
分析IgG4相关性疾病的临床特征。
回顾分析2011年12月至2015年1月北京医院确诊的14例IgG4相关性疾病患者的临床表现、影像和病理学资料。
14例患者中男、女各7例,年龄(64.3±10.0)岁。10例存在≥2个器官受累,受累器官包括胰腺10例次,胆管和涎腺各5例次,肺4例次,泪腺2例次。14例患者中5例血清IgG水平升高,14例血清IgG4水平均升高,7例血嗜酸粒细胞绝对值升高,12例检查IgE的患者中9例升高。14例患者预后均良好,其中有13例应用糖皮质激素治疗,治疗后临床症状、影像学表现明显好转,IgG4水平降低,但仅有2例降至正常。
IgG4相关性疾病临床表现多样,多器官受累常见。血IgG、IgE及嗜酸粒细胞升高可作为该疾病的诊断线索。
版权归中华医学会所有。
未经授权,不得转载、摘编本刊文章,不得使用本刊的版式设计。
除非特别声明,本刊刊出的所有文章不代表中华医学会和本刊编委会的观点。
IgG4相关性疾病是一种新近被认识的炎症性纤维化性疾病,是一种新的全身性的异质性疾病,多以单个或多个器官肿大起病,有特征性病理表现,伴或不伴血清IgG4升高[1]。该病起病多隐袭,加之类似于结节病,几乎可累及全身各个器官,给诊断带来很大困难。关于IgG4相关性疾病的诊断目前被广泛认可和采用的是2011年日本综合诊断标准[2]。胰腺是IgG4相关性疾病最常累及的脏器,而1型自身免疫性胰腺炎是该病累及胰腺的表现形式[3]。现对IgG4相关性疾病患者临床特征分析如下。
以2011年IgG4相关性疾病的综合分类标准[2]和2009年自身免疫性胰腺炎管理指南[3]为诊断标准,选取2011年12月至2015年1月北京医院确诊的IgG4相关性疾病且临床资料完整的患者14例。
整理和总结患者的一般资料、临床特征、实验室检查、影像学、病理学、治疗及随访资料并进行分析。
14例患者中男、女各7例,年龄48~80岁,平均(64.3±10.0)岁,其中9例年龄≥60岁。首发症状以消化系统症状为主。黄疸和(或)腹痛起病9例,咳嗽和(或)活动后气短起病2例,颌下肿物起病3例。首诊科室分布在消化内科、呼吸内科、内分泌科、普外科、口腔科和风湿免疫科。存在支气管哮喘、过敏性鼻炎和湿疹等变态反应性疾病患者4例。单器官受累4例,≥2个器官受累10例。受累最多的器官是胰腺(10例),其次为涎腺和胆系(各5例)、肺部(4例)、泪腺(2例)(表1)。

14例IgG4相关性疾病患者的首发表现及诊断方法
14例IgG4相关性疾病患者的首发表现及诊断方法
| 受累器官 | 例数 | 首发表现 | 诊断方法 | |
|---|---|---|---|---|
| 单器官受累 | ||||
| 胰腺 | 2 | 黄疸/腹痛/腹胀 | 腹部PET–CT/MRI+血IgG4升高+对糖皮质激素治疗反应 | |
| 涎腺 | 1 | 颌下区肿物 | 涎腺病理+血清学+糖皮质激素治疗反应 | |
| 肺部 | 1 | 喘息,活动耐力下降 | 肺病理+影像学+血清学 | |
| ≥2个器官受累 | ||||
| 胰腺+胆系 | 5 | 黄疸/腹痛/腹胀 | 腹部CT/MRI+血IgG4升高+对糖皮质激素治疗反应(其中2例+胆系病理) | |
| 涎腺+泪腺 | 1 | 颌下区肿物、眶周肿胀 | 涎腺病理+影像学+血清学 | |
| 肺+胰腺 | 1 | 腹痛 | 腹部MRI+血IgG4升高+对糖皮质激素治疗反应 | |
| 肺部+涎腺 | 1 | 咳嗽、咳痰、喘息 | 涎腺病理+影像学+血清学 | |
| 胰腺+涎腺+泪腺 | 1 | 颌下腺、泪腺肿大 | 腹部MRI+血IgG4升高+对糖皮质激素治疗反应 | |
| 胰腺+肺部+涎腺 | 1 | 黄疸/腹痛 | 肺病理+影像学+血清学 | |
注:PET:正电子发射计算机断层显像
14例患者中5例血清IgG升高,IgG4均升高(1 572~22 000 mg/L),血IgG4/IgG比值均值为(0.40±0.17),其中多器官受累者为(0.44±0.12),单器官受累者为(0.30±0.27)。12例查血清肿瘤标志物(包括CA199和CEA),4例CA199升高者均为胰腺受累(表2)。7例患者外周血嗜酸粒细胞升高,多见于存在过敏史的患者中,且多存在病理组织嗜酸粒细胞浸润(表3)。

14例IgG4相关性疾病患者的实验室检查结果
14例IgG4相关性疾病患者的实验室检查结果
| 项目 | 例数比 | |
|---|---|---|
| 血IgG>1 560 mg/L | 5/14 | |
| 血IgG4>1 400 mg/L | 14/14 | |
| 血嗜酸粒细胞>0.5×109/L | 7/14 | |
| 血IgE>150 U/ml | 9/12b | |
| 红细胞沉降率异常a | 6/13b | |
| C反应蛋白>8 mg/L | 6/12b | |
| 补体异常(C3<850 mg/L或C4<120 mg/L) | 8/12b | |
| 类风湿因子>20 U/ml | 4/12b | |
| 抗核抗体阳性 | 4/12b | |
| 肿瘤标志物升高(CA199/CEA) | 5/12b |
注:a:是指男性>15 mm/1 h,女性>20 mm/1 h;b:分母为实际检查例数

14例IgG4相关性疾病患者外周血嗜酸粒细胞正常与升高者的临床与实验室检查比较
14例IgG4相关性疾病患者外周血嗜酸粒细胞正常与升高者的临床与实验室检查比较
| 项目 | 血嗜酸粒细胞升高(7例) | 血嗜酸粒细胞正常(7例) |
|---|---|---|
| 性别(男/女,例数比) | 4/3 | 3/4 |
年龄(岁, ±s) | 63.1±8.9 | 65.4±10.9 |
| 过敏性疾病史(例数比) | 3/7 | 1/7 |
| 药物过敏史(例数比) | 2/7 | 1/7 |
| 血IgE>150 U/ml(例数比) | 5/6a | 4/6a |
| 血IgG>1 560 mg/L(例数比) | 1/7 | 4/7 |
血IgG4(mg/L, ±s) | 11 135±7 217 | 9 816±5 821 |
| 血IgG4(mg/L,中位数) | 11 810 | 12 200 |
| 病理组织大量嗜酸细胞浸润(例数比) | 3/4a | 0/3a |
注:a:分母为实际检查例数
14例患者中10例累及胰腺,腹部增强CT及MRI均显示典型的自身免疫性胰腺炎表现:胰腺弥漫性肿大,表面分叶状结构消失,胰腺在T1WI上信号弥漫均匀减低,T2WI上信号弥漫均匀性增高;灌注扫描显示血流灌注减低;胰腺周围脂肪间隙清晰;胰腺外周可见包壳样结构,在T1WI上呈等信号,在T2WI上呈低信号,延迟强化;胆管狭窄并管壁增厚,均匀强化。4例肺部影像学异常:3例为两肺多发斑片实变影,1例表现为肺内弥漫沿支气管血管束分布的条索及斑片影;4例均有肺门纵隔淋巴结肿大,1例合并胸腔积液。
7例患者进行了病理学检查,其中肺脏2例,涎腺3例,胆管2例。大体标本5例呈占位型(肿瘤样型)表现,2例呈弥漫浸润型改变。不同部位病变病理形态有相似性,有以下特点:(1)病灶中大量淋巴细胞、浆细胞浸润,有淋巴滤泡形成,3例伴明显的嗜酸粒细胞浸润;(2)原组织结构破坏,伴有不同程度的编织状纤维化;(3)IgG4阳性的浆细胞>20个/高倍视野,IgG4/IgG>40%;(4)5例可见闭塞性静脉炎;(5)未见坏死性血管炎、淋巴瘤等相应的病理改变。
14例患者预后均较好。其中13例接受糖皮质激素治疗,药物起始剂量泼尼松30~45 mg/d(或同等剂量的其他糖皮质激素),4例合并使用免疫抑制剂。治疗后患者临床症状和影像学均好转。1例在泼尼松治疗1年5 mg/d维持治疗时复发,泼尼松再次加量后好转。1例在泼尼松治疗14个月3.75 mg/d维持治疗时出现其他脏器受累,泼尼松再次加量至15 mg/d并加用免疫抑制剂霉酚酸酯(500 mg/d)3个月后好转。13例药物治疗的患者10例随诊中复查了血IgG和IgG4水平,均较前下降,但仅2例血IgG4水平降至正常范围。1例累及胰腺的患者,治疗3个月后的血IgG4从22 000 mg/L降至1 840 mg/L,胰腺头部肿块在治疗7个月后完全消失,但血清IgG4水平升至7 910 mg/L。
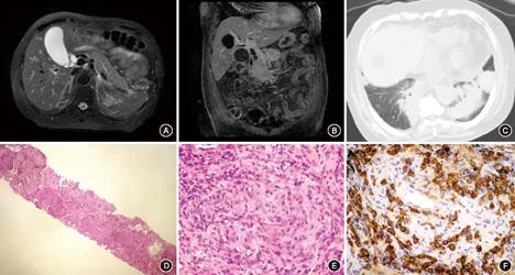
1例典型病例的影像学及病理学图像见图1。该患者男,73岁。以黄疸、血糖升高2周起病,同时伴纳差及右下腹痛,2012年5月于我院消化科诊断IgG4相关性疾病,给予泼尼松30 mg/d起始治疗后15个月减至3.75 mg/d。治疗14个月时B超双侧颌下腺弥漫性病变,15个月时出现咳嗽、咳痰伴活动后气短症状。腹部(2012年5月15日)及胸部(2013年8月22日)影像学资料见图1A,图1B,图1C。2013年8月22日给予右下肺穿刺,病理见图1D,图1E,图1F。建议患者调整治疗方案,患者未同意,自动出院。于2013年8月底自行将口服泼尼松加至15 mg/d。2014年4月因血肌酐持续升高就诊,考虑肾脏受累可能性大,加用免疫抑制剂霉酚酸酯500 mg/d,同时泼尼松加至20 mg/d,3个月后泼尼松逐渐减量,至7.5 mg/d后更换为甲强龙片6 mg/d维持至今。临床症状缓解,IgG4较前下降但未降至正常水平。


IgG4相关性疾病多见于老年人,多数患者年龄超过50岁[4],本组14例患者中9例≥60岁。胰腺是IgG4相关性疾病最常累及的器官,1型自身免疫性胰腺炎是其累及胰腺的表现形式,具有重要诊断价值,而2型自身免疫性胰腺炎与其无关[5]。2009年发表自身免疫性胰腺炎管理指南[3]旨在鉴别1型和2型自身免疫性胰腺炎。本组累及胰腺的患者采用了此标准。
血清IgG4水平升高是目前被认为是确诊IgG4相关性疾病的必要条件之一,郑可等[6]报道的8例IgG4相关性疾病突出的特点为血清lgG、IgG4明显升高及组织学上丰富的浆细胞、淋巴细胞浸润。但最新研究显示血清IgG4水平升高不见于所有患者[7],提示血清IgG4不是一个准确的生物标志物。较血清IgG4正常患者,IgG4升高者是一个更具"炎症性"的亚型,可能存在多器官受累,更高的炎症标志物和更低的补体水平[7]。Kamisawa等[8]报道40%的IgG4相关性疾病患者嗜酸粒细胞升高。本组14例患者中7例外周血嗜酸粒细胞升高,升高者病理组织中多可见大量嗜酸粒细胞浸润。Della Torre等[9]研究提示外周血嗜酸粒细胞及IgE水平升高可能是IgG4相关性疾病的固有性质,而非过敏因素引起。IgG4相关性疾病中嗜酸粒细胞增多的机制及其与IgG、IgG4和IgE之间的关系尚不明确。现认为IgG4是一种依赖辅助T细胞2(Th2)的亚型[10],影响IgG4合成的Th2细胞因子,如白细胞介素(IL)4、5、10、13及转化生长因子β等可导致嗜酸粒细胞、IgG4、IgE升高,而IL–12及IL–21则可改变IgG4和IgE产物之间的平衡,可能是IgG4相关性疾病患者中嗜酸粒细胞和IgE升高的原因[5]。
IgG4相关性疾病的治疗,尚无随机试验结果,几点研究结论可供借鉴:并非所有IgG4相关性疾病均需治疗;重要脏器受累是积极治疗的指征;病变累及范围与是否治疗的关系尚不明确[11]。糖皮质激素是IgG4相关性疾病的一线治疗药物[12]。多数患者治疗后血清IgG4水平明显下降,但有些始终不能降至正常范围[13]。处于缓解期的患者,血清IgG4水平仍持续升高,约30%复发[14]。血IgG4水平可否作为患者随诊、停药和复发的预测指标,需进一步研究。
作为新世纪新命名的一种全身性疾病,我们对IgG4相关性疾病的认识还很欠缺,病因和发病机制不明,IgG4在疾病的发生、发展中担当何种角色也不清楚。IgG4相关性疾病非罕见病,对于血IgG、IgE和嗜酸粒细胞升高的患者,IgG4相关性疾病应作为需鉴别诊断的疾病之一。

±s)
±s)



















