
嗜酸性粒细胞增多综合征(HES)是一组以嗜酸性粒细胞持续增多伴组织器官损害为特征的一类疾病,可累及全身多个系统,但以肝脏占位较为罕见,现报道1例以肝占位为表现的HES患者的诊疗经过,为临床提供诊治经验。
版权归中华医学会所有。
未经授权,不得转载、摘编本刊文章,不得使用本刊的版式设计。
除非特别声明,本刊刊出的所有文章不代表中华医学会和本刊编委会的观点。
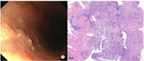
患者,男性,69岁,以"吞咽困难1个月余"为主诉,于2020-05-10就诊于厦门市中医院。患者1个月余前无明显诱因出现吞咽不畅,以进食干性食物为主,尚能进食半流质食物,伴反酸烧心、嗳气,无腹痛腹泻,无恶心呕吐等,经抑酸护胃治疗后稍好转,门诊查血常规:"白细胞:7.7×109/L,嗜酸性粒细胞百分比:24.6%,嗜酸性粒细胞:1.89×109/L,血红蛋白:148 g/L,血小板计数:226×109/L";胃镜示"1.慢性萎缩性胃炎2.食管黏膜粗糙(图1)";病理(图1):"食管黏膜慢性活动性炎症,上皮下间质炎性肉芽组织增生,可见较多嗜酸性粒细胞浸润(大于15个/高倍镜视野)";腹部彩超示"肝S7段见偏低回声结节,范围约22 mm×16 mm,边缘尚清,S8段隐约见偏低回声区,范围约9 mm×7 mm,边缘模糊;提示肝内低回声结节性质待查",为求诊治,门诊拟"食管炎、肝占位性病变"收住入院。既往"反流性食管炎"2年余;"支气管扩张症"病史3年余,经治疗症状缓解。


A:胃镜显示食管粘膜粗糙;B:病理示食管黏膜较多嗜酸性粒细胞苏木精-伊红染色×100
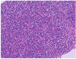
查体:T:36.7℃、P:98次/min、R:20次/min、BP:133/86 mmHg。神志清楚,全身皮肤未见异常。全身浅表淋巴结未触及肿大,心肺查体无异常。腹平软,无压痛,无反跳痛,未扪及包块。肝脾肋下未触及。墨菲氏征(-)。麦氏点无压痛。移动性浊音(-),肝肾区无叩击痛,肠鸣音5次/min。双下肢无浮肿。病理征阴性。入院查上腹部磁共振成像(MRI)平扫+增强(图2)示:肝右叶包膜下可见两枚结节灶,大者直径约为1.7 cm,T1加权像(T1-weighted image, T1WI)低信号,脂肪抑制T2加权成像(fat-suppressed T2-weighted imaging,FST2WI)高信号,形态欠规则、边界欠清,信号欠均匀,增强扫描病灶动脉期可见环形强化、片状强化,并呈持续渐进强化,延迟期呈高信号,提示肝右叶下段包膜下富血供结节,考虑肝内局灶性结节增生可能,恶性病变待排。为进一步明确肝内结节性质,于2020-05-18行彩超引导下肝内低回声结节穿刺活检术,病理示(图3):慢性活动性肝炎,肝细胞内胆汁淤积,部分肝小叶破坏消失,纤维组织增生,内见大量浆细胞及嗜酸性粒细胞浸润,形成嗜酸细胞肉芽肿。免疫组化染色:CK8(肝细胞+),CK7(胆管+),CD68(-),Hepatocyte(肝组织+),CD34(血管+),Desmin(血管+,余-),SMA(血管+,余-),EMA(-),ALK(-),CD117(-),DOG-1(-)。特殊染色:过碘酸-雪夫染色(肝组织+,未查见真菌-),铁染色(局灶+),铜染色(部分肝细胞+),六胺银染色(未查见真菌-),W-S(未查见真菌-)。网状纤维嗜银染色:残余肝组织网状纤维支架走向基本正常,部分肝小叶结构完整破坏,网状纤维增生杂乱排列。


注:A~C:治疗前,肝右叶包膜下可见两枚结节灶,大者直径约为1.7 cm,形态欠规则、边界欠清,信号欠均匀,增强扫描病灶动脉期可见环形强化、片状强化,呈持续渐进强化,延迟期呈高信号; D:治疗3个月后复查MRI示肝包膜下结节信号影较前明显缩小


注:肝组织见大量浆细胞及嗜酸性粒细胞浸润,形成嗜酸细胞肉芽肿
患者多次查血象提示外周血嗜酸性粒细胞显著增高,否认家族遗传及类似病史,否认疫区疫水接触史、生食海产品史以及肝炎、结核等传染病史,无寄生虫感染证据,入院查肝肾功能、心肌酶、肿瘤标志物、粪便寄生虫、乙型和丙型肝炎病毒血清学标志物、梅毒螺旋体抗体、人类免疫缺陷病毒抗体、肿瘤标志物、血清电泳蛋白、尿本周蛋白、自身免疫检查、肺部CT平扫、心电图等均未见明显异常,可排除肿瘤、传染病、寄生虫感染、自身免疫性疾病等继发病因,患者无发热、淋巴结肿大、脾大等血液系统疾病表现,考虑血液系统肿瘤可能性小,建议完善骨髓穿刺、分子遗传学检测以明确,患者表示拒绝。结合外周血象、食管及肝脏病理,考虑嗜酸性粒细胞增多综合征(hypereosinophilic syndrome, HES)食管、肝浸润,为排除肠道嗜酸性粒细胞浸润,进一步行肠镜检查提示结肠管状腺瘤。后续予以经验性激素治疗(甲泼尼龙片24 mg每天1次,维持2个月后,每周减4 mg,直到停药),3个月后患者吞咽困难症状缓解,复查外周血嗜酸性粒细胞计数正常,复查MRI示肝脏病灶较前明显缩小(图2),目前患者小剂量激素维持治疗,仍密切随访中。
HES是一类以嗜酸性粒细胞持续增多伴有一个或多个组织器官损害的疾病[1]。其诊断标准[2]:外周血2次检查(间隔时间>1个月)嗜酸性粒细胞绝对计数>1.5×109/L和/或骨髓有核细胞计数嗜酸性粒细胞比例≥20%和/或病理证实组织嗜酸性粒细胞广泛浸润和/或发现嗜酸性粒细胞颗粒蛋白显著沉积(在有或没有较明显的组织嗜酸性粒细胞浸润情况下)。本例患者外周血嗜酸性粒细胞显著增高,合并多器官损害(食管、肝脏),符合HES诊断。
HES可累及全身多个组织器官,以皮肤、肺、心脏、胃肠道、神经系统最为多见,肝、鼻窦、眼受累较为罕见[3,4]。嗜酸性粒细胞肝浸润(eosinophilic liver infiltration, ELI)是一种以嗜酸性粒细胞增殖为特征,浸润局部肝组织所致的肝脏病变,可见于HES、寄生虫感染、过敏反应、恶性肿瘤(包括淋巴瘤、白血病、肺癌、胃癌、胰腺癌、卵巢癌等),组织学表现为慢性活动性肝炎、肝局灶性病变、嗜酸性胆管炎或布加综合征,肝内肿块较为罕见[3]。本病例表现为肝内多发占位。ELI在超声影像中呈低信号,典型的CT表现为多灶性、小的(< 2 cm)、椭圆形或圆形、边缘模糊或清晰、低信号病变,病灶在门脉期最为明显[5]。研究显示,ELI多分布于肝包膜下或门静脉周围[6],特定的影像学位置以及外周血中持续增高的嗜酸性粒细胞在一定程度上有助于诊断。"门静脉穿行征"、"条带征"和"晕环征"可能是ELI的特征性表现[6],但这些表现并非ELI所特有,需与肝细胞癌、转移瘤、胆管细胞癌等相鉴别。MRI相较CT而言具有更好的软组织分辨率,可根据不同时期病灶的强化程度在一定程度上区分病变良恶性。此病例2枚肝结节灶位于肝包膜下,呈现T1WI低信号,T2WI高信号,三期增强扫描"渐进性强化",动脉期"环形强化、片状强化",有别于肝细胞癌和肝转移瘤的"快进快出"[7],和郭保亮等[6]研究一致。与转移瘤不同,ELI形态欠规则、边界欠清,其病变本身在T1WI图像上信号降低程度和在T2WI图像上信号增加程度均较小[8],转移瘤在T2WI上典型的"牛眼征"也有助于鉴别。需要注意的是,胆管细胞癌也可表现"渐进性强化"的特点,但其强化多以延迟期病灶"向心性强化"为主,且可见肝内局限性胆管扩张、局部肝包膜凹陷回缩、肝叶萎缩或肝内胆管结石影等表现,由此可区分。You等[8]研究发现,在含钆对比的肝胆特异性MRI检查中,若未增强T1WI图像上病变的最大直径小于为肝胆期图像上的50%,则对ELI的诊断具有100%的阳性预测意义。这是由于ELI在T1WI图像上,只有坏死部分显示低信号强度,而在肝胆期图像上,坏死和非坏死的嗜酸性浸润部分的信号强度较低,从而导致了病灶在T1WI和肝胆期图像上的大小差异。除此之外,ELI病灶数目、大小与外周嗜酸性细胞计数密切相关,随着嗜酸性粒细胞降至正常,结节呈缩小态势[6],也多提示良性病变,本文病灶治疗前后变化与之一致。尽管ELI有诸多特征性表现,但目前基于影像学区分ELI和恶性肿瘤仍相对困难,尤其是既往有恶性肿瘤病史的患者,对于新发肝内病灶的性质判断上存在较大难度,需要结合病史、实验室检查作出综合判断,如嗜酸性粒细胞增多、IgE升高、接近正常的肝酶和C反应蛋白水平往往提示ELI而非恶性肿瘤[9],若仍存在诊断困难建议及时完善肝穿刺活检。
HES治疗的目标是减轻嗜酸性粒细胞介导的器官损伤。对于轻度HES(如<1.5 × 109/L)且无器官受累症状或体征的患者,采取密切随访。糖皮质激素是HES患者的一线治疗药物,可通过诱导细胞凋亡有效抑制嗜酸性粒细胞增多,并通过诱导促炎细胞因子减少嗜酸性粒细胞的生成[1]。然而,到目前为止尚无关于HES的自然病程和糖皮质激素治疗效果的前瞻性研究,因此循证实践主要基于病例和专家意见。羟基脲和干扰素-α可用于HES的初始治疗或类固醇难治性病例的治疗。重排PDGFRA、PDGFRB阳性的HES患者对伊马替尼的反应尤为灵敏。美泊利珠单抗作为一种白细胞介素5 (IL-5)拮抗剂单克隆抗体,已被批准用于特发性HES患者,而另一种IL-5受体抗体——贝那利珠单抗以及其他靶向疗法(如JAK2和FGFR1抑制剂)的使用目前仍在研究中[1]。
综上所述,肝占位性病变伴嗜酸性粒细胞增多,需考虑HES可能,应尽快完成肝脏活检、骨髓穿刺、影像学检查以确诊,这些患者通常对糖皮质激素治疗反应良好,若患者临床状况严重,诊断性检查可推迟,以支持经验性治疗[10]。对于诊断一时无法明确者,应密切随访。
翁霞霞,张俊超.嗜酸性粒细胞增多综合征伴肝占位性病变1例[J].中华肝脏病杂志, 2024, 32(3):251-254. DOI: 10.3760/cma.j.cn501113-20231121-00213-1.
所有作者均声明不存在利益冲突





















