
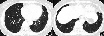
患者,60岁女性,因“间断气短1个月”至北京协和医院呼吸与危重症医学科门诊就诊。近1 个月来出现间断气短,无明显咳嗽、咯痰,无发热;近5年曾出现3次自发性气胸,既往无高血压、糖尿病等慢性病史。兄弟姐妹共4人,哥哥有气胸史。患者门诊胸部CT见双肺多发、大小不一的薄壁囊状透亮影(图1, 2),形状不规则(可见圆形、椭圆形和扁平状),部分融合,主要分布于中下肺及双肺基底部,邻近纵隔胸膜下。考虑伯特-霍格-杜布(Birt-Hogg-Dubé syndrome,BHD)综合征诊断可能性大,行外周血全外显子测序后确诊BHD综合征:染色体17p11.2区域存在约2 kb的拷贝数杂合缺失变异:主要累及FLCN 基因45号外显子及其相邻内含子。泌尿系超声:左肾小囊肿。BHD综合征是一种罕见常染色体显性遗传性疾病,特征为弥漫性肺部囊状病变、自发性气胸、皮肤纤维毛囊瘤或毛盘瘤和肾脏肿瘤;针对肺部囊性病变目前尚无有效的治疗药物,日常需要避免长途飞行、屏气负重等以减少自发性气胸的发生。本例患者有反复自发性气胸、双肺多发近胸膜分布为著的大小和形态不均一的囊泡影,结合基因检测后确诊BHD综合征。
版权归中华医学会所有。
未经授权,不得转载、摘编本刊文章,不得使用本刊的版式设计。
除非特别声明,本刊刊出的所有文章不代表中华医学会和本刊编委会的观点。


患者,60岁女性,因“间断气短1个月”至北京协和医院呼吸与危重症医学科门诊就诊。近1 个月来出现间断气短,无明显咳嗽、咯痰,无发热;近5年曾出现3次自发性气胸,既往无高血压、糖尿病等慢性病史。兄弟姐妹共4人,哥哥有气胸史。患者门诊胸部CT见双肺多发、大小不一的薄壁囊状透亮影(图1, 2),形状不规则(可见圆形、椭圆形和扁平状),部分融合,主要分布于中下肺及双肺基底部,邻近纵隔胸膜下。考虑伯特-霍格-杜布(Birt-Hogg-Dubé syndrome,BHD)综合征诊断可能性大,行外周血全外显子测序后确诊BHD综合征:染色体17p11.2区域存在约2 kb的拷贝数杂合缺失变异:主要累及FLCN 基因45号外显子及其相邻内含子。泌尿系超声:左肾小囊肿。BHD综合征是一种罕见常染色体显性遗传性疾病,特征为弥漫性肺部囊状病变、自发性气胸、皮肤纤维毛囊瘤或毛盘瘤和肾脏肿瘤;针对肺部囊性病变目前尚无有效的治疗药物,日常需要避免长途飞行、屏气负重等以减少自发性气胸的发生。本例患者有反复自发性气胸、双肺多发近胸膜分布为著的大小和形态不均一的囊泡影,结合基因检测后确诊BHD综合征。





















