
本文报道1例下咽神经内分泌癌与鳞状细胞癌碰撞癌病例,患者女,58岁,因“咽痛20 d”就诊,入院后全麻下行左侧梨状窝肿瘤切除术+双侧颈部淋巴清扫术。术后梨状窝肿瘤病理示:小细胞神经内分泌癌(约占90%),非角化性鳞状细胞癌(约占10%)。诊断为:下咽小细胞神经内分泌癌并鳞状细胞癌伴颈部淋巴结转移(T2N1M0)。术后患者行同步放化疗,化疗仅行1周期,术后随访12个月,未见肿瘤复发及转移。
版权归中华医学会所有。
未经授权,不得转载、摘编本刊文章,不得使用本刊的版式设计。
除非特别声明,本刊刊出的所有文章不代表中华医学会和本刊编委会的观点。
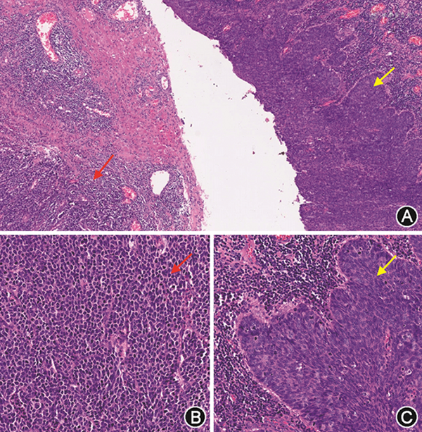
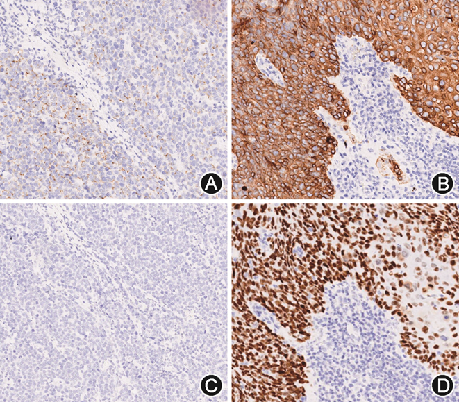
患者女,58岁,主诉为咽痛20 d,于2023年5月1日就诊于潍坊市人民医院耳鼻咽喉科。门诊纤维喉镜示:左侧梨状窝菜花样肿物(图1)。颈部强化CT示:左侧梨状窝可见软组织影,左咽侧壁增厚,可见明显环形强化,与周围界限不清(图2)。纤维喉镜下肿物病理活检示:局部鳞状上皮轻-中度异型增生。患者既往高血压病史2年,规律口服“硝苯地平缓释片20 mg,每日1次”,血压控制可。否认其他疾病及家族肿瘤病史。患者于2023年5月5日全麻下行支撑喉镜下咽肿物活组织检查术,术中取部分肿物送快速冰冻病理活检示,局部鳞状上皮高级别上皮内瘤变(鳞状细胞原位癌),局部可疑浸润。遂行左侧梨状窝肿瘤切除术+双侧颈部Ⅱ~Ⅳ区淋巴清扫术。术后肿瘤病理示(图3、4):小细胞神经内分泌癌(约占90%),非角化性鳞状细胞癌(简称鳞癌,约占10%),表面可见鳞状细胞原位癌;送检淋巴结内见神经内分泌癌转移(左侧1/21,右侧0/18);送检肿瘤切缘均净。免疫组化示:CD56(神经内分泌癌+,鳞癌-),CK5/6(神经内分泌癌-,鳞癌+),Syn(神经内分泌癌+,鳞癌-),Ki-67(index神经内分泌癌90%,鳞癌10%),CKpan(神经内分泌癌弱+,鳞癌+),P40(神经内分泌癌-,鳞癌+)。患者诊断为:下咽小细胞神经内分泌癌并鳞癌伴颈部淋巴结转移(T2N1M0)。术后患者行同步放化疗,计划大体肿瘤体积的剂量为69.96 Gy/33次(2.12 Gy/次),计划靶区1的剂量为60.06 Gy/33次(1.82 Gy/次),计划靶区2的剂量为50.96 Gy/28次(1.82 Gy/次);化疗方案为每日顺铂50 mg静脉滴入,连用3 d。因患者不能耐受化疗药物不良反应,未行第2周期化疗,未行靶向药物治疗。随访12个月,未见复发及转移。






神经内分泌癌(neuroendocrine carcinoma,NEC)是一种来源于黏膜上皮和黏膜下腺体上皮的神经内分泌细胞恶性肿瘤,通常发生在肺、胃肠道、胰腺、子宫颈,头颈部原发性NEC临床少见,可见于喉、鼻窦和唾液腺[1]。喉是头颈部原发性NEC最常见的部位,文献报道其在喉部恶性肿瘤中的占比不到1%[2]。下咽部的黏膜为非角化复层鳞状上皮,下咽部恶性肿瘤以鳞癌为主,原发小细胞NEC较少。1980年,Ferlito和Polidoro[3]报道了1例下咽原发性NEC病例。目前国外关于下咽小细胞NEC合并鳞癌的研究多为个案报道,国内未见报道,其发病率尚无统计,对其诊断及治疗的信息极为有限。
碰撞瘤是指发生于同一部位、由两种组织来源、组织之间相互浸润且无相互移行的肿瘤,发生率较低,临床相对罕见[4]。碰撞瘤成分可为良性或恶性或良恶性共存,不同部位的碰撞瘤病理类型是不一致的。目前文献报道的碰撞瘤主要发生于食管、肝脏、肺、子宫、直肠肛门交界和膀胱等处[5, 6, 7]。大部分头颈部碰撞瘤发生在甲状腺,下咽和喉部少见[4]。在喉部,目前文献报道有鳞癌与黑色素瘤[8]、甲状腺癌[9]、腺样囊性癌及多形性腺瘤产生的碰撞癌[10],原发性喉部NEC和鳞癌的合并较少[11],在喉部小细胞癌中不到10%[12]。然而Nakahira等[13]统计国外文献发现,下咽NEC患者中约超一半的肿瘤中含有NEC和鳞癌的混合成分,这个比例远超过喉NEC。相比于喉原发NEC,为什么发病率更低的下咽NEC更容易与鳞癌碰撞,这值得深入研究。碰撞瘤的发病机制尚不明确,广为接受的理论是碰撞瘤具有肿瘤异质性,这意味着它们是由两种不同的肿瘤细胞克隆所致[14]。由于碰撞瘤的偶然性和个体差异性,应引起临床重视和报道。
小细胞NEC具有恶性程度高、侵袭性强、局部进展迅速、早期区域和远处转移率高等特点[15]。Kim等[16]认为碰撞瘤相对于单一肿瘤而言更有浸润性。Medeiros等[17]认为对于碰撞瘤,需对两种病变中更具侵袭性的病变进行及时的管理和治疗,有利于改善预后。也可以说,预后通常由更具侵袭性的肿瘤决定[18]。另一方面,一些学者认为碰撞瘤预后不等同于两种病变的预后,他们认为,侵袭性较低的肿瘤起到了屏障的作用,阻止了侵袭性更强的病变进展[18]。
下咽NEC的碰撞癌发病率极低,关于其病因、治疗方案尚需进一步探索,喉是头颈部NEC最常见的发病部位,故其治疗方案及临床上对碰撞癌的研究对于下咽NEC碰撞癌的治疗有一定的参考价值。van der Laan等[19]关于喉NEC的meta分析发现化疗可以提高患者生存期,手术+放疗+化疗的综合治疗比单纯手术、放疗或者两者结合的治疗效果好、生存期长。但也有研究表明化疗提供的益处非常有限[13]。本例患者因不能耐受化疗药物不良反应,只进行了1周期的化疗。
下咽鳞癌和NEC成分的碰撞癌,其临床表现及影像学表现均无特异性,即使术前进行活检,由于局部活检钳取的组织量小和定位的准确性有限,很难同时获得两种组织成分,并且发生碰撞的两种形态学成分的组织比例也存在着差异,增加了取检难度,所以误诊率非常高。为了减少该病的误诊率和漏诊率,首先要提高临床医师及病理医师对下咽碰撞癌的认知,其次术前应进行肿瘤的多点取检,必要时术前术后均行免疫组织化学染色加以鉴别。另外,鉴于其远处转移率高,死亡通常是由转移性疾病引起,而非局部复发引起[13]。因此,对于确诊下咽NEC的碰撞癌患者除了常规行头颈部CT、MR等检查外,术前及术后随访建议完善全身PET,排除远处转移。最后免疫检查点抑制剂有望改善小细胞癌患者的预后[20]。下咽NEC碰撞癌的诊疗方案仍需依靠更多的临床资料及未来的进一步研究。
周涛, 陈尧, 苑铁君, 等. 下咽原发性小细胞神经内分泌癌和鳞状细胞癌碰撞癌1例[J]. 中华耳鼻咽喉头颈外科杂志, 2024, 59(7): 766-768. DOI: 10.3760/cma.j.cn115330-20240112-00023.
所有作者声明无利益冲突





















