
探讨儿童新型冠状病毒肺炎的临床特征。
分析2例新型冠状病毒肺炎患儿的临床资料。
病例1为重庆市首例确诊婴儿,女,7个月25 d;病例2,男,5岁2个月,存在营养不良基础。2例患儿均有接触武汉返乡人员史,呈家庭聚集性发病,均以发热为首发症状,伴有咳嗽,淋巴细胞无明显降低,胸部CT可见感染性病变;病例2同时伴有腹泻,胸部CT提示磨玻璃影。经干扰素雾化等对症治疗,2例患儿症状均明显缓解,肺部感染灶明显吸收。目前病例1病程13 d,病例2病程11 d,新型冠状病毒核酸检测仍呈阳性。
儿童新型冠状病毒肺炎以家庭聚集性发病为主,呼吸道症状多见。流行病学史对诊断较为关键,早期病原核酸检测为确诊依据。
版权归中华医学会所有。
未经授权,不得转载、摘编本刊文章,不得使用本刊的版式设计。
除非特别声明,本刊刊出的所有文章不代表中华医学会和本刊编委会的观点。
2019新型冠状病毒,以其超强的传播力受到了全世界的广泛关注[1,2]。日前,世界卫生组织将其命名为COVID-19。随着新型冠状病毒肺炎疫情的蔓延,越来越多的儿童病例被发现,了解儿童病例自身特点,对进一步认识该病对儿童群体的危害性,探究更合理规范的治疗、预防措施,以及更为准确地进行相关风险评估,意义重大。
病例1 患儿,女,7个月25 d,因"发热半天后咳嗽2 d"于2020年2月3日入院。患儿堂姑1月18日由武汉坐火车至重庆市万州区,与患儿有接触,1月23日起与患儿全家同吃同住3 d。1月27日患儿母亲出现发热、胸闷、胸痛,1月31日确诊为新型冠状病毒肺炎,于我院住院治疗。患儿于2月1日出现发热,体温37.8 ℃,伴轻微咳嗽、流涕、稍声嘶,到我院发热门诊就诊,疑似新型冠状病毒肺炎,入住定点留观病房,留观期间口服奥司他韦,患儿未再发热,仍有轻微咳嗽。2月2日本院咽拭子新型冠状病毒核酸检测阳性,2月3日万州区疾控中心咽拭子新型冠状病毒核酸检测阳性。经专家组会诊,确诊新型冠状病毒肺炎(普通型),2月3日收入定点隔离病房治疗,成为重庆市首例确诊婴儿。入院时查体:T 36.5 ℃,P 125次/min,R 38次/min,BP 85/45 mmHg(1 mmHg=0.133 kPa),体重8.5 kg。神清,精神反应可,呼吸平稳,面色红润。前囟平软,双侧瞳孔等大等圆,对光反射灵敏,咽充血,颈软,双肺呼吸音粗,未闻及干湿啰音。心音有力,律齐,心前区未闻及杂音。腹软不胀,肝脾肋下未触及,肠鸣3~4次/min。四肢肌力、肌张力正常,肢端温,神经系统无异常体征。
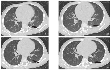
辅助检查:2月1日血常规:白细胞6.0×109/L,中性粒细胞百分比36.4%,淋巴细胞百分比42.7%,中性粒细胞计数2.18×109/L,淋巴细胞计数2.56×109/L,血红蛋白112 g/L,血小板301×109/L;C-反应蛋白0.36 mg/L;肝功能:总蛋白59.2g/L,白蛋白43.2 g/L,谷丙转氨酶58.5 U/L,谷草转氨酶83.5 U/L;心肌酶谱、肾功能、血电解质、凝血功能正常;血沉10 mm/h;胸部CT(发病当天):右肺上叶纹理增多模糊,可见条片状模糊影,考虑感染可能(图1A1、图1A2)。2月3日甲型、乙型流感病毒核酸检测阴性,呼吸道合胞病毒、腺病毒、副流感病毒抗原阴性,肺炎支原体抗体IgM阴性。2月5日(发病第5天)复查血常规:白细胞5.7×109/L,中性粒细胞百分比32.5%,淋巴细胞百分比57.5%,中性粒细胞计数1.85×109/L,淋巴细胞计数3.28×109/L;C-反应蛋白0.15 mg/L,降钙素原0.043 ng/ml。2月6日(发病第6天)胸部CT:肺部感染较前吸收(图1B1、图1B2)。2月8日(发病第8天)血常规:白细胞8.0×109/L,中性粒细胞百分比27.5%,淋巴细胞百分比65.5%,中性粒细胞计数2.19×109/L,淋巴细胞计数5.24×109/L;超敏C-反应蛋白0.06 mg/L;肝功能正常。


A1、A2:患儿发病当天,胸部CT提示右肺上叶纹理增多模糊,可见条片状模糊影;B1、B2:患儿发病第6天,胸部CT提示肺部感染较前吸收(因患儿肺部CT检查时不配合,导致图像略有模糊)。
治疗:入院后给予干扰素雾化抗病毒,口服愈酚甲麻那敏止咳化痰、双歧杆菌调节肠道菌群治疗。患儿体温正常,精神反应好,咳嗽、流涕减轻至消失。期间于2月5、7、9、11日(发病第5、7、9、11天)行咽拭子新型冠状病毒核酸检测,分别呈阴性、阳性、阴性、阳性。
患儿发病后,其奶奶于2月2日出现咽痛、咳嗽,2月6日确诊新型冠状病毒肺炎,于我院住院治疗,目前患儿母亲及奶奶均病情稳定。患儿父亲无症状,2月8日咽拭子新型冠状病毒核酸检测阳性,于我院住院隔离。患儿堂姑在武汉期间未曾接触发热、咳嗽等症状患者,自武汉返回后一直无不适,2月8日行咽拭子新型冠状病毒核酸检测呈阴性。
病例2 患儿,男,5岁2个月,因"发热半天后咳嗽3 d,腹泻2 d"于2020年2月6日入院。患儿及父母1月21日与武汉返乡人员(1月28日确诊新型冠状病毒肺炎)接触,其父1月27日出现发热、肌肉酸痛、咳嗽,2月4日确诊新型冠状病毒肺炎,于我院住院治疗。患儿于2月3日出现发热,体温38 ℃,伴咳嗽,于当地卫生院予以口服药物,未再发热,2月4日出现腹泻,大便为黄稀糊状,无黏液脓血,3~4次/d,到我院发热门诊就诊,疑似新型冠状病毒肺炎,入住定点留观病房,留观期间口服奥司他韦、蒙脱石散,患儿未再发热,咳嗽、腹泻有所缓解。2月5日本院咽拭子新型冠状病毒核酸检测可疑阳性,2月6日万州区疾控中心咽拭子新型冠状病毒核酸检测阳性。经专家组会诊,确诊新型冠状病毒肺炎(普通型),2月6日收入住院。患儿出生时曾行肠闭锁手术,平素消化功能较差,常腹泻,自幼营养不良,发育差。入院查体:T 36.8 ℃,P 95次/min, R 25次/min,BP 95/60 mmHg,经皮氧饱和度98%,体重13 kg。神清,精神反应可,消瘦,营养不良貌,呼吸平稳,面色红润,双侧瞳孔等大等圆,对光反射灵敏,咽充血,颈软,双肺呼吸音粗,未闻及干湿啰音。心音有力,律齐,心前区未闻及杂音。腹软不胀,肝脾肋下未触及,肠鸣4~5次/min。四肢肌力、肌张力正常,肢端温,神经系统无阳性体征。
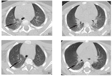
辅助检查:2月5日血常规:白细胞6.2×109/L,中性粒细胞百分比27.7%,淋巴细胞百分比60.1%,中性粒细胞计数1.72×109/L,淋巴细胞计数3.73×109/L,血红蛋白117 g/L,血小板252×109/L;C-反应蛋白7.81 mg/L,降钙素原0.05 μg/L;肝功能、肾功能、血气电解质、心肌酶谱、凝血功能均正常。胸部CT(发病第3天):左肺上叶尖后段、左肺下叶少量斑片状磨玻璃影,考虑感染,病毒性肺炎待排查(图2A1、图2A2)。乙型流感病毒核酸检测阴性,呼吸道合胞病毒、腺病毒、副流感病毒抗原阴性,肺炎支原体抗体IgM阴性。粪常规未见异常。2月10日(发病第8天)胸部CT:左肺上叶尖后段、左肺下叶磨玻璃影,考虑感染,较2月5日略有减少(图2B1、图2B2)。2月12日(发病第10天)血常规:白细胞8.7×109/L,中性粒细胞百分比43.9%,淋巴细胞百分比48.7%,中性粒细胞计数3.82×109/L,淋巴细胞计数4.24×109/L;超敏C-反应蛋白0.32 mg/L,降钙素原0.034 ng/ml;血气电解质、肝肾功能、心肌酶谱、凝血功能正常。


A1、A2:患儿发病第3天,胸部CT提示左肺上叶尖后段、左肺下叶少量斑片状磨玻璃影;B1、B2:患儿发病第8天,胸部CT提示左肺上叶尖后段、左肺下叶磨玻璃影较前减少。
治疗:入院后给予干扰素雾化抗病毒,口服愈酚甲麻那敏止咳化痰、蒙脱石散保护胃肠黏膜、双歧杆菌调节肠道菌群治疗,住院第2~5天同时输注利巴韦林10 mg/(kg·d)。患儿无发热,咳嗽、腹泻逐渐减轻。2月8日(发病第6天)肛拭子新型冠状病毒核酸检测阳性;2月11日(发病第9天)肛拭子及咽拭子新型冠状病毒核酸检测均阳性。
患儿母亲于2月4日出现咳嗽,2月8日诊断新型冠状病毒肺炎,于我院住院治疗,目前患儿父母均病情稳定。
儿童受其自身生活能力影响,活动范围与家人密切相关。我们收治的2例患儿,病例1与父母及祖父母同住,病例2与父母同住。两者均无疫源地暴露史,与家人一同接触武汉返乡人员后发病。提示对于非湖北地区的儿童,确切的流行病学史对于疑似病例的早期识别尤其重要。患儿发病前,与其亲密接触的近亲属中已存在确诊患者,患儿发病后,家庭中相继出现其他成员发病。提示儿童新型冠状病毒肺炎病例具有明显家庭聚集性发病特征,若家庭成员中有确诊患者或存在聚集性发病现象时,应想到儿童发病及隐性感染的可能,尽可能早期行病原核酸检测。另一方面,此2例患儿,病例1年龄仅7个月25 d,病例2存在营养不良基础,提示在疫情监测过程中,需重视对婴幼儿及伴有基础疾病者的早期筛查。
冬季为儿童流感等呼吸道感染高发季节,此2例患儿首发症状均为发热,均伴有呼吸道症状,以咳嗽为主,病例1伴有流涕、声嘶,病例2有腹泻。就症状而言,早期很难与流感病毒、腺病毒、肺炎支原体等其他常见呼吸道感染鉴别。但分析病史资料,我们发现,2例患儿发热程度均不高,以中低热为主,且持续时间短,半天后体温即恢复正常,与流感病毒等感染患儿多表现为反复高热数天不同。2例患儿均无气促、呼吸困难、发绀等表现,查体肺部体征不重,无明显湿啰音,2~3 d临床症状即明显改善,其表现与前期报道儿童新型冠状病毒感染病例多为轻症特点相符[3,4,5]。
成人新型冠状病毒感染,较多表现为早期淋巴细胞下降[6]。此2例患儿,C-反应蛋白、降钙素原正常,病例1首次血常规提示淋巴细胞计数较相同年龄段正常值稍有偏低,但很快恢复正常。病例2两次血常规淋巴细胞计数均正常,提示儿童病例淋巴细胞降低现象并不明显,原因考虑与患儿自身免疫功能发育不完善,导致免疫应答低下有关,由此也可以解释为何儿童病例多表现为轻症的临床特点[7]。2例患儿胸部CT均提示肺部感染,其中病例2提示磨玻璃样改变,提示在疾病流行期间,相对于淋巴细胞水平,肺部影像学检查可能更具有辅助参考意义。值得注意的是,临床上部分新型冠状病毒肺炎患儿可能无症状,而肺部已存在磨玻璃样改变[8]。故目前有学者认为,对于儿童新型冠状病毒肺炎,肺部CT表现可作为临床早期诊断和防控干预的重要依据[9]。
新型冠状病毒感染的确诊主要依据病毒核酸检测,但目前部分地区仍受检测条件的限制,不能及时采样,且采样的样本来源及采样操作、样本保存的规范性参差不齐,可能导致假阴性的发生。在《新型冠状病毒感染的肺炎诊疗方案(试行第五版)》[10]中,就湖北省增加了临床诊断病例标准,很大程度上避免了追求病原学检查而导致漏诊的发生。目前对于湖北以外地区,尚无临床诊断病例标准,但对于临床高度疑似,而无法进行核酸检测或检测阴性者,我们建议可参照湖北临床诊断病例标准执行,必要时反复多次核酸检测以提高阳性检测率。
目前,新型冠状病毒肺炎尚无特效治疗方法。此2例患儿,我们均给予了干扰素雾化,病例2同时予以短疗程利巴韦林输注,但无证据表明患儿病情缓解与抗病毒药物的使用有关。鉴于利巴韦林等抗病毒药物对于儿童的不良反应较大,我们认为,在无确切证据表明可能使患儿获益的情况下,临床选用仍应慎重。
人体感染新型冠状病毒后,病毒在人体内存留及抗体形成的时间尚不确切。病例1患儿为接触武汉返乡的堂姑后发病,且家中先后多人发病,从流行病学考虑,病原应为其堂姑携带,但患儿堂姑一直无症状,返乡20 d时行咽拭子核酸检测呈阴性,考虑与检查时间与暴露时间相距较长有关。本文2例患儿,目前体温及呼吸道症状、影像学检查均已达相关出院标准[10],但病毒核酸检测反复阳性。病例1住院后已行4次咽拭子核酸检测,其中第1次和第3次为阴性,第2及第4次呈阳性。病例2因病程中有腹泻表现,我们在咽拭子基础上,进行了肛拭子检测,均呈阳性。就目前情况来看,病例1患儿病程已达13 d,病例2病程也已达11 d,两例患儿核酸检测仍呈阳性,预期咽拭子转阴时程可能需半个月以上。加上目前肛拭子检测经验较少,可能转阴的时间无法确定,是否以其作为治疗效果的评价及出院参考指标有待于进一步观察。
目前儿童新型冠状病毒肺炎病例总体较少,通过对我院2例患儿的综合分析,我们发现,儿童新型冠状病毒肺炎具有明显的家庭聚集性发病特征,详尽准确的流行病学史对患儿的诊断尤为重要,对于临床高度疑似的患儿,早期核酸检测较为关键。目前认为,对于儿童新型冠状病毒感染病例,应强调早识别、早隔离、早诊断、早治疗的管理原则[11,12]。但考虑儿童与成人病例之间存在的客观差异,儿童新型冠状病毒感染的预防和控制策略,需要更大范围深入探讨。
所有作者均声明不存在利益冲突





















