
分析非人类免疫缺陷病毒(HIV)感染儿童肺孢子菌肺炎(PCP)的临床特点,提高临床医生对该病的认识。
回顾性分析江西省儿童医院PICU 收治的9例非HIV感染PCP患儿的临床资料。
(1)共纳入9例患儿,男4例,女5例,年龄中位数5.83(0.33,10.08)岁。8例患儿存在基础疾病,包括原发免疫缺陷、系统性红斑狼疮、血液肿瘤、卡波西血管内皮瘤、侵袭性纤维瘤;(2)9例患儿均以发热和咳嗽为首发症状,多数患儿肺部无阳性体征。平均(5.44±4.44)d出现呼吸急促,其中7例予有创呼吸机支持(PaO2均<60 mmHg,氧合指数均≤200);(3)9例PCP患儿肺部CT可见4种类型(磨玻璃型、斑片型、间质型、囊变型),不同类型的病变常同时存在;(4)G试验及乳酸脱氢酶值均升高,多数患儿伴不同程度CD4+ T细胞下降(5例CD4+ T细胞≤200/μL);(5)8例患儿为痰/支气管肺泡灌洗液行宏基因组二代测序(mNGS)发现肺孢子菌;(6)8例好转出院,1例死亡。7例患儿棘白菌素联合复方磺胺甲噁唑(SMZ-TMP)治疗,其中6例伴低氧血症需有创呼吸机支持,同时予激素治疗。
对于糖皮质激素及免疫抑制剂、肿瘤化疗的患儿,定期检查CD4+ T细胞水平,发现PCP高危者,酌情应用SMZ-TMP预防治疗。当出现发热咳嗽,且病情进展快,呼吸困难进行性加重,但肺部阳性体征较少者,进行G试验、肺部CT、mNGS检测有助于早期识别PCP。对伴有低氧血症需有创呼吸机支持的重症患儿,棘白菌素联合SMZ-TMP,同时予以激素治疗,可降低病死率。
版权归中华医学会所有。
未经授权,不得转载、摘编本刊文章,不得使用本刊的版式设计。
除非特别声明,本刊刊出的所有文章不代表中华医学会和本刊编委会的观点。
肺孢子菌肺炎(pneumocystis jiroveci pneumonia,PCP),过去称之为卡氏肺包子虫肺炎,主要发生于免疫功能抑制患者的机会性感染。临床有两类人群易感,一类是人类免疫缺陷病毒(human immunodeficiency virus,HIV)感染人群;另一类是血液肿瘤、器官移植、自身免疫性疾病以及其他使用免疫抑制剂治疗的非HIV感染的免疫缺陷患者[1, 2]。相关研究显示,非HIV感染患者中PCP的病死率在30%~60%[3]。故临床医生应提高对PCP诊断及治疗的认识。现对我院儿童重症监护病房2021至2022年收治的9例非HIV感染PCP患儿的临床特点进行分析,帮助对该疾病的早期识别和治疗。
我院儿童重症监护病房2021至2022年收治的9例非HIV感染的PCP患儿。
所有患儿均通过病原学检查确诊。2例患儿行纤维支气管镜检查,并留取支气管肺泡灌洗液(bronchoalveolar lavage fluid,BALF)送检,其中1例BALF真菌培养(六胺银染色)和宏基因组二代测序(metagenomic next-generation sequencing,mNGS)均发现肺孢子菌,另1例仅mNGS发现肺孢子菌。其余7例患儿均吸取气道深部痰行mNGS发现肺孢子菌。
采用SPSS 22.0统计学软件进行分析,符合正态分布的计量资料以均数±标准差(Mean±SD)表示,不符合正态分布的以中位数(四分位数)[M(P25,P75)]表示。
共纳入9例患儿,男4例,女5例,年龄中位数5.83(0.33,10.08)岁。8例患儿存在基础疾病,包括原发免疫缺陷、系统性红斑狼疮、血液肿瘤、卡波西血管内皮瘤、侵袭性纤维瘤,一般情况见表1。

9例非HIV感染肺孢子菌肺炎患儿的一般情况
9例非HIV感染肺孢子菌肺炎患儿的一般情况
| 例号 | 性别 | 年龄 | 基础 疾病 | 免疫抑制剂使用情况 | 临床 表现 | 肺部 体征 | 是否有创呼吸机支持 | 混合 感染 | 起病到SMZ-TMP治疗时间(d) | 联合 卡泊 芬净 | 联合 激素 | 合并 休克 | 预后 |
|---|---|---|---|---|---|---|---|---|---|---|---|---|---|
| 例1 | 男 | 11岁 | 诊断系统性红斑狼疮7个月 | 口服泼尼松龙、羟氯喹、他克莫司 | 发热咳嗽5 d,加重伴气促1 d。 | 未闻及干湿啰音 | 否 | 否 | 11 | 否 | 否 | 否 | 好转 |
| 例2 | 女 | 9岁 2个月 | 诊断侵袭性纤维瘤3个月 | 长春瑞滨、甲氨蝶呤、双环醇化疗 | 咳嗽1周,加重伴气促3 d。 | 未闻及干湿啰音 | 是 | 否 | 8(经验 治疗) | 是 | 是 | 否 | 好转 |
| 例3 | 男 | 3个月 12 d | 诊断卡波西血管内皮瘤2个月 | 口服泼尼松龙、他克莫司 | 咳嗽4 d,加重伴气促发绀1 d。 | 闻及痰鸣音 | 是 | 否 | 7 | 是 | 是 | 否 | 好转 |
| 例4 | 男 | 5个月 | 初诊为原发免疫缺陷(裸淋巴细胞综合征Ⅱ型) | 无 | 咳嗽气喘20 d,加重伴气促4 d。 | 闻及痰鸣音、喘鸣音 | 是 | 合并呼吸道合胞病毒感染 | 25 | 是 | 是 | 否 | 好转 |
| 例5 | 女 | 8岁 9个月 | 诊断急性淋巴细胞白血病 1个月 | VDLP 化疗 | 再次化疗入院,住院期间出现骨髓抑制,后出现发热咳嗽,症状出现3 d后出现神志淡漠,反应差,呼吸急促,低血压休克。 | 未闻及干湿啰音 | 是 | 合并呼吸道合胞病毒感染、大肠埃希菌 | 6(经验 治疗) | 是 | 是 | 是 | 好转 |
| 例6 | 女 | 5岁 10个月 | 诊断急性淋巴细胞白血病 6个月 | VDLP 化疗 | 再次化疗入院,出现骨髓抑制,后出现发热咳嗽,症状出现3 d后出现呼吸困难伴低血压休克。 | 未闻及干湿 啰音 | 是 | 否 | 3(经验 治疗) | 是 | 是 | 是 | 好转 |
| 例7 | 男 | 3岁 11个月 | 诊断霍奇金淋 巴瘤3个月 | A方案 化疗 | 再次化疗入院,后出现发热咳嗽,症状出现9 d后出现呼吸困难转入PICU。 | 未闻及干湿 啰音 | 是 | 否 | 9(经验 治疗) | 是 | 是 | 否 | 外院死亡 |
| 例8 | 女 | 11岁 2个月 | 诊断急性淋巴 细胞白血病 1个月 | VDLP 化疗 | 再次化疗入院,出现骨髓抑制,后出现发热咳嗽,症状出现2 d后出现呼吸急促。 | 未闻及干湿 啰音 | 否 | 否 | 3(经验 治疗) | 是 | 否 | 否 | 好转 |
| 例9 | 女 | 2个月 | 无 | 无 | 发热咳嗽1周,加重伴气促气喘4 d。 | 双肺可闻及喘鸣音、湿啰音 | 是 | 合并呼吸道合胞病毒、巨细胞病毒 | 20 | 否 | 否 | 否 | 好转 |
注:HIV:人类免疫缺陷病毒;VDLP:长春新碱+柔红霉素+左旋门冬酰胺酶+强的松;SMZ-TMP:复方磺胺甲
唑。
9例患儿首发症状均为发热伴咳嗽,3例为干咳,6例为有痰咳;2例伴气喘。6例患儿肺部无阳性体征,3例肺部可闻及痰鸣音/湿啰音/喘鸣音。均出现呼吸急促,其中7例因严重肺部感染、低氧血症,予有创呼吸机支持。2例出现脓毒性休克。
根据《儿童社区获得性肺炎诊疗规范》(2019年版),当患儿合并严重通换气功能障碍或肺内外并发症时,即为重症。因此本研究中7例有创呼吸机支持患儿为重症患儿。
混合感染4例,1例合并巨细胞病毒感染,1例合并呼吸道合胞病毒和巨细胞病毒感染,1例合并呼吸道合胞病毒感染,1例合并呼吸道合胞病毒感染、大肠埃希菌感染。
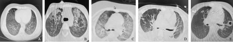
肺部CT可见4种类型(磨玻璃型、斑片型、间质型、囊变型),不同类型的病变常同时存在,见表2及图1。9例患儿均无肺门及纵隔淋巴结肿大。1例合并胸腔积液。1例死亡病例(例7)治疗过程中出现气胸、皮下气肿。

9例非人类免疫缺陷病毒感染肺孢子菌肺炎患儿的肺部CT结果
9例非人类免疫缺陷病毒感染肺孢子菌肺炎患儿的肺部CT结果
| 例号 | 肺部CT结果 |
|---|---|
| 例1 | 两肺支气管血管束呈网格样,两肺内广泛斑片状影(肺间质改变、肺泡性水肿)(图1A) |
| 例2 | 两肺上叶及邻近下肺可见网格样致密影,呈铺路石样改变,小叶间隔增厚(肺间质改变)(图1B) |
| 例3 | 两肺支气管血管束增多、增粗,透亮度减低,两肺内可见广泛散在斑片状、条索状及磨玻璃影(图1C) |
| 例4 | 两肺支气管血管束粗乱,两肺内可见多发点片状影及磨玻璃影,部分结节性病灶,呈晕征样改变 |
| 例5 | 两肺纹理粗乱,可见条片状淡薄及致密影,双侧胸腔积液(图1D) |
| 例6 | 肺透亮度减低,两肺内可见广泛散在斑片状影及磨玻璃影 |
| 例7 | 两肺支气管束血管束增多增粗,两肺内可见点片状高密度影 |
| 例8 | 两肺支气管血管束增多增粗,左肺内可见数个囊性厚壁透亮影,其旁可见片状高密度影(图1E) |
| 例9 | 两肺支气管血管束粗乱,两肺内可见多发大片模糊影 |


A:肺间质改变,肺泡性水肿;B:铺路石样改变,小叶间隔增厚;C:磨玻璃样改变;D:条片状淡薄及致密影,合并胸腔积液;E:囊变性。
白细胞中位数6.99(2.05,13.76)×109/L,4例白细胞升高,2例白细胞正常,3例因化疗后出现骨髓抑制,白细胞减低;中性粒细胞中位数4.41(0.47,8.92)×109/L,4例白细胞升高同时伴3例中性粒细胞升高,另1例中性粒细胞正常,3例骨髓抑制患儿同时伴有中性粒细胞减低,2例白细胞正常同时中性粒细胞正常。C-反应蛋白中位数12.2(2.75,49.95)mg/L,5例C-反应蛋白不同程度升高;降钙素原中位数0.31(0.13,4.43)ng/mL;G试验值升高,中位数254.2(104.35,526.25)pg/mL;乳酸脱氢酶(lactic dehydrogendse,LDH)均升高,平均(513±306.63)μmol/L。外周血辅助性CD4+ T细胞平均(257.53±160.44)/μL,其中5例CD4+ T细胞≤200/μL。CD8+ T细胞中位数717.38(285.79,840.28) /μL。
平均PaO2(68.23±34.92)mmHg(1 mmHg=0.133 kPa),7例有创呼吸机支持患儿PaO2均<60 mmHg,平均氧合指数(160.80±54.76)mmHg,氧合指数均≤200 mmHg,其中死亡病例氧合指数<60 mmHg。2例患儿低流量给氧下PaO2/SpO2分别为155.79 mmHg、113.04 mmHg。
5例患儿肺部CT结果考虑真菌感染,同时存在基础疾病,有肿瘤化疗史,在病原学结果未明确前,即开始复方磺胺甲噁唑(SMZ-TMP)经验治疗,其余病例待病原学检查明确后开始服用SMZ-TMP,剂量100 mg/(kg·d),分3~4次口服,疗程3周。7例患儿棘白菌素联合SMZ-TMP治疗,其中6例伴低氧血症需有创呼吸机支持,同时予以激素治疗。卡泊芬净静滴,第1天70 mg/(m2·d),次日开始50 mg/(m2·d),同时加用激素,甲强龙1~2 mg/(kg·d)静滴,分1~2次(氧合改善,撤机后停用)。
8例患儿均好转出院,1例因肺部感染控制不佳,PCO2持续升高,氧合指数<60 mmHg,转外院行体外膜肺氧合治疗,最终死亡。
肺孢子菌可寄生于正常人的肺泡内,正常人体可通过细胞免疫将其清除,只有在免疫功能低下时发病,如获得性免疫缺陷综合征(acquired immune deficiency syndrome,AIDS)及长期应用免疫抑制剂的患者。随着器官移植的开展,糖皮质激素及免疫移抑制剂的使用、肿瘤放化疗等,目前非AIDS免疫抑制患者发生PCP逐渐增多。本研究7例为长期使用免疫抑制剂、激素或肿瘤化疗患儿。Rekhtman等[4]报道指出,当联合使用糖皮质激素和免疫抑制药物时,在非AIDS免疫力低下的宿主中PCP的总体发生率要高得多。疾病本身并不意味患PCP的风险增加,糖皮质激素及免疫抑制剂应用使患者免疫功能抑制可能是导致PCP的主要原因。因此,PCP发生与免疫抑制程度有关,尤其与T细胞免疫功能低下关系密切。本研究9例患儿进行了细胞因子抗原检测,均有不同程度CD4+ T细胞比例下降,其中半数以上患儿(5/9)CD4+ T细胞≤200/μL。目前国外学者认为,当AIDS患者CD4+ T细胞≤200/μL时,发生PCP危险甚大,CD4+ T细胞≤200/μL时,预防性应用SMZ-TMP已成为共识,而非AIDS患者,包括单独或联合使用糖皮质激素或细胞毒药物的高危人群CD4+ T细胞≤300/μL应注意PCP的预防[5, 6]。因此,对必须应用糖皮质激素或联合应用免疫抑制剂的高危患儿定期进行T细胞亚群检测可能有助于发现高危患者。
本研究1例患儿(病例4)PCP治疗时发现免疫球蛋白IgG及T细胞降低,进一步基因检测提示原发免疫缺陷(裸淋巴细胞综合征Ⅱ型)。另有1例患儿(病例9)既往无相关疾病及用药史,但该患儿同时合并巨细胞病毒、呼吸道合胞病毒感染,关于PCP和巨细胞病毒感染的关系,有文献报道,活化的巨细胞病毒可促进肺孢子菌生长,可能是巨细胞病毒直接刺激肺孢子菌增殖,也可能是作为一种抑制细胞免疫的协同因素参与。因此,对于无基础疾病而发生PCP的患儿应考虑是否存在先天性免疫缺陷病或其他因素导致免疫功能低下的可能[7]。
发热、干咳和渐进性呼吸困难是成人PCP患者的典型临床症状,即使肺内出现大片炎症改变但体征很少[8]。本研究患儿均以发热和咳嗽为首发症状,多数患儿(6/9)咳嗽时伴咳痰,3例较小婴儿(年龄分别为2个月、3个月、5个月)肺部有阳性体征,可能是年幼儿无法咳出痰,不利于痰液的排出而不能很好地保持呼吸道通畅,造成肺部可闻及痰鸣音/湿啰音/喘鸣音,但6例年长儿与成人表现类似,虽临床症状重,但肺部无阳性体征。因此,PCP患儿的症状是无特异性的。
本研究患儿从症状出现到症状加重,表现为呼吸急促的时间在病程的第2~16天,平均(5.44±4.44)d,且较高比例(7/9)出现呼吸衰竭,发生低氧血症,氧合指数均≤200 mmHg,须予以有创呼吸机支持,且1例患儿进行性恶化,氧合始终不能改善,转院行体外膜肺氧合治疗,最终死亡。既往研究同样表明非HIV感染免疫抑制的PCP患者症状发作更急,疾病进展更快,可迅速发展为重症肺炎,伴氧合障碍、呼吸衰竭[9]。
本研究患儿预后较好,8例患儿均好转出院,主要原因在于PCP的早期诊断和及时治疗。有5例患儿通过肺部CT影像结果考虑真菌感染,同时存在基础疾病,有肿瘤化疗史,在病原学结果未明确前,即开始SMZ-TMP经验治疗。因此,肺部CT的典型影像特点对PCP有重要诊断价值。PCP的影像学表现形式多样,且依病情进展而呈现不同的影像学特点,最常见可分为4种类型,包括斑片型(即肺泡实变影,表现为双侧不均匀斑片状模糊阴影,边界不清,可伴有小叶间隔或小叶内间隔网格状增厚,表现为网状影,呈马赛克样或铺路石样改变);磨玻璃型(双肺磨玻璃样密度增高影);间质型(双侧间质纹理增多,表现为双侧不对称或基本对称的弥漫网状或网织结节影);囊变型(表现为多发囊变影,多为圆形,内外壁光滑且壁厚不超过1 mm的无内容物囊腔,可相互融合,多分布于两肺上叶或肺周边,也可发展至整个肺实质的囊性改变)[10, 11]。本研究患儿的肺部CT主要以斑片型、间质型、磨玻璃型为主,且不同类型的病变常同时存在。
临床常用的炎症指标C-反应蛋白、降钙素原在本研究中大多正常,少数升高。白细胞伴中性粒细胞同时升高仅有3例。但G试验值均升高,可帮助早期识别PCP。G试验中1,3-β-D-葡聚糖是肺孢子菌细胞壁的主要组成成分,这种多糖在肺孢子菌感染期间以可检测的量释放到循环系统中。一项纳入了14项研究包含357例PCP病例和1 723例对照病例的荟萃分析显示,血清1,3-β-D-葡聚糖诊断PCP的平均敏感性和特异性分别为94.8%和86.3%[12]。由于本研究病例较少,需要大样本前瞻性观察研究进一步评估血清1,3-β-D葡聚糖诊断PCP的敏感性和特异性。本研究病例中LDH均升高,虽然LDH水平升高对诊断PCP缺乏特异性,但有研究指出该指标升高与感染PCP有一定相关性,可能原因是PCP患者因免疫反应导致肺组织出现损伤,LDH被大量释放到细胞外[13]。
病原学诊断始终是感染性疾病诊治中最关键的环节。PCP的确诊依赖于病原学检查,在痰、气管内吸取物、BALF或肺活检中找到肺抱子菌滋养体或包囊。本研究患儿仅1例BALF中真菌培养(六胺银染色)找到肺孢子菌确诊,另8例均经mNGS明确病原。mNGS是一种不依赖于培养,直接从临床标本提取核酸并检测病原体的高通量测序技术,与传统临床的实验室检测方法相比,具有广覆盖的特点,能同时无偏倚地对细菌、病毒、真菌、不典型病原体、寄生虫等进行检测,因此,可以提高PCP的诊断率。虽然mNGS检测在病原体检测中体现了很好的检测效能,但临床医生应正确认识及判读 mNGS 检测结果。因mNGS尚不能准确判断菌群定植或感染状态,仍需依赖临床医师结合患者病情及其他临床资料进一步分析[14]。
本研究对伴低氧血症需机械通气的6例重症患儿,予棘白菌素联合SMZ-TMP,同时予以激素治疗,疗效较好。虽然棘白菌素治疗PCP的临床研究绝大部分为病例报道或回顾性研究,目前证据级别不高,但研究表明棘白菌素与SMZ-TMP在抗PCP的作用机制、起效时间、药物安全方面均起到协同和互补作用。不少研究建议初始棘白菌素联合SMZ-TMP治疗合并器官移植术后或重度血液系统恶性肿瘤的HIV阴性患者,可能是当前有望改善预后的治疗策略之一[15, 16, 17]。对于激素使用指征,糖皮质激素目前已作为治疗重度PCP的标准治疗之一,糖皮质激素可加速氧饱和度的恢复、降低LDH、改善生命体征和增加运动耐力。糖皮质激索还可以改善存活率,降低呼吸衰竭的发生率,同时可以改善磺胺类药物引起的严重不良反应。目前普遍推荐在PaO2<70 mmHg、PaCO2>35 mmHg或BALF中性粒细胞>10%均应使用激素作为辅助治疗,并主张在SMZ-TMP前15~30 min给药,但是对于吸空气能维持氧分压在75 mmHg以上的患者未观察到上述糖皮质激素的益处,不主张常规使用。激素抑制PCP的炎症反应和由此造成的肺损伤可使中重度PCP病死率降低近50%[18]。
综上所述,PCP无特异的症状和特征,传统病原学检查手段难以明确病原体,诊断困难,PCP是一种机会性致病性真菌感染,主要发生于免疫力低下或缺陷人群。对于糖皮质激素及免疫抑制剂、肿瘤放化疗患者,定期进行T细胞亚群检测评估细胞免疫功能,发现PCP高危患者,酌情应用SMZ-TMP预防治疗。当出现发热咳嗽,临床症状重,肺部体征轻,且病情进展快,可进一步完善G试验、肺部CT、mNGS检测做到早期诊断,对于重症患儿,尤其对于伴低氧血症需机械通气的重症患儿,棘白菌素联合SMZ-TMP,同时予以激素治疗,可降低病死率。
所有作者声明无利益冲突





















