
24岁男性患者,因反复腹胀伴双下肢浮肿7个月余,加重1个月,于2000年3月13日收治入中国人民解放军联勤保障部队第九〇〇医院器官移植科。患者临床诊断为肝豆状核变性,代谢性脑病,肝硬化失代偿期。患者于2000年3月24日行原位全肝移植术,术后恢复顺利,已生存23年余,可正常生活和工作。
版权归中华医学会所有。
未经授权,不得转载、摘编本刊文章,不得使用本刊的版式设计。
除非特别声明,本刊刊出的所有文章不代表中华医学会和本刊编委会的观点。
患者男,23岁,因反复腹胀伴双下肢浮肿7个月余,加重1个月于2000年3月13日入住我科。患者入院前1个月内反复鼻腔及牙龈出血,记忆力减退、言语不清晰。患者入院体格检查:(1)神志萎靡,检查配合欠佳,体温36.5 ℃,脉搏80次/min,呼吸18次/min,血压105 mmHg/63 mmHg(1 mmHg=0.133 kPa)。(2)患者全身皮肤黏膜无黄染,可见肝掌、蜘蛛痣;腹部膨隆,腹壁静脉曲张,腹肌稍紧张,全腹部轻压痛,无反跳痛,肝脾肋下未触及,移动性浊音阳性;四肢无自主震颤,四肢肌张力正常,双侧病理征阴性。
患者入院完善血液生化检查:(1)肝功能中Alb 18 g/L,TBil 35 μmol/L,AST 48 U/L,ALT 25 U/L。(2)血常规中PLT 61×109/L。(3)凝血功能中PT 25.8 s。(4)铜蓝蛋白7 U/L,血清铜54 μg/dL。(5)乙型病毒性肝炎相关指标、甲型病毒性肝炎IgM抗体测定、自身免疫性肝病抗体组合未见异常。
患者腹部CT检查结果示肝弥漫性病变,考虑肝硬化;脾大伴大量腹腔积液。电子胃镜检查结果示食管胃底轻度静脉曲张。颅脑CT检查结果示双侧基底节区低密度灶,考虑代谢性脑病,结合病史,肝豆状核变性可能性大。裂隙灯下眼底检查结果示双眼可见K-F环。结合上述检查综合判断,患者临床诊断为肝豆状核变性,代谢性脑病,肝硬化失代偿期。建议患者完善ATP7B基因突变检测,进一步明确临床诊断。因患者因素未行基因突变检测。多学科综合诊断与治疗意见:患者肝硬化失代偿期;双眼K-F环,铜蓝蛋白降低,血清铜升高,考虑肝豆状核变性;肝脏功能评分Child-Pugh评分12分,C级。患者终末期肝病,可行肝移植治疗。
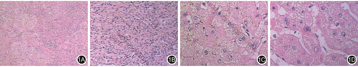
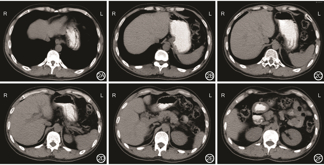
2000年3月24日患者在我院行原位肝移植手术。供者为青年男性,24岁,脑外伤史,既往体健,淋巴细胞实验为2%,符合供者要求。患者病肝病理学检查:符合混合性肝硬化变性,肝组织被粗细不等的纤维组织分割成大小不等的假小叶结节,纤维分割带中含有较多萎缩的肝腺泡和增生的小胆管,以及中等量淋巴细胞、单核细胞浸润,肝细胞普遍浊肿,散见少量嗜酸性病变或点状坏死,肝窦内枯否氏细胞增生(图1)。患者术后恢复顺利,记忆力逐渐恢复正常,对答切题,言语清晰。患者术后随访23年余,可正常生活和工作。术后多次复查腹部CT(图2)及肝脏彩色多普勒超声示移植肝脏形态正常。




肝豆状核变性是一种单基因常染色体隐性遗传病,由染色体13q14~q21上的ATP7B基因调控,它编码跨膜蛋白ATP将铜运输进入高尔基体并进入铜蓝蛋白,从而促进铜排泄。随着ATP7B功能缺陷,铜从肝细胞排泌至胆道障碍,造成铜在肝脏、角膜和大脑等组织器官中沉积,引起肝脏和神经系统损伤[1, 2]。因此,体内铜代谢紊乱,首先是在肝内持续性过量蓄积,损害肝脏合成功能、代谢功能和解毒功能;其次是在中枢神经系统过量蓄积,甚至在心脏、肾脏、角膜和骨关节等沉积,损害其功能和结构,呈现多样化、复杂化和非特异性临床表现。肝豆状核变性最易累及肝脏和脑,神经精神症状可以和肝病症状同时出现。本研究患者因铜蓄积导致慢性肝损伤、肝硬化失代偿和神经精神症状等多种并发症。肝移植是患者最好的选择,供肝健康的肝细胞具有P型ATP酶的功能,不仅弥补受者ATP7B功能缺陷,恢复铜正常肠肝循环,维持胆道排铜功能正常,改善全身铜代谢,缓解或治愈神经精神症状,而且终止持续使用驱铜药物的严重不良反应及螯合剂的局限性[3, 4]。
对于无明显肝病却伴有严重神经系统症状患者是否需要肝移植,肝移植是否能有效缓解神经系统症状?目前移植界对于上述问题尚有争议[5, 6]。部分学者认为:爆发性肝衰竭患者和慢性失代偿性肝豆状核变性患者,突发急性肝衰竭是肝移植的绝对适应证;而出现神经精神症状但肝功能正常的患者行肝移植的紧急性稍弱[7, 8]。随着对肝豆状核变性的不断认识和肝移植技术进展,越来越多学者认为:对肝豆状核变性患者,神经精神症状应当置于与肝功能失代偿程度相同地位,肝移植治疗肝豆状核变性能完全纠正铜代谢障碍,不同程度地改善神经精神症状,提高患者生命质量[9, 10]。早期研究结果显示:肝豆状核变性合并严重神经精神症状的患者在接受肝移植后,临床症状得到显著改善,甚至完全消失[11]。Poujois等[12]报道18例肝豆状核变性患者行肝移植治疗后,改良Rankin评分量表、统一的肝豆状核变性评分量表和脑MRI检查评分改善,生命质量得以提高,5年累计生存率达72.2%。
本研究结果显示:肝豆状核变性患者行原位肝移植治疗,可有效改善全身铜代谢异常,提高生命质量,延长生存时间。笔者团队认为:肝移植可作为肝豆状核变性内科治疗毫无进展时的最终选择。
黄兴华, 吕立志, 江艺, 等. 肝移植治疗成人肝豆状核变性[J]. 中华消化外科杂志, 2023, 22(S1): 91-93. DOI: 10.3760/cma.j.cn115610-20231031-00177.
所有作者均声明不存在利益冲突





















