
肺高压危象是肺动脉高压的严重并发症之一,救治难度大,死亡风险高。以基础疾病控制、右心衰竭综合管理、充分肺高压靶向药物治疗、体外生命支持等为基础的多学科团队协作是肺高压危象救治成功的重要保证,可显著降低患者死亡风险。该文报道多学科团队联合成功救治肺高压危象产妇1例,以期为肺高压危象患者的救治提供经验和参考。
版权归中华医学会所有。
未经授权,不得转载、摘编本刊文章,不得使用本刊的版式设计。
除非特别声明,本刊刊出的所有文章不代表中华医学会和本刊编委会的观点。
患者,女,28岁。因“妊娠30周零6日,活动时气短伴夜间平卧困难5日”于2023年3月18日来我院就诊。2022年11月30日患者因妊娠15周合并系统性红斑狼疮曾来我院产科就诊,产科超声提示胎儿无明显异常,由于系统性红斑狼疮未得到规范治疗建议终止妊娠,患者及家属拒绝,后未规律产检。2023年3月13日(妊娠30周零1日)时出现活动时气短,休息后可减轻,但不能完全缓解,气短进行性加重,3月17日时出现夜间平卧困难,伴心悸、背痛,遂于2023年3月18日就诊于我院急诊。既往确诊系统性红斑狼疮14年,累及皮肤和肾脏;2021年首次妊娠16周时发现高血压,产后血压恢复正常;否认糖尿病、冠心病等慢性病病史。入院体格检查:一般情况尚可,体温36.8 ℃,脉搏102次/min,呼吸20次/min,血压110/92 mmHg(1 mmHg=0.133 kPa),脉搏氧饱和度98%,颈静脉无怒张,四肢无水肿,双肺呼吸音清,未闻及干湿啰音,心率102次/min,律齐,P2>A2,未闻及明显杂音,腹部膨隆,可触及胎体,可闻及胎心。急诊入室立即行实验室检验:D-二聚体 1.16 g/L(0~0.55 g/L),高敏肌钙蛋白I 33 ng/L(≤34 ng/L),N末端B型利钠肽原(N-terminal pro-B-type natriuretic peptide,NT-proBNP)9 630 ng/L(0~125 ng/L);血气分析:pH 7.43(7.35~7.45),二氧化碳分压11 mmHg(35~45 mmHg),氧分压113 mmHg(83~108 mmHg),血氧饱和度98%(95%~99%),碳酸氢根浓度8.8 mmol/L(22.0~27.0 mmol/L),乳酸8.3 mmol/L(0.5~1.6 mmol/L);电解质正常;补体C3 0.474 g/L(0.730~1.460 g/L),补体C4 0.105 g/L(0.100~0.400 g/L),抗双链DNA抗体5.60 U/ml(阴性:<24.00 U/ml)。心电图提示:窦性心动过速,电轴右偏,V1导联R/s>1(图1)。床旁超声心动图提示:右心室前后径35 mm,左心室舒张末期内径32 mm,左心室射血分数66%,右心增大,右心室室壁活动降低,估测肺动脉收缩压76 mmHg,重度肺动脉高压。CT肺动脉造影提示:未见明显肺动脉栓塞征象,右心明显增大,左心受压,肺动脉高压、右心压力增高可能大(图2)。产科超声提示:单胎,胎头位于脐上,可见胎心搏动。




收入抢救室后即开展第1次多学科团队(multi-disciplinary team,MDT)协作诊疗,结合病史、实验室检验结果、心电图及超声心动图表现,诊断为:妊娠状态(孕2产1,宫内妊娠30周零6日,单活胎,左骶前,未临产),系统性红斑狼疮,狼疮肾炎,肺动脉高压,心功能Ⅳ级(世界卫生组织功能分级),高乳酸血症。开始给予曲前列尼尔1.25 ng·kg-1·min-1皮下泵入控制肺动脉高压,地塞米松促进胎肺成熟,维持水电解质平衡,充分告知孕妇猝死风险及胎儿相关风险。因胎儿宫内窘迫于3月19日9:00紧急行硬膜外麻醉下剖宫产,并进行股动静脉穿刺置管备用和静脉-动脉体外膜肺氧合(venousarterial extracorporeal membrane oxygenation,V-A ECMO)管路预充。9:52取出胎儿,9:55产妇突然意识丧失,血压下降至35/21 mmHg,心率80次/min,考虑并发肺高压危象,立即有创压力监测下行胸外心脏按压,紧急转为全身麻醉,气管插管并呼吸机辅助通气,去甲肾上腺素持续静脉泵入(0.05 μg·kg-1·min-1)。10:22 ECMO转机,转速3 000转/min,流量3.0 L/min,患者平均动脉压维持在70~80 mmHg。急查超敏肌钙蛋白I升至360 ng/L,血乳酸8.1 mmol/L,转入重症监护室(ICU)进一步治疗。
转入ICU后立即组织院内和院外多学科联合诊疗,邀请产科、心内科、心外科、风湿免疫科高年资医生参加,经讨论一致同意患者剖宫产术中并发肺高压危象,目前救治措施得当,患者生命体征逐步平稳,但病情仍危重,在专家组联合指导下调整治疗方案,重症医学科统一协调并具体管理患者,心内科负责指导V-A ECMO和肺动脉高压靶向治疗药物的应用,风湿免疫科负责调整免疫抑制治疗方案、控制系统性红斑狼疮病情,产科负责产褥期出血和感染的预防,具体治疗过程如下。(1)血管活性药物:继续使用血管加压药物使平均动脉压维持在60~80 mmHg,心率维持在90~110次/min。(2)V-A ECMO:转速3 000~3 255转/min,流量3.0~3.5 L/min。(3)肺动脉高压靶向药物:持续静脉泵入曲前列尼尔,起始剂量为5 ng·kg-1·min-1,在此基础上每日上调剂量2次,每次增加2.5 ng·kg-1·min-1,最终达到维持剂量17.5 ng·kg-1·min-1;持续皮下泵入曲前列尼尔,加大剂量为5 ng·kg-1·min-1,在此基础上每日上调剂量2次,每次增加2.5 ng·kg-1·min-1,最终达到维持剂量22.5 ng·kg-1·min-1,曲前列尼尔目标总剂量为40 ng·kg-1·min-1(图3);西地那非(25 mg,3次/d)和安立生坦(10 mg,1次/d)通过胃管给药,期间间断使用伊洛前列素和一氧化氮吸入治疗。(4)系统性红斑狼疮治疗:患者3月3日查24 h尿蛋白阳性、尿总蛋白/肌酐比值升高,入院时补体C3降低,考虑系统性红斑狼疮病情活动,现剖宫产后并发肺高压危象,病情控制不佳,予激素冲击和环磷酰胺治疗,在持续静脉滴注甲泼尼龙琥珀酸钠(40 mg,1次/d)的基础上,剖宫产术后连续静脉滴注甲泼尼龙琥珀酸钠(1 g,1次/d)3日冲击,并同时静脉输注免疫球蛋白(10 g,1次/d)7日,激素冲击治疗结束后开始静脉滴注磷酰胺(0.2 g,隔日1次)强化免疫治疗,累计剂量达1.2 g后患者的白细胞计数下降至2.44×108/L,遂暂时停用环磷酰胺,后患者一度出现谵妄和幻视等精神症状,脑脊液蛋白1.19 g/L,考虑为神经精神狼疮,恢复静脉滴注环磷酰胺(0.2 g,隔日1次)强化免疫抑制治疗,环磷酰胺累计剂量达1.8 g后转为口服环磷酰胺(100 mg,隔日1次),并如前次方案再行静脉滴注甲泼尼龙琥珀酸钠冲击联合输注免疫球蛋白治疗。(5)强心利尿:先后使用呋塞米、重组人脑利钠肽、左西孟旦等药物加强利尿和增强心肌收缩力,配合V-A ECMO和肺动脉高压靶向治疗药物等措施,患者中心静脉压由9~10 mmHg降低至0~1 mmHg。


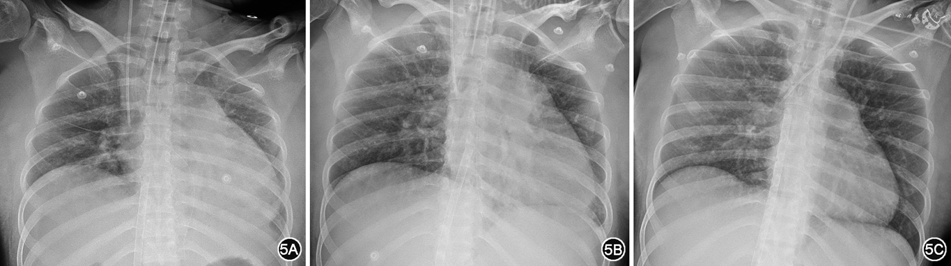
经上述积极治疗后患者病情逐渐好转,神志清晰,生命体征稳定,高敏肌钙蛋白I及NT-proBNP逐渐回落至正常(图4),床旁胸片提示心脏逐渐缩小(图5),超声心动图提示右心室逐渐缩小,左心室舒张末期内径逐渐增大,估测肺动脉收缩压明显下降(表1),补体C3恢复正常(表2),脑脊液蛋白降至0.77 g/L,于4月7日拔除气管插管,于4月19日撤离ECMO,4月22日停用所有血管活性药物,患者循环稳定,系统性红斑狼疮病情缓解,一般情况可,5月16日带药出院。病例报告内容已获患者知情同意。


NT-proBNP:N末端B型利钠肽原



患者住院期间床旁超声心动图测量的右心大小和肺动脉压力变化
患者住院期间床旁超声心动图测量的右心大小和肺动脉压力变化
| 项目 | 2023/3/18 | 2023/3/20 | 2023/3/23 | 2023/4/4 | 2023/4/13 | 2023/4/23 |
|---|---|---|---|---|---|---|
| 右心室前后径(mm) | 35 | 32 | 38 | 32 | 24 | 28 |
| LVEDD(mm) | 32 | 36 | 31 | 37 | 39 | 41 |
| 肺动脉压(mmHg) | 76 | 77 | 82 | 71 | 49 | 42 |
注:LVEDD为左心室舒张末期内径;1 mmHg=0.133 kPa

患者住院期间补体C3、C4和抗双链DNA抗体浓度变化
患者住院期间补体C3、C4和抗双链DNA抗体浓度变化
| 项目 | 2023/3/3 | 2023/3/20 | 2023/3/22 | 2023/3/28 | 2023/4/6 | 2023/4/24 |
|---|---|---|---|---|---|---|
| 补体C3(g/L) | 1.043 | 0.474 | 0.639 | 0.999 | 1.066 | 0.762 |
| 补体C4(g/L) | 0.171 | 0.105 | 0.162 | 0.334 | 0.330 | 0.333 |
| 抗双链DNA(U/ml) | 23.40 | 5.60 | 6.27 | 5.35 | - | - |
注:-表示未测
肺高压危象是在肺动脉高压的基础上,由劳累、缺氧、肺栓塞和感染等因素诱发肺血管痉挛,肺动脉压力和肺血管阻力急剧、持续升高,导致急性右心功能衰竭及心输出量下降的病理生理综合征,属于临床危急重症,若抢救不及时,往往引发患者死亡[1]。肺动脉高压是系统性红斑狼疮的少见并发症,发生率不到4%,国内外指南均建议系统性红斑狼疮合并肺动脉高压时应严格避孕,因而相关研究报道较少,据病例系列研究报道结缔组织疾病相关肺动脉高压产妇死亡率高达30%~50%[2, 3]。妊娠期新发肺动脉高压孕妇因治疗不充分或未经治疗易发生肺高压危象,死亡风险高,救治难度大。肺动脉高压孕产妇死亡主要发生于围产期,此期间血流动力学状态变化明显,右心负荷可迅速增加。正常孕产妇肺血管床可在孕晚期开放以适应围产期血流动力学状态的改变,而肺动脉高压孕产妇因肺小血管病变而调节障碍可导致急性右心衰竭和肺高压危象[4]。北京安贞医院一项纳入249例肺高血压孕产妇的观察性研究显示,快速进展的症状、B型利钠肽≥300 ng/L、心功能Ⅲ/Ⅳ级、妊娠前诊断肺高血压、28周以后分娩和肺动脉收缩压>80 mmHg是发生心脏并发症的独立危险因素[5]。日本一项回顾性研究也证实产前或孕早期重度肺动脉高压(超声估测肺动脉收缩压>50 mmHg或右心导管测得肺动脉平均压>40 mmHg)是妊娠不良结局的重要预测指标[6]。荟萃分析结果也进一步证实这一结论,中重度肺高血压孕妇的死亡率和心脏并发症发生率远高于轻度肺高血压孕妇[7]。此外,全麻也与肺动脉高压产妇死亡率增加相关[8]。本例患者娩出胎儿2 min后突然意识丧失,血压骤降至35/21 mmHg,系下腔静脉压迫解除,回心血量突然增加,诱发肺小动脉痉挛,发生肺高压危象,左心排血量降低导致低血压休克。
肺高压危象的治疗原则为氧疗、液体管理、减轻右心室后负荷、增强心肌收缩力和及时启动机械循环支持等。合理使用利尿药使中心静脉压维持在8~12 mmHg以控制右心室前负荷,必要时可留置中心静脉导管监测血流动力学状态。多巴胺、多巴酚丁胺、米力农等强心药物可增强心室收缩力,对于持续低血压患者可加用去甲肾上腺素和低剂量血管加压素使平均动脉压>60 mmHg。吸入一氧化氮可快速且强效扩张肺血管以减轻右心室后负荷,是治疗肺高压危象的首选扩张肺血管药物[9]。对于低心输出量的新发肺动脉高压患者,国际指南推荐静脉前列腺素类似物、口服5型磷酸二酯酶抑制剂和内皮素受体拮抗剂的三联靶向治疗[10]。静脉/皮下前列腺素类似物扩张肺血管作用强且起效快,在肺动脉高压合并右心衰竭的危重患者治疗中起到重要作用,曲前列尼尔是唯一在我国上市的此类药物。北京安贞医院一项小型回顾性研究探索了快速静脉滴定曲前列尼尔治疗产后重症肺动脉高压的可行性,起始剂量为1.25 ng·kg-1·min-1,每3小时递增1.25~2.5 ng·kg-1·min-1,中位最大剂量为15 ng·kg-1·min-1,最终15例成功出院,2例因肺高压危象死亡[11]。V-A ECMO是肺动脉高压合并右心衰竭使用最广泛的机械循环支持装置,可同时增加全身器官灌注和增加血液氧合,部分代替心肺功能,可作为危重症肺动脉高压患者肺移植前的桥接治疗或减轻右心室负担以度过危险期[12]。肺动脉高压患者合并右心衰竭在以下情况时可考虑使用V-A ECMO治疗:(1)经最优化靶向药物治疗仍无效,拟进行肺移植患者;(2)右心衰竭有希望逆转患者;(3)新发或治疗尚未达标患者。上述患者经ECMO有望抢救成功,因而有必要积极行ECMO治疗[13]。
MDT联合诊疗可降低肺动脉高压孕产妇紧急生产、急性心力衰竭和死亡的风险,怀疑肺动脉高压的孕产妇应转诊至有经验的综合医院产检和生产。MDT应由负责高危孕产妇管理的产科、肺高血压专科、心外科、新生儿科和麻醉科医生组成,在妊娠早期、中期和晚期进行3次以上产前评估,筛查遗传疾病,确定能否继续妊娠、肺动脉高压危险分层、是否需要升级靶向治疗、可能的生产并发症以及生产方式等;在计划生产入院时、生产当日和术后1日进行产时评估,决定最终生产方式和麻醉方法,备用V-A ECMO和新生儿抢救等;出院时进行产后评估,调整肺动脉高压靶向药物,控制基础疾病并指导产后康复和复查计划等[4]。
本例患者为妊娠期新发肺动脉高压,既往有系统性红斑狼疮病史14年,妊娠晚期发现肺动脉压力明显升高且合并右心衰竭,心功能Ⅳ级,系统性红斑狼疮亦处于疾病活动期,无充分药物治疗的时间窗,给后续救治带来很大风险。入院后尽管迅速启动曲前列尼尔治疗,但起始剂量太小,且未滴定上调,因而未能预防剖宫产中发生肺高压危象,发生危象后立即启动机械支持和药物治疗,作为桥接治疗为右心功能恢复提供了时间。此后,ICU联合心内科、风湿免疫科、麻醉科等组成MDT,组织多次院内和院外会诊,共同指导肺高压危象、系统性红斑狼疮和急性右心衰竭的治疗,积极应用大剂量激素冲击治疗和静脉滴注环磷酰胺控制系统性红斑狼疮病情基础上,快速滴定曲前列尼尔扩张肺血管,减轻右心负荷,患者右心功能逐渐恢复,肺动脉压力逐渐下降,预期治疗目标是实现系统性红斑狼疮病情缓解和肺动脉高压临床达标(危险分层达到或维持低危状态)的双重达标[14]。经有效治疗后,患者肺高压危象解除,病情稳定,准予带药出院,并对患者规律随访,尽快实现双重达标。
总之,肺动脉高压孕产妇发生不良事件的风险极高,建议所有患者在22周前终止妊娠,特别是重度肺动脉高压患者无论任何时期都应当立即进行终止妊娠的评估,对于轻中度肺动脉高压且继续妊娠者则需由MDT联合评估和指导治疗以预防不良结局的出现[15]。良好的产前评估和病情控制是实现母婴安全的重要保障。
邱露虹, 李源, 裴丽坚, 等. 多学科联合治疗成功抢救肺高压危象产妇1例[J]. 中华心血管病杂志, 2024, 52(4): 420-424. DOI: 10.3760/cma.j.cn112148-20231130-00472.
所有作者声明无利益冲突





















