
版权归中华医学会所有。
未经授权,不得转载、摘编本刊文章,不得使用本刊的版式设计。
除非特别声明,本刊刊出的所有文章不代表中华医学会和本刊编委会的观点。
肺动脉瘤(pulmonary artery aneurysm,PAA)是多种原因导致的肺动脉血管壁的全层病理性扩张,累积主动脉和(或)其分支。PAA与主动脉瘤相比,发生率低,在儿童中鲜有报道,其罕见性使得儿科医师对该疾病的诊断及治疗普遍缺乏了解。本文就1例儿童PAA合并肺动脉栓塞病例进行报道,旨在探讨该疾病的临床特点、诊断要素,以提高临床儿科医师对该疾病的重视。
患儿,女,12岁7个月,因"发热咳嗽3 d,咳血半天"收入我院。患儿3 d前无明显诱因出现发热,自测体温37.9 ℃,可自行退至正常。晨起有单声咳,不剧烈,无气急、气喘,家长未予重视及处理。半天前患儿咳嗽加重,剧烈咳嗽后咳血两次,呈暗红色,未见食物残渣、泡沫,约50 ml,无鼻出血、牙龈出血,咯血后有气急、气喘,口唇、指端稍紫绀,无胸痛、心悸,无声音嘶哑,无血尿、黑便,为进一步治疗于2018年3月18日至我院就诊。患儿半月前曾于当地医院诊断为肺炎支原体感染,抗感染治疗5 d后好转。2012年诊断"特发性关节炎",口服"普奈生、泼尼松"两年后停药,未再复发。既往有病毒性脑炎、胆囊结石病史,否认药物、食物过敏史,否认高血压、糖尿病、结核、反复溃疡发作等病史。否认家族动脉瘤、血栓病史,父母非近亲结婚。入院查体:T 38.9 ℃、P 130次/min、R 36次/min、Bp 112/68 mmHg(1 mmHg=0.133 kPa),SpO2 88%,神志清,精神一般,呼吸急促,有鼻翼煽动,可见轻度吸气性三凹征,口周稍青紫,皮肤黏膜未见出血,全身浅表淋巴结未及肿大,牙龈、鼻腔无出血,两侧胸廓对称,两肺呼吸音粗,可及中粗湿啰音及喘鸣音,心律齐,心音有力,各瓣膜区未及杂音,腹平软,无压痛及反跳痛,肝脾肋下未及,四肢无水肿,活动正常,神经系统查体正常。
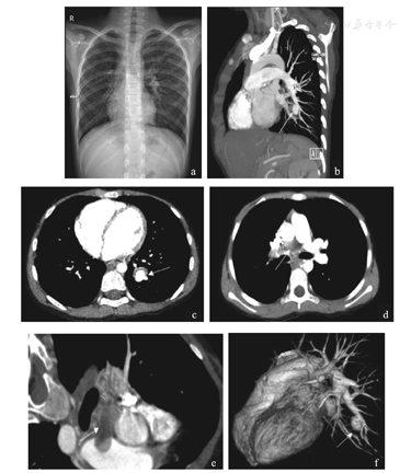
入院后检查:血常规:WBC 11.24×109/L,N 60.6%,L 31.4%,Hb 118 g/L,PLT 213×109/L;CRP 91.3 mg/L;ESR 53 mm/h;PCT 0.39 ng/ml;凝血功能:APTT 41 s(24~36 s),PT 15 s(9~14 s),INR 1.3(0.8~1.2),FIB 4.69 g/L(2~4 g/L),D-二聚体584 μg/L(0~550 μg/L);动脉血气分析:pH 7.44,PCO2 29.1 mmHg,PO2 71 mmHg,HCO3 20.3 mmol/L,SO2 95.2%,FiO2 41%;RSV和MP-IgG、IgM均阳性;结核抗体、T-SPOT、真菌抗原、真菌G实验、HIV抗体、梅毒抗体、自身免疫抗体、肿瘤标记物七项、痰培养、血培养、骨髓培养均阴性;骨髓涂片:感染性骨髓象。心脏超声正常;纤维支气管镜检查示左下叶后基底段有一约0.5 cm×0.5 cm大小占位,堵塞部分气道。胸部正位片:双肺纹理增多,左肺纹理稍模糊,可见点状渗出模糊影,见图1a。胸部增强CT+肺动脉造影(三维重建):(1)右肺动脉主干肺栓塞;(2)支气管动脉扩张;(3)左下肺动脉分支动脉瘤伴附壁血栓形成;(4)两肺多发斑片影,两肺条索灶;(5)两侧胸膜局限增厚,见图1b,图1c,图1d,图1e,图1f。诊断:(1)重症肺炎;(2)左下肺动脉分支动脉瘤并附壁血栓形成;(3)右肺动脉主干肺栓塞;(4)支气管动脉扩张。


a.胸部正位片;b.多平面重建图(箭头示左下肺动脉分支动脉瘤并附壁血栓);c.左下肺动脉分支动脉瘤并附壁血栓形成;d.右肺动脉主干肺栓塞;e.多平面重建图(箭头示右肺动脉主干肺栓塞);f.三维重建。
治疗:入院后多学科会诊讨论后决定予抗感染、抗凝、止血等对症支持,尽快手术治疗。入院后第4天给予低分子肝素、右旋糖酐抗凝,第5天加用华法林抗凝治疗,动态监测凝血功能(表1),患儿无发热,咳嗽减轻,无咯血,无呼吸困难症状。入院第11天患儿尚未手术治疗,突发大咯血,口腔、鼻腔大量鲜红色血液涌出,经皮血氧饱和度下降,心率持续性下降,意识丧失,立即予气管插管、心肺复苏抢救约1 h,患儿无自主心率、气管插管仍有血液涌出,双侧瞳孔等大固定,6 mm,对光反射消失,心电波形呈一直线,抢救无效最终死亡。

患儿凝血功能检查结果
患儿凝血功能检查结果
| 日期 | 凝血酶原时间(s) | 国际标准化比值 | 活化部分凝血活酶(s) | 纤维蛋白原(g/L) | D-二聚体(μg/L) |
|---|---|---|---|---|---|
| 2018-03-22 | 14.2 | 1.23 | 30.1 | 4.45 | 317 |
| 2018-03-24 | 12.7 | 1.10 | 39.9 | 4.07 | 189 |
| 2018-03-26 | 13.2 | 1.14 | 39.8 | 3.62 | 174 |
| 2018-03-28 | 13.7 | 1.19 | 48.9 | 2.97 | 122 |
PAA的发病率虽然很低,但因其可能出现破裂、夹层、肺动脉栓塞、左心衰竭等致命性的并发症,因此我们临床医师必须要重视[1]。据Deterling和Clagett[2]统计,尸检中PAA的发生率仅为0.073%,与主动脉瘤发生率之比约为1∶250,且与性别无关,而国内仅有个别案例报道,儿童PAA更是罕见。合并动静脉交通的PAA通常位于外周肺动脉,而不合并者通常位于中央肺动脉,其中80%位于主肺动脉,在形状上更倾向于囊状而不是梭形。本例患儿PAA位于左肺动脉,这是由于左肺动脉与主肺动脉延续的夹角更小,更易受到来自主肺动脉大量血流的冲击。PAA的病理改变主要是囊性中层变性坏死,内膜弹力纤维和平滑肌破坏,动脉壁变薄,扩张形成动脉瘤。
PAA的发病机制目前主要分为三方面:先天性、后天性和特发性。先天性病因是PAA最为主要的病因,其中以动脉导管未闭、室间隔缺损和房间隔缺损最为常见;后天性病因中,梅毒和结核是导致PAA最为常见的感染性疾病,而以口腔和生殖器反复溃疡及葡萄膜炎为特征的白塞斯综合征逐渐被人们发现[3]。肺动脉高压、慢性肺动脉栓塞、肺部肿瘤亦是重要原因。除了上述因素,创伤性因素包括心脏外科手术、血管造影、手术切除组织活检也可能导致PAA形成,另外无明确基础疾病的特发性PAA文献报道趋于增多[4]。本例患儿左下肺动脉分支动脉瘤伴附壁血栓,同时合并右肺动脉主干肺栓塞,临床罕见。本例已行心脏彩超检查排除了先天性心脏病,梅毒、结核、自身抗体、肿瘤标记物、血培养、骨髓穿刺检查均阴性,但患儿半月前感染过肺炎支原体,入院后肺炎支原体抗体IgM、IgG也是双阳性,于是我们猜测感染可能促进了该例患儿PAA的发展。
PAA患者在疾病初期可无症状,也可表现出一些非特异性症状。PAA常见的表现有胸闷、胸痛、呼吸困难、心悸、声音嘶哑等,活动后可加重,PAA压迫支气管可导致紫绀、咳嗽、呼吸困难加重、肺炎、发热等。另外PAA患者并发肺栓塞的风险较高。血栓的形成主要与血管内皮损害、血流动力学改变及血液粘稠度增加等因素有关,该例患儿左下肺动脉分支动脉瘤形成导致血液湍流,血流动力学改变促进血栓的形成。Veldtman等[5]报道超过1/3的PAA患者死于动脉瘤破裂,而咯血、突发剧烈胸痛等急性症状往往提示瘤体破裂或夹层形成。PAA破入心包导致急性心包填塞,破入支气管导致大咯血,破入胸腔导致血胸。本病例以咳嗽、咯血入院,入院后纤维支气管镜检查提示左肺支气管管腔部分堵塞,导致咳嗽、呼吸困难加重,最终以动脉瘤破裂致大咯血而死亡。夹层亦是PAA罕见但危及生命的严重并发症,它可以迅速导致血流动力学不稳定,同心源性休克、猝死常常联系在一起。Khattar等[6]发现在过去两百多年里发现的64例肺动脉夹层中,只有9例(14%)存活时被确诊PAA夹层,也就是说其致死率虽高,但相对缺乏特异性的临床症状体征,往往是在致命性夹层破裂之后被发现。PAA也存在一些保守或手术治疗后生存10年以上的病例[7]。Duijnhouwer等[4]对文献进行Meta分析后得出,伴有先天性心脏病、肺动脉高压、肺动脉直径每年增长大于2 mm,怀孕、感染是PAA发生破裂、夹层的高危因素。
胸部X线检查对PAA的诊断价值较为局限,透视下发现搏动征象较有意义。肺动脉造影是诊断PAA的金标准,但其为有创检查。核磁共振成像(MRI)作为无创检查也能较好地显示该病变,并可以随诊。随着多层螺旋CT(MSCT)扫描速度的提高,其平扫和增强扫描能清楚、全面显示PAA的部位、大小、形状、瘤壁及管腔的改变,另外MSCT的多种三维重建可直观显示动脉瘤,目前将逐渐取代肺动脉造影,成为诊断PAA的可靠、有效的影像学检查方法。由于PAA发病率低,针对PAA的治疗经验比较局限,所以目前关于PAA的有效治疗方案尚未达成共识。对继发白塞斯综合征、梅毒、结核等疾病的PAA,首先推荐抗感染、免疫抑制剂、糖皮质激素等内科保守治疗。对于瘤体巨大、增长迅速、或合并肺动脉高压、心血管系统畸形、可能发生破裂、夹层的危险患者,手术应作为首选方案,其目的不仅在于缓解症状,更重要的是降低致死性并发症的发生率。手术的内容主要包括病变肺动脉的缝合、切除、修复和替换,以及合并解剖畸形的矫正。该患儿入院后经过积极的对症处理治疗,临床症状较前改善,心电监护下生命体征平稳,最终死于肺动脉瘤瘤体破裂,也提示我们PAA患儿应在内科治疗稳定下,尽早手术治疗。
PAA临床罕见,儿童更是少之又少,又缺乏相应的临床特异症状,目前为止尚无明确指南指导PAA的最佳治疗。但其可能出现破裂、夹层、动脉栓塞等严重致死性并发症,因此必须得到重视。每例PAA患儿根据病因分类对治疗方案的选择具有重要的临床意义,对于起始保守治疗的患儿,应规律评估,根据动脉瘤进展情况、临床症状及是否出现肺动脉高压等情况进一步更换治疗策略。
所有作者均声明不存在利益冲突





















