
探讨新型"U"形钉治疗先天性胫骨假关节术后踝外翻的临床疗效和安全性。
2013年5月至2020年6月湖南省儿童医院共收治了41例先天性胫骨假关节术后踝外翻采用"U"形钉治疗的患儿,其中男17例,女24例。通过在胫骨远端内侧植入新型"U"形钉来逐渐矫正踝外翻畸形。收集患儿手术时间、术中出血量、住院时间等资料。评价指标选用胫距角,通过术前、术后及末次随访影像资料,评价畸形矫正率和并发症情况。
所有患儿术后随访至少16个月,平均随访36个月。平均手术时间24 min,术中出血量平均7.5 ml,平均住院时间4.4 d。所有患儿术前胫距角为(73.9±4.4)°,去除内固定时胫距角为(86.9±4.7)°,末次随访时胫距角为(84.6±5.5)°。所有患儿去除内固定时平均矫形率为0.69°/月。患儿术后均未出现螺钉脱出、骨髓炎、伤口感染等严重并发症,术后踝关节活动良好,无关节僵硬。患儿内固定拆除后未出现骺板损伤等情况。
新型"U"形钉是一种治疗儿童先天性胫骨假关节术后踝外翻畸形安全有效的内固定系统。
版权归中华医学会所有。
未经授权,不得转载、摘编本刊文章,不得使用本刊的版式设计。
除非特别声明,本刊刊出的所有文章不代表中华医学会和本刊编委会的观点。
先天性胫骨假关节(congenital pseudarthrosis of tibia, CPT)是一种罕见疾病,其特征为胫骨节段性发育异常、无正常骨形成,伴随成角畸形、病理性骨折和骨不连接。CPT目前病因尚不明确,由于其骨融合困难、持续性成角和严重肢体不等长等原因,针对它的治疗一直是小儿骨科最具挑战性的疾病之一[1,2]。近年来,本团队总结通过切除病变骨膜及假关节、经足踝髓内棒内固定、包裹式自体髂骨植骨、Ilizarov外固定等综合手术治疗,可以显著提高患儿骨折融合率和降低再发骨折率[3,4,5,6]。但是,CPT术后容易出现双下肢不等长、踝外翻畸形和膝外翻畸形等并发症。Thabet等[7]通过平均4.3年的随访发现,CPT术后患者踝外翻发生率高达35%。本团队自2008年8月至2018年9月通过联合手术治疗了231例CPT患儿,其中58例出现了术后踝外翻,发生率为25.1%[8]。
儿童踝外翻会导致穿鞋困难,行走不稳或机械疼痛等症状,一般保守治疗效果较差,需要手术干预[9,10]。目前常用的踝关节重建手术方式,主要有内侧半骺板阻滞和踝上截骨术[9,10,11]。截骨术可以迅速矫形,但伴有手术时间长、创伤大和并发症较多的缺点[12]。同时,CPT骨折后骨骼愈合困难,任何截骨方式的选择都需要十分谨慎。针对骨骼发育不成熟患者,临时半骺板阻滞术已被证明是一种有效的治疗手段,它通过临时阻滞一侧骺板的生长,逐渐纠正踝关节的冠状面畸形[9,12]。目前,常用的临时半骺板阻滞内固定主要有张力带螺钉和经骺板螺钉10,13,14]。经骺板螺钉已证实可以矫形畸形,但常伴有症状性螺钉头突出、骺板损伤和硬件难以取出等并发症[15]。
目前经典使用的张力带螺钉有"8"字钢板螺钉和Blount订书钉。"8"字钢板螺钉常见运用在股骨远端及胫骨近端,如果运用在胫骨远端内侧,存在着切迹较高的缺点[2,16,17]。而传统的Blount订书钉容易出现螺钉脱出等现象[14]。因此,针对儿童胫骨远端内侧解剖组织覆盖少、骺板窄等特点,需要一款更加"贴合"的内植入材料。本团队自主研发的新型"U"形钉,着重于切迹低、防退出及紧密贴合胫骨皮质的特点。本研究拟探讨新型"U"形钉治疗CPT术后踝外翻的临床疗效和安全性。
收集2013年5月至2020年6月湖南省儿童医院收治的经过新型"U"形钉治疗的CPT术后踝外翻患儿的临床资料。纳入标准:①患儿已确诊CPT,并行病变骨膜切除+包裹性植骨+固定手术治疗,术后出现踝外翻畸形;②患儿年龄范围2~14岁,属于骨骼发育不成熟者;③双下肢站立位X线片提示存在踝外翻畸形;④观察指标为胫距角。排除标准:①创伤性骺板早闭,感染后骺板病变等其他原因导致的踝外翻畸形;②合并矢状面畸形;③患儿失访。
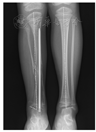
按照上述标准,共有41例患儿纳入本研究,其中男17例,女24例。收集数据包括手术开始年龄、手术时间、术中出血量、住院时间、术前胫距角和术后胫距角。所有患儿拍摄双下肢负重全长X线片,通过测量胫距角评估踝外翻程度。由于CPT患儿常伴有胫骨弯曲,测量胫距角选择胫骨髁间嵴中心与踝关节间隙水平的中点连线与距骨穹窿关节面的夹角(图1)。胫距角正常范围为80°~90°,10°以内的外翻可通过后足关节活动来尽量纠正[18,19]。


本研究经湖南省儿童医院伦理委员会审核通过(KYSQ2021-077),患儿家属均知情同意。
患儿术前预防使用抗生素,仰卧位后行全身麻醉,根据体重选择合适的气压止血带。开始手术前,C型臂透视下确定胫骨远端内侧骨骺位置。于胫骨远端内侧作一皮肤切口,长约3 cm,逐层显露至骨膜外,避免损伤血管和神经。根据胫骨粗细和踝外翻严重程度,选择不同长度和角度的"U"形钉植入。根据胫骨远端内侧皮质骨和骺板线的夹角,选择24°或30°的"U"形钉。通过专门的辅助植入工具,将"U"形钉平行骺板线植入(图2)。通过术中透视获得的前后位和侧位X射线照片,检查植入物位置。随后冲洗伤口,止血带放气,压迫创面及电灼止血,创面放置防粘连膜预防术后瘢痕粘连,可吸收线缝合伤口。


患儿术后每隔3~4个月复查1次,拍摄双下肢站立正位X线片,监测肢体生长和畸形矫正情况。记录每次复查的胫距角。当踝外翻畸形矫正后,考虑内固定取出。根据本团队经验,可以轻微的过度矫正外翻畸形,因为移除植入物后可能会出现一些反弹。去除内固定后,石膏固定4~6周,随后恢复全部活动。每3个月复查1次,直到骨骼成熟,监测畸形复发情况。
41例患儿术后随访至少16个月,平均随访时间为36个月。平均手术时间24 min,术中出血量平均7.5 ml,平均住院时间4.4 d。所有患儿术前胫距角为(73.9±4.4)°,去除内固定时胫距角为(86.9±4.7)°,末次随访时胫距角为(84.6±5.5)°(图3)。所有患儿去除内固定时平均矫形率为0.69°/月。"U"形钉治疗踝外翻畸形典型病例如图4、图5所示。所有患儿术后未出现螺钉脱出、骨髓炎、伤口感染等严重并发症,术后踝关节活动良好,无关节僵硬。患儿内固定拆除后未出现骺板损伤等情况。




CPT由于节段性的骨骼发育异常,常伴有骨不连和胫骨畸形,是小儿骨科比较棘手的疾病。目前,常用的外科治疗方法主要包括髓内钉内固定、Ilizarov外固定、髓内钉和Ilizarov外固定联合和带血管腓骨移植[20,21]。由于带血管腓骨移植容易形成假关节,而单一的内固定或外固定难以保证稳定而帮助骨折端愈合,因此为了获得更高的骨折融合率临床更倾向于髓内钉和Ilizarov外固定联合手术方式。Agashe等[21]利用髓内钉和Ilizarov外固定联合治疗了15例CPT患儿,其中14例获得了骨性愈合,但有7例出现了踝外翻畸形。本团队早期通过髓内棒联合包裹性植骨移植和Ilizarov外固定治疗56例CPT患儿,经过平均8.5年的长期随访发现,术后骨折愈合率达到89.2%,伴有17.9%踝外翻畸形发生率[3]。CPT患儿经踝关节髓内钉固定后,容易出现腓骨远端的近端迁移,并表现出踝外翻畸形,因此在CPT患儿的长期治疗过程中要密切监测踝关节功能活动情况。
早在上世纪40年代,Phemister[22]首次提出了通过骺板阻滞的方式治疗儿童骨骼畸形的理念。随后,Stevens等[9,23]在这个基础上进一步提出了引导性生长的概念,结合工程力学通过内固定抑制一侧骺板生长,保留对侧骺板正常生长,从而实现矫正骨骼成角畸形。胫骨远端用于骨骺阻滞常用的张力螺钉有"8"字板螺钉和Blonut订书钉。"8"字板螺钉具有螺钉角度灵活的优点,但是钢板加螺钉尾部的厚度,常常导致切迹大于3 mm。踝关节内侧软组织较少及缺乏肌肉组织覆盖,高切迹的内固定容易刺激皮肤,出现疼痛及皮肤破溃的并发症。本团队自主研发的新型"U"形钉,配备专门的植入工具,具有低切迹、防退出和紧密贴合皮质骨的特点。新型"U"形钉宽带为3 mm,高度为1.5 mm,植入后切迹相对8"字板螺钉更低。以前本团队经常使用的Blount订书钉插入幼儿未完全骨化的骨骺中,随着生长可出现订书钉退出的情况[14,24]。新型"U"形钉是Blount订书钉的改良版,增加了螺钉的宽度和头部的3道齿纹,相对于没有齿纹的张力螺钉,有效减少螺钉退出风险。同时,新型"U"形钉的使用需要引入一个特殊的角度,暂时将其命名为"胫骨远端皮质骨角度",即正位片胫骨远端骨骺中心点平行骨骺线的轴线与内侧皮质骨连线的夹角。本团队测量了50名2~12岁正常儿童的胫骨远端皮质骨角度,得出的数据为(66.1±3.9)°(图6)。由此,本团队打破了传统Blount订书钉上下长度完全一致的设计,开创性的设计了24°和30°(螺钉斜边于垂直线的夹角,相当于胫骨远端皮质骨角度为66°和60°)两种规格的"U"形钉(图6)。通过这种角度的设计,能够让张力螺钉,更好的贴近骨皮质,增强螺钉的把持力,保证更好阻滞效果的同时不易出现螺钉松动脱出。本团队目前暂时制作了6种型号的"U"形钉,高度为10 mm和15 mm两种,长度为15 mm和20 mm两种,角度为24°和30°两种,基本可以满足不同年龄段儿童胫骨远端骺板阻滞的需要。


本研究对33例CPT术后出现踝外翻的患儿采用新"U"形钉治疗,结果胫距角由术前的(74.2±4.6)°,纠正为术后的(86.8±4.9)°。所有患儿去除内固定时平均矫形率为0.68°/月。Dirscoll等[25]报道采用经骺螺钉和张力带螺钉治疗42例踝关节外翻畸形,平均年龄10.3岁,其中经骺螺钉平均矫形率为0.55°/月,张力带螺钉平均矫形率为0.36°/月。Rupprecht等[26]对9例遗传性多发外生骨疣出现踝外翻畸形的患儿进行胫骨远端内侧骺板螺钉治疗,手术时平均年龄11.8岁,月平均矫正率为0.58°。研究提示,踝外翻畸形的矫正与患儿的年龄显著相关,年龄小的患儿往往具有更好的矫形改善[10,27]。本研究患儿平均年龄为6.9岁,由于CPT发病较早,手术治疗后在年龄较小时即出现踝外翻畸形,所以矫形效果相对优于其他学者报道的数据。由于不同患儿的年龄及生长速率不一致,很难准确预测个体的纠正速率,因此儿童在接受胫骨远端半骺板阻滞时需密切影像学随访,持续到骨骼发育成熟。所有经过新"U"形钉治疗后的患儿术后未出现螺钉脱出、骨髓炎、伤口感染等严重并发症,踝关节活动良好,无关节僵硬等症状。患儿内固定拆除后未出现骺板损伤等情况。
综上所述,通过在胫骨远端内侧植入新型"U"形钉进行临时骺板阻滞是治疗儿童CPT术后踝外翻畸形安全有效的方法。新型"U"形钉具有植入简单、低切迹、防退出和紧密贴合皮质骨的特点,是进行骺板阻滞的良好内植物材料选择。
所有作者均声明不存在利益冲突





















