
评估单纯经食管超声心动图引导经导管三尖瓣缘对缘修复手术的可行性和安全性。
前瞻性研究。2022年1月至2023年5月,在云南省阜外心血管病医院就诊的重度三尖瓣关闭不全患者,经临床评估和超声心动图评估符合纳入标准,行经导管三尖瓣缘对缘修复手术。手术在全身麻醉气管插管和单纯经食管超声引导下进行。手术后1个月接受临床评估和心电图、经胸超声心动图等检查。
共纳入22例患者,男12例,女10例,年龄(71.3±6.7)岁。22例患者均成功完成三尖瓣经导管缘对缘修复手术,植入夹子(1.5±0.6)枚,术后即刻6例为无或微量反流,15例为轻度反流,1例为中度反流。22例患者均完成术后30 d随访,三尖瓣反流4例为微量,17例为轻度,1例为中度。三尖瓣反流超声心动图测量指标包括有效反流面积、反流容积、缩流颈宽度、近端等速表面积半径均较术前减小(均P<0.05)。此外,下腔静脉宽度、右心房容积、三尖瓣环直径、右心室舒张末直径均较术前改善(均P<0.05),但三尖瓣环收缩期位移、右心室面积变化分数与术前比较差异均无统计学意义(均P>0.05)。
单纯经食管超声心动图引导经导管三尖瓣缘对缘修复手术初步证实具有可行性和安全性。
版权归中华医学会所有。
未经授权,不得转载、摘编本刊文章,不得使用本刊的版式设计。
除非特别声明,本刊刊出的所有文章不代表中华医学会和本刊编委会的观点。
三尖瓣关闭不全是常见的心脏瓣膜疾病,调查显示我国居民三尖瓣关闭不全患病率为0.8%[1],美国一项调查显示中度以上三尖瓣关闭不全的患病率为0.55%,并随年龄增长而增高,在75岁以上人群中高达4%[2]。三尖瓣关闭不全会引起右心功能衰竭、水肿、肝淤血、肾功能损伤,重度三尖瓣关闭不全患者生活质量差,病死率高[3]。
三尖瓣关闭不全的常规治疗包括药物治疗和手术治疗。药物治疗主要以利尿剂为主,虽可在一定程度缓解水肿等症状,但并不能改变疾病的预后[3]。外科手术治疗三尖瓣关闭不全的时机仍然存在争议。目前美国瓣膜疾病管理指南仅对行左心瓣膜手术时对重度三尖瓣关闭不全予以干预给予了Ⅰ类推荐[4]。单纯三尖瓣手术围手术期死亡率高达8%~10%[5, 6],在美国大约有160万中重度三尖瓣关闭不全患者,但每年仅有约8 000例接受外科手术治疗[3,7]。因此,大量三尖瓣关闭不全患者未得到有效治疗。
经导管三尖瓣介入治疗包括经导管瓣膜置换和经导管瓣膜修复,其中经导管瓣膜修复又包括瓣叶修复、瓣环成形等多种技术[8, 9, 10]。尽管这些技术仍处于早期临床应用阶段,但为大量外科手术高危的三尖瓣反流患者提供了非常有潜力的治疗方法。其中,经导管三尖瓣缘对缘修复技术是目前应用最广泛的三尖瓣介入治疗技术[11, 12, 13]。本文介绍单纯经食管超声引导的经导管三尖瓣缘对缘修复的初步临床应用结果和经验。
前瞻性随访研究。2022年1月至2023年5月,就诊于云南省阜外心血管病医院的三尖瓣关闭不全的患者,经由心脏团队和超声医师共同评估,确定其是否适合进行经导管三尖瓣缘对缘修复。主要的入选标准包括:三尖瓣重度关闭不全、纽约心脏病协会(New York Heart Association,NYHA)心功能分级Ⅱ级或以上、经利尿剂等药物治疗至少1个月、心脏团队判定患者外科高风险、术前经胸超声心动图(transthoracic echocardiography,TTE)和经食管超声心动图(transesophageal echocardiography,TEE)评估解剖条件适合手术[14]。主要的排除标准包括:肺动脉高压[超声或右心导管检查肺动脉收缩压>60 mmHg(1 mmHg=0.133 kPa)]、存在其他需要外科手术干预的心脏疾病、超声提示三尖瓣瓣叶对合间隙>10 mm等。本研究已获得云南省阜外心血管病医院伦理委员会批准(批件号:2022-005-01、2022-022-01),患者均签署知情同意书。
患者术前接受TTE、TEE检查评估。三尖瓣反流程度分为无或微量、轻度、中度、重度[15]。出院前行TTE评估。术后1、6、12个月门诊随访(本文仅分析术后1个月数据),并进行TTE、心电图检查及临床评估。超声检查资料包括三尖瓣反流的定量评价指标,包括有效反流面积、反流容积等,以及右心大小和功能指标。
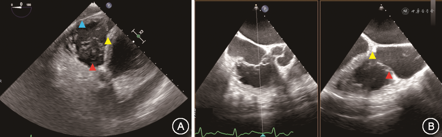
经导管三尖瓣缘对缘修复手术在全身麻醉、气管插管下进行。本研究所使用的经导管三尖瓣缘对缘修复器械为淇麟三尖瓣缘对缘修复系统(上海申淇医疗科技有限公司)、Neoblazar经导管三尖瓣夹合器及输送系统(江苏臻亿医疗科技有限公司)。本文所描述的手术过程以淇麟三尖瓣缘对缘修复系统为例。经右侧股静脉穿刺送入加硬导丝,在TEE 双腔切面引导下将导丝送入上腔静脉。使用18 Fr(1 Fr=0.33 mm)扩张子扩张股静脉穿刺处。将导引鞘头端调直,在TEE Bicaval View引导下沿导丝送入导引鞘使其头端位于右心房中部。若导引鞘头端朝向房间隔,可通过向L方向旋转S/L旋钮,或调整导引鞘+/-旋钮增加头端弯度并逆时针旋转导引鞘,使导引鞘头端远离房间隔(图1)。在体外预先测量导引鞘和夹子输送系统的位置关系,并在夹子输送系统上做标记。将夹子输送系统从导引鞘中送入右心房,在TEE双腔切面引导下送入标记深度,完成导引鞘和输送系统的对位,使夹子头端位于右心房中部。TEE显示右心室流入道/流出道切面及Biplane切面(图2),向F方向旋转夹子输送系统上F/E旋钮,使夹子朝向三尖瓣(图3)。通过旋转导引鞘、调整导引鞘S/L旋钮和输送系统F/E旋钮,使输送系统头端运动轨迹在上述两个TEE切面上都和三尖瓣水平垂直。若夹子输送系统从间隔斜向三尖瓣时,被称为“间隔拥抱”(Septal Hugger)现象(图4),可通过向L方向旋转S/L旋钮并顺时针旋转导引鞘调整。通过向患者头端推送或向脚端回撤整体系统,使夹子输送系统在TEE右心室流入道/流出道切面朝向反流束。打开夹子到120°,旋转夹子输送系统手柄使夹子在TEE经胃底短轴切面垂直于反流处瓣膜对合缘(图5)。关闭夹子,操作夹子输送系统手柄,将夹子送入右心室三尖瓣瓣下,切勿送入过深。打开夹子到120°,再次在TEE经胃底短轴切面确定夹子方向。顺时针旋转或逆时针旋转导引鞘,将使夹子分别靠近三尖瓣隔瓣或前(后)瓣,同时回撤夹子输送系统手柄,用夹子捕获三尖瓣隔瓣或前(后)瓣。通常使用TEE右心室流入道/流出道切面及Biplane切面来显示和引导捕获瓣叶,若此切面图像不能清晰显示夹子是否成功捕获瓣叶,可以通过TEE经胃底短轴切面显示瓣叶活动被夹子限制来判断夹子是否捕获瓣叶(图6)。确定夹子捕获瓣叶后,放下上夹壁(Gripper),缓慢关闭夹子,关闭夹子过程中可通过TEE经胃底短轴切面观察到瓣叶活动受限并随着夹子关闭隔瓣或前(后)瓣聚拢(视频1,TEE显示夹子关闭过程,请扫描文章首页二维码观看)。关闭夹子后,TEE检测三尖瓣反流情况,夹子夹持瓣叶长度,评估是否需要调整夹子位置或因夹持瓣叶长度不足而进行再次夹持,以及是否需要补充额外的夹子。评估满意后按照夹子释放流程释放夹子。










注:经胃底短轴切面,红色三角形标注打开的夹子,夹子与前瓣和隔瓣对合缘基本垂直;在此切面可指导调整夹子方向,夹子需要顺时针旋转时,则同样顺时针旋转夹子输送系统的推送手柄


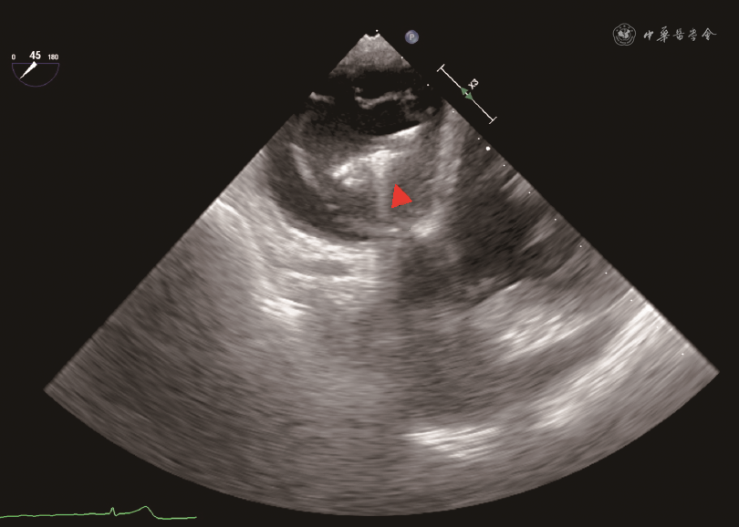
注:通过调整绿色方框和红色方框图像中的蓝线,使其分别和夹子臂和夹子输送系统重合,则可在蓝色方框中精确显示夹子和捕获瓣叶
采用SPSS 27.0统计软件进行数据分析。符合正态分布计量资料用描述,治疗前后比较采用配对样本t检验;非正态分布计量资料采用M(Q1,Q3)表示,治疗前后比较采用Wilcoxon符号秩和检验。均为双侧检验,检验水准α=0.05。
2022年1月至2023年5月,经筛选共22例患者接受了经导管三尖瓣缘对缘修复手术,其中男12例,女10例,年龄(71.3±6.7)岁,体重(63.6±16.1)kg。22例患者均合并持续性心房颤动,其中2例患者曾行二尖瓣机械瓣置换术,1例患者曾行主动脉瓣机械瓣置换术和升主动脉成形术,3例患者曾行射频消融术,5例患者合并有慢性肾功能不全。22例患者术前均为三尖瓣重度反流,超声测量数据见表1。NYHA心功能分级Ⅲ级17例,Ⅳ级5例。

三尖瓣关闭不全患者单纯经食管超声心动图引导经导管缘对缘修复治疗术前和术后30 d超声心动图相关指标比较(n=22)
三尖瓣关闭不全患者单纯经食管超声心动图引导经导管缘对缘修复治疗术前和术后30 d超声心动图相关指标比较(n=22)
| 超声心动图指标 | 术前 | 术后30 d | t/Z值 | P值 |
|---|---|---|---|---|
| 有效反流面积(cm2)a | 0.56(0.50,0.73) | 0.10(0.10,0.20) | -4.115 | <0.001 |
| 反流容积(ml)b | 57.3±15.5 | 10.1±5.5 | 14.918 | <0.001 |
| 缩流颈宽度(cm)a | 0.91(0.80,1.18) | 0.30(0.20,0.40) | -4.113 | <0.001 |
| PISA半径(cm)a | 0.80(0.70,1.00) | 0.25(0.20,0.30) | -4.124 | <0.001 |
| 下腔静脉宽度(cm)b | 2.17±0.37 | 1.96±0.38 | 3.647 | 0.002 |
| 右心房容积(ml)b | 100±28 | 79±23 | 9.352 | <0.001 |
| 右心室舒张末径(cm)b | 4.21±0.39 | 4.05±0.32 | 8.050 | <0.001 |
| 三尖瓣直径(cm)b | 4.11±0.37 | 3.82±0.28 | 5.810 | <0.001 |
| TAPSE(cm)a | 1.55(1.48,1.70) | 1.60(1.50,1.70) | -0.874 | 0.382 |
| RVFAC(%)b | 36.7±9.5 | 37.6±7.8 | -1.595 | 0.126 |
注:aM(Q1,Q3);b;PISA为近端等速表面积;TAPSE为三尖瓣环收缩期位移;RVFAC为右心室面积变化分数
22例患者均成功完成手术,18例患者使用淇麟系统,4例使用Neoblazar系统。患者植入夹子(1.5±0.6)枚。21例患者在前叶和隔叶间植入夹子,其中12例患者植入1枚夹子,9例患者植入2枚夹子;1例患者植入3枚夹子,分别在前叶隔叶间植入2枚夹子,在后叶和隔叶间植入1枚夹子;夹子型号均宽度为6 mm,有效夹持长度为9 mm。术后即刻6例患者三尖瓣反流为无或微量,15例为轻度,1例为中度。所有患者术后即刻苏醒,返回普通病房。
经导管三尖瓣缘对缘修复技术是目前使用最广泛的经导管三尖瓣治疗技术。最早使用美国雅培公司的二尖瓣缘对缘修复系统MitraClip进行三尖瓣缘对缘修复,后针对三尖瓣改进为TriClip系统。一项旨在评估TriClip三尖瓣修复系统在中重度三尖瓣反流患者中的安全性和有效性的前瞻性、单臂、国际多中心研究(TRILUMINATE研究)中,85例中重度三尖瓣反流患者接受TriClip系统缘对缘修复,其1年随访结果显示,71%的患者三尖瓣反流为中度或以下,右心室功能和容积、心功能分级、6 min步行试验距离、生活质量评分均有明显改善[16]。PASCAl系统也应用于三尖瓣修复,其30例重度三尖瓣反流患者的1年随访结果显示,82%的患者术后30 d三尖瓣反流为中度或以下,这些患者中86%术后1年三尖瓣反流仍然稳定保持在中度或以下[17]。以上研究证实三尖瓣缘对缘修复技术治疗三尖瓣反流是安全有效的。
本研究报道了采用TEE引导进行经导管三尖瓣缘对缘修复技术,并成功治疗22例重度三尖瓣反流患者,三尖瓣反流明显减少并在1个月内是稳定的,同时观察到在术后早期右心房容积、右心室舒张末径、三尖瓣直径明显减少,提示三尖瓣反流减少后右心重塑,但右心室功能的改善可能需要更长时间的观察才能得到证实。这些结论与国外研究报道基本一致[16,18]。
在成功开展单纯超声引导经导管二尖瓣缘对缘修复技术以及熟悉经导管三尖瓣缘对缘修复技术手术流程的基础上[19],本研究团队将放射线和超声引导的三尖瓣经导管缘对缘技术简化为在单纯超声引导下进行。和单纯超声引导经导管二尖瓣缘对缘技术相比,因不需要进行房间隔穿刺,以及下腔静脉和三尖瓣的解剖位置关系使得输送系统的调弯要求相对简单,单纯超声引导经导管三尖瓣缘对缘在流程上相对容易。实施放射线和TEE共同引导的三尖瓣缘对缘修复技术时,往往在送入导引鞘、进行导引鞘和夹子输送系统对位、夹子输送系统调弯几个步骤中使用放射线引导。和其相比,单纯TEE引导时,Bicaval view可显示下腔静脉、上腔静脉、右心房,能清楚观察到导丝进入上腔静脉和导引鞘进入右心房的过程,可以更加准确地定位导引鞘头端在右心房的位置;在送入夹子输送系统时,通过体外测量可以确定输送系统进入导引鞘管的深度完成对位,同时TEEBicaval view可清晰显示夹子头端在右心房的位置,避免损伤心房壁;TEEBicaval view和右心室流入/流出道切面相互配合,可监测夹子输送系统调弯的过程。但是,单纯TEE引导需要手术团队对手术流程和器械充分熟悉,并且团队中超声医师熟悉引导切面,能够在不同引导切面快速切换。单纯超声引导技术摆脱了对放射线的依赖,不仅可使患者和医务人员免受放射线损伤,也促进了该技术的推广应用,特别是在缺乏导管室或杂交手术室的医疗机构。
因三尖瓣位于心脏的前方,距离食管较远,且容易受到左心人工瓣膜以及夹子输送系统的声影影响,经食管超声探头位于食管中下段时,有可能不能提供足够清晰的图像显示夹子捕获三尖瓣。将食管超声探头送到胃部,并将食管探头前屈并向患者右侧旋转,在20°~60°范围内调整产生的经胃底短轴切面,避免了左心或输送系统的声影影响,可在一个二维平面同时显示三尖瓣三个瓣叶的结构,在此切面使用Biplane功能,可获得显示三尖瓣前瓣和后瓣的右心室长轴图像,可以辅助判断夹子进入右心室的深度,但不能为夹子捕获瓣叶提供引导。利用经胃底短轴图像进行三维图像重建,再利用Multiview进行图像分割重建,可精准获得和夹子重合的超声切面,显示夹子和瓣叶的关系,可用于引导瓣叶捕获和判断捕获程度(图6)。但因进行Multiview图像重建后,图像清晰度会有明显下降,因此对于重建前的二维超声图像有较高的质量要求。因此,经胃底短轴切面在经导管三尖瓣缘对缘修复手术中诸如夹子位置和方向的调整、瓣叶捕获判断、瓣叶夹持程度的判断等重要步骤中发挥关键作用[20]。如右心严重扩大或存在心脏转位,食管中段切面和经胃底短轴切面均无法提供满足引导要求的图像时,可使用心腔内超声[21]。
本研究纳入了两项国产创新器械临床试验中采用单纯TEE引导完成三尖瓣经导管缘对缘修复手术的患者,虽然患者数量较少、随访时间较短,但初步验证了单纯TEE引导经导管三尖瓣缘对缘修复技术是安全可行的。此技术需要手术团队对手术器械和流程熟悉后开展,并在更大规模的研究中验证。
王首正, 朱达, 骆志玲, 等. 单纯经食管超声心动图引导经导管缘对缘修复治疗三尖瓣关闭不全的初步经验[J]. 中华医学杂志, 2024, 104(4): 262-268. DOI: 10.3760/cma.j.cn112137-20230924-00538.
所有作者声明不存在利益冲突





















