
版权归中华医学会所有。
未经授权,不得转载、摘编本刊文章,不得使用本刊的版式设计。
除非特别声明,本刊刊出的所有文章不代表中华医学会和本刊编委会的观点。
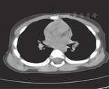
患儿,男,20个月,咳喘1 d,加重半天入院。查体:T 36.5 ℃,P 120次/min,R 56次/min,神志清楚,呼吸急促,口周微绀,可见鼻扇及三凹征,双侧胸廓对称,呼吸运动一致,听诊双肺呼吸音对称,闻及大量喘鸣音,叩诊呈清音。心音有力,律齐,心率120次/min,各瓣膜区未闻及病理性杂音。既往史:自生后7个月开始有4次反复咳喘史,胸片均提示支气管肺炎,给予抗感染及对症治疗后病情有所好转。此次入院辅助检查:胸片提示左肺可见少许斑片影,血气分析:pH 7.35,PCO2 48 mmHg(1 mmHg=0.133 kPa),PO2 40 mmHg,Lac 0.3 mmol/L,BE -5 mmol/L,K+ 3.6 mmol/L,Ca2+ 1.18 mmol/L,GLU 4.3 mmol/L,Na+ 143 mmol/L。初步诊断:肺炎,Ⅰ型呼吸衰竭。经吸氧,抗感染,保持气道通畅,平喘化痰等对症治疗后效果不佳,咳喘重,故进一步完善多层螺旋CT检查(图1、图2),提示右上叶支气管下方见异常分支支气管,供应右上叶肺段,余左右支气管管腔通畅,未见狭窄及阻塞。临床诊断:气管性支气管(额外型)。




气管性支气管为罕见的气管支气管发育异常疾病,可无临床症状,也有局部反复感染,持续咳嗽,呼吸困难,喘息,咯血等症状,呈现反复右上肺炎,肺不张,肺气肿或者并发其他气管软化、狭窄等气道异常等。1785年Sandifort首先提出气管性支气管是起源于气管的右肺上叶支气管。后来将此定义演变为气管性支气管是起源于中央气道(包括气管、主支气管、中央段支气管及中、下叶支气管)并且走向相应侧肺上叶的一系列支气管异常[1]。发病机制尚不明确,考虑为胚胎时期气道发育异常。
根据气管性支气管是否移位分为两型,即移位型和额外型。移位型较常见,是指原正常起源气管隆突的上叶支气管的叶或段移位至气管。额外型少见,是指原支气管开口及其分支正常,在气管壁额外起源一气管性支气管,多余的气管性支气管可以供应肺实质,或为盲端形成气管憩室[2]。气管性支气管常伴其他先天异常如先天性膈疝、气管支气管狭窄、支气管软化等。
多层螺旋CT操作快,无创伤及痛苦,没有并发症,其呼吸道的三维重建成为诊断气管性支气管最佳检查方法,文献报道其检出率明显高于支气管内镜[3],它可以明确诊断及分型,还可以进一步了解气管狭窄的位置和程度,为临床诊断提供了依据。本文报道的患儿属于额外型,未发现其他先天发育异常。
治疗主要取决于症状的严重程度,大部分患儿可采取保守药物治疗,如有反复或持续右上肺肺炎,肺不张,肺气肿而药物治疗效果不佳时可给予支气管镜灌洗,甚至行手术切除异常的支气管及其肺叶和气管扩张成形等[4,5]。
本例患儿为婴儿期起病,表现为反复咳嗽、喘息,虽有胸片并没有考虑畸形,此次患儿咳喘明显,且较前几次病情加重经治疗效果不佳,故到本次住院做了多层螺旋CT检查才确定诊断,因此提醒我们对于那些反复咳喘,反复右上肺炎,肺不张的患儿经常规治疗无明显改善者,应特别注意鉴别并排除其他气道狭窄的疾病,尽早完善气道三维重建,明确诊断,以便指导进一步的治疗。
























