
周围神经病患者可能会就诊于医院的不同临床科室,其诊断需要依据患者的临床表现建立一套合理的检查流程。首先应依据患者的发病年龄、疾病发展速度、周围神经损害症状在全身的分布,区分为不同的临床亚型。在此基础上,应用神经传导检测和肌电图来确定周围神经病的定位诊断。定性诊断是在定位诊断的基础上选择合理的辅助检查,包括血液学检查、周围神经影像学以及活组织病理检查。对于临床怀疑遗传病的患者,应选择基因检测。最后,在定性诊断的基础上进行治疗评估,指导治疗方案的制订。
版权归中华医学会所有。
未经授权,不得转载、摘编本刊文章,不得使用本刊的版式设计。
除非特别声明,本刊刊出的所有文章不代表中华医学会和本刊编委会的观点。
经全国继续医学教育委员会批准,本刊继续开设继教专栏,2024 年从第1 期开始共刊发10篇继教文章,文后附5道单选题,读者阅读后可扫描右侧标签二维码答题,每篇可免费获得Ⅱ类继教学分0.5分,全年最多可获5分。本年度继教答题得学分活动于10月20日结束。
周围神经病是一组常见的神经系统疾病,在人群中总患病率约为1%~3%,在65岁以上的人群中更为多见。周围神经病的种类繁多,临床上主要根据感觉、运动或自主神经纤维的损害的症状组合进行分类[1]。周围神经的大直径感觉纤维负责调节振动觉和本体觉,损伤后导致本体感觉丧失,因感觉性共济失调出现步态障碍。小直径感觉神经纤维主要负责疼痛和温度觉传导,损伤后常导致疼痛或感觉减退,也可以表现为深部疼痛、活动后易疲劳和神经性瘙痒。运动纤维都是大直径有髓纤维,损害后出现和肌肉萎缩,表现为肢体活动不灵活和步态障碍。自主神经以小神经纤维为主,其损害症状包括直立不耐受、胃瘫、便秘、腹泻、神经性膀胱、性功能障碍、瞳孔运动(视力模糊)症状和皮肤血管运动症状(眼睛、嘴或皮肤干燥,或皮肤灼热和潮红)[2]。出现上述表现提示患者有周围神经病的可能性,需要采取合理的临床方案解决下列3个问题:(1)患有周围神经易损疾病(如糖尿病、危重症、结缔组织病)的患者是否患有周围神经病;(2)出现周围神经病症状的患者是否可以通过会诊确定临床诊断,比如糖尿病或结缔组织病患者出现了周围神经病症状,需要内分泌科或风湿免疫科医师请神经内科医师会诊或反向安排;(3)是否需要进行相关辅助检查(神经传导、神经影像学、基因、病理和免疫检查等)才可以明确诊断并进行对症治疗,整个过程是先定位诊断,而后基于定位诊断进行定性诊断。
要解决周围神经病的上述问题,需要临床医生掌握周围神经解剖和损伤后的临床表现规律,了解常见周围神经病在当地的发病率、周围神经病所需要的辅助检查方法以及附近哪家医院能够进行这些检查。在面对具体患者时,需要通过病史采集和体格检查获得充足的临床信息而提出临床拟诊,推荐患者进行与周围神经病相关的辅助检查(图1),明确疾病的诊断和治疗方案。下面主要从临床表现、辅助检查、诊断原则3个方面来介绍周围神经病的诊断过程,以提高临床医师对该疾病的管理能力。


患者的临床病史能够提供周围神经病的患病部位和大部分病因信息。临床医生应重点关注患者所患疾病的发病年龄、遗传史、诱发因素、疾病进展速度、症状和体征特点以及系统性表现。
儿童期发病多考虑为遗传性疾病,成年期发病多考虑为获得性疾病。但遗传性疾病可以发生在任何年龄,比如家族性类淀粉样变性神经病常在成年期发病,因此,对于每个患者,临床医师都要询问其家族中是否有类似临床表现的成员[1]。常染色体显性遗传在患者家系中一般每代都有发病者,而母系遗传则是通过母亲遗传,不分男女。性染色体连锁遗传一般为男性发病,女性不发病或发病后症状相对男性较轻。常染色体隐性遗传是隔代遗传,多数患者没有阳性家族史。
周围神经病的诱发因素包括可以导致周围神经病的伴随疾病,如糖尿病、血液病、胃部疾病,同时要询问患者相关的中毒和感染因素,特别是药物或有毒物质以及接触传染性疾病的历史。表1和表2概括了不同周围神经病的发病原因[1]。周围神经病的进展速度因病种不同各异,急性(数天)、亚急性(数周)、慢性发病(数月)多考虑为获得性疾病,包括免疫[3]、感染、中毒[4]、代谢[5]、外伤性神经病[6],不能确定具体发病时间的隐匿发病(数年),多为遗传性神经病[7]。缓解复发病程或病情发展过程中出现症状波动,多为免疫性疾病[2, 3],偶尔出现在中毒性神经病[4]或代谢性神经病中[5]。

不同感觉、运动或感觉运动神经病的病因[1]
The etiology of different sensory, motor, or sensorimotor neuropathies[1]
不同感觉、运动或感觉运动神经病的病因[1]
The etiology of different sensory, motor, or sensorimotor neuropathies[1]
| 远端对称多神经病 | 急性、亚急性多神经病 | 运动为主多神经病 | 多发单神经病 |
|---|---|---|---|
| 糖尿病 | 吉兰-巴雷综合征 | CIDP | 血管炎 |
| 酒精 | CIDP | MMN | CIDP |
| 慢性肾病 | 血管炎 | HMSN | MMN |
| 淀粉样变性 | 危重症 | 遗传性运动神经病 | 淀粉样变性 |
| 维生素B12缺乏 | 淋巴增殖性疾病 | 药物中毒 | 淋巴增殖性疾病 |
| 免疫球蛋白血症 | 有机磷中毒 | 铅中毒 | 糖尿病 |
| HIV感染 | 白喉 | 白喉 | 炎症性肠病 |
| 药物性 | 卟啉病 | 卟啉病 | HNPP |
注:HIV:人类免疫缺陷病毒;CIDP:慢性炎性脱髓鞘性多发性神经根神经病;MMN:多灶性运动神经病;HMSN:遗传性运动感觉神经病;HNPP:遗传性压迫易感性神经病

自主神经病或小纤维神经病的病因[1]
The etiology of autonomic neuropathy or small fiber neuropathy[1]
自主神经病或小纤维神经病的病因[1]
The etiology of autonomic neuropathy or small fiber neuropathy[1]
| 自主神经病 | 小纤维神经病 |
|---|---|
| 糖尿病 | 糖尿病 |
| 酒精 | 酒精 |
| 淀粉样变性 | 淀粉样变性 |
| 免疫性自主神经节病 | 冷球蛋白血症 |
| 艾滋病毒感染 | 感染(艾滋病毒感染或丙型肝炎) |
| 维生素B12缺乏 | 钠离子通道病 |
| 干燥综合征 | 干燥综合征 |
| 遗传性自主神经病 | 高甘油三酯血症 |
| 金属中毒 | Celiac病 |
| 药物中毒 | 法布雷病 |
我们可以从2个层面确定周围神经的损害范围。首先应分析每根周围神经的感觉、运动和自主神经是联合还是单独受损;其次是确定周围神经损害在全身的分布规律,是单发还是多发性神经病,后者应注意其分布是否为对称性和长度依赖性[1,7]。临床体检主要是为了验证与患者临床症状相关的体征以及是否伴随其他系统损害表现。对怀疑有遗传性疾病的患者要对其家庭成员进行体格检查。
1.感觉纤维损害:小纤维感觉功能障碍最常导致疼痛、烧灼和寒冷感或麻木,一些患者有感觉过敏、运动后不适和神经性瘙痒的症状[8]。长度依赖性周围神经病的感觉症状或体征从足部开始,到达小腿上端时,手指尖开始受影响,继续加重到肘部才开始出现躯干腹侧的感觉丧失。大纤维感觉功能障碍可导致本体感觉丧失,因感觉性共济失调出现步态障碍。体检可以发现关节位置觉和音叉震动觉减退,Romberg征阳性。体检发现的感觉障碍成条带或片状分布,提示为单神经病、神经根病或神经节病;远端末梢型分布是长度依赖性多发性感觉神经病的特点[4,6,9]。
2.运动纤维损害:主要表现为肌肉无力和萎缩,肢体灵活性下降、步态障碍,肌束震颤、肌痉挛或肌颤搐、痛性痉挛提示周围神经兴奋性增加[10, 11]。足尖和足跟行走无力伴随足和手的肌肉萎缩是长度依赖运动神经病的特点[12];蹲起和上楼费力提示近端神经根被累及。局部肌无力和萎缩提示单神经或神经根病。出现腱反射减低或消失提示周围神经的大运动和感觉纤维损害,而腱反射正常通常出现在小纤维神经病患者中[8]。
3.自主神经损害:周围性自主神经损害可出现皮肤、消化道、心血管以及泌尿生殖方面的表现。皮肤自主神经损害通常始于肢体远端,表现为多汗或少汗、汗毛脱落及皮肤颜色改变,头面部出现瞳孔运动(视力模糊)症状、眼睛和口腔干燥;消化道症状主要表现为胃瘫导致的恶心呕吐,肠麻痹导致的便秘,肠激惹导致的腹泻;心血管症状主要表现为直立不耐受、心率改变,也可以因致命性心律失常而猝死;泌尿生殖方面主要表现为神经源性膀胱导致的尿排空障碍或尿失禁,男性患者出现勃起功能障碍[2,13]。
4.系统性症状:马蹄足和爪形手多提示慢性远端性运动神经病。若患者伴随脑病[14, 15]、视神经病[16]、肾脏病[17]、心脏病[18]、肌肉病[9],提示具有多系统损害的特点,上述表现多见于遗传变性病,也可见于中毒、免疫性神经病。比如肾脏病可以出现在遗传性周围神经病中[17],也可见于免疫性神经病或继发于肾功能衰竭,合并心脏病的成年人要考虑淀粉样变性病[18]。
大多数基层医院没有周围神经病的完整辅助检查能力,在不能通过辅助检查确定病因的情况下,需要转诊到检查技术完善的上级医院,协助进行周围神经病的定位和定性诊断。周围神经病的辅助检查应遵循先无创、廉价和直接定性的原则,首先进行定位诊断检查,而后围绕定位诊断进行定性诊断的相关检查(图2)。


周围神经病应依据患者的发病年龄选择一般性检查,急或亚急性发病的年轻患者一般进行周围神经抗体检查,而年龄较大者应进行血常规、尿常规、血糖、血生化[19]和血清蛋白免疫固定电泳检查,确定是否存在老年人常见的糖尿病神经病、维生素B12缺乏性神经病或异常免疫球蛋白血症神经病。抗核抗体、尿蛋白电泳、冷球蛋白、抗中性粒细胞胞质抗体、IgA抗转谷氨酰胺酶抗体、人类免疫缺陷病毒抗体、莱姆抗体、副肿瘤抗体和重金属含量测定只在高度怀疑为相关疾病的情况下才被考虑。周围神经特异性抗体阳性可出现在各种郎飞结病中[20],但由于阳性率过低,因此只有在临床高度怀疑该病的情况下才有必要进行检查。
电生理检查是周围神经病的首选检查方法,协助进行定位诊断[21]。对于怀疑为遗传性周围神经病的患者,应对其直系家族成员也进行相关电生理检查[22]。神经传导检测主要反映大直径神经纤维的功能,运动神经的轴索损害可以导致肌电图的神经源性损害。小神经纤维的损害一般没有明显异常,需要进行感觉定量、心率变异性和定量发汗轴突反射检查。
自主神经功能测试主要用于自主神经病的定位诊断[2,13],包括交感神经功能评价、心脏迷走神经功能试验或倾斜试验、皮肤排汗功能评价和胃肠道动力评价,判断是否存在交感和副交感神经损害以及相应的损害程度,同时需要确定损害是在自主神经节前还是节后。
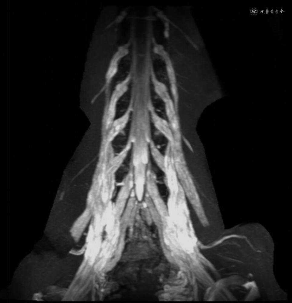
超声检查有助于遗传性和免疫性神经病的鉴别[23],可以在电生理检查正常的患者中发现莰压神经病,慢性炎性脱髓鞘性多发性神经病的周围神经非均匀增粗不同于遗传性运动感觉神经病1型的均匀性增粗,而轴索性神经病患者出现非均匀性神经增粗是血管炎神经病的特征[24]。MRI检查显示神经根出现增粗、水肿或强化见于慢性炎性脱髓鞘性多发性神经病以及郎飞结病(图3),而神经干局部变细是沙漏样狭窄神经病的特点[6]。


基因检查主要用于诊断或鉴别遗传性周围神经病[25],但不能发现所有遗传性周围神经病的基因突变,要提高检测阳性率,首先要通过临床和电理检查确定患者是否有遗传家族史。
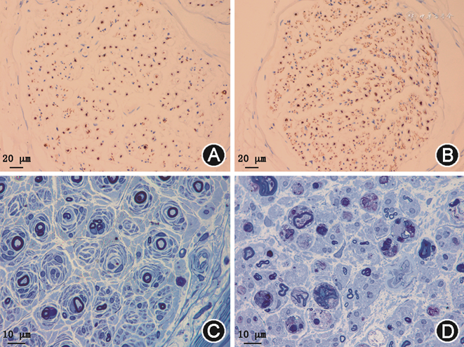
病理检查需要具备丰富活组织检查(活检)经验的临床医师、神经病理专家以及检测设备齐全的病理实验室,大多数医院的病理科并不具备这些条件。皮肤活检可以测量患者的表皮神经纤维密度,是小纤维神经病最可靠的诊断方法[8];腓肠神经活检可以协助区分遗传性和获得性神经病[26],有助于探索疾病的病理生理过程(图4)、提高患者的基因检查阳性率[27],降低老年患者病因不清的比例。病理检查的结果分析仍需要结合患者电生理检查的相关数据。由于取材的限制,仅部分血管炎或类淀粉变性患者能够发现病理结果的阳性改变[18]。


在完成周围神经病必要的辅助检查后,需要遵从简约的原则作出相应诊断。定位和定性诊断以及可治性预判的思考应当贯穿在患者的病史采集、体格检查和辅助检查的整个过程当中。对于难以明确诊断的患者要及时转诊到有经验的周围神经病诊治中心,以免延误诊疗时机。
在周围神经病的诊断过程中,应先明确病变神经在全身的分布以及哪些功能纤维被累及,临床误诊常发生在不考虑定位诊断的情况下即安排不合理的辅助检查。依据患者的感觉、运动和自主神经功能障碍程度,区分不同的神经病[1]。诊断小纤维神经病的前提条件是患者仅出现针刺觉和温度觉改变,周围神经传导检测正常[8];诊断大纤维神经病是患者出现肢体无力、肌肉萎缩、腱反射消失或振动觉和本体觉减退或消失,周围神经传导检测异常。感觉神经病或感觉自主神经病的诊断需要依据患者的肢体力量基本正常;单纯自主神经病患者没有感觉和运动神经损害的临床症状和体征[2,13];运动神经病患者基本没有感觉症状和体征[12];运动感觉神经病患者存在运动和感觉神经损害的临床症状和体征。
定性诊断首先应区分患者为获得性还是遗传性,而后依据其临床表现的症状组合确定是哪种临床类型,依据临床类型确定疾病的病因,即定位诊断。每位患者的任何一项临床表现和合理的辅助检查结果都会存在必然的逻辑关系,要把握其症状、体征以及针对性辅助检查结果在诊断中的权重。对病因不清患者的家属进行体检和电生理检查可以显著提高遗传性神经病的诊断率[1]。在诊断中不需要重复已做过的辅助检查,重复检查进而明确病因的可能性微乎其微。同时要注意患者的伴随疾病以及心理障碍的诊断,这些因素都提高了周围神经病的诊治难度,更符合疾病诊断相关分组收费标准。
周围神经病是各临床科室最难诊断的疾病之一,需要依据患者的临床表现建立一套合理的检查流程,以周围神经病变的症状和体征及电生理改变为基础,在完善精准的实验室检测后,多数患者的原因都可以确定。在不能确定疾病性质的情况下,要将患者转诊到有能力进行周围神经病诊断的上级医院,进而完善所需要的辅助检查而明确诊断、制订最佳治疗方案,患者返回下级医院再行治疗和随访是一种比较理想的管理办法。
袁云, 李圳钰. 周围神经病的诊断策略[J]. 中华神经科杂志, 2024, 57(4): 387-392. DOI: 10.3760/cma.j.cn113694-20231222-00039.
所有作者声明无利益冲突
None declared
1. 腱反射消失提示病变损害部位在?
A. 肌腱
B. 肌纤维
C. 神经肌肉接头
D. 周围神经大纤维
E. 脊髓的后索
2. 神经超声检查提示周围神经非均匀增粗,可以出现在?
A. 小纤维神经病
B. 远端遗传性运动神经病
C. 遗传性运动感觉神经病1型
D. 遗传性运动感觉神经病2型
E. 慢性炎性脱髓鞘性多发性神经根神经病
3. 小纤维神经病最可靠的诊断方法是?
A. 血清S100蛋白
B. 皮肤活组织检查(活检)
C. 角膜共聚焦检查
D. 皮肤交感反应
E. 神经传导速度
4. 周围神经病患者初次就诊后首先选择的检查是?
A. 神经超声
B. 神经传导
C. 神经活检
D. 基因检查
E. 血液检查
5. 能够提高遗传性神经病诊断效率的方法是对家属进行?
A. 病史询问
B. 神经传导
C. 超声检查
D. 病理检查
E. 血液检查





















