
研究低氧致新生鼠缺氧性肺动脉高压(hypoxia induced pulmonary hypertension,HPH)发生发展过程中,肺组织中TRIP6、cyclinD1蛋白动态变化,及其对肺血管重塑的影响。
采用低氧方法(FiO2 0.10~0.12)制备新生SD大鼠HPH模型,对照组予正常氧浓度FiO2 0.21。每组32只于实验后14 d,监测右心室平均压力,采集心脏及肺组织标本,分别用BL420系统监测右心室压力,测定右心室肥厚指数及肺小动脉中膜面积百分比、肺小动脉中膜厚度百分比评估模型是否成功。同时每组大鼠分别于实验后3、7、10、14 d,采集肺组织标本,采用免疫组织化学及Western blot技术观察TRIP6和cyclinD1蛋白表达变化。
与对照组比较,模型组14 d后,肺小动脉管壁增厚,管腔变狭窄,肺小动脉中膜面积百分比[(42.28±1.64)% vs.(24.12±0.83)% ]、中膜厚度百分比[(28.26±1.41)% vs.(16.94±0.90)% ]、右心室肥厚指数(0.52±0.02 vs. 0.29±0.01)、右心室平均压力[(22.00±0.82)mmHg vs.(12.10±0.48)mmHg,1 mmHg=0.133 kPa]均显著增加(P<0.01);TRIP6在对照组14 d时肺小动脉管壁几乎无表达,模型组明显增强,其表达水平在3、7、10、14 d时明显增高(P<0.05);cyclinD1蛋白表达水平在3 d时两组比较差异无统计学意义(P>0.05),7、10、14 d时明显高于对照组(P<0.05);Pearson相关分析显示,14 d时肺组织TRIP6蛋白与cyclinD1蛋白表达呈明显正相关(r=0.587,P<0.05),中膜厚度百分比、中膜面积百分比与肺组织TRIP6蛋白、cyclinD1蛋白表达均呈明显正相关(r=0.878,P<0.01;r=0.812,P<0.01;r=0.872,P<0.01;r=0.789,P<0.01) 。
在HPH发生中,肺组织中TRIP6蛋白和cyclinD1表达上调,并且增加的TRIP6和cyclinD1蛋白表达可能与肺血管重塑相关,进而影响肺动脉高压的发生发展过程。
版权归中华医学会所有。
未经授权,不得转载、摘编本刊文章,不得使用本刊的版式设计。
除非特别声明,本刊刊出的所有文章不代表中华医学会和本刊编委会的观点。
新生儿缺氧性肺动脉高压(hypoxia induced pulmonary hypertension,HPH)是临床上常见的危重症之一,如果缺氧未及时纠正,出现持续的肺动脉高压,可危及生命。HPH的主要病理特征为前期肺血管收缩和后期不可逆的肺血管重塑,肺血管重塑以中膜的平滑肌细胞增殖最为显著。近年研究发现,TRIP6与肿瘤细胞增殖密切相关[1],与血管平滑肌细胞收缩相关[2],cyclinD1与成年肺动脉高压中肺动脉平滑肌细胞增殖有关[3],但是两者是否参与了新生儿HPH的肺血管重塑,目前尚不清楚。本研究以低氧致新生大鼠肺动脉高压模型为对象,研究TRIP6蛋白、cyclinD1蛋白在新生鼠肺动脉高压发生发展中的表达变化,阐明TRIP6和cyclinD1在肺动脉高压中的作用。
试剂包括TRIP6抗体,anti-cyclinD1,anti-GAPDH,鼠兔同源免疫组织化学二抗试剂盒,蛋白提取试剂盒,山羊抗兔二抗(中杉金桥),BCA蛋白浓度测定试剂盒(碧云天生物技术研究所),DAB显色试剂盒(碧云天生物技术研究所)。主要设备包括测氧仪,八通道生理记录仪(成都仪器厂),小动物呼吸机,Nikon&Spot图像采集处理系统(日本Nikon公司)。
将孕21~23 d母鼠自然分娩的2日龄Sprague-Dawley(SD)大鼠64只,按随机数字表法随机分为模型组和对照组,每组均为32只。体重8.5~10.0 g,雌雄不限,由中国医科大学盛京医院实验中心动物部提供。
2日龄SD新生大鼠,置于低氧有机密闭玻璃箱中,控制氧浓度在10%~12%,温度25~27 ℃,湿度50%~70%,每日与对照组交换母鼠;对照组:FiO2 0.21(空气),具体方法及实验控制因素同实验组[4]。
实验后14 d,对照组和模型组大鼠予10%水合氯醛(3 ml/kg)腹腔注射麻醉后,固定于手术台,消毒胸部皮肤,气管切开,行气管插管术,予机械通气,呼吸频率120次/min,吸呼比1∶1.5,潮气量4~6 ml/min。稳定数分钟后,分离左三、四肋间隙,暴露右心室,用静脉留置针插入右心室,其另一端通过压力传感器连接八通道生理记录仪,记录右心室压力曲线,用右心室平均压力变化来间接反映肺动脉压力的变化。之后处死大鼠,取出心脏,剪掉左、右心房和游离的大血管,沿房室间隔剪下右心室壁,滤纸吸干水分后,分别称量右心室、左心室和室间隔的重量,计算右心室肥厚指数(right ventricular hypertrophy index,RVHI)[RVHI=右心室重量/(左心室+室间隔)重量]。
分别于实验后的3、7、10、14 d,10%水合氯醛(3 ml/kg)腹腔注射麻醉后,打开大鼠胸腔,取出肺组织,其右肺下叶用4%多聚甲醛固定后,石蜡包埋,HE染色和免疫组织化学染色,左肺和剩余右肺置于液氮中,后保存于-80 ℃冰箱。实验后14 d肺组织多聚甲醛固定48 h后,常规石蜡包埋,切片,厚度4~5 μm,HE染色,每只新生鼠随机选取5支与呼吸性细支气管及肺泡管伴行的横断面积较圆、直径100~150 μm的肺小动脉,光镜下观察肺小动脉的变化情况,用图像分析软件(Image pro plus)测量肺小动脉外径、中膜厚度、血管总面积和血管中膜面积,计算中膜厚度百分比[中膜厚度/肺小动脉外径]和中膜面积百分比[中膜面积/肺小动脉血管总面积]。
应用免疫组织化学技术,实验后14 d肺组织切片常规脱蜡,3%过氧化氢溶液37 ℃孵育20 min,柠檬酸缓冲液进行微波修复,95 ℃ 10 min,山羊血清封闭室温45 min,分别滴加兔抗大鼠TRIP6抗体(Proteintech,1∶300稀释)4 ℃过夜,阴性对照用PBS代替一抗,次日复温40 min,后滴加生物素标记的山羊抗兔二抗37 ℃孵育20 min,滴加辣根酶标记物37 ℃孵育20 min,DAB显色,苏木素复染,脱水透明后封片。每组随机抽取切片5张,每个切片于光镜下(400×)随机选取5支肺小动脉进行观察。
应用Western blot技术,从-80 ℃冰箱中取出新生鼠肺组织(每组各8只),每20毫克肺组织加入RIPA裂解缓冲液150 μl和100 mmol/L的PSMF 1.5 μl,匀浆机匀浆,静置10 min后,4 ℃12 000 g离心20 min,移取上清液,BCA法检测蛋白浓度。样品调整至相等浓度,加上样缓冲液,100 ℃ 5 min变性。取50 μg蛋白样品,上样,SDS-聚丙烯酰胺凝胶电泳(SDS-PAGE),转膜,5%牛奶封闭2 h,TBST洗3次,加一抗TRIP6(兔抗大鼠,Proteintech,1∶400)、cyclinD1(兔抗大鼠,abcam,1∶400)、GAPDH(小鼠抗大鼠,北京中杉金桥,1∶2 000)4 ℃过夜,次日二抗(北京中杉金桥,山羊抗兔1∶5 000,山羊抗小鼠1∶2 000)室温孵育2 h,TBST洗3次,进行ECL化学发光(广州碧云天生物研究所)。结果用凝胶图像分析系统(ChemiImager 5500 V2.03)进行吸光度扫描分析,并用图像分析软件(Image pro plus)对扫描图像进行灰度分析。肺组织内TRIP6蛋白和cyclinD1蛋白的相对表达量用相对平均光密度值表达。
应用SPSS 17.0统计软件分析,所有数据以均数±标准差(
±s)表示。两组间比较采用t检验,两变量间的相关性分析采用Pearson相关分析。P<0.05为差异有统计学意义。
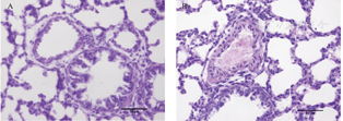
对照组新生大鼠与终末细支气管伴行的肺小动脉管壁薄,见图1A。模型组新生大鼠与终末细支气管伴行的肺小动脉管壁增厚,管腔狭窄,见图1B。


A.对照组14 d;B.模型组14 d,模型组与呼吸性细支气管伴行的肺小动脉管壁增厚,管腔变窄。
与对照组14 d比较,模型组14 d时,肺小动脉血管的中膜面积百分比、中膜厚度百分比明显增加(P<0.01),见图2A、图2B;RVHI明显升高(P<0.01),见图2C;右心室平均压力明显升高(P<0.01),见图2D。


与对照组比较,aP<0.01;n=8;1 mmHg=0.133 kPa。
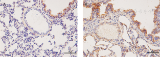
对照组14 d时,TRIP6主要表达于终末细支气管,而肺小动脉管壁中膜平滑肌无染色(图3A);模型组14 d时,TRIP6主要表达于肺小动脉平滑肌及外膜的细胞浆,同时支气管上皮及肺泡表达均阳性(图3B)。


A.对照组14 d;B.模型组14 d。
与对照组比较,模型组3 d、7 d、10 d、14 d时,TRIP6蛋白表达明显增高(P<0.05),见图4A、图4B及表1;cyclinD1蛋白3 d时两组比较差异无统计学意义(P>0.05),模型组7 d、10 d、14 d时,cyclinD1蛋白表达增高(P<0.05),见图4A、图4C及表1。

对照组与模型组新生大鼠肺组织TRIP6及cyclinD1蛋白表达水平(
±s)
对照组与模型组新生大鼠肺组织TRIP6及cyclinD1蛋白表达水平(
±s)
| 组别 | 鼠数(只) | TRIP6蛋白表达 | cyclinD1蛋白表达 | ||||||
|---|---|---|---|---|---|---|---|---|---|
| 3 d | 7 d | 10 d | 14 d | 3 d | 7 d | 10 d | 14 d | ||
| 对照组 | 8 | 0.46±0.25 | 0.48±0.11 | 0.56±0.02 | 1.14±0.46 | 0.87±0.01 | 0.87±0.01 | 1.79±0.01 | 1.89±0.02 |
| 模型组 | 8 | 1.61±0.31 | 0.90±0.10 | 1.09±0.01 | 2.67±0.07 | 0.92±0.02 | 1.57±0.04 | 2.59±0.03 | 1.95±0.01 |
| t值 | 5.723 | 2.849 | 27.94 | 6.571 | 2.038 | 17.96 | 30.44 | 3.217 | |
| P值 | 0.001 | 0.017 | 0.001 | 0.001 | 0.111 | 0.001 | 0.001 | 0.032 | |


注:图4A中,C:对照组,M:模型组;与对照组比较,aP<0.05,bP<0.01。
对两组大鼠14 d时,TRIP6蛋白和cyclinD1蛋白表达与中膜厚度百分比和中膜面积百分比进行Pearson相关分析,中膜厚度百分比与TRIP6蛋白(r=0.878,P<0.01)、cyclinD1蛋白(r=0.812,P<0.01)表达量呈明显正相关。中膜面积百分比与肺组织TRIP6蛋白(r=0.872,P<0.01)、cyclinD1蛋白(r=0.798,P<0.01)表达量呈明显正相关。TRIP6蛋白与cyclinD1蛋白表达量呈明显正相关(r=0.587,P<0.05)。
新生儿肺动脉高压为新生儿期的严重疾病,病死率达10%~20%[5]。低氧、胎粪吸入综合征、呼吸窘迫综合征、感染、窒息等可引起新生儿肺动脉高压,其中低氧是最主要的高危因素[6]。在临床上,由缺氧导致的新生儿肺动脉高压较多见,并称之为新生儿HPH,如果缺氧未及时纠正,肺动脉高压持续增高,最终可能导致不可逆的肺血管重塑,预后较差。
现有研究认为,HPH主要分为前期的肺血管收缩和后期的肺血管重塑,低氧引起的肺血管重塑以血管壁的内膜、中膜和外膜细胞组成成分和调节机制紊乱、血管壁增厚为基本特征,其中最主要的是中层平滑肌细胞的增殖[7]。本研究中,我们采用低氧建立HPH模型,并从肺动脉压力、右心室肥厚和肺血管重塑三方面进行评估,结果发现以2日龄新生SD大鼠予低氧造模,实验后14 d,模型组右心室平均压力、RVHI、肺小动脉中膜面积百分比和肺小动脉中膜厚度百分比较对照组均显著增高,表明新生鼠的HPH模型建立成功,与Deruelle等[8]、Wang等[9]、Xu等[10]等报道的低氧14 d成功建立新生鼠HPH模型一致。
有关肺动脉高压的肺动脉平滑肌细胞增殖的发生机制较复杂,涉及细胞因子、氧化应激反应、蛋白、酶等,如血管内皮生长因子[11]、血小板源性生长因子[12]、5-羟色胺[13]、内皮素、缺氧诱导因子1α[14]、活性氧[3]、还原型烟酰胺腺嘌呤二核苷酸(NADPH)、前列环素、一氧化氮、钙离子通道[15]、钾离子通道[16]、细胞周期蛋白、斑联蛋白等。
TRIP6是斑联蛋白(zyxin)家族的一个成员,与人胚胎的形态发育密切相关,也参与鼠的全部胚胎发育过程[17]。zyxin家族与细胞的增殖、生存和凋亡密切相关。zyxin与动脉平滑肌细胞的机械应力密切相关,从而参与其收缩反应,那么TRIP6是否与新生鼠HPH肺动脉平滑肌的收缩和增殖相关呢?本研究免疫组织化学及Western blot结果显示,低氧后,模型组TRIP6表达明显增高,Pearson相关分析示肺小动脉中膜厚度百分比、中膜面积百分比与TRIP6蛋白表达呈明显正相关,表明高表达的TRIP6促进肺血管重塑,从而参与肺动脉高压的发生发展过程。有研究发现,在恶性胶质瘤细胞和卵巢癌细胞中,肿瘤细胞中的TRIP6能下调细胞周期蛋白激酶抑制因子P27kip1的表达,从而引起肿瘤细胞的增殖[1]。最近有研究表明,TRIP6通过调控P27kip1影响细胞周期的进程,进而促进非霍奇金淋巴瘤细胞的增殖[18]。我们推测,TRIP6可能通过调节平滑肌细胞的增殖从而引起肺血管重塑。
细胞增殖与细胞周期的调控有关,其调控因子包括细胞周期蛋白(cyclin)、依赖蛋白激酶(CDK)及其抑制物(CDKI);其相关基因被称为细胞周期基因,其中CDKs是调控网络的核心,cyclins对CDKs正性调控,CDKIs对CDKs负性调控,往往三者共同协调参与细胞周期进程。有研究表明,在吸烟诱导的肺动脉高压大鼠模型中,cyclinD1表达增高,高表达的cyclinD1促进肺血管重塑[19]。在低氧诱导的成年小鼠肺动脉高压模型中,低氧通过Wnt5a/cyclinD1通路影响肺血管重塑[20]。Yu等[21]研究表明,P27在肝素抑制PASMC增殖和低氧诱导的肺动脉高压中发挥关键性作用。本研究表明,TRIP6在低氧3 d开始表达升高,而cyclinD1是在低氧7 d开始增高的,TRIP6蛋白表达增高先于cyclinD1,并且cyclinD1蛋白表达与肺血管重塑指标中膜厚度百分比和中膜面积百分比呈正相关。另外cyclinD1蛋白表达与TRIP6蛋白表达呈正相关。基于以上研究结果,我们猜测低氧条件下,上调的TRIP6表达可能下调细胞周期蛋白激酶抑制因子P27kip1的表达,同时促进cyclinD1的表达增加,进而影响细胞周期进程,之后触发肺动脉平滑细胞的增殖,进而影响肺血管重塑。
综上所述,在HPH发生中,肺组织中TRIP6蛋白和cyclinD1表达上调,并且增加的TRIP6和cyclinD1蛋白表达可能与肺血管重塑相关,进而影响肺动脉高压的发生发展过程。但是本研究有一定局限性,有关TRIP6和cyclinD1影响肺血管重塑的具体机制及之间的关系需要进一步研究。





















