
探讨儿童伴有胼胝体压部可逆性病变的轻微脑炎/脑病(clinically mild encephalitis/encephalopathy with a reversible splenial lesion,MERS)的临床及影像学特征。
回顾性分析2016年1月至6月唐山市妇幼保健院小儿神经内科收治的8例MERS患儿,对其病因、临床表现、影像学资料、治疗及随访进行总结分析。
8例患儿中,男1例,女7例,年龄1.58~5岁,中位年龄1.75岁。其中7例患儿因感染起病,1例病因不明,神经系统体征轻微或无。8例患儿的头颅MRI检查均显示为胼胝体压部异常信号,T1WI等或稍低信号,T2WI高或稍高信号,DWI高信号。治疗上8例患儿均予抗感染治疗,7例加小剂量的地塞米松及甘露醇治疗,其中1例加免疫球蛋白治疗。全部患儿在发病后1周左右临床症状完全缓解,发病后8~15 d复查MRI显示病灶消失。随访1~6个月,头颅MRI均正常。
儿童MERS病因复杂,临床表现无特异性,诊断依赖头颅MRI,尤其是DWI序列,突出特征是胼胝体压部的高信号,预后良好。
版权归中华医学会所有。
未经授权,不得转载、摘编本刊文章,不得使用本刊的版式设计。
除非特别声明,本刊刊出的所有文章不代表中华医学会和本刊编委会的观点。
伴有胼胝体压部可逆性病变的轻微脑炎/脑病(clinically mild encephalitis/encephalopathy with a reversible splenial lesion,MERS)是近几年新提出的一种临床-影像综合征,临床特点为呕吐、头痛、痫性发作、视觉障碍、意识障碍、精神异常等,头颅MRI以胼胝体压部(splenium of corpus callosum,SCC)可逆性病变为主,可伴有胼胝体膝部、皮层下白质等部位可逆性损伤,本病病程自限、预后良好。MERS在成人及儿童均可发病,我国报道的病例以成人为主[1],何燕等[2]2013年报道了1例MERS患儿。随后国内逐渐认识该病,报道病例逐年增多。现对我科收治的8例儿童MERS病例的临床、MRI特点及随访结果进行回顾性分析。
2016年1月至6月在唐山市妇幼保健院住院期间确诊为儿童MERS的患儿8例。其中男1例,女7例;年龄1.58~5岁,中位年龄1.75岁。8例患儿中,7例以急性感染症状起病,症状包括呕吐、腹泻、发热、咳嗽等。神经系统症状发生于起病后的2~5 d,其中6例表现为抽搐,1例头痛,1例表现为阵发性不能视物。其中1例女孩,2个月后再发1次。
8例患儿中,除1例患儿家属拒绝腰椎穿刺检查外,其余7例患儿脑脊液常规、生化、涂片病原菌检查及培养均未见异常。血生化检查4例患儿血清钠低于136 mmol/L(正常136~145 mmol/L)(2例135 mmol/L,1例134 mmol/L,1例132 mmol/L),余项未见异常。病原学检查2例患儿提示肺炎支原体感染(肺炎支原体抗体检测分别为1∶160和1∶80)。动态脑电图检查1例患儿全导中高幅慢波阵发,枕区优势活动稍差;1例睡眠期可见顶、枕、后颞区少量中幅尖波出现;其余6例动态脑电图检查未见异常。
患儿入院后,其中7例以感染起病患儿予抗感染治疗,1例以抽搐起病患儿予抗惊厥治疗,确诊为MERS后,除1例单纯抗感染及对症治疗外,其余患儿均予小剂量的地塞米松及甘露醇治疗,1例加丙种球蛋白治疗,住院时间7~10 d,所有患儿均恢复正常出院,见表1。

8例MERS患儿的临床资料
8例MERS患儿的临床资料
| 编号 | 性别 | 年龄(岁) | 前驱症状 | 精神症状(发作时间) | 脑电图 | 脑脊液 | 病原体 | 血清钠浓度(mmol/L) | 完全恢复时间 |
|---|---|---|---|---|---|---|---|---|---|
| 1 | 女 | 1.67 | 呕吐、发热、腹泻 | 抽搐(4 d) | 正常 | 正常 | 阴性 | 134 | 12 d |
| 2 | 女 | 4 | 发热、呕吐 | 阵发性不能视物(3 d) | 正常 | 正常 | 阴性 | 正常 | 7 d |
| 3 | 男 | 5 | 发热 | 头痛(3 d) | 全导慢波 | 正常 | 阴性 | 132 | 10 d |
| 4 | 女 | 1.58 | 呕吐、发热 | 抽搐(3 d) | 正常 | - | 阴性 | 135 | 8 d |
| 5 | 女 | 1.92 | 发热 | 抽搐(2 d) | 正常 | 正常 | 支原体1∶80 | 正常 | 9 d |
| 6 | 女 | 1.58 | 咳嗽 | 抽搐(6 d) | 正常 | 正常 | 支原体1∶160 | 正常 | 8 d |
| 7 | 女 | 1.75 | 呕吐 | 抽搐(2 d) | 顶、枕、后颞区少量中幅尖波 | 正常 | 正常 | 正常 | 11 d |
| 8 | 女 | 1.6 | 呕吐 | 抽搐(2 d) | 正常 | 正常 | 正常 | 135 | 10 d |
8例患儿均于起病后的第2~5天行头颅MRI增强扫描,显示SCC病变在T1加权像为等或稍低信号,T2高信号,FLAIR呈稍高信号,DWI为高信号影。在病程的第7~15天,复查头颅MRI完全恢复正常,见表2、图1。

8例MERS患儿的MRI特点
8例MERS患儿的MRI特点
| 编号 | 检查时间 | SCC病变 | T2W1 | T1W1 | DWI | FLAIR | 复查时间 | SCC |
|---|---|---|---|---|---|---|---|---|
| 1 | 5 d | 压部 | 高 | 稍低 | 高 | 高 | 15 d | 消失 |
| 2 | 3 d | 压部 | 稍高 | 等 | 稍高 | 稍高 | 9 d | 消失 |
| 3 | 5 d | 压部 | 稍高 | 稍低 | 高 | 稍高 | 11 d | 消失 |
| 4 | 3 d | 压部 | 高 | 低 | 高 | 稍高 | 10 d | 消失 |
| 5 | 4 d | 压部 | 稍高 | 等 | 高 | 高 | 10 d | 消失 |
| 6 | 5 d | 压部 | 稍高 | 稍低 | 高 | 高 | 14 d | 消失 |
| 7 | 2 d | 压部 | 稍高 | 等 | 高 | 稍高 | 11 d | 消失 |
| 8 | 2 d | 压部 | 高 | 等 | 高 | 稍高 | 8 d | 消失 |


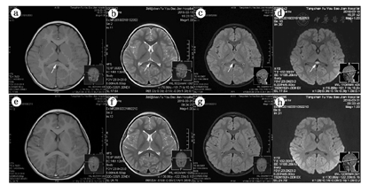
患儿,女,4岁,因发热2 d,阵发性不能视物1 d入院,a~d于起病后的第2天,MRI显示胼胝体压部椭圆形病灶;e~h为发病后10 d复查的MRI图像,胼胝体压部病灶完全消失;a、e为T1像,b、f为T2像,c、g为FLAIR像,d、h为DWI像。
MERS是由Tada等[3]于2004年首次提出的一种临床-影像综合征。在此基础上,2006年Takanashi等[4]提出了MERS谱系的概念,将其分为两型,即MERSⅠ型(病变仅累及胼胝体压部)及MERSⅡ型[延伸到白质和(或)整个胼胝体受累]。本研究报道的8例患儿均为MERSⅠ型患儿,病变仅在胼胝体压部。
MERS大多发生于感染性疾病过程中,且与感染相关发病的多见于儿童和青壮年[5],感染病原以病毒为主,高阳等[6]对115例儿童MERS临床特征研究发现,病毒感染占49例(42.6%),病原菌包括流感病毒A、B,轮状病毒、腮腺炎病毒、腺病毒、疱疹病毒6型、腺病毒等;其次为细菌感染,包括肠球菌、链球菌属、沙门菌等。国外亦有肺炎克雷伯菌引起的泌尿系感染合并MERS的病例报道[7]。肺炎支原体感染国内多见[6];合并川崎病[8]及腮腺炎疫苗接种后[9]也有报道。本组8例患儿中,合并肺炎支原体感染2例。
发病机制目前尚不清楚,有学者推测可能的机制是感染后导致阶段性髓鞘水肿而致髓鞘蛋白层分离引起可逆性病变[10]。Takanashi等[11]曾报道30例MERS患儿的平均血钠水平为(131.0±4.1)mmol/L,其中25例血钠水平<136 mmol/L,低钠可引起脑渗透压改变,导致脑水肿出现可逆性的病灶。本组8例患儿中,4例患儿血钠水平<136 mmol/L,与国外研究结果基本一致。但是从临床上很难单独用低钠血症解释MERS的病因,因此也有人提出了免疫机制,国外曾报道1例与轮状病毒感染引起的MERS的脑脊液IL-6水平高至952.0 pg/ml(正常6~71 pg/ml)[12],提示MERS的发病机制也有免疫因素的参与。值得一提的是,本组中编号6、7的患儿是同一例患儿两次患病,间隔时间2个月,且病变部位均在胼胝体压部,第1次因咳嗽6 d,抽搐2次入院,病原体检查肺炎支原体抗体1∶160,治疗上予抗感染及对症治疗,住院治疗7 d后复查头颅MRI恢复正常,临床症状恢复出院。随访过程中患儿无异常。第2次因间断呕吐1 d,抽搐3次入院,病原体检查阴性,除抗感染治疗外,加用地塞米松及甘露醇治疗8 d后复查头颅MRI正常、临床症状痊愈出院,出院后予泼尼松口服维持治疗1周抑制免疫反应,至今随访3个月,患儿无异常。目前国内外少见有再发病例报道,机制不明,回顾性分析MERS发病原因可能与自身免疫有关。还有Imamura等[13]报道了2例家族性的MERS患儿,分别为6岁和2岁女孩,前驱临床症状有发热、咽痛等,随后有意识紊乱和抽搐发作,但神经系统无阳性体征,血钠水平、脑脊液常规、生化及病原菌培养均为阴性。但MRI的表现有不同于一般散发的MERS特征,病变除整个胼胝体受累外,皮层下的白质病变更广泛。因本2例患儿无其他特殊病因,又有不同于其他MERS的影像学特征,考虑有遗传学参与的发病机制。但因其父母均健康,不排除常染色体隐性遗传的参与因素,因此需进一步的临床、放射学及遗传学检测来确定MERS的发病机制。另外还有抗癫痫药物撤药导致的MERS,最常见的抗癫痫药为卡马西平、苯妥英钠和拉莫三嗪[5]。其机制可能与部分抗癫痫药物影响抗利尿激素的浓度,突然停用这类药物后使患者抗利尿功能不足,从而导致脑血容量和水平衡失调,有效渗透压下降产生细胞毒性水肿。总之,MERS可能是多种因素共同参与的结果,由于研究病例较少,尚不能明确其确切的病因及发病机制,需要更多的研究去证实。
MERS的临床表现无特异性,一项研究总结发现,MERS的前驱症状包括发热(94%)、呕吐(25%)、腹泻(15%)和咳嗽(12%),其后1~7 d出现神经系统症状(71%在1~3 d出现),最常见的神经系统症状有精神行为障碍(54%)、意识改变(35%)和癫痫(33%),所有症状在1个月内完全恢复[14]。本组8例患儿的前驱症状,5例患儿出现发热,5例呕吐,1例腹泻,1例咳嗽。在前驱症状后的2~7 d出现神经系统症状,6例表现为抽搐,1例表现为头痛,1例表现为阵发性不能视物。本组患儿中,抽搐多表现为丛集性发作,且都表现为全面性发作形式,最多1 d抽搐达6次。所有患儿入院后1~2 d抽搐发作控制。随访1~6个月,8例患儿均无抽搐。
MERS影像学特征突出,均有胼胝体压部受累,其他部位脑白质也可受累,据此可将MERS分为两型,1型为孤立性胼胝体压部病灶,2型除胼胝体压部外同时累及其他部位脑白质。但也有人认为MERS 1型和2型是同一疾病在不同阶段的表现,即当疾病累及脑白质时,脑白质病变较胼胝体压部病变恢复的更快,这也许更能解释疾病初期出现的神经系统异常症状的原因[15]。儿童多表现为MERS 1型改变。Fang等[16]报道的29例中国MERS患儿都表现为胼胝体压部的典型病变,其中仅5例患儿除胼胝体压部的病变外,还有脑室周围的白质或双侧半卵圆形中心的白质受累。本组患儿均表现为MERS 1型。
本病需与脱髓鞘性疾病及脑白质病鉴别,如病毒性脑炎、急性播散性脑脊髓炎、可逆性后部白质脑病、弥散性轴索损伤、多发性硬化、进行性胼胝体变性等进行鉴别。根据病史、病程、临床表现及预后可以相鉴别。
治疗方面无特殊,国内外尚无统一的治疗方案,目前部分患儿应用了糖皮质激素、抗癫痫药物、静脉应用免疫球蛋白等治疗;还有一部分未应用针对脑炎及脑病特异性的治疗,大多数患儿在1个月内临床症状可完全恢复。但对于临床及影像学特征严重的患儿,包括意识改变、抽搐次数多、脑电图异常、MRI除胼胝体受累外,脑白质受损严重的患儿,除了需要更长治疗时间外,可能会遗留神经系统后遗症[17]。本组8例患儿在治疗上除1例单纯抗感染及对症治疗外,其余7例患儿应用了小剂量的地塞米松和甘露醇,其中1例患儿应用了免疫球蛋白。目前随访1~6个月,8例患儿均正常。
总之,MERS是一种新近提出的临床-影像综合征,头颅MRI对其诊断具有重要意义,具有独特的临床特点,大多预后良好,病因及发病机制尚不明确,需要更多的病例报道来发现其临床特征并探讨其发病机制。





















