
分析儿童甲型流感病毒肺炎合并肺不张的临床特点。
收集厦门市儿童医院确诊的儿童甲型流感病毒肺炎合并肺不张病例41例,回顾性分析其临床表现、影像学改变、诊治经过及转归等临床资料。
41例甲型流感病毒肺炎合并肺不张患儿中,男18例,女23例,3岁以下25例,其中38例(92.6%)在冬春季发病;所有患儿均有发热、咳嗽,其中18例伴呼吸急促,1例合并呼吸衰竭;血常规白细胞升高19例,降钙素原升高17例,肝功能异常6例,心肌酶异常5例,D-二聚体、纤维蛋白原升高5例,痰培养发现8例合并肺炎支原体感染,11例合并肺炎链球菌感染,影像学41例均伴有不同程度肺不张,其中右肺不张13例,左肺10例,两肺多发实变不张18例。27例行电子纤维支气管镜检查,其中2例树枝样或胶冻样支气管塑形;所有患儿均给予奥司他韦/帕拉米韦抗病毒,合并细菌感染的根据相关检验结果及临床经验分别予阿奇霉素、头孢类等抗感染治疗,所有患儿均病情好转出院,出院后随访X线胸片和(或)胸部CT肺不张基本恢复。
甲型流感病毒肺炎合并肺不张,冬春季高发;3岁以下儿童多见;主要表现为发热、咳嗽,以高热为主;可出现混合感染;胸部影像学显示实变不张,可发生在任何肺叶,部分表现为多发实变不张,部分合并胸腔积液;除常规抗病毒、抗感染治疗外,适时行纤维支气管镜检查及肺泡灌洗治疗,对疾病的诊治及预后有意义。
版权归中华医学会所有。
未经授权,不得转载、摘编本刊文章,不得使用本刊的版式设计。
除非特别声明,本刊刊出的所有文章不代表中华医学会和本刊编委会的观点。
甲型流感(甲流)是由甲型流感病毒引起的急性呼吸道传染性疾病,该病起病急,进展快,具有季节性,发病率高,儿童作为重症病例高危人群应给予高度重视。肺不张是指一个或多个肺段/肺叶的容量或含气量减少,感染性肺不张在儿童时期较为常见,因其临床表现不典型,若得不到及时诊断和治疗,可造成肺不张长期存在,引起反复感染,影响肺功能。因此,甲型流感病毒引起的肺不张需引起广大儿科医生的高度警惕,但目前关于甲流肺炎合并肺不张的临床资料较少,现对2018年12月至2019年12月厦门市儿童医院甲流肺炎合并肺不张患儿的临床资料进行分析,以进一步提高诊治水平。
2018年12月至2019年12月厦门市儿童医院三病区收治住院的甲型流感病毒肺炎患儿252例,其中合并肺不张41例(16.3%)。诊断标准:(1)流感诊断参照国家卫生健康委员会公布的《流行性感冒诊疗方案(2018年版修订版)》[1];(2)所有患儿入院时均采集呼吸道标本(包括鼻咽拭子、痰液),部分患儿采集肺泡灌洗液,经免疫荧光法检测确定病原为甲型流感病毒;(3)肺炎及病情严重程度参照《儿童社区获得性肺炎诊疗规范(2019年版)》[2];(4)所有病例均经X线胸片证实为肺不张,部分病例同时经胸部CT证实,表现为一个或多个肺段/肺叶的不张。
所有患儿入院时采集鼻咽拭子通过金标法行甲型/乙型流感病毒抗原检测,用无菌吸痰管取呼吸道深处分泌物进行痰涂片培养,并通过免疫荧光法行7项呼吸道病原检测(痰标本均合格,涂片显示高倍镜下白细胞>25个,鳞状上皮细胞<10个),行纤维支气管镜检查+肺泡灌洗治疗者均取肺泡灌洗液行7项呼吸道病原及肺泡灌洗液培养,同时抽取血液标本测定血常规、C-反应蛋白(CRP)、肝肾功能、电解质、心肌酶谱、降钙素原(PCT)、凝血功能及肺炎支原体、衣原体、腺病毒血清学抗体,所有患儿均行X线胸片和(或)胸部CT明确病变部位及范围。回顾性分析患儿的临床表现、实验室检查、影像学资料、治疗方案及转归等。
本组41例甲型流感病毒肺炎合并肺不张患儿中,男18例,女23例;发病年龄8个月~11岁,中位年龄2岁8个月,其中3岁以下25例;38例(92.6%)在冬春季发病。
所有患儿均急性起病,均有发热,热程4~11 d,其中热峰≥40 ℃ 26例(63.4%);41例患儿均有不同程度咳嗽,17例伴有患侧呼吸音减低(41.5%),闻及湿啰音23例(56%);18例(43.9%)病程中有呼吸急促、吸气性三凹征阳性,7例(17%)伴有惊厥,12例(29.3%)伴恶心、呕吐等胃肠道反应。
外周血白细胞正常12例(29.2%),白细胞降低10例(24.4%),白细胞升高19例(46.3%),PCT升高17例(41.5%),肝功能异常6例(14.6%),心肌酶异常5例(12.2%),D-二聚体、纤维蛋白原升高5例(12.2%)。
呼吸道病原学均提示甲型流感病毒阳性。鼻咽拭子阳性29例(70.7%),本组患儿中共有27例行纤维支气管镜检查,其中肺泡灌洗液7项呼吸道病原学阳性12例(44.4%),痰培养阳性28例(68%),其中11例合并肺炎链球菌感染,8例合并肺炎支原体感染,5例合并流感嗜血杆菌感染,4例合并卡他莫拉菌感染。
所有患儿均行X线胸片和(或)胸部CT检查,有不同程度的肺不张(病程第3~7天),其中18例(43.9%)表现为两肺多发实变不张,9例(21.9%)表现为右下肺节段性实变不张,10例(24.3%)表现为左下肺节段性实变不张,4例(9.75%)表现为右中肺节段性实变不张;2个及2个以上肺段受累29例(70.7%);后期随访肺部CT有3例(7.3%)合并小气道病变。
本组患儿中有27例行纤维支气管镜检查+肺泡灌洗治疗,其中有2例行2次纤维支气管镜检查,24例镜下表现为黏膜充血、水肿,可见黄白黏液痰,2例镜下见部分亚段痰栓堵塞,取出物呈塑型,见图1。


A.镜下见黏膜充血、水肿,可见黄白黏液痰;B.镜下见部分亚段痰栓堵塞,取出物呈塑型。
所有患儿入院后(病程第2~6天)均给予抗病毒(奥司他韦/帕拉米韦)治疗,合并细菌或肺炎支原体感染者予对应抗感染治疗,5例给予丙种球蛋白调节免疫,11例予短时间甲泼尼龙抗炎,5例予鼻导管吸氧,3例予高流量吸氧,1例予呼吸机辅助通气,住院时间7~21 d。合并肝功能异常、心肌酶异常的分别予保肝、营养心肌治疗。
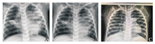
其中1例合并呼吸衰竭的患儿(男,1岁2个月),入院第2天出现呼吸急促,心率快,点头样呼吸,三凹征阳性,先后予鼻导管吸氧、高流量吸氧等,血氧均不能维持,遂予呼吸机辅助通气,痰培养回报肺炎链球菌,予头孢噻肟钠抗感染,甲泼尼龙抗炎,雾化吸痰,输注丙种球蛋白(2 g/kg)调节免疫、白蛋白(5 g)支持治疗;患儿入院时X线胸片提示两肺多发实变、肺不张(图2A),行纤维支气管镜检查及肺泡灌洗治疗,镜下见部分亚段痰栓堵塞,取出物呈塑形,肺泡灌洗液呼吸道病原提示甲型流感病毒阳性,治疗上加用帕拉米韦抗病毒,1周后复查胸片肺不张略吸收(图2B),但体温仍有反复,遂行第2次纤维支气管镜及肺泡灌洗治疗,镜下见黏膜充血、水肿,可见白黏痰;经上述治疗后,患儿体温平稳,呼吸血氧稳定,出院前复查X线胸片肺不张明显吸收(图2C)。本组治疗中所有患儿经治疗后均好转出院,出院前复查胸部影像学实变不张均较入院前不同程度吸收。出院后随访胸部CT有3例(7.3%)合并小气道病变。


A.入院时示两肺多发实变、肺不张;B.1周后复查示肺不张略吸收;C.出院前复查示肺不张明显吸收。
甲型流感病毒属于正黏病毒科,能感染人及多种动物(猪、狗、禽类等),具有传播快、起病急、病死率高的特征,变异复杂且有不确定性,曾多次引起世界性大流行。长期以来,甲型流感病毒一直是威胁人类健康的重要病原之一,甲流有明显的季节性,由特定的气候条件决定,包括温度、湿度、地形等,本组甲流所致肺不张大部分患儿集中在冬春季节发病,与甲流病毒的流行特性趋同。国内多位学者的研究结果也显示甲型流感病毒每年冬春季节出现流行[3,4]。本研究显示,甲流所致肺不张61%的患儿为3岁以下儿童,提示婴幼儿是本病的高发人群。分析原因考虑与婴幼儿免疫功能尚不成熟,抗感染能力较低下,感染流感病毒后,机体抑制病毒复制的能力不足有关。另外,文献显示小年龄甲流患儿若存在基础病(如先天性心脏病、神经系统疾病、先天肺部疾患等),发生肺不张、呼吸衰竭甚至死亡的风险也将大幅提高[5,6,7]。
甲型流感病毒肺炎合并肺不张的临床症状轻重不一,多急性起病,典型症状与其他病原体引起的肺不张相似[8],均有反复高热、不同程度的咳嗽咳痰,发热多为首发症状,可伴随D-二聚体、纤维蛋白原、肌酸激酶、转氨酶水平升高及电解质紊乱。本组患儿均有发热,且热峰>40 ℃比例高达63.4%,持续时间最长为11 d,故推测持续高热可能是甲流肺炎患儿发展至肺不张的重要原因。长时间高热说明炎症未有效控制,引起支气管黏膜充血、水肿、坏死、脱落,阻塞压迫管腔,导致肺不张甚至塑型形成。
本组中,28例(68%)甲流肺炎合并肺不张患儿存在混合感染,甲型流感病毒可破坏宿主上皮细胞,降低宿主对外界的抵抗力,继发混合感染,病原体包括细菌、肺炎支原体、真菌或其他病毒等,与其他研究结论相符[9]。Casalino等[10]关于流感病毒的前瞻性研究显示,流感病毒阴性的患者中只有5.6%合并细菌感染,而流感病毒阳性患者中高达到28.6%。Wu等[11]研究发现,甲型流感病毒可显著降低宿主巨噬细胞及中性粒细胞对肺炎链球菌的应答能力,同时亦可降低体内流感病毒特异性抗体水平,增加甲流混合感染的概率。有研究显示,甲流混合肺炎支原体感染率最高(达28.1%)[12],流感病毒较易合并肺炎链球菌感染[13]。但目前流感最易合并感染的病原体尚无定论。本组中甲流肺炎合并肺不张的混合感染比例虽高,但肺炎支原体、不同细菌(肺炎链球菌、流感嗜血杆菌、卡他莫拉菌)均有不同比例发现,尚不能得出更易合并某种病原体感染的结论。
本组12例患儿常规鼻咽拭子的流感病毒检测结果为阴性,后经纤维支气管镜留取肺泡灌洗液送检显示甲流病毒阳性,提示留取鼻咽部分泌物检测虽简单易行,但易受诸多因素(如取材不规范、灵敏度低等)影响出现假阴性,而肺泡灌洗液为直接由病变部位取得,能更直接反映病原,提高检测阳性率,可作为鼻咽拭子方法的有益补充。
本组胸部影像学显示甲型流感病毒肺炎合并肺不张可发生于任何肺叶,部分患儿表现为多发实变不张,可合并胸腔积液。纤维支气管镜肺泡灌洗能有效去除黏附于气道表面的病原体,有效减轻病原体对支气管黏膜的直接及间接损伤,提升肺部扩张能力,实现肺部充气和肺循环结构重组,有效改善肺不张患儿临床症状[14]。本组27例患儿进行支气管镜治疗,疗效可靠。本组2例患儿纤维支气管镜下取出塑型样内生异物,塑型性支气管炎是流感肺炎合并肺不张的严重并发症,如未及时发现并处理可能危及生命[15,16,17]。因此,对于反复高热不退、呼吸急促以及肺部影像进行性加剧的甲型流感病毒肺炎合并肺不张患儿需警惕塑型的形成。
综上所述,甲型流感病毒肺炎合并肺不张主要发生在冬春季节,3岁以下儿童多见,主要表现为反复高热、咳嗽,胸部影像学显示实变不张,可出现混合感染,除常规治疗外,纤维支气管镜检查+肺泡灌洗治疗可显著缩短患儿病程,对改善临床症状及预后至关重要。
所有作者均声明不存在利益冲突





















