
了解儿童少见类型脾脓肿的起病情况、临床表现及治疗特点。
回顾性分析湖南省儿童医院确诊的2例脾脓肿患儿的临床资料。
两例患儿中,1例为男性小婴儿(2个月),因发热伴气促10余天,咳嗽4 d,呕吐2 d,腹胀1 d入院,入院后明确有脓毒症及不典型化脓性脑膜炎,在完成了治疗疗程且一般情况好转时,发现外周血白细胞明显升高,并出现肝功能损伤,B超及CT检查提示脾脓肿,经积极抗感染治疗后患儿好转出院;另1例为7岁3个月男孩,临床表现为反复发热、龟头脓疱、双下肢脓疱,病程达2月余,在当地医院多次抗炎治疗,体温稳定后又反复,且不断出现新的皮肤脓疱,B超及CT均支持脾脓肿诊断,入院后先予积极抗感染治疗,未能控制病情,最后经脾切除治疗后好转出院。
儿童脾脓肿临床表现各异,对于反复发热、长时间外周血白细胞高、治疗过程中出现病情反复,均需高度怀疑脾脓肿。B超可早期诊断。儿科患者以保守治疗为主,小婴儿抗感染疗程可适当延长,必要时行脾切除。
版权归中华医学会所有。
未经授权,不得转载、摘编本刊文章,不得使用本刊的版式设计。
除非特别声明,本刊刊出的所有文章不代表中华医学会和本刊编委会的观点。
脾脓肿是一种少见疾病,儿童脾脓肿更为罕见。因其临床表现多不典型,且缺乏特异性症状,早期诊断不易,极易误诊为脓毒症。晚期出现各种严重并发症,脾脓肿的病情反被掩盖,病死率高,有报道称未经抗生素治疗的脾脓肿病死率达100%[1]。治疗手段主要有以抗生素治疗为主的保守治疗、脓肿切开引流及脾切除。因脾脏是血液中微生物的高选过滤器和吞噬活动中心,具有抵抗局部感染的免疫能力,在儿童脾脓肿患者中,脾切除存在一定的局限性。本院2012至2013年收治2例脾脓肿病例,1例为小婴儿(2个月),在积极治疗期间且一般情况好转时再发脾脓肿,1例以全身皮肤溃烂为主要表现,均有一定特殊性,现将诊治情况报道如下。
2个月男婴,因"发热伴气促10余天,咳嗽4 d,呕吐2 d,腹胀1 d"入院。患儿发热,以中高度热为主,体温最高时达40 ℃,无抽搐,无明显热型规律,伴有呼吸急促,阵发性单声咳嗽,非喷射性呕吐及腹胀。当地医院考虑"肺炎",给予"头孢匹胺、苄唑西林、氨溴索"等治疗后无好转。患儿既往史、个人史及家族史均无特殊。入院查体:T 37.4 ℃(腋温),P 135次/min,R 36次/min,体重4.5 kg,精神差,咽充血,颈软,呼吸规整,双肺呼吸音粗,可闻及中细湿啰音。腹膨隆,稍胀,肝脾未触及,肠鸣音减弱。四肢肌张力正常。
辅助检查:血常规:WBC 55.59×109/L;N 0.386;L 0.450;粪常规:镜检RBC 1~3个/高倍视野,WBC 2~7个/高倍视野;CRP 69.72 mg/L,红细胞沉降率50 mm/h,降钙素原2.61 ng/ml,谷丙转氨酶59.02 U/L;谷草转氨酶84.09 U/L;脑脊液总蛋白0.58 g/L;乳酸脱氢酶30.5 U/L;脑脊液常规:脑脊液细胞总数48×106/L,WBC 25×106/L,潘氏试验(±),淋巴细胞免疫分型CD4 37.8%;血培养检查结果示:洋葱伯克霍尔德菌,对哌拉西林他唑巴坦、头孢他啶、头孢吡肟敏感;入院时查腹部B超未见明显异常。
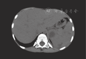
入院后予美罗培南10 mg/(kg·次),每8小时1次,治疗4 d后体温逐渐正常,检查结果发现患儿同时存在脓毒症及不典型化脓性脑膜炎,入院第6天加用哌拉西林他唑巴坦共治疗10 d,患儿体温稳定,复查PCT、CRP等炎症指标均有所下降,复查血培养阴性,并完成化脓性脑膜炎治疗疗程,骨髓穿刺排除血液系统疾病,但多次复查血常规均提示WBC明显升高,(23~27)×109/L,逐渐出现肝脏功能损伤,入院第29天复查谷丙转氨酶398.05 U/L,谷草转氨酶602.47 U/L。复查腹部彩超:肝脾大,脾脏多发低回声区:脓肿(?),见图1。CT示脾脏内多发结节灶,似见环形强化,肝脾稍大,考虑为多发性脓肿(图2)。因考虑患儿年龄小,脾脏脓肿散在分布,穿刺及手术治疗风险大,患儿体温稳定,一般情况好,体重有所增加,继续保守治疗,于入院第50天停用美罗培南,改用哌拉西林他唑巴坦。入院第53天患儿再次发热,复查血常规WBC升高至36.18×109/L,N 0.465,再次使用美罗培南、伏立康唑预防真菌感染,并予丙种球蛋白、胸腺肽加强支持治疗,患儿一直发热,咳嗽加重,美罗培南再次使用8 d后,根据痰培养(嗜麦芽糖寡养单胞菌)及药敏结果改用哌拉西林他唑巴坦,复查腹部B超提示脾脏脓肿有所好转,患儿发热、咳嗽无好转,复查胸部CT提示胸腔积液,外周血WBC继续升高,达45.54×109/L、N 0.565,入院第72天起加用万古霉素,经3次抽胸水、抗感染治疗(痰培养:阴沟肠杆菌,对头孢吡肟敏感)及纤支镜灌洗,第97天起患儿体温逐渐稳定,复查腹部B超脾脓肿消退,WBC(23~29)×109/L,临床症状基本消退,1个月后复查腹部B超未见脓肿复发。




患儿,男,7岁3个月,因"反复发热、龟头脓疱2月余、双下肢脓疱半个月余"入院。患儿无明显诱因下出现发热,中高热为主,最高体温39 ℃,无明显热型规律,伴吐口水、干呕,左腹有轻度疼痛,可忍受,龟头发现有脓疱,无畏寒寒战,无抽搐,无咳嗽,无呕吐、腹泻。在当地诊所予消炎治疗后(具体不详),患儿脓疱消失,但仍有发热,当地县人民医院查骨髓及血培养提示有细菌感染,予抗感染治疗(具体不详)半个月后患儿未再发热,体温稳定3 d后出院,出院后未再继续治疗。1个月前患儿再次出现发热,情况大致同前,约半个月前发现双下肢有脓疱,再次就诊于当地县人民医院,予以"泰能、万古霉素、丙种球蛋白"治疗7 d后,仍有发热。起病来体重有所下降。既往史、家族史无特殊。
入院体查:T 38.9 ℃(腋温),营养不良,双下肢可见直径约1 cm大小脓疱,左手背可见新发脓疱及散在皮疹瘢痕,下肢可见散在皮疹瘢痕,双下肢有溃烂(图3),面色欠红润,呼吸平稳,肺部无啰音,心率94次/min,腹平软,肝肋下2 cm,脾脏未触及,肠鸣音正常。


辅助检查:外院血培养提示凝固酶阴性葡萄球菌阳性;骨髓穿刺示增生性贫血,轻度核左移;血常规(本院):WBC 24.94×109/L,N 0.758,Hb 90 g/L;PCT 0.65 ng/ml,血沉(魏氏法)90 mm/h,CRP 142.9 mg/L;血培养阴性;免疫全套:免疫球蛋白M 2 g/L,补体C3 1.64 g/L,补体C4 0.49 g/L,细胞免疫功能正常;腹部B超示脾脏内低回声区:多发脓肿(?)(图4);胸腹CT示:肺炎,左侧胸膜反应;左侧膈面位置较高;脾脏内多发低密度影;腹部+腹膜后彩超:脾脏内低回声区:多发脓肿(?),腹腔淋巴结稍大(图5)。皮肤活检符合皮肤化脓性炎症病变;皮肤脓疱分泌物普通培养无菌生长;病理检查:(脾脏)化脓性炎并脓肿形成。




予以美罗培南和万古霉素抗感染及局部换药等治疗19 d,体温稳定3 d后发热反复,皮肤溃烂无好转,双上肢前臂出现新的散在脓疱,在抗感染治疗第29天行脾脏切除术,术中发现脾脏周围多处网膜与脾脏致密黏连,膈肌与脾致密黏连,与侧腹壁后腹壁等致密黏连,周围组织为疤痕样改变。术后患儿体温逐渐稳定,伤口好转,炎性指标逐渐下降。
脾脏本身具有抵抗局部感染的免疫能力,一般不易发生感染。脾脏的化脓性感染一般都是继发性的,原发病灶大多不明显,因为脾脓肿本身的症状可在原发感染消失后几周乃至几个月后才出现,故患者对过去的前驱感染往往不复记起。脾脓肿最常见原发病因是由其他部位的感染病灶经血运播散至脾,约占75%~90%,葡萄球菌、链球菌、肺炎链球菌脓毒症及心内膜炎是脾脓肿最常见的前驱病,但实际上几乎所有的化脓性感染都可能作为脾脓肿的前驱病灶,播散进入脾脏;免疫抑制或缺陷如危重症、长期使用免疫抑制药、艾滋病患者可能发生脾脏的感染和脓肿。此外,在广泛使用抗生素的情况下,其致病菌谱也会有些改变,真菌、厌氧菌感染也较为常见。在我们的报道中,两例患儿均有血流感染,第1例血培养洋葱伯克霍尔德菌,第2例血培养为凝固酶阴性葡萄球菌。另外,本报道中两例均未使用免疫抑制剂,既往体质可,细胞免疫及体液免疫初步检查无明显降低,第1例3个月后随访脾脏肋下未触及,复查B超示脾脏未见异常声像,第2例出院后营养状况明显改善,一般情况可。
脾脓肿临床表现缺乏特异性,多有全身感染表现,如高热、寒战、左上腹疼痛、弥散性的全腹痛、腹肌紧张、气促、脾脏肿大且有触痛等,在小婴儿表现为哭吵不安。本报道中第1例年龄极小,以肺部及肠道感染起病,伴有血流感染及颅内感染,在积极治疗相当长一段时间后,一般情况好转、体温稳定的情况下,再发脾脓肿,同时伴有转氨酶升高。第2例以皮肤感染起病,这在儿童脾脓肿中非常少见,未查到相关文献报道;再有,脾脓肿作为一个病灶持续播散,在未完全控制时可继发其他器官损害,第1例中肺部病变加重出现新的病灶,第2例在脾脓肿未切除前,不断出现新的皮肤脓肿。
实验室检查普遍提示WBC升高,有文献报道88.8%的脾脓肿患者WBC升高[2]。我们报道的两例均有此表现,第1例患儿在体温控制、病情好转的情况下,WBC仍处于明显升高状态,甚至在脾脏脓肿消失、继发肺部病变好转后1个月WBC计数仍然升高,同时伴有红细胞沉降率、CRP、PCT等其他炎性指标升高,存在明显的全身炎症反应;第2例患儿直到脾切除、感染病灶清除后WBC才逐步恢复正常。腹部B超是最常用于脾脓肿诊断的方法,其简单、无创,可直观地显示脾脏内低回声或无回声暗区,边缘不平整,腔壁较厚,对早期诊断脾脓肿具有重大意义,CT/MRI检查准确度高,敏感性及特异性均可达90%,确诊依靠穿刺术或穿刺液培养。本报道2例患儿腹部B超、CT均提示脾脓肿,但因脓肿小、多发,故未考虑穿刺、引流及置管冲洗等。
脾脓肿的治疗方法主要为保守治疗和外科手术治疗。因脾脏为免疫器官,近年来越来越倾向于保守治疗[3]。单个的脓肿可采用经皮穿刺抽吸[4];多个分布或分为很多小腔的脓肿可仅采用抗感染治疗,但脾切除可能是更好的治疗方法[5]。对于具有免疫能力的儿童,早期静脉使用抗生素和及时穿刺引流可能保住脾脏,使之可继续发挥它的免疫作用[6]。本报道第1例患儿因年龄太小,免疫系统未完全发育,脾切除可能引起爆发感染,且脾脓肿散在分布、局部包裹,穿刺及手术均未考虑,保守治疗最终脾脓肿消退。第2例患儿年龄较大,抗感染治疗效果欠佳,不断有新的播散病灶出现,最后行脾脏切除。值得注意的是,对于儿童,特别是小婴儿,特殊情况下,比如炎症指标居高不下,症状反复,抗感染治疗疗程可能需适当延长,并警惕脾脓肿等。总的来说,尽可能保住脾脏,但抗感染或(和)经皮穿刺不能控制的脾脓肿,仍需行脾切除术。
总之,对于儿科患者,反复发热、长时间WBC高、治疗过程中出现病情反复,均需高度怀疑脾脓肿;未使用免疫抑制剂、免疫功能正常的儿童也可发生脾脓肿;腹部B超可及早帮助诊断;保守治疗为首选治疗原则,对于小婴儿,抗感染治疗疗程可适当延长,对于抗感染或(和)经皮穿刺不能控制的脾脓肿,需行脾切除术。
























