
版权归中华医学会所有。
未经授权,不得转载、摘编本刊文章,不得使用本刊的版式设计。
除非特别声明,本刊刊出的所有文章不代表中华医学会和本刊编委会的观点。
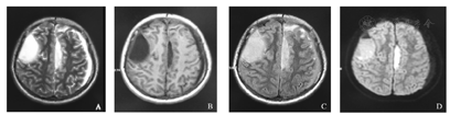
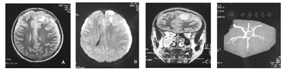
患儿,男,14岁,主因"间断发热、头痛1周,呕吐1 d"于2016年2月7日入院。入院前1周无明显诱因出现发热,体温最高达39.4 ℃,伴有前额阵发性头痛,不伴恶心、呕吐,无抽搐,无视物模糊等不适,外院给予"退热针"治疗,发热及头痛好转,入院前1 d再次出现发热、头痛,伴有喷射性呕吐,5次/d,头痛为持续性,前额部为著,就诊我院,查血常规:WBC 25.08×109/L,中性粒细胞比例89.2%,CRP>210 mg/L,头颅CT显示:硬膜下积液,鼻窦炎。患儿既往体健,否认外伤史。入院查体:精神欠佳,反应弱,表情痛苦,能简单对答,自行步入病房,咽充血,双侧扁桃体Ⅱ度肿大,可见脓性分泌物,颈抵抗阳性,右侧巴氏征阳性。患儿入院后病情进展迅速,出现意识障碍,进入浅昏迷状态。入院后完善辅助检查:血常规:WBC 18.95×109/L,中性粒细胞比例91.9%,CRP>200 mg/L;血生化:ALT 1 123.6 U/L,AST 1 108.5 U/L,Na+129 mmol/L;脑脊液:WBC 48×106/L,多核为主,蛋白定量1 759.7 mg/L;头颅MRI增强扫描(图1)显示:双侧颅板下方、大脑镰前部可见长T1、长T2信号,左侧为著,左侧额叶脑实质可见片状长T1、长T2信号,增强可见脑膜异常强化;左侧脑室受压,中线轻度右移;MRA:左侧大脑中动脉分支较对侧稀疏,鼻窦炎、右侧尤为显著。临床诊断为:(1)化脓性脑膜炎、脑脓肿、多发性硬膜下积脓;(2)急性化脓性扁桃体炎;(3)鼻窦炎。入院后给予美罗培南+万古霉素联合抗感染,免疫支持、抗炎及降颅压治疗,并与入院后第3天行左侧额颞顶硬膜下积脓钻孔引流术,术中引流脓液20 ml,术后复查头颅CT提示左侧硬膜下积脓较前减少,术后引流液培养提示中间型链球菌,药敏提示万古霉素敏感。患儿体温逐渐正常,意识状态逐渐清醒。入院第16天复查腰椎穿刺,提示脑脊液常规、生化及涂片大致正常。入院第26天复查头颅MRI提示右侧硬膜下积液范围扩大(图2),于入院第27天行右侧额颞硬膜下积脓钻孔引流术,术中引流脓液20 ml,术后复查头颅MRI提示右侧硬膜下积脓明显减少,引流液未见细菌生长,停用静脉抗生素后观察患儿无发热,无头痛、抽搐等不适症状,生活基本自理,住院36 d,好转出院,出院后3周复查头颅核磁共振提示病变较前好转,可正常生活。




脑脓肿是一种严重的颅内感染性疾病,是由化脓性致病菌侵袭脑组织所致,由于中枢神经系统具有的结构特点,即蛛网膜间隙缺乏淋巴组织、补体和免疫球蛋白;脑脊液是细菌良好的培养基;外周炎性细胞和抗体不易通过血脑屏障等,因此毒力较低的病原体即可导致严重的脑和脑膜的感染。典型临床表现有发热、颅内压增高症状及局灶性神经系统定位体征[1],但是由于病程长短、脓肿大小、部位、多少(单发或多发)、病原菌毒力、宿主反应、脑水肿程度等[2]不同,其临床症状多样,差异较大。
脑脓肿常见的感染机制:(1)血行传播(如细菌性心内膜炎、先天性心脏病、肺炎、慢性支气管炎、肺动静脉瘘、牙周感染及皮肤疖、痈等),且血行传播的脑脓肿主要由葡萄球菌和链球菌所致[3]。由鼻旁窦和牙齿所致的血行感染通常为多细菌性[4]。此类脑脓肿常位于大脑中动脉分布区域的脑白质或白质与皮层的交界处,而且常常为多发性脑脓肿。(2)邻近感染灶的播散(如鼻窦炎、中耳炎、乳突炎、颅内静脉窦炎及颅骨骨髓炎等),且常由链球菌引起[3,5],但也可表现为葡萄球菌脓肿和多细菌感染性脓肿(包括厌氧菌和革兰阴性杆菌)[4]。此类脑脓肿多位于原发感染病灶的邻近部位,如耳源性脑脓肿多位于同侧颞叶,而鼻源性脑脓肿多位于额叶底面。(3)神经外科手术或颅脑外伤导致,通常是由皮肤表面细菌,如金黄色葡萄球菌、表皮葡萄球菌或革兰阴性杆菌所致。本例患儿有鼻窦炎病史,且脓肿引流液培养提示中间型链球菌,故考虑是由于临近感染灶播散所致,但是血源性感染仍不能完全除外,尽管血培养未见细菌生长。既往体健的个体感染中间型链球菌并不常见,大多数患者在合并有糖尿病、肝硬化或肿瘤的情况下易感[5]。文献报道1例中间型链球菌感染脑脓肿患者,既往无慢性病史,且无免疫抑制的相关证据,在随后的诊治过程中,被诊断为甲状腺乳头状癌[6]。
中间型链球菌属米勒链球菌组(GAS),该组包括3个菌种:中间型链球菌、星座链球菌、咽峡链球菌,为人体正常菌群,主要存在于人类口腔中,可自牙龈缝隙、牙斑、根管中分离获得,也存在于喉和鼻咽部,尚寄殖在胃肠道。当机体合并先天性心脏病或抵抗力下降时,这种细菌感染机会增加,该组细菌可致牙龈脓肿,并可由此引致脓毒症、心内膜炎。值得注意的是该组链球菌尚可引起脑脓肿,以中间型链球菌多见,并常与厌氧菌同时存在,本例患儿脑脓肿引流液培养即为中间型链球菌,但文献报道,GAS导致的中枢神经系统感染无论从临床表现还是相关实验室检查,都与其他中枢神经系统感染常见病原并无太大差异,因此本例患儿引流液培养结果回报之前,亦应注意其他脑脓肿常见感染病原,如金黄色葡萄球菌,此种细菌是化脓感染中最常见的病原菌之一,但患儿无颅脑外伤或外科手术病史,未见皮肤化脓感染灶,且随后的血培养、引流液培养结果均不支持此种细菌。
中间型链球菌对多种治疗中枢神经系统感染的抗生素均敏感,尽管文献中关于GAS脑脓肿相关报道不多,但中间型链球菌脑脓肿的预后较其他病原导致脑脓肿的预后要良好。
对所有疑似脑脓肿的患者都应该进行头颅影像学检查。增强CT检查是一种快速检测脓肿的大小、数量和部位的成像方法。MRI结合DWI、ADC序列对于鉴别脑囊肿和原发性肿瘤、囊性肿瘤以及肿瘤坏死是一种有价值的诊断工具,脑脓肿在DWI上为明显高信号,胶质瘤坏死囊变部分呈低信号[7]。
对脑脊液、血液或脓肿引流物的微生物学评估应该包括革兰染色和有氧和无氧条件下的培养。在免疫功能低下和高危患者(如肺结核或机会性感染病史的患者)中,应该进行分支杆菌、诺卡氏菌属及真菌的培养,并行弓形虫PCR检测。如果强烈怀疑是细菌性脑脓肿,但培养结果为阴性时,可行PCR 16 s核糖体DNA测序[6],可明确诊断,指导下一步抗生素治疗。
英国抗菌化疗学会(BSAC)指南推荐治疗脑脓肿:使用β-内酰胺类抗生素联合甲硝唑治疗3~4周,而针对中间型链球菌感染所致脑脓肿患者,非β-内酰胺类抗生素(如万古霉素)的应用的必需的[8]。但是英国抗生素治疗协会神经外科感染工作组推荐,对于细菌性脑脓肿患者,静脉抗生素治疗时间为1~2周,在此之后,应该根据临床反应,合理改变和调整抗生素治疗类型[9]。这种方法已成功应用于部分选择性的患者中,但不作为标准治疗。这些患者口服抗生素治疗包括甲硝唑、环丙沙星和阿莫西林。随着脓肿体积增加以及周围水肿加重,患者的神经系统功能缺损可能增加,辅助使用糖皮质激素治疗可能会减少脑水肿,在大约一半的患者中已使用该疗法治疗[9]。但由于缺乏随机性研究的数据,以及糖皮质激素会减少抗菌药物进入中枢神经系统内,因此对于脑水肿明显、有脑疝风险的患者应限制其使用[9]。本例患儿治疗初期应用地塞米松静脉滴注目的在于减轻脑膜炎性反应,但患儿给予脓肿引流术后即停用地塞米松,也是基于上述考虑。
脑脓肿的病理过程包括3个阶段:急性脑炎阶段、化脓阶段、包膜形成阶段。我们认为对于脑脓肿早期,包膜尚未形成,或者脓肿较小,占位效应不明显的可采用单纯药物治疗,抗菌药物应联合、足量,至少应用4周以上,并且动态监测头颅CT或MRI,根据患者的症状、体征及影像学变化进行调整,若经治疗后脓肿仍有扩大或症状、体征加重,应进一步行外科手术干预治疗。本例患儿在药敏结果回报之前,应用美罗培南+万古霉素联合抗感染是基于对已有的脑脓肿致病菌的全覆盖,如杆菌、球菌及厌氧菌,并且根据2004年美国感染性疾病协会制定的细菌性脑膜炎治疗指南,经验性抗感染治疗即为万古霉素联合3代头孢或美罗培南。
总之,在免疫功能正常的儿童中,中间型链球菌所致的脑脓肿并不常见,且由于其低毒力性,其预后相对较好,但是对于患有鼻窦炎、中耳炎、乳突炎等疾病的患儿,当出现发热、头痛、局灶神经功能障碍时应注意脑脓肿可能,尽管目前有先进的影像学技术,外科引流以及抗感染等多重诊治方法,但是脑脓肿仍然有较高的病死率,因此应当做到早诊断、早治疗,尽量减少脑脓肿病死率及各种并发症的发生。





















