
归纳罹患坏死性肺炎(necrotizing pneumonia,NP)患儿经可弯曲支气管镜术治疗后胸部CT影像学特点及疾病转归,以提高临床医师对本病的诊治水平。
回顾性分析2015年9月至2019年4月青岛市妇女儿童医院收治的66例NP患儿的临床资料及影像学特点,其中46例行可弯曲支气管镜术(观察组),与20例未行此术患儿(对照组)进行对照分析。
66例患儿病初均出现肺实变,后期在实变影内出现多发含气囊腔。观察组与对照组在一般资料、临床表现、实验室检查、病原学方面无统计学差异(P>0.05)。观察组患儿肺部并发症发生率较低,肺部阴影完全吸收率更高,差异有统计学意义(均P<0.05)。
可弯曲支气管镜术治疗儿童NP具有重要的临床价值,胸部CT为儿童NP的早期识别及疾病转归提供可靠的影像学依据。
版权归中华医学会所有。
未经授权,不得转载、摘编本刊文章,不得使用本刊的版式设计。
除非特别声明,本刊刊出的所有文章不代表中华医学会和本刊编委会的观点。
坏死性肺炎(necrotizing pneumonia,NP)是以肺液化坏死和肺内组织空洞形成为特征[1],目前尚无明确及统一的定义。从组织病理学角度分析,NP与肺脓肿相似。有学者认为NP和肺脓肿是两种不同的疾病,NP胸部CT表现为:肺实变区多个薄壁空洞或囊泡影,可融合成大空洞,部分伴液气平,胸部增强CT示空洞边缘无强化;而肺脓肿表现为厚壁空洞、内缘光滑,增强后空洞壁呈环形强化[2]。随着低剂量CT扫描在儿童胸部检查的普及,与胸部平片相比,胸部CT具有更高的敏感性和准确性,可评估肺实质的变化,可确定患儿胸部是否有潜在的先天性疾病[3]。可弯曲支气管镜术在NP诊治中具有重要价值,不仅有助于早期诊断,同时能够减少炎症介质、清除痰栓、解除支气管狭窄等对NP患儿的病情恢复有益。本文回顾性分析2015年9月至2019年4月青岛市妇女儿童医院收治的66例NP患儿的临床资料及影像学特点,其中46例行可弯曲支气管镜术,与20例未行此术患儿进行对照分析,总结NP患儿经可弯曲支气管镜术治疗后胸部CT特征及疾病转归特点。
2015年9月至2019年4月青岛市妇女儿童医院收治的66例NP患儿,纳入标准:依据《诸福棠实用儿科学》第8版诊断标准符合"大叶性肺炎"诊断;患儿病初均出现肺实变,经常规抗感染治疗1~2周,复查胸部CT在实变影内出现多发含气囊腔;排除肺脓肿、肺囊肿、肺结核等胸部CT上可出现空洞的肺疾病,确诊为NP[2]。符合《中国儿科可弯曲支气管镜术指南》的适应证,其中46例征得家属同意接受此项检查与治疗,签署手术同意书为观察组,于住院期间行可弯曲支气管镜术;不同意者20例为对照组。本研究通过青岛市妇女儿童医院伦理委员会审查同意(批号:QFELL-YJ-2020-21)。
回顾性分析66例患儿的一般资料、临床表现、辅助检查、治疗方法及预后等。其中辅助检查包括血常规、CRP、D-二聚体、病原学、胸部CT(飞利浦Brilliance64CT机)及可弯曲支气管镜检查等。治疗方法:对照组患儿给予全身抗感染及对症治疗,观察组患儿在对照组治疗的基础上行可弯曲支气管镜术及肺泡灌洗治疗。手术操作:可弯曲支气管镜采用Olympus BF-XP260型号(外径为2.8 mm)或Olympus BF-P260型号(外径为4.0 mm)(根据年龄大小和术中具体情况选择型号),术前禁食4~6 h,术前20 min肌肉注射阿托品0.02 mg/kg及静脉注射咪达唑仑0.2 mg/kg,检查时应用2%利多卡因采用"边麻醉边进"方法行呼吸道黏膜表面麻醉,经鼻腔通过喉、声门,主气管、支气管及其亚段,到达病变部位,对照胸部CT,于病变部位予37℃生理盐水,每次0.5 mL/kg进行肺泡灌洗,重复1~2次。每次冲洗后迅速用负压吸引器进行抽吸。全过程用脉冲血氧计监测血氧饱和度。支气管肺泡灌洗液经支气管镜吸引孔回收至一次性无菌硅化收集器,于30 min内送检,于第1次采集肺泡灌洗液进行病原检测、细胞学常规、细菌培养及药敏等相关实验室检查,以指导抗生素用药。所有患儿好转出院后1个月、3个月、6个月时门诊复查,随访6个月。
用SPSS 22.0软件进行数据分析,计量资料以均数±标准差(Mean±SD)表示,两组间比较采用t检验;计数资料以百分比表示,组间比较采用χ2检验。以P<0.05为差异有统计学意义。
观察组46例中男25例,女21例,年龄(5.11±2.66)岁。对照组20例中男11例,女9例,年龄(5.68±2.75)岁。两组患儿的性别比较差异无统计学意义(χ2=20.002,P=0.964),年龄比较差异无统计学意义(t=-1.131,P=0.621),具有可比性。
两组患儿入院时发热时间、咳嗽、胸痛、肺部干湿啰音等临床表现,差异无统计学意义(P>0.05)。两组患儿入院时白细胞计数、C反应蛋白、D-二聚体等实验室指标,差异无统计学意义(P>0.05)。两组患儿病原检出阳性率及种类,差异无统计学意义(P>0.05)。两组患儿病变部位≥2个肺叶、病变位于右肺中叶、合并胸腔积液、合并肺不张影像学表现,差异无统计学意义(P>0.05)。见表1。

观察组与对照组患儿入院时情况比较
观察组与对照组患儿入院时情况比较
| 项目 | 观察组(n=46) | 对照组(n=20) | t/χ2值 | P值 | |
|---|---|---|---|---|---|
| 临床表现 | |||||
| 入院前发热时间(Mean±SD,d) | 10.61±1.63 | 9.69±2.25 | 0.868 | 0.389 | |
| 咳嗽[例(%)] | 46(100.0) | 20(100.0) | 0.000 | 1.000 | |
| 胸痛[例(%)] | 4(8.7) | 2(10.0) | 0.029 | 0.865 | |
| 干湿啰音[例(%)] | 31(67.4) | 13(65.0) | 0.036 | 0.850 | |
| 呼吸音减低[例(%)] | 36(78.3) | 15(75.0) | 0.084 | 0.772 | |
| 实验室检查(Mean±SD) | |||||
| 白细胞计数(×109/L) | 13.82±4.12 | 14.36±3.932 | -0.666 | 0.508 | |
| 中性粒细胞计数(%) | 58.37±11.73 | 61.03±9.83 | 0.477 | 0.635 | |
| C-反应蛋白(mg/L) | 53.34±16.26 | 48.01±12.89 | 0.202 | 0.656 | |
| 红细胞沉降率(mm/1 h) | 48.36±15.12 | 43.01±12.64 | -0.533 | 0.607 | |
| D-二聚体(mg/L) | 6.21±2.02 | 7.02±2.13 | 0.842 | 0.412 | |
| 病原学检查[例(%)] | |||||
| 肺炎链球菌 | 6(13.0) | 2(10.0) | 0.121 | 0.728 | |
| 金黄色葡萄球菌 | 6(13.0) | 3(15.0) | 0.045 | 0.832 | |
| 流感嗜血杆菌 | 2(4.3) | 1(5.0) | 0.014 | 0.906 | |
| 肺炎支原体 | 19(41.3) | 9(45.0) | 0.078 | 0.780 | |
| 流感病毒 | 3(6.5) | 1(5.0) | 0.057 | 0.811 | |
| 影像学表现[例(%)] | |||||
| 主要病变≥2个肺叶 | 10(21.7) | 4(20.0) | 0.025 | 0.874 | |
| 主要病变位于右肺中叶 | 16(35.0) | 6(30.0) | 0.143 | 0.705 | |
| 肺不张 | 20(43.4) | 9(45.0) | 0.013 | 0.909 | |
| 胸腔积液 | 28(60.9) | 11(55.0) | 0.199 | 0.656 | |
所有患儿均接受抗感染治疗,细菌培养阳性病例按照药敏结果调整抗生素用药。合并脓毒症患儿急性期予静滴甲泼尼龙和丙种球蛋白。急性期D-二聚体升高≥3.0 mg/L患儿,予低分子肝素抗凝(50 IU/kg、1次/12 h)治疗。观察组在此基础上行可弯曲支气管镜术,镜下可见支气管黏膜充血水肿、黏膜皱襞、黏膜溃疡糜烂、黏膜坏死、塑型性黏液栓、管腔狭窄、大量痰栓堵塞,经反复肺泡灌洗、钳夹及刷检后管腔恢复通畅(图1)。20例患儿住院期间行1次可弯曲支气管镜术治疗;23例患儿行2次可弯曲支气管镜术治疗;2例患儿行3次可弯曲支气管镜术治疗;1例患儿管腔狭窄,痰栓堵塞严重,先后共行6次支气管镜检查并行肺泡灌洗、钳夹和刷检治疗。


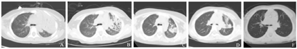
患儿,男,4岁,A :入院时胸部CT示左肺肺炎并肺不张、胸腔积液;B:入院后1周胸部CT示左肺大片状、斑片状密度增高影,可见支气管充气征及多发小囊泡状透亮影,部分支气管扩张,予可弯曲支气管镜术治疗;C:出院后1个月胸部CT示肺炎吸收期,胸腔积液已吸收,左侧背部胸膜局部略厚,肺囊泡影较前基本好转;D:出院后3个月胸部CT示肺炎吸收期,肺囊泡影已消失;E:出院后6个月胸部CT示肺炎已吸收。
所有患儿均好转出院,定期门诊复查随访6个月,观察组患儿合并肺不张、胸腔积液、胸膜增厚、支气管扩张肺部并发症的比例较对照组低,观察组患儿肺部影像学异常完全消失的比例较对照组高,差异均有统计学意义(P<0.05)。见表2。

观察组与对照组患儿肺部并发症及影像学异常完全消失的比较[例(%)]
观察组与对照组患儿肺部并发症及影像学异常完全消失的比较[例(%)]
| 门诊复查时间 | 肺部并发症 | 观察组(n=46) | 对照组(n=20) | χ2值 | P值 |
|---|---|---|---|---|---|
| 出院后 | |||||
| 1个月 | 肺不张 | 2(4.3) | 7(35.0) | 11.121 | 0.001 |
| 胸腔积液 | 1(2.2) | 5(25.0) | 8.788 | 0.003 | |
| 胸膜增厚 | 1(2.2) | 5(25.0) | 8.788 | 0.003 | |
| 支气管扩张 | 3 (6.5) | 8(40.0) | 11.249 | 0.001 | |
| 影像学异常消失 | 33(71.7) | 9(45.0) | 4.307 | 0.038 | |
| 出院后 | |||||
| 3个月 | 肺不张 | 1(2.2) | 4(20.0) | 6.326 | 0.012 |
| 胸腔积液 | 0 (0.0) | 3(15.0) | 7.229 | 0.007 | |
| 胸膜增厚 | 4(8.7) | 7(35.0) | 6.944 | 0.008 | |
| 支气管扩张 | 2(4.3) | 5(25.0) | 6.271 | 0.012 | |
| 影像学异常消失 | 39(84.8) | 9(45.0) | 11.123 | 0.001 | |
| 出院后 | |||||
| 6个月 | 肺不张 | 0(0.0) | 4(20.0) | 9.794 | 0.002 |
| 闭塞性细支气管炎 | 0(0.0) | 3(15.0) | 7.229 | 0.007 | |
| 胸膜增厚 | 2(4.3) | 5(25.0) | 6.271 | 0.012 | |
| 支气管扩张 | 1(2.2) | 4(20.0) | 6.326 | 0.012 | |
| 影像学异常消失 | 43(93.5) | 11(55.0) | 13.874 | <0.001 |
社区获得性肺炎较其他肺部疾病存在更高的住院率及近期病死率。其并发症包括脓胸、肺不张、胸腔积液、支气管扩张、闭塞性细支气管炎、NP等。NP是社区获得性肺炎的一种严重并发症;病情进展迅速,可合并严重脓毒症、气胸、支气管胸膜瘘等而危及生命。文献报道约4%儿童社区获得性肺炎合并坏死性病变,且近20年检出率逐渐增高,如何才能早期识别和积极治疗NP应引起临床及影像科医生重视。儿童NP是由各种因素引起的肺实质坏死性病变,病理诊断为本病确诊依据之一,但因取材困难及家长的配合度等问题,开展困难,目前国内主要靠胸部CT检查诊断。
多种病原体与NP相关。既往报道成人NP以金黄色葡萄球菌感染为主,儿童NP的病原以肺炎支原体、肺炎链球菌及金黄色葡萄球菌为主,流感嗜血杆菌、军团菌、肺炎克雷伯杆菌、铜绿假单胞菌、A族溶血性链球菌、厌氧菌、结核分支杆菌、曲霉菌、星形如卡菌、荚膜组织胞浆菌等均可导致NP[2,3]。不同病原导致肺部坏死的发生机制不尽相同。金黄色葡萄球菌能分泌溶血毒素、血浆凝固酶、杀白细胞素等造成肺组织坏死,当坏死组织被排出后,感染部位就会形成空洞[4]。不同血清型肺炎链球菌株的毒力及致病性不同,据文献报道血清型3和19A与NP密切相关。血清型3菌株,可强烈抵抗巨噬细胞调理吞噬作用并诱导过度炎症反应,中性粒细胞浸润伴化脓性坏死。血清型19A菌株侵袭性强,能表达多种抗生素耐药基因。在机体免疫力低下时,可以穿过黏膜屏障进入血流,可能通过血行播散导致肺内血管壁增殖造成动脉、静脉栓塞,从而导致肺部坏死的发生[5]。肺炎支原体感染后与气道上皮细胞黏附,多种肺炎支原体脂蛋白参与炎性因子释放及炎症反应产生,释放社区获得性呼吸窘迫综合征毒素,导致细胞代谢及信号转导异常;产生氧化应激,引起上皮细胞空泡变性、线粒体肿胀、细胞溶解及坏死等病理改变。关于肺炎链球菌及肺炎支原体损伤宿主细胞的确切机制尚待进一步研究[6]。此外,在低收入、人类免疫缺陷病毒感染率很高的国家,结核分支杆菌是小儿NP的常见病因。结核分支杆菌所致肺坏死主要由结核结节中心的干酪样坏死融合及结核球中心溶解后经支气管排出而形成,其空洞壁多为纤维组织、肉芽肿及大量淋巴、上皮细胞浸润。本研究中所有患儿均已排除结核分支杆菌感染,病原学阳性率及主要病原与文献报道相似[3]。有3例患儿金黄色葡萄球菌合并流感病毒感染,病情重,观察组2例经积极抗感染及可弯曲支气管镜治疗,预后良好;对照组1例合并支气管胸膜瘘行外科手术治疗。
本研究显示两组患儿疾病初期均存在持续高热,结合WBC计数、CRP、ESR等指标考虑存在过度全身炎症反应,可早期预警病变坏死,应积极行胸部CT检查。多数患儿顽固性剧烈咳嗽,部分患儿伴憋气及胸痛,提示存在气道痉挛及胸膜反应。高达77.3%(51/66)的患儿存在患侧呼吸音减低,提示存在气道阻塞及肺不张。两组患儿D-二聚体均明显升高,提示血液高凝状态,考虑病变处微血栓形成,导致局部供血不足,加重坏死进程,急性期予抗凝治疗意义重大,两组均无肺栓塞及DIC发生。有文献报道D-二聚体水平和社区获得性肺炎的严重程度及肺部病变范围正相关[7]。
由于呼吸系统生理解剖的特点,小儿在患肺部炎性疾病时,易引起支气管黏膜肿胀、平滑肌痉挛、黏液分泌物阻塞呼吸道而引起肺不张。可弯曲支气管镜及肺泡灌洗治疗可直接达到病灶部位,清理痰液、黏液栓及肉芽坏死组织,解除支气管阻塞,改善通气,促进肺复张。据报道支气管镜下出现顽固痰栓堵塞需要活检钳才能清除也是NP的独立预测因素[8]。
本研究显示观察组患儿随访时肺不张的并发率明显低于对照组。两组患儿疾病初期炎症指标均升高明显,炎性细胞因子的产生和淋巴细胞的激活可以严重损害呼吸道上皮细胞,引发免疫系统超敏反应和全身炎症反应导致病情恶化。可弯曲支气管镜术有助于NP的病原诊断,在清除致病菌的同时,也大大稀释和减少了支气管肺泡中的炎性细胞及细胞因子,直接而有效地改善局部炎症病变,缓解呼吸道症状和体征。能更好的促进炎症吸收,缩短病程,并有效减少了并发症发生,以上特点使可弯曲支气管镜术在儿童NP的治疗方面具有独特的临床价值。观察组患儿随访6个月,胸部CT示肺部阴影完全吸收率达93.5%,无一例需要外科手术治疗,预后良好。对照组患儿肺部阴影完全吸收率仅55%,1例患儿因合并支气管胸膜瘘,行外科手术治疗。NP临床过程严重,但经合理治疗大多预后良好[9,10]。
综上所述,可弯曲支气管镜及肺泡灌洗术在儿童NP的治疗方面具有独特的临床价值。胸部CT为NP的早期诊断提供可靠的影像学依据,用于评估NP患儿疾病转归变化有重要的临床价值。
所有作者均声明不存在利益冲突





















