
脯氨酸-丝氨酸-苏氨酸磷酸酶相互作用蛋白1(PSTPIP1)相关的髓样相关蛋白血症性炎症(PAMI)综合征是一种罕见的常染色体显性自身炎症性疾病,通常表现为儿童期反复发作的无菌性关节炎、全血细胞减少、皮肤炎症等。PAMI综合征临床罕见,易被误诊,且目前尚无有效根治方法。现报告1例18岁男性PAMI综合征患者,并对相关文献进行复习,以期提高广大临床医师对该疾病的认识。
版权归中华医学会所有。
未经授权,不得转载、摘编本刊文章,不得使用本刊的版式设计。
除非特别声明,本刊刊出的所有文章不代表中华医学会和本刊编委会的观点。
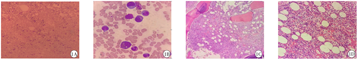
患者,男性,18岁,2018年6月因反复发热、白细胞减少来我院就诊。患者8岁时因鼻出血在当地医院查血常规提示白细胞减少、贫血、血小板减少,前往上海瑞金医院进一步行骨髓相关检查发现骨髓增生低、淋巴细胞比例增加,诊断为再生障碍性贫血,未治疗,贫血、血小板减少逐渐好转,但白细胞计数(WBC)持续下降,膝关节反复出现肿胀和疼痛。15岁时面部、颈部、胸部、背部出现多处红色皮疹及囊肿样肿物,皮肤科医生诊断为痤疮。18岁时因中性粒细胞减少来我科住院诊治。血常规显示白细胞减少、中性粒细胞减少伴轻度贫血,血小板计数正常。血液生化提示:乳酸脱氢酶(LDH)1 369.7 U/L,血清铁蛋白(FER)602.5 μg/L,血清锌7 220 μg/L。甲状腺功能正常。炎症指标:CRP 50.2 mg/L,ESR 28 mm/1 h,血清IL-1β和TNF-α水平无明显异常。IgG 17.9 g/L、IgM 1.12 g/L、IgA 1.75 g/L,IgG4、补体C3、C4正常。HLA-B27、血管炎4项[抗蛋白酶3抗体(PR3-Ab)、抗髓过氧化物酶抗体(MPO-Ab)、核周型ANCA(p-ANCA)、胞质型ANCA(c-ANCA)]、抗心磷脂抗体3项(IgA、IgM、IgG)、RF、抗核抗体谱等自身免疫相关抗体均为(-)。EB病毒IgG(+),细小病毒B19-DNA(-),人类免疫缺陷病毒(-)。彩色多普勒超声示脾肿大,颈部、双侧腋窝、双侧腹股沟淋巴结肿大。骨髓涂片及活检示增生活跃,未见明显异常增生及原始细胞增多(图1),骨髓染色体正常。查体发现患者面部、颈部、胸部和背部有结节样囊性痤疮,颈部淋巴结肿大及脾脏肿大。无脯氨酸-丝氨酸-苏氨酸磷酸酶相互作用蛋白1(PSTPIP1)相关的髓样相关蛋白血症性炎症(PAMI)综合征及相关疾病家族史,亦无其他风湿病家族史等。无吸烟及饮酒史。


全基因组测序检测到PSTPIP1基因的杂合突变(NM_003978:c.G748A:p.E250K),同时在赫曼斯基普德拉克综合征蛋白1(HPS1)基因中检测到复杂的杂合突变(NM_000195:c.C952G:p.L318V;NM_001322492:c.G775A:p.A259T),Sanger(第二代测序)验证结果:PSTPIP1 c.G748A p.E250K,患者父母也进行了全基因组测序检测,结果显示父母E250K位点的PSTPIP1基因为(-)。患者母亲检测到HPS1基因的杂合突变(NM_000195:c.C952G:p.L318V);患者的父亲在同一基因中发现了另一种杂合突变(NM_001322492:c.G775A:p.A259T)。患者及其父母全基因组测序结果见图2。结合患者临床表现及辅助检查,最终该患者诊断为PAMI综合征(伴PSTPIP1基因E250K位点突变)。使用TNF-α抑制剂依那西普(皮下注射50 mg,每周1次)治疗,1个月后皮疹及关节疼痛明显改善,但中性粒细胞仍减低。1年后患者自行停用依那西普,颜面部及颈部皮疹、痤疮复发,在左侧大腿皮肤自发性破溃伴疼痛。予以泼尼松50 mg/d联合他克莫司2 mg/d,皮肤破溃逐渐愈合,外周血中性粒细胞扔持续低。


PAMI综合征是一种罕见的由PSTPIP1基因特异致病变异引起的自身炎症性疾病,临床表现为严重的全身症状、皮肤炎症、关节痛/关节炎、肝脾大、全血细胞减少及生长发育迟缓等[1]。临床特征为慢性全身炎症、关节痛/关节炎、肝脾肿大和发育异常,而生物化学上可见高血清锌水平和升高的促炎"警报"——髓样相关蛋白(MRP)8和14复合物(钙卫蛋白)[2]。PAMI综合征以前被称为高锌血症/高钙卫蛋白血症[3,4,5]。PSTPIP1也被称为CD2BP1基因,是一个细胞骨架相关的接头蛋白,调节T细胞活化[6]吞噬细胞活化、细胞骨架组织和IL-1β释放[7]。文献[8,9,10,11,12]表明,在多种自身炎症性疾病中均发现PSTPIP1基因突变。化脓性无菌关节炎、坏疽性脓皮病和痤疮(pyogenic sterile arthritis,pyoderma gangrenosum,and acne,PAPA)综合征是由Lindor等[8]于1997年首次提出的[8]。随后,发病位点定位到15号染色体[6],突变位于PSTPIP1基因(p.A230T和p.E250Q)。最初的实验方法将PAPA综合征定位在自体炎症性疾病的谱系中,结果表明突变的PSTPIP1显著增加了PAPA患者的外周血白细胞和转染了PAPA相关突变体的细胞系中吡啶结合和IL-1β的生成[7]。在转染了2种PAPA相关突变的细胞系中,PAPA相关的PSTPIP1突变通过激活吡啶,从而使其与C末端含有胱天蛋白酶募集域CARD(ASC)的凋亡相关的斑点状蛋白相互作用,并促进ASC寡聚成活性的ASC焦变性体[13]。坏疽性脓皮病、痤疮和化脓性汗腺炎(pyoderma gangrenosum,acne and suppurative hidradenitis,PASH)综合征在2012年由Braun-Falco等首次报道,PASH综合征的突变基因包括PSTPIP1、NCSTN、NOD2和MEFV[14]。Calderón-Castrat等[9]报道了1例PASH综合征患者的第1个PSTPIP1基因突变(p.Arg405Cys)。Zeeli等[15]报道了1例33岁男性患者,有长期溃疡性结肠炎、严重痤疮和复发性皮肤溃疡病史,并有3年顽固性脓疱性皮疹病史。他们利用直接测序技术在PSTPIP1基因中寻找突变,并确定了1个新的杂合突变,该突变被预测会改变1个高度保守的残基(p.G403R)并破坏蛋白质功能。脓疱和皮肤溃疡活检显示毛囊炎和溃疡伴弥漫性中性粒细胞浸润,符合坏疽性脓皮病的诊断。基于这些发现,他们开始使用人类IL-1受体拮抗剂阿那白滞素(anakinra)进行治疗,使患者的病情得到了显著改善。他们将这种新的临床表现称为"坏疽性脓皮病、痤疮和溃疡性结肠炎(pyoderma gangrenosum,acne and ulcerative colitis,PAC)综合征"。白塞病(BD)是一种免疫介导的系统性疾病,与HLA Ⅰ类和其他基因密切相关。一项研究[10]利用二代测序(next generation sequencing,NGS)方法在355例BD患者中调查了与自身炎症性疾病相关的7个罕见变异基因:CECR1、MEFV、MVK、NLRP3、NOD2、PSTPIP1和TNFRSF1A,研究结果支持PSTPIP1基因参与BD的发病机制。化脓性汗腺炎(hidradenitis suppurativa,HS)是一种严重的慢性炎症性疾病,以反复出现疼痛的深部结节为特征,好发于皮肤的大汗腺区域。一篇综合62篇HS的系统综述[16]发现了3个与PST-PIP1基因相关的突变。坏疽性脓皮病(pyoderma gangrenosum,PG)是一种罕见的非感染性皮肤病,其特征是无菌脓疱病变迅速演变为具有不同大小和深度的破坏边界的触痛性溃疡。Nesterovitch等[11]研究了14例PG患者,发现1例有轻度关节痛和痤疮病史的患者PSTPIP1存在G258A突变。Demidowich等[12]于2012年报道了5例来自4个亲本的PAPA综合征患者,1例患者首次发现新突变E250K,具有新突变E250K的患者较其他突变体表现出独特的表型。除无菌性关节炎外,还表现为淋巴结肿大,脾肿大,血小板减少症,溶血性贫血,咽乳头瘤样增生,T细胞大颗粒淋巴细胞白血病,患者还患有中性粒细胞减少和大颗粒淋巴细胞增多症,这在PAPA综合征中以前没有报道过。患者在儿童早期开始接受皮质类固醇治疗PG治疗方案。环孢素改善了PG,但耐受性差。他克莫司的疗效是短暂的。中性粒细胞减少引起的粒细胞集落刺激因子增加,使PG迅速恶化,用阿那白滞素治疗并未改善PG或其广泛的皮肤溃疡。Belelli等[17]报道了1例8岁男孩,表现为复发性右膝肿胀,类似脓毒性关节炎,持续骨髓受累,但无皮肤受累。PSTPIP1基因的分子分析显示存在E250K杂合突变。患者和携带相同基因变体的母亲都没有发现生长衰竭。患者血锌、钙卫蛋白MRP8/14浓度明显升高。使用阿那白滞素治疗,临床症状迅速消失,CRP水平在24 h内恢复正常,但骨髓持续受累。该患者表型较轻,无皮肤特征,轻度关节炎发作,无后遗症,生长正常。Holzinger等[2]对14例高钙卫蛋白血症和高锌血症患者进行了PSTPIP1基因测序。结果显示,13例患者PSTPIP1基因的错义突变为杂合,导致p.E250K突变,1例患者携带p.E257K突变。这两种突变实质上改变了PSTPIP1二聚体模型在蛋白质—蛋白质相互作用关键区域的静电电位,通过磷酸化PSTPIP1增加了与吡啶的相互作用。Dai等[18]报道了1例56岁女性患者,她被诊断为多系统自身免疫异常和蛋白尿,在38年治疗失败后最终被诊断为PA-MI。PSTPIP1基因诊断Sanger序列显示p.E250K(c.748G>a)杂合突变。患者接受试验性秋水仙碱治疗1 mg,2次/d,结果表明该治疗有效。Lee等[19]描述了1例26岁的CD2BP1基因E250K突变的男性,TNF抑制剂阿达木单抗疗效显著。值得注意的是,该患者面部多发丘疹脓疱,腿部溃疡,背部和腿部多处溃疡瘢痕,而其母亲同样有CD2BP1基因E250K突变,仅表现为慢性疲劳和间歇性关节痛、肌痛。Mendonca等[20]报道了1对患有PAMI综合征的巴西母女。女孩自出生1个月就因高烧、腹泻、苍白和黏膜出血住院,实验室检查显示,患者出现严重脱水,血红蛋白水平极低(66 g/L,参考范围115~155 g/L),中性粒细胞减少[0.548×109/L,参考范围(2.5~7.5)×109/L],血小板减少症[20×109/L,参考范围(15~40)×109/L]和高水平的CRP(576 mg/L,参考范围<5 mg/L)。患者外周血中出现高巨细胞病毒血症,在以标准剂量长期静脉给予更昔洛韦后,观察到临床缓解。每月发作的发热持续2~3 d,此外还表现出持续性脾肿大和严重的难治性贫血、血小板减少症和中性粒细胞减少症以及高水平的急性炎症反应标志物(ESR、CRP和血清淀粉样蛋白A)。值得注意的是,同样携带E250K突变的患者母亲也表明从生命早期开始就反复发烧和血小板减少症,但在整个成年期一直没有症状。尽管母亲完全无症状,但可以观察到高水平的急性炎症反应标志物。严重的巨细胞病毒(CMV)感染作为PAMI综合征的首发表现是全球首次报告。同时,研究表明,PSTIPIP1可通过NLRP3炎症小体负向调控调节T细胞分化,诱导所谓的"镁绿体"的激活,导致细胞死亡和细胞因子(如IL-1β)的释放[21,22,23]。因此,NLRP3可能通过叉头框蛋白3(FoxP3)表达参与T细胞调控,并与高水平双阴性T细胞相关,这可能是PSTIPIP1驱动的非典型激活的结果,揭示PSTIPIP1在PAMI综合征中介导FOXP3激活的新途径,这可能具有治疗意义。Zhang等[24]报道了3例携带E250K突变的PAMI综合征的儿童,患者1表现为复发性三系发育不全、脾肿大、PG和咽峡炎,患者2表现为复发性三系发育不全、脾肿大、化脓性关节炎和生长迟缓,患者3表现为间歇性发热、复发性三系发育不全、肝脾肿大、化脓性关节炎和肺动脉高压,3例患者都有明显的血清炎症标志物(如CRP、ESR和FER)增加。在3例儿童中,患者1接受了甲泼尼龙和环孢素治疗,皮疹、三系发育不全和肝脾肿大均有明显改善。患者2和3接受甲泼尼龙和TNF拮抗剂治疗。患者2三系得到改善,炎症指数较低,肝脏和脾脏回缩,关节炎症状和体征消失。患者3肺动脉高压恢复正常。在3例患儿中,只有1例患者接受环孢素治疗,对白细胞和中性粒细胞效果最好,证明了环孢素对血液系统损害有显著的疗效。肿瘤坏死因子拮抗剂对肝脾肿大和关节炎症的恢复有显著影响。类固醇类药物有助于改善PG和血液系统损害。
Hashmi等[25]报道了2例PAMI综合征。第1例患者为12岁女性,表现为多关节痛、间歇性胸痛、发热、乏力。体格检查发现轻度脾肿大。其外祖父在41岁时死于骨髓增生异常综合征和肺纤维化。全血细胞计数显示白细胞减少、中性粒细胞减少伴轻度贫血,血小板计数正常。骨髓涂片和活检显示骨髓细胞增生正常,三系造血成熟,细胞遗传学正常。二代测序组在PSTPIP1基因中发现1个纯杂合子c.748G>a(p.E250K)致病变异,在端粒酶逆转录酶(telomerase reverse transcriptase,TERT)基因中发现了1个母代遗传的临床意义未知的c.2078T>G(p.F693C)杂合子变异(VUS),并通过Sanger测序证实。血清锌水平升高(6 240 μg/L;正常范围200~1 200 μg/L)。血清铜水平正常。类因醇和NSAIDs可改善患者症状,但中性粒细胞减少没有变化。第2例患者为7岁女孩,表现为反复骨髓炎、肺炎和持续性全血细胞减少,其对输血的依赖随着年龄的增长而改善,但中性粒细胞减少症仍然存在。体格检查显示生长衰竭、牙周病和肝脾肿大。骨髓评估显示骨髓细胞增多,伴有成熟的三系造血,中度网织蛋白纤维化,淋巴样聚集,细胞遗传学正常,诊断为自身免疫性骨髓纤维化。临床外显子组测序在PSTPIP1基因中发现了1个可能致病的原生杂合子c.769G>a(p.E257K),在SLC46A1基因中发现了1个新的杂合子c.817G>T(p.A273S)VUS。锌水平明显升高(>8 000 μg/L)。非甾体抗炎药可改善其症状,血锌水平降低到6 780 μg/L,但中性粒细胞减少保持不变。Klötgen等[26]报道1例23岁男性患者,诊断为PAMI综合征,表现为皮肤溃疡、贫血、中性粒细胞减少、轻度血小板减少、脾肿大、复发性无菌性骨髓炎、复发性无菌性关节炎和结节性痤疮。基因分析鉴定了PSTPIP1(c.748G>a)的1个杂合致病突变,预测该突变可能导致该蛋白250位高度保守的残基(E250K)被取代。血清锌、钙卫蛋白S100A8/A9、钙卫蛋白C S100A12浓度均远超正常范围。该患者已接受泼尼松龙、他克莫司、英夫利昔单抗、卡那单抗、苏金单抗、抑制剂等药物治疗。没有观察到明显的疗效。最后,使用环孢素4 mg·kg-1·d-1,6个月后,PG几乎完全愈合,耐受性良好。Huang等[27]报道了1对PAMI综合征的父子,父亲因面部丘疹结节和手部溃疡入院。患者从13岁起长痤疮,一直持续到成年。在过去的6年中,患者左小腿多次溃疡复发。体格检查患者体型消瘦,面部囊性痤疮病灶明显,左侧手背肿胀红斑,中心糜烂。肝和脾位于肋缘下约4 cm处。实验室检查显示CRP升高80.18 mg/L(正常值<5 mg/L),WBC 2.72×109/L[参考范围(4~10)×109/L]。血清免疫球蛋白分析正常,ANA、RF(-)。其子同样体型消瘦,从17岁起出现持续4年的囊性痤疮,并出现过间歇性腹痛和肘部疼痛。实验室检查显示CRP水平升高49.74 mg/L,WBC 1.2×109/L。将父亲和儿子的DNA进行全外显子组测序,检测到PSTPIP1基因c.748G>a(p.E250K)的杂合子突变。测量血清锌钙结合蛋白和S100A8/A9,父亲S100A8/A9为59 773 ng/ml,儿子为62 167 ng/ml(正常值<2 900 ng/ml)明显增高,确诊为PAMI。对患者给予泼尼松30 mg,1次/d,联合强力霉素100 mg,2次/d治疗。治疗3个月后,患者皮肤损害明显改善。Xu等[28]报道了2例携带PSTPIP1基因E250K突变的PAMI综合征患儿。患者1为10岁儿童,出生3个月起反复出现上呼吸道感染;3岁时,患者出现近端指间关节、踝关节、膝关节和髋关节的不对称性关节炎;6岁时诊断为左股骨头无菌性坏死,行左股骨头钻孔减压术;8岁时因左肘关节疼痛肿胀,无发热入院,体检发现肝脾肿大;全血细胞计数显示轻度贫血伴有白细胞减少和中性粒细胞减少,血小板计数正常;血液生化评估显示CRP、ESR、LDH升高,但降钙素原和血清铁蛋白(FER)水平正常;患者接受泼尼松联合依那西普治疗2年,无关节炎发作;肝肿大、贫血消退,脾肿大、中性粒细胞减少持续;CRP和ESR水平下降,但仍高于参考值;膝关节MRI显示联合治疗18个月后症状改善;治疗后未出现新的症状。患者2是1例3岁女童,6个月时出现严重贫血症状,被诊断为自身免疫性溶血性贫血,接受泼尼松治疗6个月,症状改善,血红蛋白水平上升到正常值,未规律随访;2岁2个月时,患者再次出现严重贫血(血红蛋白58 g/L)并伴有发热,输注红细胞及免疫球蛋白无效入院;体格检查显示肝脾肿大,实验室血检显示全血细胞减少、凝血障碍、肝功能障碍、高铁蛋白血症、高水平CRP、ESR和LDH;骨髓涂片及活检显示骨髓细胞发育不全。给予泼尼松、依那西普治疗后贫血、肝脾肿大缓解,CRP、ESR恢复至正常范围,但LDH和FER水平仍然很高,中性粒细胞减少持续存在。Holsinger等[1]综述了PSTPIP1突变导致的自身炎症性疾病的扩展谱,以及对其发病机制的新见解,其结论是,由PSTPIP1突变引起的自身炎症性疾病并不局限于经典的PAPA表型,而且可能伴有其他明显的临床特征。MRP8/14血清水平是PAPA和PAMI的标志,可作为筛查工具,对疑似病例进行靶向基因检测。IL-1β和MRP警报素释放的反馈机制可能为未来的治疗提供新的靶点。
高锌血症/高降钙素血症于2002年首次报道[29],共发现5例。2012年,文献[12]报道1例患者中发现疾病相关基因突变PST-PIP1。本病患者以"一小二大三低"为特征:发病年龄小,肝、脾肿大,贫血、白细胞计数低、血小板计数低。患者通常会停止生长和发育,并出现溃疡性皮肤损伤或皮疹。当2012年首次发现PSTPIP1基因突变时,PAMI和PAPA综合征的突变同时被发现,但这2种综合征的临床表现有很大的差异。PAPA综合征患者表现为典型的无菌性关节炎,这在PAMI综合征中并不常见。血液检查应显示PAMI综合征患者的锌和钙保护素(MRP8/MRP14)水平很高。钙卫蛋白是一种来自中性粒细胞和巨噬细胞的含钙蛋白,是急性细胞炎症的标志,也可作为配体激活免疫细胞,表达一系列促炎细胞因子。PSTPIP1基因典型的错义突变(c.748G>A)导致PAMI患者中PSTPIP1蛋白第250个氨基酸的误译,常被称为E250K(原是谷氨酸被赖氨酸取代)。本文报道的患者携带该基因突变。
PAMI是一种非常罕见的疾病,目前尚无根治方法。由于基因突变可以增加PSTPIP1的活性,最终刺激先天免疫细胞产生更多的IL-1,因此IL-1抑制剂被认为是治疗PAMI综合征最有效的药物。根据现有的报告,IL-1抑制剂对大约一半的患者有效[30]。抗IL-1抗体卡那单抗(2 mg/kg)可作为一线治疗方案,只需每4周皮下注射1次。也可使用抗IL-1融合蛋白阿那白滞素(2 mg/kg),需要每日注射。若7 d内无反应,或出现复发症状,可增加剂量至4 mg/kg。最大剂量可增加到每天200 mg阿那白滞素或每4周300 mg卡那单抗。这些治疗的副作用是感染率升高、肝转氨酶增加或血细胞计数减少。由于先天免疫系统在PAMI综合征中也过度活跃,抗TNF-α药物已被用于一些病例。根据文献,3例患者接受抗TNF-α药物治疗,1例患者治疗有效[12]。目前抗TNF-α药物包括依那西普(0.8 mg/kg,皮下注射,1次/周)和英夫利昔单抗(5 mg/kg,静脉注射,第0、2、6周,然后每6周1次)。虽然PAMI患者的先天免疫系统受影响最大,但PSTPIP1也可能参与适应性免疫应答,提示T细胞抑制剂环孢素A可能用于该疾病。秋水仙碱可抑制微管的形成,微管的形成可影响钙卫蛋白的分泌,提示秋水仙碱的治疗可能也是有效的[1]。虽然PAMI综合征的许多症状对治疗反应良好,但目前尚无有效的治疗中性粒细胞减少症的方法。因此,反复感染仍然是一个持久的问题,在这种情况下,可能需要预防性使用抗生素。
PAMI综合征是一种由PSTPIP1基因特异性致病变异引起的罕见的自身炎症性疾病。未明确的自身炎症综合征和显著皮肤炎症(或坏疽脓皮病)的患者应检测血清MRP8/14水平,以启动靶向基因检测。PAMI的治疗仍然是一个挑战。
所有作者均声明不存在利益冲突

























