
探讨Shwachman-Diamond综合征(Shwachman-Diamond syndrome,SDS)在新生儿期的临床特点。
选取1例临床及基因诊断明确的新生儿SDS病例,回顾性分析其临床特点、实验室及影像学检查以及基因检测结果,并对2004年以来国内外报道的临床及基因诊断明确且有新生儿期病史的27例SDS患儿的资料进行文献复习。
(1)本例患儿表现为以中性粒细胞减少为主的三系减低,粒细胞绝对值最低降至0,X线胸片提示胸廓窄,后肋骨呈弓形,基因诊断结果为SBDS基因的双基因复合杂合突变,确诊为SDS。(2)文献复习:国外18例,其中早产9例(50.0%),造血功能障碍13例(72.2%),胰腺脂肪化7例(38.9%),腹泻3例(16.7%),胸廓发育不良13例(72.2%),骨X线改变15例(83.3%),低血糖5例(27.8%),肝功能异常6例(33.3%)。包括本例在内国内共报道9例,早产1例(11.1%),造血功能障碍5例(66.7%),胰腺脂肪化3例(33.3%),腹泻7例(77.8%),胸廓发育不良1例(11.1%),骨X线改变3例(33.3%),肝功能异常2例(22.2%)。基因诊断资料显示国外14例(77.8%)存在SBDS基因最常见的c.183_184TA>CT或c.258+2T>C突变,国内9例患儿均存在一种或两种的复合杂合突变。
SDS在新生儿期最常见的表现是造血功能障碍,以中性粒细胞减少为主,胰腺外分泌功能不全在新生儿期并不常见,但长期脂肪泻及先天性胸廓发育不良的患儿需注意SDS的可能。
版权归中华医学会所有。
未经授权,不得转载、摘编本刊文章,不得使用本刊的版式设计。
除非特别声明,本刊刊出的所有文章不代表中华医学会和本刊编委会的观点。
Shwachman-Diamond综合征(Shwachman-Diamond syndrome,SDS)是一种少见的常染色体隐性遗传病,常累及多个器官,以骨髓造血功能障碍、胰腺外分泌功能不全及骨骼发育异常为主要表现,90%的病例存在SBDS基因突变[1],国外报道该病发病率为1/76 563[2]。大部分患儿的确诊时间为婴幼儿期,新生儿期发病并确诊的病例在国内外的文献报道中较为少见。现就中国医科大学附属盛京医院新生儿科收治的1例临床及基因确诊的SDS病例进行报道,并对国内外新生儿期发病的SDS病例进行文献复习,总结该病在新生儿期的表现,以提高儿科医生对该病的认识。
患儿,男,胎龄39周+1,日龄11 h,因"呼吸费力11 h"入院;于外院择期剖宫产出生,Apgar评分1 min 9分,5 min 10分;生后出现呼吸费力,予吸氧后收入我院。父母体健,母亲孕2产2,第1胎为足月女婴,体健。
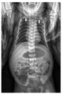
入院查体:体重3 160 g,面容特殊,嘴窄,神志清,弹足后哭声弱,呼吸促,呼吸频率62次/min,心脏查体无异常,无腹胀,无肝脾大,下肢肌张力正常,上肢肌张力减低,觅食、拥抱及握持反射不能引出。辅助检查:血常规:WBC 3.0×109/L,中性粒细胞绝对值0.5×109/L,红细胞2.3×1012/L,血红蛋白86 g/L,平均红细胞体积108 fL,血小板112×109/L;便常规未见脂肪球;肝功能:转氨酶正常;血淀粉酶7 U/L,脂肪酶4.5 U/L;免疫球蛋白定量及淋巴细胞绝对计数均正常。骨髓象增生重度减低。X线胸片可见胸廓较窄,后肋骨向下弯曲明显,呈弓状(图1);脊柱正位片未见异常,双下肢长骨干骺端未见明显异常。


基因分析:由智因东方公司对患儿及父母进行全外显子测序、基因数据分析及疑似致病突变Sanger测序验证。结果显示:在患儿染色体7q11上检测到SBDS基因的两个杂合突变c.184TA>CT和c.258+2T>C,分别来自母亲和父亲,母亲存在c.184TA>CT的杂合突变,父亲存在c.258+2T>C的杂合突变,见图2、图3。




诊疗情况:完善基因检测结合临床表现及辅助检查考虑SDS诊断成立。入院后患儿中性粒细胞绝对值最低为0,血红蛋白最低76 g/L,血小板最低42×109/L,给予间断应用粒细胞集落刺激因子,间断输注红细胞悬液,出院时中性粒细胞绝对值1.9×109/L,血红蛋白98 g/L,血小板89×109/L,期间发生败血症1次,血培养为大肠埃希菌,经美罗培南抗炎后好转,住院期间排便正常。患儿已出院,定期复查、随访中。
在PubMed、OVID、CNKI及万方等数据库,采用Shwachman-Diamond综合征、骨髓功能障碍、新生儿为关键词进行检索,共检索到文献40余篇,2004年至今有新生儿期病史并基因诊断明确的病例共27例,国外18例。
其中早产9例(50.0%),造血功能障碍13例(72.2%),胰腺脂肪化7例(38.9%),腹泻3例(16.7%),胸廓发育不良13例(72.2%),骨X线改变15例(83.3%),低血糖5例(27.8%),肝功能异常6例(33.3%)。包括本例在内,国内共报道9例,早产1例(11.1%),造血功能障碍5例(66.7%),胰腺脂肪化3例(33.3%),腹泻7例(77.8%),胸廓发育不良1例(11.1%),骨X线改变3例(33.3%),肝功能异常2例(22.2%)。基因诊断资料国外18例中,有14例存在SBDS基因最常见的c.183_184TA>CT或c.258+2T>C突变,国内9例患儿均是这两种突变的一种或两种的复合杂合突变。
1961年,Nezelof和Watchi[3]首次报道了一种婴儿期以胰腺外分泌功能不全及胰腺脂肪化为主要表现的疾病。之后数年,该病的另两种主要表现血细胞减少及骨骼发育异常被相继发现。随着分子诊断技术的进步,SBDS基因在2003年被证实与SDS的发病有关[4],基于新的诊断方法及后续研究,2011年国际SDS会议制定了新版诊治指南[5]。SDS的三大主要表现为骨髓造血功能障碍、胰腺外分泌功能不全及骨骼发育异常;同时还可累及其他脏器,如肝脏、肾脏、神经系统及免疫系统。该病临床表现个体差异较大,大部分病例在婴儿期因发育迟缓、喂养困难或反复感染就诊,临床常在生后几年内确诊,有的病例甚至到成年才确诊,意大利的一项针对121例SDS的研究显示确诊年龄的中位数是1.3岁[6]。新生儿期确诊SDS非常困难,因为很多典型症状随着年龄的增长才会出现,但在分子诊断技术已广泛应用于临床的今天,尽早发现可疑症状对早期进行基因诊断是非常有利的。
SDS的造血系统异常表现有中性粒细胞减少、贫血及血小板减少。中性粒细胞减少最常见,几乎见于所有病例,可发生在新生儿期,轻重程度不一,可持续存在也可间断出现,中性粒细胞减少导致的败血症、肺炎等反复感染是导致婴幼儿期SDS患儿死亡的重要原因。SDS发生严重血液系统病变的可能性较高,10%~65%的病例可能存在严重的骨髓功能衰竭,15%~20%的SDS病例会转化为骨髓增生异常综合征(myelodysplastic syndromes,MDS)或急性髓细胞性白血病(acute myelocytic leukemia,AML)[7]。一项法国的研究提示,过早的发病年龄及发病时伴有血细胞减少是发生严重血液系统并发症的高危因素[8],一旦发生MDS或AML,无论是否接受治疗,预后往往较差。本病例存在严重中性粒细胞减少,合并贫血及血小板减低,且发病年龄小,提示预后不良。目前对于持续的严重血细胞减少、MDS及AML,造血干细胞移植仍是唯一治疗手段,但以往的标准清髓准备方案毒性较大,欧洲的一项研究显示74例接受造血干细胞移植的SDS患者中,21例死于治疗相关毒性反应[9]。近年来低强度的治疗方案应用后,严重血细胞减少及MDS患者造血干细胞移植的预后显著改善,但合并AML的SDS患者移植预后仍较差[10]。
不同程度的胰腺外分泌功能不全是SDS的另一显著特征。国外研究发现,SDS是引起胰腺外分泌功能不全的第2位病因,第1位是囊性纤维化[11]。大部分病例在生后6~12个月诊断胰腺外分泌功能不全,主要表现为脂肪泻,伴有生长发育迟缓,原因是胰腺分泌淀粉酶及脂肪酶等消化酶不足导致消化不良,影像学检查可见胰腺脂肪化,实验室检查可见胰蛋白酶原、胰淀粉酶或脂肪酶水平的降低,治疗方面主要是胰酶替代疗法以改善消化功能,随着年龄的增长,胰腺外分泌功能常会逐渐恢复[12]。新生儿期诊断胰腺外分泌功能较难,因为症状不明显,且出生早期胰酶的水平本身较低,实验室检查缺乏临床价值。本例患儿无脂肪泻表现,但复习文献发现,国内外均有新生儿期腹泻的病例,国内比例较高(77.8%),由此可见长期腹泻、尤其是脂肪泻,伴有生长受限的新生儿,需注意SDS,这可能是其首发症状。
骨骼发育异常在SDS中也比较常见,典型表现有身材矮小,可见于超过50%的病例;干骺端及软骨发育不良,可见于40%~80%的病例;胸廓发育不良,可见于30%~50%的病例,其中严重的胸廓畸形病例有新生儿期呼吸衰竭的病史[13];此外还有骨质疏松、锥体塌陷等表现。本例患儿X线胸片提示存在胸廓较窄,后肋骨向下弯曲呈弓形,符合SDS改变,长骨干骺端未见明显异常,复习文献发现国外SDS病例新生儿期较多存在胸廓发育不良,有13例(72.2%),15例(83.3%)存在骨干骺端发育异常等X线改变,既往有文献报道在新生儿期诊断为窒息性胸廓发育不良的病例最终确诊为SDS[14],但国内SDS存在骨骼发育异常的病例较少,没有胸廓发育不良的病例报道,可能因为国内医生对SDS的骨骼表现认识尚不足,需注意某些SDS病例可能在出生时即有胸廓窄、肋骨畸形等表现。
肝脏受累在SDS中较多见,75%的病例存在转氨酶升高[15],但本次文献复习发现,国内外在新生儿期转氨酶升高的病例比例并不高。低血糖见于部分国外报道的病例,国内病例未见报道。同时国外病例有一半为早产,出生体重小于同胎龄第5百分位的病例,有11例(61.1%),提示SDS可能导致宫内生长受限。
2017年以前,SBDS基因一直被认为是SDS的唯一致病基因,最常见的两种突变为c.183_184TA>CT和c.258+2T>C。本例患儿就是c.184TA>CT和c.258+2T>C的复合杂合突变,两个突变分别遗传自母亲及父亲,此前国内也有文献报道了相同的突变形式[16]。但既往文献报道约10%的SDS病例针对SBDS基因筛查是阴性的,直到最近的研究证明SRP54、DNAJC21和EFL1的突变也可引起SDS的临床表现[17,18,19],其分子生物学基础是这3种基因及SBDS基因共同参与了核糖体合成,这也进一步证明了SDS是一种核糖体病的假说。由此可见,临床高度疑似病例即使基因检查阴性也不能排除SDS,可能存在未知的相关基因突变。
综上,SDS在新生儿期最常见的表现是造血功能障碍,以中性粒细胞减少为主,胰腺外分泌功能不全在新生儿期并不常见,但长期脂肪泻或先天性胸廓发育不良的患儿需注意SDS的可能。
所有作者均声明不存在利益冲突





















