
探讨儿童胫骨下段骨折合并腓骨近端骨折的临床特点与治疗效果。
回顾苏州大学附属儿童医院2015年1月至2020年12月治疗的9例胫骨下段合并腓骨近端骨折患儿资料,分析其临床诊疗与影像特点。其中男5例,女4例,平均年龄9.7岁。车祸伤3例,运动损伤6例。8例为闭合性骨折,1例为开放性骨折。2例患儿出现漏诊,其中1例合并腓总神经损伤。胫骨下1/3骨干骨折8例,下1/3合并胫骨远端骨骺骨折1例。X线片表现上,9例患儿胫骨骨折线走行均为外上斜向内下;除3例腓骨青枝骨折,6例腓骨骨折线为前高后低,外高内低。术后随访以胫腓骨X线评价骨折复位与愈合情况,以Johner-Wruh胫骨骨折愈合评定标准评价临床疗效。
4例采取石膏外固定,5例采取手术固定胫骨(4例髓内钉,1例髓内钉联合克氏针),腓骨骨折均未采取内固定,患儿平均随访时间为16.7个月,范围为12~24个月。腓骨近端及胫骨骨折均愈合,无伤口感染、骨折再移位及骨-筋膜室综合征等并发症,腓总神经损伤患儿在伤后2个月症状消失。末次随访时,根据Johner-Wruh胫骨骨折愈后评价标准,其中优8例,良1例。
儿童胫骨下段斜形骨折有漏诊腓骨近端骨折可能,应仔细检查,选择恰当的拍片部位以减少漏诊。治疗上以复位固定胫骨为主,腓骨骨折一般无需手术内固定治疗。
版权归中华医学会所有。
未经授权,不得转载、摘编本刊文章,不得使用本刊的版式设计。
除非特别声明,本刊刊出的所有文章不代表中华医学会和本刊编委会的观点。
下肢旋转暴力可引起成人的Maisonneuve损伤,包括内踝骨折、下胫腓联合韧带损伤、骨间膜损伤及腓骨近端骨折[1]。儿童通常体重较轻、受伤暴力较小、骨膜较厚加上关节韧带强度高于骨骺强度,在扭伤发生时往往导致骨骺骨折或骨干骨折而非韧带撕裂,因此鲜有儿童Maisonneuve损伤的报道。儿童在下肢外伤时,可出现类似成人Maisonneuve损伤的胫骨下段骨折合并腓骨近端骨折。与成人Maisonneuve损伤一样,由于骨折位置的特殊性,临床诊治过程中对腓骨近端骨折也可能存在漏诊。治疗上,纠正腓骨旋转与短缩、重建下胫腓解剖关系、恢复踝关节内侧结构稳定性是成人Maisonneuve骨折的总体策略[2]。对于儿童胫骨下段骨折合并腓骨近端骨折这种特殊类型骨折的处理方式尚缺乏文献依据。本文回顾了9例(其中2例存在初期漏诊)儿童胫骨下段骨折合并腓骨近端骨折的病例资料,对临床与影像特点、漏诊原因以及治疗经验进行了总结分析。
回顾性分析苏州大学附属儿童医院2015年1月至2020年12月治疗的9例胫骨下段合并腓骨近端骨折患儿的资料,其中男5例,女4例;平均年龄9.7岁;患侧为左侧4例,右侧5例(表1)。外伤原因:交通事故伤3例,跑步扭伤6例。9例患儿均合并腓骨近端三分之一骨折,其中胫骨下1/3骨干骨折8例,胫骨下1/3合并胫骨远端骨骺骨折1例。2例患儿出现漏诊,1例5岁患儿以"踝关节扭伤"为主诉入院,急诊医生行踝关节正侧位X线片发现胫骨下段骨折,在石膏固定时发现腓骨近端压痛,完善胫腓骨正侧位X线片发现腓骨近端骨折;另1例7岁患儿为电动车撞伤所致胫骨下段开放性骨折,伤口位于小腿前内侧,约5 mm,同样仅行胫腓骨下段正侧位X线片,住院体格检查发现踇趾背伸受限,足背感觉异常,在排除骨-筋膜室综合征下考虑腓总神经损伤,同样完善胫腓骨正侧位X线片发现腓骨近端骨折。

9例胫骨下段骨折合并腓骨近端骨折患儿的一般资料
9例胫骨下段骨折合并腓骨近端骨折患儿的一般资料
| 病例 | 性别 | 年龄(岁) | 伤侧 | 受伤原因 | 骨折类型 | 胫骨骨折位置 | 初期漏诊 | 固定方式 | 愈合时间(周) | 随访时间(月) | Johner-Wruh胫骨骨折预后评价 | 并发症 |
|---|---|---|---|---|---|---|---|---|---|---|---|---|
| 1 | 男 | 12 | 右 | 台阶扭伤 | 闭合 | 下1/3骨干 | 否 | 髓内钉 | 12 | 12 | 优 | 无 |
| 2 | 女 | 7 | 右 | 汽车撞伤 | 闭合 | 下1/3骨干 | 否 | 石膏 | 8 | 12 | 优 | 无 |
| 3 | 女 | 10 | 右 | 电动车撞伤 | 闭合 | 下1/3骨干 | 否 | 石膏 | 8 | 12 | 优 | 无 |
| 4 | 男 | 11 | 左 | 跑步摔伤 | 闭合 | 下1/3骨干 | 否 | 髓内钉 | 12 | 18 | 优 | 无 |
| 5 | 女 | 5 | 右 | 跳舞扭伤 | 闭合 | 下1/3骨干 | 是 | 石膏 | 8 | 24 | 优 | 无 |
| 6 | 男 | 12 | 右 | 跑步扭伤 | 闭合 | 下1/3骨干 | 否 | 髓内钉 | 12 | 18 | 优 | 无 |
| 7 | 女 | 11 | 左 | 跑步扭伤 | 闭合 | 下1/3骨干合并Tillaux骨折 | 否 | 髓内钉联合克氏针 | 12 | 12 | 良 | 无 |
| 8 | 男 | 12 | 左 | 跑步摔伤 | 闭合 | 下1/3骨干 | 否 | 髓内钉 | 12 | 18 | 优 | 无 |
| 9 | 男 | 7 | 左 | 电动车撞伤 | 开放 | 下1/3骨干 | 是 | 石膏 | 8 | 24 | 优 | 腓总神经损伤 |
治疗原则与儿童常规胫骨干骨折相似,大部分闭合性的胫腓骨骨干骨折可采取石膏固定保守治疗。手术治疗指征包括:①不稳定型骨折或保守治疗失败者;②严重的开放性骨折;③合并浮膝损伤或其他严重多发伤;④多发骨折;⑤严重肿胀可能导致骨-筋膜室综合征者[3]。此外,对于年龄>8岁,骨折塑形能力明显有限的不稳定型胫腓骨骨干骨折也可积极手术治疗。
本回顾性研究已通过苏州大学附属儿童医院伦理委员会批准(2022CS055),患儿家属知情同意。
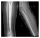
9例患儿除3例为腓骨青枝骨折外,6例患儿均为腓骨近端斜形骨折,骨折线由外上斜向内下,前高后低,均有不同程度的分离、侧方及短缩移位(图1)。9例病例胫骨骨折线在正位X线片上均为外上斜向内下(图2)。8例为胫骨下1/3骨干骨折,1例为胫骨下1/3骨折合并远端Tillaux骨折,无一例出现下胫腓分离(图3)。


选择直径为胫骨髓腔最窄直径三分之一的弹性髓内钉,将其预弯,使最凸面达到骨折水平,弧度为髓腔直径的3~5倍。在患肢胫骨结节水平两侧做1~2 cm小切口,钝性分离直达骨膜,切开骨膜,骨锥斜形钻孔,分别拧入2枚髓内钉,透视定位髓内钉达骨折线水平时,术者与助手牵引下闭合复位,术者一手维持牵引,一手继续拧入髓内钉过骨折线,达远端胫骨骨骺上方约1 cm,使两枚髓内钉"X"形交叉,弧顶位于骨折断端,形成3点固定(图4)。


采取踝关节前外侧入路,自趾长伸肌与踇长伸肌间隙进入,注意保护胫前血管、神经,显露骨折端,注意松解、拉出嵌顿的骨膜,旋后踝关节复位骨折,予以1.6 mm克氏针经皮固定。
一般无需手术治疗,在胫骨复位后,腓骨对位对线均有明显改善(图4)。
术后长腿石膏固定,常规消肿、预防感染处理。术后4周拆除石膏,经皮克氏针固定者同时一并拔除克氏针,更换行走支具固定3周。采取弹性钉固定者一般术后4~6个月取出弹性髓内钉。
采取长腿石膏固定于膝关节屈曲15~20°,嘱抬高患肢,避免下地,注意末梢循环,前3周每隔1周复查X线片,关注有无骨折移位。约4周拆除石膏,更换行走支具固定2~3周。
随访时间为伤后1、3、6、12、18个月,随访时以胫腓骨X线片评价骨折复位与愈合情况,以Johner-Wruh胫骨骨折愈合评定标准评价临床疗效[4](表2)。

Johner-Wruh胫骨骨折愈合评定标准
Johner-Wruh胫骨骨折愈合评定标准
| 项目 | 优 | 良 | 一般 | 差 |
|---|---|---|---|---|
| 骨不连、骨关节炎、截肢 | 无 | 无 | 无 | 是 |
| 神经、血管损伤 | 无 | 轻度 | 中等 | 严重 |
| 后遗症 | ||||
| 外翻/内翻(°) | 无 | 2~5 | 6~10 | >10 |
| 前/后成角(°) | 0~5 | 6~10 | 11~20 | >20 |
| 旋转(°) | 0~5 | 6~10 | 11~20 | >20 |
| 短缩(mm) | 0~5 | 6~10 | 11~20 | >20 |
| 关节活动范围 | ||||
| 膝 | 正常 | >80% | >75% | <75% |
| 踝 | 正常 | >75% | >50% | <50% |
| 距下关节 | >75% | >50% | <50% | - |
| 疼痛 | 无 | 偶尔 | 经常 | 严重 |
| 步态 | 正常 | 正常 | 轻度跛行 | 严重跛行 |
| 剧烈运动 | 无受限 | 轻度受限 | 严重受限 | 无法进行 |
4例患儿胫骨下段骨折对位对线良好,采取石膏固定保守治疗;5例患儿采取手术治疗固定胫骨(4例采取弹性髓内钉固定,1例采取弹性髓内钉联合克氏针固定),伤后至手术时间平均5.9 d,腓骨骨折均仅行石膏外固定制动。采取手术治疗固定胫骨的5例患儿,胫骨复位后腓骨骨折分离及短缩移位程度均有明显改善,术前腓骨骨折平均短缩7.9 mm,术后为3.1 mm;术前腓骨骨折平均分离8.5 mm,术后为3.3 mm。
9例患儿均在3个月内随访时获得骨折愈合,无血管损伤、伤口感染、内固定断裂、骨折再移位、骨不连等并发症。平均随访时间16.7个月,范围为12~24个月。末次随访无下肢不等长、关节功能障碍等并发症。骨折累计胫骨远端骨骺者,无骨骺早闭、踝关节畸形出现。腓总神经损伤者,在术后2个月随访时神经症状消失。末次随访时参照Johner-Wruh胫骨骨折愈合评定标准,优8例,良1例,优良率为100%(表1)。
回顾文献,仅有少量报道描述了儿童胫骨远端骨折合并腓骨近端骨折,有学者认为其受伤机制与成人Maisonneuve损伤类似,为旋前外旋暴力引起,但其影像学表现与治疗方式和成人Maisonneuve损伤不同[5,6]。
成人Maisonneuve骨折一般为运动损伤,本研究发现,儿童胫骨下段骨折合并腓骨近端骨折除运动损伤(6/9)外,交通事故(3/9)也是一大致伤原因。成人Maisonneuve骨折依据Lauge-Hansen(LH)分型多将其归类为旋前外旋型损伤[7]。本组病例有以下影像特点可证实外旋暴力为致伤原因:①除3例腓骨青枝骨折外,有6例腓骨骨折线在侧位X线片显示为前上到后下,在正位X线片显示为外上到内下,腓骨骨折线的走行与成人旋前外旋型损伤腓骨骨折线走行一致;②侧位X线片上可见腓骨骨折端前后轻度分离;③有1例合并胫骨远端Tillaux骨折,该骨折普遍被认为是外旋暴力引起[8]。因此,可以认为在下肢受到外旋暴力导致儿童胫骨下段骨折后,腓骨受骨间膜牵拉引起高位腓骨骨折。胫骨骨折线在X线片上可表现为斜形(6例)或螺旋形(3例),但总体走行均是外上到内下。这也提示临床上发现扭伤致胫骨下段外上到内下的斜形或螺旋形骨折时,应当考虑合并腓骨近端骨折的可能。此外本组9例均未出现下胫腓解剖关系的异常,同时5例采取手术治疗的患儿在复位胫骨后,其腓骨分离与短缩移位均有明显改善,说明下胫腓在外伤后仍是一个整体,进一步证实这类患儿未出现严重的下胫腓联合韧带或骨间膜的撕裂。
成人Maisonneuve骨折的初期漏诊、误诊率可达20%~57%,临床上多通过重视腓骨全长压痛、小腿上方肿痛以及X线片上下胫腓联合间隙增宽、胫腓骨重叠减少等表现来减少漏诊风险[9,10,11]。本研究中有2例患儿出现初期漏诊,分析漏诊原因主要包括:①年幼儿童主诉不准确、体格检查不配合,本次漏诊中有1例为5岁儿童,主诉为"踝关节扭伤后疼痛",再加上体格检查不配合,一定程度上干扰了急诊医生的判断;②接诊医生体格检查时不够仔细、全面,接诊医生耐心检查应该能发现压痛部位主要位于小腿下段而非踝关节,且未检查小腿近端是否同时存在压痛,如儿童常见的急性一过性髋关节滑膜炎,部分患儿会自述大腿甚至膝关节疼痛[12],但是通过仔细的髋关节检查可以鉴别疼痛来源;③拍片位置的选择欠妥,儿童踝关节骨骺骨折好发年龄为10~12岁[13],本次漏诊的2例患儿分别为5岁和7岁,该年龄儿童在小腿外伤时以胫骨干骨折多见[14],踝关节正侧位X线片侧重于观察踝关节周围骨折以及关节对位情况,能检查到的外伤范围较小。
成人Maisonneuve骨折被认为是一种不稳定型损伤,采取手术恢复踝穴的解剖关系并修复损伤的韧带是目前公认的首选方案[2,7,9,15]。而本研究中9例患儿有8例为胫骨下1/3骨干骨折,术前胫腓骨正位X线片未见下胫腓间隙增宽,唯一1例Tillaux骨折术前CT也可见下胫腓关系正常,因此均不考虑下胫腓韧带及骨间韧带严重损伤的可能,治疗上可按照儿童胫腓骨干骨折常规治疗。儿童胫骨骨折塑形能力和年龄有关,一般认为对于8岁以内可自行矫正的骨折包括:骨折内翻<10°,外翻<5°,前成角<10°,后成角<5°,短缩<1 cm;超过8岁后胫骨塑形能力非常有限,除了任何程度向后成角均不能接受外,其余各个方向的成角自行矫正度数均小于5°[16]。笔者一般依据患儿年龄及骨折移位程度选择治疗方案,本研究中采取石膏外固定保守治疗的4例中,有3例年龄<8岁,1例10岁患儿骨折对位对线良好,石膏固定后每周复查X线片,随访有无骨折再移位。对于年龄>8岁但体重<50 kg者采取了弹性髓内钉固定。尽管大部分儿童胫腓骨干骨折可以保守治疗,但代价是长期卧床、护理困难,不利于早期康复,随着骨折治疗理念的改进,越来越多学者倾向对儿童胫骨干骨折采取手术治疗[3]。弹性髓内钉是目前普遍被接受应用于儿童胫骨骨干骨折的植入物,具有不损伤骨骺、利于早期下地活动以及对骨折端软组织几乎无损伤的优点[3]。此外还有1例合并胫骨远端前外侧Tillaux骨折,采取切开复位后克氏针固定,亦取得满意愈合。
在儿童腓骨骨折的处理原则上与成人Maisonneuve骨折也不完全相同。成人Maisonneuve损伤中腓骨近端骨折一般也不必处理,但在腓骨短缩明显,影响踝穴复位的情况下,需要切开复位纠正腓骨短缩、旋转畸形,达到下胫腓联合解剖复位的效果[2]。而本组病例均未对腓骨进行内固定治疗,是基于:①所有患儿外伤时影像检查均未见下胫腓分离,腓骨骨折不影响踝关节稳定性;②儿童腓骨近端斜形骨折愈合快,手术治疗反而有损伤腓总神经的风险。所有病例腓骨骨折均获得满意愈合,且塑形良好。此外,还有1例腓骨骨折合并腓总神经损伤的患儿未采取手术探查。Senes等[17]认为儿童下肢闭合性骨折引起的神经损伤,一般予以随访观察3个月,若3个月后感觉与运动均无恢复迹象再考虑行神经探查。该病例开放性骨折伤口仅5 mm,位于小腿内侧胫骨骨折端,不属于腓神经支配区,考虑腓总神经损伤为腓骨骨折挫伤或血肿压迫,予以观察随访,最终伤后2个月自行痊愈。
本研究纳入的骨折类型比较特殊,因此病例数较少。在明确有无下胫腓联合韧带、骨间膜损伤方面,缺乏磁共振成像等影像学证据。后续的研究中可以通过多中心合作增加样本量,完善磁共振成像检查,同时可建立无合并腓骨骨折的对照组观察两组间的治疗效果差异。
综上所述,儿童胫骨下段斜形或螺旋形骨折有漏诊腓骨近端骨折的风险。治疗上以胫骨骨折复位固定为主,对无明显移位者采取石膏外固定,对大年龄儿童及胫骨骨折移位明显者采取弹性髓内钉或外固定架固定,腓骨骨折一般无需特殊处理。
所有作者均声明不存在利益冲突





















