
长期服用免疫抑制剂导致的免疫功能低下状态、反复住院及广谱抗生素的使用、移植相关糖尿病的存在、遗体捐献的增加等因素导致实体器官移植(solid organ transplantation,SOT)受者侵袭性真菌病(invasive fungal disease, IFD)的发生风险日益增加,且近年来SOT受者IFD的流行病学也在不断改变。了解SOT受者IFD的流行病学现状、熟悉IFD的新型诊断技术、掌握新型抗真菌药物特性,有助于进一步改善受者预后。本文针对SOT受者IFD的发病率、致病菌构成、新型诊断技术及近年上市的全新抗真菌药物等方面进行简要阐述,以期为临床提供参考。
版权归中华医学会所有。
未经授权,不得转载、摘编本刊文章,不得使用本刊的版式设计。
除非特别声明,本刊刊出的所有文章不代表中华医学会和本刊编委会的观点。
侵袭性真菌病(invasive fungal disease,IFD)系一种由真菌侵入机体引起的感染性疾病,表现为真菌在组织、器官或血液中生长、繁殖并导致炎症反应及组织损伤。IFD起病隐匿,临床症状不典型且早期诊断困难,常导致治疗延误和死亡风险增加;而不断改变的致病菌构成及日益突出的耐药问题进一步加重了诊疗难度。实体器官移植(solid organ trans-plantation ,SOT)受者,由于长期服用免疫抑制剂导致的免疫功能低下状态、反复使用广谱抗生素的长期使用素、移植相关糖尿病等因素,属于IFD高危人群[1]。研究报道,SOT受者IFD的发病率在5.0%~ 7.9%之间[2];常见病原体包括念珠菌、曲霉和毛霉,其中曲霉最为常见[3]。非白念珠菌、侵袭性曲霉病及其它霉菌所致IFD的发生率也在增加[4]。
随着医疗技术的发展,新型诊断技术的应用为IFD早期诊断提供了更多可能,如宏基因组二代测序(metagenomics next generation sequencing ,mNGS )、曲霉抗原检测、基质辅助激光脱附/电离飞行时间质谱和挥发性代谢物检测等多种新型检测方法。泊沙康唑、艾沙康唑等新型三唑类药物,两性霉素B脂质体(Liposomal-Amphotericin B, L-AMB)、两性霉素B胶质分散体等多烯类药物的上市也为SOT受者IFD的防治提供了更多选择。本文简要述评SOT受者IFD的最新流行病学现状、新型诊断方法及抗真菌药物特性,以期通过早期发现、早期识别和精准管理,降低SOT受者IFD的死亡风险,为SOT术后临床管理提供有价值的参考。
据研究报道,SOT受者IFD总发生率为4.6%~7.5 %[5],且不同研究间发生率差异较大,这很可能与当地流行病学、不同诊断策略及抗真菌预防措施相关(图1)。国外一项队列研究表明,SOT受者中IFD发生率呈逐年上升趋势,尤其在移植后的早期阶段较为显著[6]。同时,新型冠状病毒(SARS-CoV-2)等呼吸道病毒感染[7,8]进一步增加了SOT受者IFD的发生风险,因此,针对SOT受者呼吸道病毒感染后的IFD,临床应引起重视。除移植后的感染外,供者来源性感染(donor derived infection,DDI)也是需要考虑的重要因素, DDI相关的IFD与移植受者的病死率密切相关[9]。


在致病菌构成方面,SOT受者中,IFD的致病菌构成随时间不断变化,反映了医疗实践和环境因素的影响,念珠菌,尤其是非白念珠菌种,是除肺移植以外其他SOT受者IFD的主要致病真菌,主要影响腹腔内器官移植受者,约占检出菌株的39%~ 59%(表1 )[1,5,10]。多项研究均进一步提示,念珠菌对棘白菌素类药物的耐药已急需引起重视[11,12]。

不同SOT受者IFD重要病原菌检出率
不同SOT受者IFD重要病原菌检出率
| SOT类型 | 念珠菌属a(%) | 曲霉菌属a(%) | 隐球菌属a(%) | 毛霉菌属b(%) | 其它a(%) |
|---|---|---|---|---|---|
| 肾移植 | 24~61 | 12~36 | 3~19 | 2~27 | 4~31 |
| 肝移植 | 20~80 | 6~67 | 0~7 | 2 | 0~15 |
| 肺移植 | 23~62 | 27~67 | 0~2 | 3 | 12~29 |
| 心脏移植 | 27~65 | 22~50 | 0~10 | 3 | 8~30 |
| 胰腺/胰-肾移植 | 67~81 | 0~11 | 0~33 | 0 | 0~12 |
| 小肠移植 | 85 | 0 | 5 | 0 | 10 |
| 总计 | 39~59 | 19~34 | 1~8 | 2~27 | 9~15 |
注:SOT为实体器官移植;IFD为侵袭性真菌病;a为根据参考文献[3];b为根据参考文献[14-15]
曲霉是SOT受者另一常见病原体,同时也是肺移植受者并发IFD的最主要责任致病真菌,检出率可达67%(表1)[5]。随着医疗技术的不断提升及整体环境的不断变化,毛霉在SOT受者中的检出率也在日渐增加,已成为引发SOT受者IFD的重要病原菌。与隐球菌相比,SOT受者中毛霉病的发生率相对更高(3.0%比1.5%)[13]。而近年流行的COVID-19则进一步加重了毛霉病的发生率,特别是在肾移植受者中尤为显著。印度一项针对COVID-19期间肾移植受者的研究提示,毛霉病已成为肾移植受者的常见IFD,其发生率高达10.7%[14]。进一步分析发现,并发毛霉病的受者中,约64%存在的基础疾病为糖尿病,其余36%的受者则因COVID-19接受类固醇治疗后新发高血糖,且所有受者在被诊断时的血糖控制均不佳[14]。
这些变化提示,临床上需要对SOT受者IFD的防治策略进行持续调整,考虑到致病菌构成的动态变化和耐药性问题。此外,全球公共卫生组织对于重点真菌病原体的警示也强调了新兴耐药真菌的全球性挑战,需要国际合作和持续的监测来应对。
掌握IFD的发病时间有助于早期干预、早期针对性给予适当的抗真菌药物防治。念珠菌病主要且常发生于移植1个月内[1,5];侵袭性曲霉病(Invasive aspergillosis,IA)的中位诊断时间为168 d,最早可于移植后立即出现,最长可至移植后720 d[15];侵袭性毛霉病可发生于移植后1个月至1年内,最常见的部位是鼻窦、肺和皮肤[14,16,17,18,19]。(图1 )
SOT受者移植术后长期应用大剂量免疫抑制剂是发生IFD的高危因素;此外,移植相关的医疗技术、环境和不同移植器官受者群的特殊危险因素,构成了SOT受者不同于其它学科患者群体IFD易感性的特点[3,14,17,20,21,22]。(表2)

SOT受者IFD的危险因素
SOT受者IFD的危险因素
| 危险因素 | 念珠菌 | 曲霉 | 毛霉 |
|---|---|---|---|
| 宿主因素 | 假丝酵母菌定植、高龄、长时间使用广谱抗生素、中心静脉导管、多器官联合移植 | 移植物失功、长时间大剂量使用糖皮质激素、CMV感染、过度免疫抑制、COPD、急性排斥反应、使用单抗药物、白细胞减少或缺乏(<0.5×109/L)、呼吸道曲霉定植、常见变异型免疫缺陷病(IgG<4 g/L) | 糖尿病、血糖控制不佳、慢性肾病、肾功能衰竭、使用伏立康唑和/或卡泊芬净、COVID-19、排斥反应、过度免疫抑制剂、使用糖皮质激素、使用铁螯合剂(如去铁胺)、胸腺球蛋白或阿仑单抗诱导治疗 |
| 医源性因素 | 手术时间延长或重复操作、再次移植、胆总管空肠吻合术、吻合口漏、术中大量输血、移植物衰竭、血液透析 | 血液透析、移植后血液透析、支气管吻合口缺血或支架置换 | 供体肺毛霉感染 |
注:SOT为实体器官移植;IFD为侵袭性真菌病;SOT为实体器官移植;IFD为侵袭性真菌病;CMV为巨细胞病毒;COPD为慢性阻塞性肺疾病;COVID-19为新型冠状病毒感染
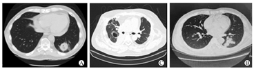
高分辨率计算机断层扫描(CT)是肺部IFD的首选影像学检查方法。IFD典型的影像学表现包括结节、肿块、节段性或亚节段性实变、肺不张、磨玻璃影、树芽型、空洞或胸腔积液;然而,这些影像学表现可在其他肺部感染或炎症过程中遇到。在特定的临床背景下,晕征、反晕征、低密度征和空气新月征等表现有助于区别IFD和非真菌性肺炎[23]。结节和团块影是SOT受者最具特征性的IFD影像学表现,但实变等非特异性表现也可能是唯一的表现[24]。单发的结节团块影需要和原发性肺癌进行鉴别。一般来说,原发性肺癌在CT影像通常呈现为单发的肺实质内的肿块或结节,呈现不规则形状,边界模糊或分叶状,同时还可能伴随肺门淋巴结增大、胸膜增厚或胸腔积液。而IFD典型的影像学表现为结节团块影周围伴有晕征、或可能存在包括结节、团块影的节段性或亚节段性实变、肺不张、磨玻璃影、树芽征、空洞伴空洞内新月征,或胸腔积液;侵袭性肺曲霉病(in-vasive pulmonary aspergillosis,IPA)是所有的SOT受者肺部IFD的最常见类型。IPA包括血管侵袭性改变和气道侵袭性改变,疾病早期影像学常呈现非特征性的气道病变,如支气管周围实变影、支气管扩张征、小叶中心型微小结节影、毛玻璃样改变等;随疾病进展,曲霉侵犯肺部血管,影像学检查则表现为晕轮征、肺实变、空气新月征等特征性改变,其中,晕轮征具有较高的临床诊断价值[24,25]。此外,与血液恶性肿瘤患者不同,SOT受者IPA的影像学(图2)常为非特征性改变[23,26,27]。


"反晕征"(图3)是肺毛霉病的一种特征性影像学表现[23]。肺毛霉病患者的特征性与非特征性表现同样与患者基础疾病和疾病进展相关;部分肺毛霉病患者也呈非特征性的改变,如:节段性实变、单个或多个结节和肿块、磨玻璃样病变等[28]。临床中,毛霉病特征性的"反晕征"改变在异基因造血干细胞移植受者中更常见[23],而SOT受者则常表现为空洞、实变等非特异性改变[29]。肺念珠菌病、肺隐球菌病的影像学表现缺乏特异性;肺念珠菌病患者影像学常表现为局灶性或多叶性实变,血源性播散患者肺部CT表现为大小不等、多发、边界清楚的结节,部分结节周围伴有"晕征"[30]。隐球菌肺炎的CT表现包括边界清楚的结节实变影。


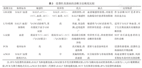
在SOT受者IPA的诊断中,传统的半乳糖甘露聚糖(galactomannan ,GM)试验和新兴的侧流免疫层析(lateral flow device ,LFD)检测提供了高特异性和快速检测的优势,而G试验的联合使用可以进一步提升诊断的敏感性和特异性。聚合酶链式反应(polymerase chain reaction,PCR)检测和mNGS技术以其高灵敏度和无偏倚的检测能力,为早期诊断和病原体全面识别提供了重要工具。随着新型免疫标志物和先进技术的探索,未来有望进一步提高IFD早期诊断的准确性,为SOT受者提供更有效的管理策略(表3)。

侵袭性真菌病的诊断方法概况比较
侵袭性真菌病的诊断方法概况比较
| 检测方法 | 取样标本 | 敏感性 | 特异性 | 优点 | 缺点 | 应用场景 |
|---|---|---|---|---|---|---|
| GM试验 | BALF/血清 | BALF:67%~100%,血清:22%~68% | BALF:89%~93%血清:84% | 高特异性;对BALF敏感性高 | 血清敏感性较低;对接受抗曲霉治疗患者筛查限制 | 作为诊断SOT受者IPA的首选方法 |
| LFD检测 | BALF/血清/深部痰 | 与GM试验相当,某些情况下高于GM试验 | 高 | 快速、床边检测;适用范围广 | 敏感性与GM试验相当,但特异性需进一步验证 | 适用于BALF和血清,对于生长期真菌具有辅助诊断价值 |
| G试验 | 血清 | 提高至70%~88%(与GM联合) | 提高至84%~91%(与GM联合) | 提高联合检测的敏感性和特异性 | 特异性不足;单独使用时诊断价值有限 | SOT术后高危患者的支持性诊断 |
| PCR | 临床标本 | 高 | 高 | 高灵敏度;快速检测 | 需要专业设备和技术 | 侵袭性曲霉病、侵袭性念珠菌病的早期诊断 |
| mNGS | BALF/血浆游离DNA | 高 | 中 | 无偏倚检测;高通量 | 区分病原体与非病原体挑战 | 高通量测序无偏移,风险采集标本高时的无创诊断 |
注:IFD为侵袭性真菌病;BALF为肺泡灌洗液;GM试验为半乳甘露聚糖试验;LFD为横向流动试纸条检测;G试验为1, 3-β-D葡聚糖试验;PCR为聚合酶链式反应;mNGS为宏基因二代测序;BALF为肺泡灌洗液;SOT为实体器官移植;IPA为侵袭性曲霉病
在SOT受者的IA诊断中,传统的GM试验和新兴的LFD检测提供了不同的诊断视角。GM试验,尤其在支气管肺泡灌洗液(bronchoalveolar lavage fluid,BALF)中的应用,对SOT受者IA的诊断显示了较高的敏感性和特异性,BALF中GM的诊断价值高于血清(敏感性为67%~100%比22%~68%,特异性为89%~93%比76%~84%);且当GM检测的值≥1.0时,其诊断IA的特异性将进一步提高[31]。这显示其在特定生物标记物检测中的价值,推荐其作为诊断SOT受者IA的首选方法,尽管血液GM试验对于接受抗曲霉治疗或预防用药的患者,其常规筛查应用受到限制。相较于GM试验,LFD检测法以其快速、便捷(床边检测)的优势,提供了即时诊断的可能性。LFD利用高敏感性的JF5抗曲霉属菌丝特异性单克隆抗体针对菌丝分泌[32]的甘露聚糖糖蛋白进行检测,展现其在特定场景下对真菌感染的辅助诊断价值。通过LFD对真菌抗原的检测,检测标本适用于BALF、血清和深部痰液,一般15~30 min即可出结果,检测敏感性与GM试验相当[33],甚至在包含拟诊患者的研究中显示敏感性高于GM试验(75%比53 %)[34]。因此,在鉴别诊断真菌感染与定植方面,LFD有一定的辅助诊断价值。
此外,血清G试验检测作为另一种支持性诊断工具,虽然特异性不足,但在高危SOT术后受者中应用,结合GM试验,可提高诊断的敏感性和特异性,GM和G试验联合检测,至少一项结果呈阳性时,检测的敏感性可提高70%~88%,特异性可提高84%~91%。因此,BALF的GM试验在条件允许时应尽量执行[22]。此外,在特定患者中,GM和G试验可能是有用的诊断工具,尤其在排除IFD或减少经验性抗真菌药物使用方面作用尤为突出[31]。
通过整合GM试验、LFD检测法以及G试验的不同优势,可以为SOT受者提供更全面、精准的IFD诊断策略,从而促进早期发现和治疗,进一步降低死亡风险。
在IFD的诊断中,PCR检测法因其高灵敏度和快速检测能力[35],已被欧洲癌症研究和治疗组织(European Organisation For Research And Treatment Of Cancer,EORTC)和真菌病研究组教育研究协会(Mycological Study Group for Education and Research Collaboration,MSGERC)推荐作为IFD的早期诊断方法[36]。特别是荧光定量PCR,对于临床标本中低丰度的真菌DNA,包括曲霉、肺孢子菌和念珠菌,展现了极佳的应用前景[36]。此外,联合其他生物标志物检测(如G/GM试验),PCR可提高IFD的诊断精度。有研究显示,BALF中GM检测和PCR检测诊断IA的敏感性分别为38%和44%,但联合BALF的GM检测与PCR检测时,诊断的敏感性提高至62.5%,特异性也高达95 %[37]。由此可见,临床中通过PCR与抗原检测的联合方法将有助于早期精准诊断,为早期抗真菌治疗提供了有力支持。
随着分子诊断技术的不断进展,mNGS也已被广泛的应用于临床,提供了一种高通量的病原体无偏倚检测方法[38]。通过对样本内的核酸进行高通量测序,可快速、高效、准确地识别各类病原体,显著提高SOT受者肺部感染检测的灵敏度和特异度[38,39]。尤其在使用BALF样本时,mNGS表现出较高的敏感度和特异度,其用于诊断SOT受者IFD的敏感度和特异度分别为72.2%和64.7 %,阳性预测值及阴性预测值分别为68.4%和68.8%[40]。此外,当BALF标本采集风险过高时,血浆游离DNA的mNGS提供了一种无创的诊断选择[35]。然而,其高灵敏度也带来了区分真正病原体与共生生物的挑战,需要通过灵敏度验证或交叉试验来确保诊断的准确性,避免不必要的过度治疗[35]。
尽管传统微生物学检测方法及mNGS技术在诊断突破性IFD时均存在一定的不足与局限性,但新型检测标志物和先进的检测技术正逐步展现出潜力,为提高IFD早期诊断的准确性开辟了新的道路,特别是血清或BALF中白细胞介素(IL)-6/IL-8作为新型免疫标志物,在曲霉感染的早期诊断中显示出极高的敏感性,Jenks等[41]报道,当BALF中的IL-8水平升高作为诊断侵袭性曲霉病的敏感性可达90%以上。此外,MALDI-TOF MS、基于阳离子共轭聚合物的荧光共振能量转移(cationic conjugated polymer-based fluorescence resonance energy transfer,CCPFRET)技术、呼出气流中释放的挥发性代谢物检测,都以其良好的优势为IFD的早期诊断提供多种选择。未来,亟待有更高敏感性和准确性、方便、快捷、价廉的诊断技术应用于临床工作。
鉴于SOT受者的免疫功能低下状态,一旦发生IFD,病情进展迅速,轻者影响受累器官或移植物功能,重者甚至威胁受者的生命;因此,适当的预防措施极为重要。除常规预防外,当SOT受者出现了某些特定情况时还需采取针对性的靶向抗真菌预防。SOT受者靶向抗真菌预防时,应根据移植器官的类型、可能的感染致病菌构成,选用与免疫抑制剂相互作用小、安全、高效、低毒的药物[22]。SOT高危受者靶向预防的药物包括棘白菌素类药物如卡泊芬净、米卡芬净,三唑类药物如氟康唑、伏立康唑、泊沙康唑、艾沙康唑,以及多烯类药物如两性霉素B (amphotericin B ,AMB)等。三唑类预防用药,对绝大多数曲霉有效,是一线推荐药物[42],包括伏立康唑、泊沙康唑等。棘白菌素类包括卡泊芬净、米卡芬净、阿尼芬净等,属于二线药物[43]。唑类抗真菌药中,SOT受者伏立康唑的肝毒性较常见。泊沙康唑和艾莎康唑抗菌谱更广,对接合菌有一定的活性,同时肝毒性更低。
针对疑似供体来源感染相关的IFD,及时且适当的预防措施十分必要。氟康唑可用于大多数假丝酵母菌属尿路感染的供者,但需要注意非白念珠菌对氟康唑的耐药率较高,高度怀疑丝状真菌感染时,可选择抗霉菌活性的三唑类药物(如伏立康唑、泊沙康唑、艾沙康唑等)或多烯类抗真菌药等。
在治疗SOT受者发生的IFD时,考虑到受者的免疫抑制状态和移植器官的特性是至关重要的,目前抗真菌药物包括多烯类、三唑类、棘白菌素类和氟胞嘧啶;其中三唑类药物因其广泛的应用而成为主流选择,包括氟康唑、伏立康唑、泊沙康唑、艾沙康唑等。初始治疗时,应依据SOT受者移植类型、结合临床表现及诊断结果,分析可能的致病菌,选择广谱、强效的抗真菌治疗方案;同时还应充分考虑用药的安全性、药物之间的相互作用、特殊情况下药物剂量的调整等。
考虑为念珠菌感染时,一般选择棘白菌素类药物治疗(卡泊芬净、米卡芬净、阿尼芬净等),但需要关注,光滑念珠菌对棘白菌素类药物的耐药率较高;疑似三唑类和棘白菌素类药物均耐药者,可使用AMB脂质制剂,但需考虑药物肾毒性等安全问题。若为耳念珠菌感染时,需在控制感染源的同时依据药物敏感性及感染部位选择选择适当药物,警惕多耐药耳念珠菌感染,必要时采用抗真菌药物联合治疗,可能对难治性耳念珠菌感染患者有一定作用[13]。
高度可疑侵袭性曲霉病时,应早期选择伏立康唑或艾沙康唑、泊沙康唑等治疗,也可以考虑AMB脂质制剂、尤其是既往有过唑类药品暴露史者。病情危重者,三唑类药物的初始用药建议选择静脉给药,病情稳定后可转换口服给药(如伏立康唑片、艾沙康唑胶囊和泊沙康唑片剂等)。但需要注意,对于肾功能不全者,由于环糊精赋形剂的存在,不能选择伏立康唑及泊沙康唑的静脉用药,只能选择艾沙康唑的静脉用药。此外,病情严重者(肺炎或播散性疾病)、单药初始治疗失败者,在保证伏立康唑或艾沙康唑有效浓度的基础上,可选择联合方案,如与AMB的脂质制剂或卡泊芬净联合。三唑类疗程的持续时间应根据临床和影像治疗反应决定,大部分病例至少需要12周的治疗时间。强烈建议根据受者的具体情况调整治疗方案,以确保既有效又安全地对抗IFD。
针对近年来不断增加的毛霉病在SOT受者中的发病率,结合手术和药物治疗的综合策略至关重要,早期诊断和及时开展有效治疗是降低病死率的关键。侵袭性毛霉病的治疗首先要积极处理基础疾病,包括控制血糖、纠正酸中毒、提高粒细胞水平、尽可能减少或停用糖皮质激素等免疫抑制剂、停用去铁胺等;同时在条件允许的情况下及早进行外科手术治疗。外科手术治疗主要适用于病灶局限的毛霉病感染,而广谱的抗真菌药物治疗,特别是AMB脂质制剂和三唑类药物,构成了药物治疗的基石。AMB脂质体(liposomal-Amphotericin B, LAMB )作为一线治疗选项,初始剂量应该予以足量(10 mg·kg–1·d–1 ),不再采用传统递增日剂量爬坡的给药方式。针对LAMB不可及或不耐受的受者,也可以选择AMB的脂质复合物(amphotericin B lipid complex)、硫酸酯胶质分散体或脱氧胆酸盐,其中,LABM及硫酸酯胶质分散体在我国已经上市,因此,包括脱氧胆酸盐在内的三种不同制剂的AMB均在我国可及。治疗初始2周或临床表现好转后,可转为泊沙康唑或艾莎康唑治疗[42],后者也适用于AMB治疗无效的情况。对于肾功能不全或无法耐受AMB的侵袭性毛霉病的治疗,建议初始艾沙康唑静脉给药,病情稳定后可转换口服给药艾沙康唑胶囊或泊沙康唑片剂[21]。对于难治性或危重症毛霉病,初始治疗可考虑采用两种或两种以上抗真菌药物联合治疗。
三唑类药物(伏立康唑、艾沙康唑、泊沙康唑)是目前治疗SOT受者IFD的常用药物,临床应用时需了解不同药物与其它药物间的相互作用、血药浓度达标率等,以保证药物应用的疗效及安全性。
SOT受者长期使用钙调磷酸酶抑制剂(calci-neurininhibitor,CNI)类药物和/或哺乳动物雷帕霉素靶蛋白(mammalian target of rapamycin,mTOR)抑制剂(西罗莫司或依维莫司),而三唑类药物常导致CNI类药物和/或mTOR抑制剂血药浓度显著升高、药物曲线下面积增大;因此,选择药物时须考虑三唑类药物与免疫抑制剂间的相互作用,同时依据血药浓度对药物剂量进行相应调整。值得关注的是,三唑类药物可导致mTOR抑制剂(西罗莫司)血药浓度显著提高9倍,因此两类药物禁止联合使用。新型三唑类药物(艾沙康唑)与CNI类药物和/或mTOR抑制剂间的相互作用显著低于伏立康唑,为SOT受者用药提供了更多选择(表4)。

三唑类药物与免疫抑制剂联合使用建议
三唑类药物与免疫抑制剂联合使用建议
| 抗真菌药物 | 环孢素A | 他克莫司 | 西罗莫司 |
|---|---|---|---|
| 伏立康唑 | 开始伏立康唑治疗时,环孢素A剂量减半 | 开始伏立康唑治疗时,他克莫司剂量减至1/3 | 禁止联合使用 |
| 泊沙康唑 | 开始泊沙康唑治疗时,环孢素A剂量减至3/4 | 开始泊沙康唑治疗时,他克莫司剂量减至1/3 | 禁止联合使用 |
| 艾沙康唑 | 监测环孢素A血药浓度,并适当调整剂量 | 开始艾沙康唑治疗时,他克莫司剂量减少21% | 谨慎使用 |
注:本表内容引自参考文献[42-44]
SOT受者选择三唑类药物时还需考虑药物的体内浓度达标率、肝毒性等不良反应发生风险等。由于药代动力学的高度变化、已知的药物相互作用以及暴露和应答间的既定关系,多数三唑类药物需要进行治疗药物浓度监测(therapeutic drug monitoring,TDM)(表5)[44]。其中,伏立康唑需常规行TDM监测管理,主要考虑伏立康唑在不同个体中的药代动力学变异性较大,且有狭窄的治疗窗口,这意味着维持有效且安全的血药浓度范围相对较困难。由于个体间药物代谢的基因多态性影响,伏立康唑片血药浓度个体间的差异非常大[45]。因此TDM有助于优化伏立康唑的剂量,确保药物浓度足以抑制或杀死真菌,同时最小化毒副作用。此外,伏立康唑既是细胞色素P450酶的底物、又是其抑制剂,与其他药物合并用药时,相互作用复杂,药物相关不良反应发生可能性很高。因此,通过TDM医生能够调整剂量以适应个体需要,从而提高治疗的效果和安全性。伏立康唑的药物相互作用、特定因素(如肝功能状态)以及耐药性的发展也促使了TDM的必要性[46]。针对泊沙康唑,由于该药在不同个体中的药代动力学变异性较大,且也有狭窄的治疗窗,另外,其口服混悬剂的生物利用度低,因此,需要常规进行TDM。针对艾莎康唑,其相对传统的三唑类药物的主要优势在于抗菌谱广且对肝肾功能不全者无需调整药物剂量,目前指南并未建议对该药进行常规TDM,但是,该药物在SOT受者中的疗效及对CNI类药物浓度的影响,目前尚缺乏大型的研究数据及临床用药经验。

三唑类药物的TDM管理建议
三唑类药物的TDM管理建议
| 抗真菌药物 | TDM建议 |
|---|---|
| 伏立康唑 | 所有患者需常规行TDM管理;治疗目标谷浓度为1~5.5 mg/L;或1~4 mg/L,以避免毒性;毒性谷浓度为4~5.5 mg/L |
| 泊沙康唑 | 建议行TDM;需行TDM管理的高危人群:吸收不良(如胃肠道功能障碍)、耐药/难治性感染、毒性反应(如假性醛固酮增多症体征、肝损伤)、生理异常、药物相互作用等;治疗目标谷浓度为≥1~1.5 mg/L;毒性谷浓度为>3~3.75 mg/L |
| 艾沙康唑 | 不建议常规行TDM;需行TDM管理的高危人群:存在药物相互作用、危重疾病、极端体重、难治性/耐药感染等;治疗目标谷浓度尚不明确,一般建议≥1~2 mg/L;毒性谷浓度为4.6~5.1 mg/L |
注:TDM为治疗药物浓度监测
多种新型抗真菌药物的研发为未来临床提供了更多选择。包括与现有药物作用靶点类似或对现有药物进行修饰后的药物,如新型三唑类药物艾迪康唑(Iodiconazole )、阿巴康唑(Albaconazole)和超强生物利用度-伊曲康唑(SUBA-Itraconazole ,SUBA-ICZ ),多烯类药物BSG005、Amphotericin B Cochleate和棘白菌素类药物雷扎芬净等。此外,还有构建分子靶向新结构的药物,例如四唑类药物,其靶点与三唑类药物相同,以及新型结构的棘白菌素类药物艾瑞芬净(Ibrexafungrep )。针对全新靶点的在研新药还有T-2307、Fosmanogepix、奥洛罗芬(Olorofim )等[47,48]。目前SUBA-ICZ已被批准用于曲霉病、组织胞浆菌病及芽孢菌病的治疗,雷扎芬净已被批准用于治疗念珠菌血症和侵袭性念珠菌病,Ibrexa-fungerp被批准用于阴道念珠菌病的治疗,Olorofim用于治疗侵袭性曲霉病、丝孢菌属感染、赛多孢子菌感染、球孢子菌病治疗。
如何通过免疫途径对抗IFD已成为研究的热点。新的研究表明,来自Crf1、Gel1和Pmp20的重叠肽混合物的组合诱导了与真菌裂解物观察到的类似的真菌特异性T淋巴细胞反应[49]。通过一种真菌物种的抗原刺激而产生的T淋巴细胞与其他真菌发生交叉反应,提高了过继免疫疗法用来预防或治疗播散性IFD的可能性。此外,通过IFD发病机制中免疫调节作用,可以实现对IFD高危者的个性化风险评估,同时通过调节抗真菌反应以保护IFD对组织的损伤[50]。目前缺乏体内过继免疫疗法的安全性和有效性,需要进一步的临床试验为治疗提供进一步的验证。
综上所述,IFD对SOT受者而言不仅是一大挑战,也是影响其生存与预后的关键因素。IFD是SOT受者死亡的重要原因。SOT受者的IFD具有其特殊性,其危险因素、发病时间、临床特点和救治措施均与普通人群存在区别。临床中,需要了解本地SOT受者IFD的流行病学特点、熟悉IFD的诊断方法、掌握不同抗真菌药物的特性,从而达到精准治疗的目的,以进一步改善SOT受者预后。深入探讨SOT受者IFD的病因、流行病学特征、诊断难点以及治疗原则和策略,对于揭示IFD独特的临床面貌和管理的复杂性有着重要作用。未来,随着新型诊断技术和治疗策略的不断发展,SOT受者IFD的防治管理将朝着更为高效、个性化的方向发展。未来任重且道远,期待更多诊治方法有待深入研究与探讨。





















