
MRI是诊断胰腺肿瘤常用的影像学检查方法,具有无创、对软组织空间分辨率高的优点,能够通过不同的扫描序列从形态、信号、强化方式多角度描述肿瘤的影像学特点,结合患者的临床特征,有助于胰腺肿瘤的诊断和鉴别。该文就胰腺肿瘤的MRI影像特征进行归纳总结,旨在进一步提高对胰腺肿瘤的影像诊断水平。
版权归中华医学会所有。
未经授权,不得转载、摘编本刊文章,不得使用本刊的版式设计。
除非特别声明,本刊刊出的所有文章不代表中华医学会和本刊编委会的观点。
经全国继续医学教育委员会批准,本刊开设继教专栏,每年从第1期至第10期共刊发10篇继教文章,文后附5道单选题,读者阅读后可扫描标签二维码答题,每篇可免费获得Ⅱ类继教学分0.5分,全年最多可获5分。
MRI目前在胰腺肿瘤中应用广泛[1, 2],由于MRI对软组织的空间分辨率高,T1WI、T2WI的脂肪抑制序列和动态对比增强MRI(dynamic contrast enhancement MRI,DCE-MRI)为胰腺肿瘤的检测提供了很多信息,DWI对较小肿瘤(≤3 cm)的诊断灵敏度高[3, 4]。磁共振胰胆管造影(magnetic resonance cholangiopancreatography,MRCP)对胰管和胆管解剖的精确描绘,提高了MRI对胰腺肿瘤诊断的效能。
根据第五版WHO消化系统肿瘤分类,组织学上胰腺肿瘤可以分成三大类,第一类是良性上皮性肿瘤或癌前病变,包括浆液性囊腺瘤(serous cystadenoma,SCN)、胰腺上皮内瘤变(pancreatic intraepithelial neoplasia,PanIN)、导管内乳头状黏液性肿瘤(intraductal papillary mucinous neoplasm,IPMN)、导管内嗜酸性乳头状肿瘤(intraductal oncocytic papillary neoplasm,IOPN)、导管内管状乳头状肿瘤(intraductal tubulopapillary neoplasm,ITPN)和黏液性囊性肿瘤(mucinous cystic neoplasm,MCN);第二类是恶性上皮性肿瘤,包括胰腺导管腺癌(pancreatic ductal adenocarcinoma,PDAC)、胰腺腺泡细胞癌(pancreatic acinar cell carcinoma,PACC)、胰母细胞瘤、胰腺实性假乳头状肿瘤(solid pseudopapillary neoplasm of pancreas,SPNP);第三类是胰腺神经内分泌肿瘤(pancreatic neuroendocrine tumor,pNET),主要包括非功能性pNET和功能性pNET,如胰岛素瘤、胃泌素瘤等[5, 6]。大多数胰腺肿瘤具有典型的影像学特点和特殊征象,结合患者的年龄、性别及发病部位,有助于准确诊断。原发性胰腺淋巴瘤目前已并入淋巴造血系统,但影像诊断医师仍需学习其影像特点,对胰腺转移瘤也需要有一定的了解。
1.SCN:SCN是胰腺的良性囊性肿瘤,占胰腺肿瘤的1%~2%,约占胰腺囊性肿瘤的1/3[7],其特征是含有浆液,囊壁和分隔被覆单层立方上皮细胞。80%发生在女性,平均发生年龄为60~70岁,因此被称为“祖母瘤”[8]。大部分无临床症状,部分可见压迫症状[9]。
MRI影像特征:典型的SCN多发生在胰腺体尾部,可分为微囊型、巨囊型(或寡囊型)、遗传性肿瘤综合征(von-Hippel Lindau,VHL)相关的浆液性囊腺瘤和混合型。微囊型SCN最常见,表现为边界清晰、分叶状肿块,通常为2~16 cm,囊腔小,数目多,一般>6个,单个微囊为1~20 mm,具有典型的蜂窝状外观[10]。在20%微囊非常小的病例中,T2WI和MRCP可以帮助诊断CT无法辨别的微囊成分,避免误诊为实性肿物(图1,2)。巨囊型和混合型SCN不太常见,多发生在年轻人群中。混合型SCN中的微囊常位于中心部位,大囊围绕在周围。囊性成分通常表现为T2WI高信号(图3),而T1WI的信号强度则根据浆液内出血的量而改变[7]。由于SCN分隔间有血管成分,增强扫描囊壁和分隔可呈轻度强化(图2,4)。约33%的SCN中可见特异性的星状纤维性瘢痕,部分钙化,在T1WI和T2WI上呈低信号[11],中心瘢痕及分隔在门静脉期及延迟期持续强化。SCN与胰腺导管不相通,这是区分SCN和IPMN的一个重要特征,肿块较大时可能会压迫胰管[7]。VHL相关的SCN多见于年轻女性,大部分无临床症状,部分可见压迫症状,表现为多发囊性肿瘤,偶尔也会与pNET或PDAC共存[9]。罕见情况下,SCN出现远处转移,则诊断为浆液性囊腺癌。


2.IPMN:IPMN是一种生长在胰腺导管内的癌前病变,导管内黏液蛋白过量分泌可导致胰管闭塞、胰管进行性扩张或形成囊肿[7,12]。IPMN占所有外分泌胰腺肿瘤的1%,占所有胰腺囊性病变的21%~33%,通常发生在60~70岁的老年人,在男性中的发病率略高于女性[13],因此被称为“祖父瘤”。临床无症状或表现为腹痛、体重减轻、黄疸、低血糖等。IPMN主要有3种类型,主胰管型IPMN(main duct-IPMN,MD-IPMN)、分支胰管型IPMN(branch duct-IPMN,BD-IPMN)及混合型IPMN,在形态和侵袭性上略有不同。BD-IPMN仅累及侧支胰管,通常无症状[1]。MD-IPMN仅累及主胰管,混合型IPMN则同时累及主胰管和分支胰管,因其与MD-IPMN生物学行为类似,被认为是MD-IPMN的一个亚型[7],二者常表现为反复发作的胰腺炎,比BD-IPMN有更高的恶性潜能。
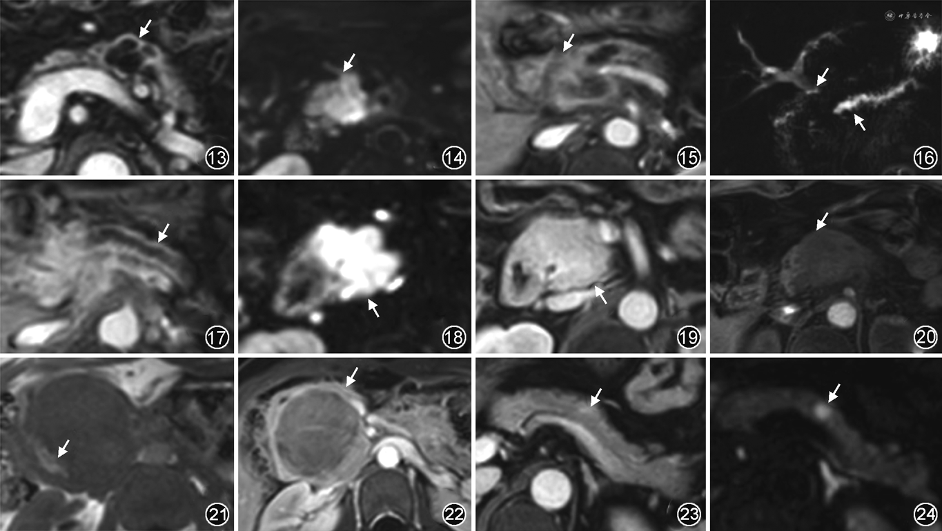
MRI影像特征:BD-IPMN仅累及分支胰管,最常位于钩突,其次胰尾部[13]。典型的BD-IPMN可表现为单个大囊性病灶(图5),囊内可包含或不包含分隔[1]。BD-IPMN也可以表现为多发小囊性病灶,形似葡萄(图6)。MD-IPMN可累及部分或整个主胰管,约2/3的MD-IPMN累及主胰管近端(胰头区),在脂肪抑制T2WI上,主胰管全程扩张或呈节段性扩张,呈明显高信号[13]。仅少部分MD-IPMN导管内可见乳头状赘生物,在T2WI上呈低信号,明显附着在管壁上(图7),增强扫描可见强化(图8)。因扩散受限,MD-IPMN在DWI上呈高信号,ADC图上呈低信号。MRCP可清晰地显示胰腺囊性灶与胰管相通(图9),这是IPMN的特异性征象。MD-IPMN引起的导管扩张会逐渐变细,没有局灶过渡点,而慢性胰腺炎则会出现局灶狭窄[7]。随着病程发展,胰腺实质可逐渐萎缩,此时需要与PDAC相鉴别。混合型IPMN兼有上述两型的特点[13]。
根据2017版国际共识指南,发生在胰头的IPMN导致梗阻性黄疸、强化壁结节≥5 mm、主胰管内径≥10 mm是IPMN恶变的高危征象(图10),间隔增厚或增强时也要怀疑恶变的可能[14, 15]。伴浸润癌的IPMN需要与ITPN鉴别,IPMN虽然伴有实性成分,但因胰管内富含黏液,整体仍以囊性成分为主。
3.ITPN:ITPN是胰腺导管内肿瘤的一种罕见类型,仅占导管内肿瘤的3%,与IPMN同属癌前病变。与IPMN和PDAC相比,ITPN侵袭性低、预后好。ITPN男、女发生率几乎无差异,发病年龄25~80岁,临床表现为腹痛、腹泻或黄疸。约50%的ITPN与浸润癌相关,伴浸润癌者5年生存率约71%,高于IPMN浸润癌和PDAC。
MRI影像特征:根据累及胰管部位,ITPN可分为主胰管型(约占95%)、分支胰管型和混合胰管型。根据病灶形态分为肿块型和管腔型[16]。ITPN可发生在胰腺任何部位,呈分叶状,边界清楚,平均直径约6 cm,部分肿块型ITPN体积较大并突破胰腺轮廓,但病灶仍局限于胰管内。管腔型ITPN肿瘤体积较小,未突破胰腺轮廓,局限于胰管内或充满胰管。ITPN在T1WI上表现为不同程度的低信号,在T2WI上呈不同程度的高信号。“双色征”和“酒瓶塞征”是ITPN的典型影像学特征。“双色征”代表扩张主胰管内的肿瘤和胰液分别呈两种不同的信号(颜色),在T1WI上肿瘤呈等或低信号、胰液呈低信号,在T2WI上肿瘤呈等或高信号、胰液呈明显高信号(图11)。“酒瓶塞征”指肿瘤局限或填充在胰管内,被扩张胰管内的胰液包围,胰液为“酒瓶壁”、肿瘤为“瓶塞”。增强扫描ITPN呈较均匀的轻度强化。当ITPN发生在胰头时,可侵犯胆总管下端,引起胆总管、肝内胆管扩张、胰腺实质萎缩,需要与PDAC鉴别,ITPN局限或填充在胰管内,呈“酒瓶塞征”,而PDAC可突破胰管及胰腺轮廓向外浸润;且ITPN信号比PDAC均匀[16]。病变沿胆总管继续向下进展,可侵犯十二指肠,此时需与壶腹周围癌相鉴别。
4.MCN:MCN是一种较罕见的癌前病变[17],占所有囊性胰腺肿块的10%~45%,占所有外分泌胰腺肿瘤的2.5%,包括良性MCN(72%)、交界性MCN(10.5%)、MCN合并原位癌(5.5%)和黏液囊性腺癌(12%)[7]。MCN几乎只发生在女性,好发于40~50岁的中老年女性,被称为“母亲瘤”[13],多无临床症状,但病变较大时可能出现与肿块占位效应相关的症状,恶性MCN患者可能出现腹痛和体重减轻[7]。
MRI影像特征:超过95%的病变发生于胰腺体尾部,通常较大,文献报道的平均直径为6~11 cm[13]。典型表现为大的圆形或卵圆形肿块,最常表现为单囊(80%),如果出现分隔,一般较SCN少,且通常位于肿瘤的外围(图12)。囊液表现为T2WI高信号,T1WI一般为低信号,当囊内有出血或蛋白成分较多时,可呈高信号。大多数MCN是良性的,囊壁光滑,分隔或壁较薄,增强扫描囊壁和分隔呈中等强化(图13)。少数MCN可伴有胰腺导管扩张,需要与BD-IPMN鉴别,MCN的囊腔与胰管不相通,而BD-IPMN与胰管相通,MRCP序列可以清晰地观察到病灶是否与胰管相通[7]。当MCN出现囊壁不规则增厚、实体成分强化、壁结节、乳头状突起、直径>4 cm、患者年龄大于55岁或病灶周围出现蛋壳样钙化时,应怀疑恶变的可能。DWI对壁结节、囊壁增厚显示较为敏感,可以帮助早期识别[4]。


1.PDAC:PDAC是胰腺最常见的恶性肿瘤,约占胰腺所有恶性肿瘤90%。PDAC是中国癌症相关死亡的第六大原因,侵袭性高,预后差,5年生存率仅为9%[12]。PDAC好发于60~80岁的老年人,临床常表现为中腹部或背部疼痛、黄疸、恶心、体重减轻。早期胰腺癌患者预后较好,但大多数PDAC确诊时已到晚期,早期诊断仍然面临巨大挑战[18]。
MRI影像特征:典型的PDAC最常见于胰头(60%~70%),在脂肪抑制T1WI上表现为低信号肿块,T2WI信号混杂,可呈高、稍高、等信号[2],在DWI上大部分呈高信号(图14),肿瘤内坏死囊变和出血少见[19]。增强扫描强化程度低于周围胰腺实质,动脉期尤其明显[3](图15),若增强扫描呈环形强化,提示其侵袭性更高,预后更差。胰头肿块可引起导管阻塞,伴胆总管和胰管继发性扩张,形成“双管征”(图16),肿瘤远端胰腺萎缩(图17),远端胰腺实质强化减弱[20]。随着肿瘤的生长,常会浸润胰腺周围结构,包裹邻近的血管系统或器官[2]。DWI序列提高了对较小病灶(≤3 cm)、界限不清的等信号肿块和小转移灶的检出率[4,20]。日本的一项多中心研究认为主胰管单发狭窄对早期胰腺癌的诊断有一定的提示价值[21]。PDAC需要与肿块形成型胰腺炎、局灶性自身免疫性胰腺炎(图18,19)、十二指肠旁胰腺炎或“沟槽胰腺炎”等胰腺炎性肿块相鉴别。导管穿透征(导管平滑狭窄地穿过病变)、侧支胰管扩张提示胰腺炎性肿块,胰管与胰腺实质的比值>0.34、慢性钙化性胰腺炎钙化移位、“双管征”、血管包裹或移位则提示PDAC[20]。
2.PACC:PACC是一种少见的胰腺恶性肿瘤,仅占所有胰腺肿瘤的1%~2%。好发于中老年男性,发病年龄约56岁[19]。患者首发症状多为腹痛、恶心呕吐及消瘦乏力,黄疸罕见,10%~15%的患者可出现脂酶分泌综合征,表现为多发性皮下脂肪坏死及骨质溶解性关节病等[22]。甲胎蛋白水平升高对PACC的诊断有一定的提示作用。PACC虽属于高度侵袭性恶性肿瘤,但手术效果及预后明显优于PDAC。
MRI影像特征:PACC好发于胰腺体尾部,体积常较大,以实性成分为主,可见包膜,但包膜欠完整,肿瘤常出现坏死、囊变和出血,在T1WI上多表现为混杂低信号,T2WI多呈混杂高信号,多为乏血供肿瘤,增强扫描呈渐进性强化[19],强化程度低于正常胰腺组织(图20),包膜明显强化,部分囊变灶内因有少许纤维分隔可呈轻度强化。肿瘤可累及胰管与胆管,约50%的PACC侵犯邻近器官或发生远处转移[19],此时需要与PDAC鉴别。PACC发病年龄比PDAC相对年轻[22],PACC肿瘤体积较PDAC大,PACC和PDAC虽同为乏血供恶性肿瘤,但其强化程度高于PDAC,且PACC常出现囊变、坏死、出血。
3.SPNP:SPNP是一种罕见的惰性肿瘤,约占所有胰腺囊性肿瘤的9%,占所有胰腺肿瘤的1%~2%,主要发生在30~40岁的年轻女性,因此又称“女儿瘤”,通常无症状,位于胰头时,与PDAC患者相比,黄疸发生率较低,仅有10%~15%的恶性概率,切除后5年生存率为96.9%[23]。
MRI影像特征:SPNP多发生于胰腺体尾部,典型表现为大的、孤立的、边界清楚的病变,可表现为完全囊性、囊实混合或纯实性肿块,囊性与实性成分的比例与肿瘤退变程度有关,部分钙化,可伴有较厚的纤维化假包膜[24]。实性成分在T1WI上呈中等信号,T2WI上呈稍高信号,DWI呈稍高信号。瘤内囊变、出血多见(图21)。增强扫描实性部分动脉期呈轻度不均匀强化,门静脉期及延迟期呈填充式强化,但强化程度仍低于正常胰腺组织。SPNP周围的纤维包膜在T1WI和T2WI上均呈低信号[23],增强扫描动脉期轻度强化,门静脉期及延迟期强化程度增加(图22)。包膜和肿瘤内出血是诊断SPNP的重要线索。SPNP与有包膜的PACC鉴别困难,边界清晰、体积较大、好发囊变及出血、实性部分渐进性强化均是二者的共同特征,PACC好发于中老年男性,发病年龄及性别有一定的鉴别意义。
pNET约占消化系统神经内分泌肿瘤的45%,占所有胰腺肿瘤的1%~2%,占所有胰腺恶性肿瘤的5%,第5版WHO消化系统肿瘤分类中认为所有的神经内分泌肿瘤都具有不同程度的恶性潜能,将其分为神经内分泌瘤(neuroendocrine tumor,NET)和神经内分泌癌(neuroendocrine carcinoma,NEC),NET是高分化肿瘤,为低度恶性(G1级)或中度恶性(G2级);NEC为高度恶性肿瘤,病理分级为高度恶性(G3级)。大多数pNET是非功能性的(75%~80%)[23],发现时常常已在晚期,伴有广泛的肝、肺或淋巴结转移。功能性pNET是根据其分泌最多的激素进行分类的,包括胰岛素瘤、胃泌素瘤、胰高血糖素瘤、生长抑素瘤和血管活性肠肽瘤[23]。功能性pNET因为激素分泌过量,在肿瘤很小的时候就会引起特定的临床综合征,通常发现得较早。
MRI影像特征:pNET的典型外观是直径1~5 cm、边界清晰的单发肿块[25]。T1WI呈低信号,T2WI呈中高信号,经常具有丰富的血管,在DCE-MRI上,动脉期呈明显强化(图23),在动脉增强晚期,明显强化的病灶与中度强化的正常胰腺对比显著[2],如果肿瘤中含有纤维化成分,则会出现延迟强化。ADC值与肿瘤分级有相关性,肿瘤级别越高,扩散受限越严重,DWI信号越高(图24),ADC值越低。而高达50%的pNET不表现为动脉期明显强化,而是表现为静脉期等强化或明显强化。动脉期和静脉期低强化的pNET可能是更高级别的,难以与PDAC鉴别[25]。10%~20%的pNET可表现为部分或全部囊性病灶,大多数囊性pNET比实性pNET体积更大,通常无功能,可能比实性病变预后更好。动脉期明显增强的厚壁是pNET的特征性表现(T2WI信号均匀,壁平滑,外周增强),需要与坏死性腺癌鉴别(T2WI信号不均匀,壁不规则,外周和中央都可以增强)。囊性pNET还需要和MCN鉴别,MCN通常发生在60岁左右的女性,表现为大单囊,壁增厚强化[25]。
与侵袭性行为相关的重要MRI特征包括肿瘤>3 cm、肿瘤边缘不规则、胰管扩张、血管包膜、胰腺外肿瘤扩散、ADC较低、T2WI信号不高。胰管扩张与高级别pNET相关,易与PDAC混淆,但胰管扩张和胰腺萎缩的程度通常小于PDAC,血管侵犯也不常见[25]。
1.胰岛素瘤:胰岛素瘤是最常见的功能性pNET,占所有胰腺肿瘤的1%~2%。胰岛素瘤可发生于任何年龄,性别分布均匀[26],主要表现为意识模糊、健忘、昏迷、视觉改变、意识改变等神经性低血糖症(90%)和出汗、震颤、心悸等交感神经过度刺激症状(60%~70%)。据报道,90%的胰岛素瘤是良性的,90%是孤立的,90%发生在胰腺内,90%直径<2 cm。胰岛素瘤可发生于胰腺的任何部位,胰腺外胰岛素瘤最常见于十二指肠壁,引起低血糖极为罕见(发生率<2%)[26]。
MRI影像特征:MRI能够发现在CT上难以识别的等增强胰岛素瘤[2],典型的胰岛素瘤在T1WI上呈低信号,T2WI上呈轻度高信号,DWI高信号,在DCE-MRI上,动脉期和门静脉期明显强化,符合典型pNET的影像表现[25]。
2.胃泌素瘤:胃泌素瘤常发生在胰头(胃泌素瘤三角区),恶性率较高(约50%),临床症状出现较早,可导致佐林格-埃利森综合征(Zollinger-Ellison syndrome),主要表现为腹痛、恶心、胃灼热、呕吐等。在脂肪抑制T1WI上呈低信号,在脂肪抑制T2WI上呈高信号,胃泌素瘤不像胰岛素瘤那样富血供,增强扫描无明显强化[2],典型的强化方式为肿块中心弱强化,周围环形强化,强化方式与PDAC相似,胃泌素瘤在T2WI上呈高信号、通常持续延迟强化(由于存在纤维化)、胃壁明显增厚均可以帮助鉴别[25]。
1.淋巴瘤:根据原发部位不同,胰腺淋巴瘤可分为原发性与继发性,原发性淋巴瘤指肿瘤仅侵犯胰腺或局部淋巴结,而无肝脾浸润,占胰腺恶性肿瘤的0.4%~0.5%,多为弥漫大B细胞淋巴瘤,临床易误诊和漏诊[27]。胰腺淋巴瘤在T1WI上呈低或稍低信号,在T2WI信号呈多样性,DWI表现为高信号,增强扫描呈轻中度强化[27]。原发性胰腺淋巴瘤的特异性影像表现是肿块包绕邻近血管,但血管走行良好,未见受侵及狭窄,仿佛漂浮在病变上,称为“血管漂浮征”[28]。
2.转移瘤:胰腺转移瘤较少见,占胰腺肿瘤的2%~5%。MRI上转移瘤的信号强度和强化方式多与其原发肿瘤类似。富血供的转移瘤需要与pNET相鉴别,结合临床及影像学表现可做出鉴别。乏血供的转移瘤需要与PDAC相鉴别,PDAC多位于胰头,具有典型的“双管征”,常浸润胰腺周围结构,包绕邻近的血管系统或器官[28]。
大部分胰腺肿瘤有典型的影像特点和征象,结合患者的年龄、性别、发病部位、临床症状有助于准确诊断和鉴别诊断。需要特别注意癌前病变的恶变征象,对于肿瘤的诊治和预后至关重要。
鲁玥玥, 申刘涵旭, 石喻. 胰腺肿瘤的MRI表现[J]. 中华放射学杂志, 2024, 58(6): 679-684. DOI: 10.3760/cma.j.cn112149-20240420-00224.
所有作者声明无利益冲突
1.下列继发性影像学表现中,提示胰腺炎性肿块的是()
A.胰管与胰腺实质的比值>0.34
B.慢性钙化性胰腺炎钙化移位
C.“双管征”
D.导管穿透征
2.“双色征”和“酒瓶塞征”是哪种胰腺肿瘤的影像学特征()
A.胰腺黏液性囊性肿瘤
B.胰腺导管腺癌
C.胰腺导管内乳头状黏液性肿瘤
D.胰腺导管内管状乳头状肿瘤
3.病灶中心呈特异性T1WI、T2WI低信号星状纤维性瘢痕的是()
A.胰腺黏液性囊性肿瘤
B.胰腺浆液性囊腺瘤
C.胰腺导管内乳头状黏液性肿瘤
D.胰岛细胞瘤
4.病变与胰腺导管相通的病变是()
A.胰腺寡囊型浆液性囊腺瘤
B.胰腺黏液性囊性肿瘤
C.分支胰管型导管内乳头状黏液瘤
D.胰腺实性假乳头状肿瘤
5.最常见的功能性胰腺内分泌肿瘤是()
A.血管活性肠肽瘤
B.胰岛素瘤
C.胰高血糖素瘤
D.胃泌素瘤





















