,11]。目前有较多的研究探讨并肯定了超声造影定量分析技术在诊断TRAS的临床应用价值[12,13,14,15]。但由于影响超声造影定量分析结果的因素较多,目前关于超声造影定量分析诊断TRAS尚无统一标准,且关于超声造影定量技术在移植肾动脉狭窄程度的评估方面的研究鲜有报道。为减小定量分析结果误差,本研究所行超声造影检查均使用同一台机器、相同的造影条件、相同的造影剂注射方式,图像储存及导出均使用DICOM格式,在图像分析时使用同一分析软件、取样框的形状、大小及取样框放置的部位均一致。
国内曾有研究对超声造影定量分析技术在观察移植肾主肾动脉不同狭窄程度中的应用价值进行了初步探讨,结果显示正常组注射造影剂后TIC上升陡直迅速达峰后缓慢下降至基础水平,曲线呈滑梯样改变,中度狭窄组移植肾延迟显影,肾皮质回声轻度增强,TIC上升缓慢,峰值强度降低,达峰时间延长,且快速下降至基础水平,曲线呈抛物线改变,且随着狭窄程度的递进,TIC曲线的形态逐渐变窄;重度狭窄组,造影剂微泡难以进入移植肾,TIC上升缓慢,达峰强度平均值降低,并延迟回降至基础水平,曲线呈阶梯状改变;与正常组相比,中重度狭窄组的曲线下降支斜率及达峰时间增高,曲线下面积、达峰强度绝对值降低,但轻度狭窄患者与正常组相比,仅有曲线下降支斜率这一超声造影定量参数的差异有统计学意义(P<0.05)[15]。
本研究以DSA或MRA作为诊断金标准,对超声造影定量参数在区分移植肾动脉狭窄程度的可行性方面进行了初步探讨,研究发现与正常组相比,轻中度狭窄组RTi、RTc、TTPi、TTPc均较对照组延长,RTm、TTPm在两组之间差异无统计学意义,重度狭窄组RTi、RTc、RTm、TTPi、TTPc、TTPm均较对照组延长,以上结果表明重度狭窄的受者所有超声造影定量参数与对照组的差异均有统计学意义(均P<0.05),通过超声造影定量参数可准确诊断重度狭窄的受者,而对于轻中度狭窄的受者,其超声造影定量参数中仅RTi、RTc、TTPi、TTPc与对照组的差异有统计学意义,该结果表明在狭窄发生较早期或狭窄程度较轻时,超声造影参数RTi、RTc、TTPi、TTPc在诊断TRAS上可能更有意义,对于狭窄程度较轻的受者应更多的关注其肾皮质的造影剂灌注情况。本研究还对比了轻中度狭窄组及重度狭窄组的超声造影定量参数,RTm这一参数在两组之间的差异有统计学意义,重度狭窄组RTm长于轻中度狭窄组,推测原因为:肾皮质的血流量约占肾总血流灌注量的90%,当发生移植肾动脉轻中度狭窄时,受者早期肾皮质的血液灌注就会受到影响,在超声造影上表现为轻中度狭窄受者的皮质造影定量参数RTc及TTPc较对照组延长,而髓质造影定量参数RTm及TTPm在两组间的差异无统计学意义。如若移植肾动脉狭窄继续加重,肾内直小管不能继续维持肾髓质高渗状态,肾小血管内的血流淤滞,从而导致肾髓质的血流灌注速度也出现了明显的减慢,故髓质超声造影定量参数RTm在移植肾动脉重度与轻中度狭窄组间差异也存在统计学意义。有研究者结合DSA检查及介入治疗的适应证,认为相较于诊断中度TRAS,诊断重度TRAS更为重要[9],本研究就超声造影定量参数在诊断重度TRAS的诊断价值进行了探讨,超声造影定量参数RTi、RTc、RTm、TTPi、TTPc、TTPm在重度狭窄组与中轻度度狭窄组之间的差异均有统计学意义,重度狭窄组的RTi、RTc、RTm、TTPi、TTPc、TTPm长于中轻度狭窄组(均P<0.05)。以上参数中RTc这一参数的曲线下面积最大,当RTc>9.20 s作为诊断界值时,诊断重度狭窄的诊断效能最高,诊断敏感度、特异度、准确率分别为72.22%、86.49%、81.82%。
综上,本研究对超声造影定量参数在移植肾动脉狭窄程度的评估以及诊断重度TRAS方面的应用价值进行了初步探索,结果表明部分超声造影定量参数在评估移植肾动脉狭窄程度及诊断重度TRAS方面具有一定的临床价值。
所有作者声明无利益冲突

±s)
±s)
±s)
±s)
±s)
±s)
±s)



















