
探讨儿童金黄色葡萄球菌感染引起的急性骨髓炎合并脓毒性肺栓塞(SPE)伴深静脉血栓形成(DVT)的临床特点及诊断、治疗要点。
回顾性分析天津市儿童医院重症医学科收治的1例金黄色葡萄球菌感染引起的骨髓炎合并SPE伴DVT患儿的临床特点及随访情况,并复习文献。
患儿为13岁女童,以左下肢肿痛、发热、呼吸困难为主要表现,间断左胸痛。呼吸浅促,双下肺叩诊浊音,呼吸音减低,可闻及密集湿啰音。辅助检查:3次血培养及术后骨髓培养均提示甲氧西林敏感金黄色葡萄球菌(MSSA),血浆D-二聚体0.8 mg/L,CT肺动脉造影示左肺动脉部分分支内多发充盈缺损,左下肢MRI示T2WI左侧骨髓腔内斑片状高信号,下肢血管B超示左侧DVT。诊断急性骨髓炎(MSSA)、SPE、左下肢DVT,利奈唑胺联合利福平抗感染,人免疫球蛋白抗炎、免疫支持,那曲肝素钙、华法林抗凝治疗,住院第8天行经皮下腔静脉滤器置入术及左股骨开窗引流术,患儿症状、体征逐渐好转,肺部病变吸收,左下肢DVT较前缩小、血管再通,血培养转阴,D-二聚体0.3 mg/L。
金黄色葡萄球菌感染患儿有呼吸困难、胸痛表现,要考虑合并SPE可能,尽早行肺CT动脉造影可明确诊断;诊断骨髓炎伴D-二聚体升高时,应注意合并DVT可能。早期诊断、合理的抗感染治疗及外科手术干预是治疗成功的关键。
版权归中华医学会所有。
未经授权,不得转载、摘编本刊文章,不得使用本刊的版式设计。
除非特别声明,本刊刊出的所有文章不代表中华医学会和本刊编委会的观点。
脓毒性肺栓塞(septic pulmonary embolism,SPE)是一种少见疾病,不同于血栓性肺栓塞。SPE是由来源于肺外感染灶的包含病原微生物的菌栓,造成的肺动脉及其分支的机械堵塞及炎症反应,从而引起脓毒症和肺局部脓肿[1,2] 。深静脉血栓形成(deep venous thrombosis,DVT)是指血液在深静脉腔内异常凝结,完全或部分阻塞静脉腔,导致静脉回流障碍。SPE和DVT在儿童的发生率均低于成人,国内报道较少。现总结天津市儿童医院重症医学科收治的1例甲氧西林敏感金黄色葡萄球菌(Methicillin sensitive Staphylococcus aureus,MSSA)感染致急性骨髓炎合并SPE伴DVT患儿的临床特征,提高临床医生对此症的认识。
患儿,女,13岁,主因"左下肢疼痛伴肿胀1周,发热2 d,呼吸困难1 d"入院。患儿于入院前1周出现左下肢疼痛,由膝关节逐渐向上蔓延至腹股沟处,并进行性出现左下肢肿胀伴活动受限,未注意皮温改变及皮色异常;于入院前2 d出现发热,体温最高39 ℃,予退热药后可降至正常,数小时后复升;入院前1 d出现呼吸困难,表现为呼吸促、憋气,持续不能缓解,自述间断左侧胸痛,性质描述不清,深呼吸时加重,持续数分钟可自行缓解。病程中偶有腹痛,脐周及右下腹为主,未予处理可自行缓解。于当地医院就诊,考虑"骨髓炎?、重症肺炎",相继给予头孢西丁、美罗培南及利奈唑胺抗感染治疗2 d,因患儿呼吸困难进行性加重转入我院。
患儿既往体健,否认结核等传染病接触史,预防接种无遗漏。G2P2,足月顺产,出生体重3 kg,体格及智力发育正常。父母及哥哥(20岁)身体健康,否认家族性遗传病史。入院后多次追问病史,患儿母亲诉本次发病前10余天,患儿背部曾出现多发"疖肿"样皮疹,因瘙痒抓挠后破溃。
外院检查:胸腹CT示双肺多发磨玻璃影,双侧胸膜增厚,右侧胸腔积液,盆腔积液,肝脾肾未见异常。
入院查体:体温36.3 ℃,脉搏122次/min,呼吸40次/min,血压110/70 mmHg(1 mmHg=0.133 kPa)。未吸氧下TcSO2 91%~93%,体重40 kg。神清,精神反应可;呼吸浅促,口周无明显发绀,背部可见散在色素沉着,咽略充血;双下肺叩诊浊音,双肺呼吸音减低,可闻及密集湿啰音,右肺为著;心音有力,律齐,未闻及杂音;腹略膨隆,肝脾肋下未及,无明显压痛,移动性浊音(+);左下肢肿胀伴皮温升高,无皮色改变,左大腿围49 cm,左小腿围34 cm,右大腿围44.5 cm,右小腿围32 cm,表面不红;左下肢疼痛及活动受限,双上肢及右下肢活动自如,双侧足背动脉搏动有力、对称,末梢暖;神经系统查体未见异常。
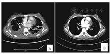
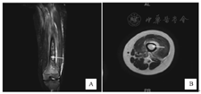
辅助检查:(1)实验室检查:血常规+镜检+CRP:Hb 98 g/L,WBC 9.96×109/L,N 84%,L 8%,单核细胞8%, PLT 83×109/L,CRP 199 mg/L。降钙素原(PCT) 26.11 ng/mL,白细胞介素-6 653.3 ng/mL,乳酸2.22 mmol/L,血沉57 mm/h,铁蛋白367.3 ng/mL,白蛋白20.8 g/L,球蛋白20.6 g/L,谷氨酸氨基转移酶15 U/L,天门冬氨酸氨基转移酶42 U/L,总胆红素11.3 μmol/L,间接胆红素3.6 μmol/L,肌酐35 μmol/L,尿素6 mmol/L。动脉血气分析:pH 7.438,氧分压(PO2)35 mmHg,二氧化碳分压(PCO2)59 mmHg,剩余碱(BE) -0.1 mmol/L。3次血培养均提示金黄色葡萄球菌(其中2次为外院检查,未行药敏试验),我院药敏结果提示苯唑西林敏感。左股骨开窗术中留取骨髓培养提示MSSA。结核菌素试验、γ-干扰素释放试验均阴性。9种呼吸道病原抗体检测阴性,血EB病毒、结核杆菌、肺炎支原体DNA均阴性。凝血酶原时间13.2 s,国际标准化比值1.14,活化部分凝血活酶时间32.3 s,凝血酶时间16 s,纤维蛋白原4.812 g/L,D-二聚体0.8 mg/L。免疫球蛋白及T细胞亚群分析正常。抗核抗体与抗可溶性核抗原抗体均阴性,狼疮抗凝物、抗心磷脂抗体和抗β2糖蛋白抗体(抗β2GP1抗体)均阴性。胸腔积液检查:WBC 858×103/L,RBC 125×106/L,N 43%,L 52%,培养(-)。(2)影像学及功能检查:肺CT示双肺多发磨玻璃影、结节及实变影,部分伴空洞形成,双侧胸腔大量积液(图1A)。肺CT动脉造影(CTPA)示左肺动脉部分分支内多发充盈缺损(图2A)。双下肢MRI示T2WI左侧骨髓腔内斑片状高信号(图3),双下肢血管B超提示左股静脉血栓(大小约50 mm×7 mm),未探及血流信号(图4)。超声心动图未见心脏结构异常及瓣膜赘生物。


A:治疗前影像,B:治疗后影像。


A:治疗前影像,箭头所指处为左肺动脉分支内充盈缺损;B:治疗后影像。


A:冠状位,B:轴位;T2WI骨髓腔(箭头所指处)不规则高信号,周围肌肉软组织肿胀伴高信号。


入院后诊治过程:根据病史、查体,结合肺CT、CTPA及下肢血管B超结果,血培养及骨髓培养均提示MSSA,D-二聚体增高,明确诊断脓毒症(MSSA)、急性骨髓炎(MSSA)、SPE、左下肢DVT。入院后立即予吸氧保证氧合,利奈唑胺(斯沃)600 mg(每12小时1次)联合美罗培南(美平)1 g(每8小时1次)静点抗感染治疗,并予人丙种球蛋白抗炎、免疫支持治疗(总量1 g/kg);维持内环境稳定及对症治疗。住院第2天确诊左侧股静脉血栓形成,请血管外科会诊,予那曲肝素钙(速碧林)0.1 mL/10 kg皮下注射抗凝治疗。住院第6天考虑无明确革兰阴性菌感染证据,停用美罗培南,加利福平225 mg(每天1次)口服联合抗感染治疗。住院第7天,于B超定位下行胸腔穿刺术,抽取胸水68 mL,并完善胸水检查。住院第8天,于全身麻醉下先后行经皮下腔静脉滤器置入术(图5)及左股骨开窗引流术,术后行负压封闭引流。住院第12天,患儿呼吸困难完全缓解,经皮血氧饱和度维持在96%~98%,予停吸氧。住院第16天,复查肺CT示双肺散在炎性实变范围较前略缩小,空洞较前略增多,右侧胸腔积液较前稍吸收。住院第17天,行皮肤和皮下坏死组织清创术,并拔除引流管。住院第21天,加用华法林口服抗凝治疗(维持国际标准化比值2.0~3.0)。患儿体温逐渐下降,住院第27天体温逐渐趋于正常。住院期间监测超声心动图未发现瓣膜赘生物及心功能异常;监测B超示左下肢深静脉血栓较前缩小、血管再通。复查2次血培养(-);感染指标降至正常。共住院34 d,病情好转出院。抗生素降阶梯为复方磺胺甲噁唑片(0.4 g∶80 mg)2片每12小时1次继续口服治疗3周。出院3周复查肺CT及CTPA示双肺磨玻璃影、炎性实变、结节影及空洞较前明显好转,双侧胸腔积液吸收;左肺动脉部分分支充盈缺损消失(图1B、图2B);D-二聚体0.3 mg/L。出院2个月,患儿可正常行走,左下肢X线检查示左股骨开窗术后骨痂形成良好,复查下肢血管B超示左股静脉血栓明显缩小(30 mm×4 mm),于我院介入科住院行静脉滤器取出术,术后2 d出院,继续口服华法林1个月,治疗结束,考虑临床治愈。


金黄色葡萄球菌是住院儿童血流感染最常见的病原体(约占10%),病死率达0.7%~5.1%[3]。近期一项澳大利亚和新西兰的前瞻性队列研究发现,金黄色葡萄球菌菌血症死亡的危险因素包括年龄小于1岁、心内膜炎、肺炎、脓毒症,以及接受万古霉素治疗(特别是MSSA菌血症)[4]。约1/3的金黄色葡萄球菌菌血症患儿会出现合并症,如脓毒性栓子、DVT及感染的转移性病灶[3]。金黄色葡萄球菌菌血症病程延长与血源性合并症的发生呈正相关,考虑与细菌播散机会增加有关[5]。尽管透析、血浆置换、肿瘤、器官移植、先天性心脏病等是公认的引起金黄色葡萄球菌菌血症的危险因素,然而约1/3的金黄色葡萄球菌菌血症患儿既往是健康的;且这部分患儿更易出现皮肤软组织及骨关节感染,考虑与这些个体对金黄色葡萄球菌的易感性增加有关[6]。另外,严重的金黄色葡萄球菌感染可发生在无基础疾病及危险因素、既往健康的人群,是由于金黄色葡萄球菌可在无症状者的皮肤、鼻前庭及喉部定植[3,7]。母丽媛等[8]进行的一项回顾性研究表明,儿童患者分离出的金黄色葡萄球菌以MSSA为主,总体耐药率较低,但金黄色葡萄球菌分离率和耐甲氧西林金黄色葡萄球菌(Methicillin-resistant Staphylococcus aureus,MRSA)检出率有上升趋势。本例患儿既往体健,无基础疾病及长期用药史,考虑为社区获得性感染,血培养明确为MSSA,分析发病过程为最初皮肤感染("疖肿样"皮疹),破溃后引起MSSA菌血症,并引发一系列合并症,包括骨髓炎、SPE及DVT。
SPE是一种少见但严重的疾病,自1970年有学者报道17例SPE[9]以来,至今多为个例或较少例数的病例报告。SPE在儿童患者中并不常见,可由骨髓炎、蜂窝织炎、泌尿道感染、右心感染性心内膜炎、血栓性静脉炎等引起[10]。SPE的临床表现缺乏特异性,大多数表现为发热、贫血、乏力等感染中毒症状,呼吸困难、胸痛、咳嗽等呼吸道症状及其他肺外感染症状;轻重程度不等,轻者可仅为轻微的呼吸道症状,重者可表现为呼吸衰竭及脓毒性休克[11,12]。因SPE起病隐匿,临床表现缺乏特异性,对于SPE的诊断比较困难,目前主要依靠病史及影像学检查,特别是肺CT检查,参考的CT诊断标准[2]为:(1)局灶或多发性肺浸润;(2)存在可作为脓毒性栓子来源的活动性肺外感染灶;(3)排除其他可引起肺浸润影的疾病;(4)经有效的抗感染治疗,肺浸润影吸收。SPE常见的CT影像学特征为伴或不伴空洞形成的结节影、磨玻璃影、楔形病灶、滋养血管/引流血管征及胸腔积液[11,13,14]。因这些影像学特征同样见于肺炎患者,特别是金黄色葡萄球菌肺炎,故进行CTPA检查对诊断金黄色葡萄球菌感染引起的SPE至关重要,其直接影像为肺动脉及其分支管腔内完全或部分充盈缺损[11]。国内外数项临床研究发现,金黄色葡萄球菌是引起SPE的最常见病原,其中多为MSSA;而皮肤软组织及骨骼是引起SPE最常见的原发感染灶[2,15,16]。本例患儿病史存在发热、呼吸困难及胸痛表现,血培养提示MSSA,存在骨髓炎,急性期及恢复期CT表现符合影像学诊断标准,并通过CTPA证实肺动脉分支内存在栓子,明确诊断SPE。
急性骨髓炎是儿童骨关节感染的最常见类型,最多侵犯长骨,血源性播散为主要感染途径,金黄色葡萄球菌为最常见病原(可达血培养阳性患儿的80%)[17,18,19]。有研究证实,MRI在诊断骨髓炎方面,敏感度和特异度可达97%~100%及92%,在病程第2~5天即可做出诊断,是目前儿童骨髓炎早期诊断的最重要影像学依据[18,19]。当早期感染部位不明确、存在多个感染灶以及因体内有金属支架或设备,不能进行MRI检查时,可选择放射性核素骨扫描明确诊断[19]。本例患儿在病前出现皮肤感染,以左下肢肿痛为首发变性,经左下肢MRI检查示T2WI左侧骨髓腔内斑片状高信号,及术中骨髓培养示MSSA,明确诊断急性骨髓炎,并考虑为血源性感染。
DVT在儿童中比较少见,因查体时发现患儿左下肢呈现弥漫性肿胀,完善下肢血管B超证实同时合并DVT。儿童DVT高发年龄段分别为婴儿期(20%)及青春期(50%),总发病率不高,但呈逐年上升趋势[20,21]。感染和脓毒症是儿童DVT最常见的危险因素[21],目前认为其机制为:感染引起宿主对侵入病原强烈的防御反应,通过内皮细胞功能损伤和炎症标志物触发凝血功能活化,同时抑制纤溶[22]。儿童DVT与急性骨髓炎症状、体征相似,当骨髓炎合并DVT时,发现所有血栓都存在于原发感染灶附近,因此诊断困难[23]。因DVT是导致原发病预后不良的危险因素,增加死亡风险,早期诊断至关重要;临床可通过血D-二聚体进行初步筛查,首选血管超声多普勒作为确诊性检查[21]。最近由Ligon等[24]进行的一项回顾性队列研究发现,急性血源性骨髓炎合并DVT的患儿大多数既往是健康的,不存在引起DVT的其他危险因素(如中心静脉置管、肿瘤、外伤、手术等)及血栓后综合征。多项临床研究证实,儿童骨髓炎合并DVT最常见的病原为金黄色葡萄球菌(MRSA更多见),且这部分患儿的血和(或)骨髓培养阳性率更高[23,24]。
Gorenstein等[25]于2000年报道了3例儿童发展为DVT、SPE及急性骨髓炎三联征,同时血培养及骨髓培养均示金黄色葡萄球菌,并分析这些患儿在诊疗过程中临床症状迅速恶化与金黄色葡萄球菌的侵袭性及DVT引起的脓毒性栓子持续脱落有关,DVT及SPE在急性播散性金黄色葡萄球菌感染的过程中起关键作用。本例患儿亦表现为上述三联征,于住院第7天确诊。对于SPE强调早期诊断,是由于其可能增加患者的病死率以及合并症(如脓肿、脓胸及支气管胸膜瘘等),需要不同的治疗干预[26]。治疗方面,强调早期强有力的抗感染治疗及适时外科手术对于感染灶的清除引流[11,12,13,16,26]。
本例患儿入院后给予经验性抗感染治疗(利奈唑胺+美罗培南)覆盖革兰阳性及革兰阴性菌,获得病原学证据后,调整抗感染方案为利奈唑胺联合利福平,于出院时降阶梯为复方磺胺甲噁唑序贯治疗,总疗程8周[19,24]。Yasuda等[27]报道1例应用利奈唑胺成功治愈的儿童MSSA感染引起的SPE,并提出鉴于利奈唑胺在肺组织分布良好及其通过抑制基因传导所呈现的抗细胞因子活性作用,应作为SPE的经验性用药。对于SPE的治疗强调抗感染为主,由于可能引起脓毒性栓子出血的风险,除合并DVT时,不主张给予抗凝治疗[11]。本例患儿于住院第2天确诊左下肢DVT,参考血管外科会诊意见,给予抗凝治疗(低分子肝素),应用3周后改为口服华法林,疗程3个月,口服药过程中监测凝血功能(INR维持在2.0~3.0)[28]。住院后患儿反复高热(热峰可达40 ℃),我院骨科会诊建议行股骨开窗引流术治疗。但因合并病灶附近DVT,麻醉及手术风险极大;考虑已予抗感染治疗1周,各项感染指标已有所下降,复查血培养阴性,故于术前行经皮下腔静脉滤器置入术,以防止血栓脱落引发的严重后果,此项操作应用于儿童在我市尚属首例。本例患儿积极抗感染治疗同时,行左股骨开窗引流术清除感染病灶,发热时间仍持续长达27 d,考虑与合并SPE及DVT有关,与文献报道一致[24,25]。
总之,对于儿童急性骨髓炎可能引起的SPE及DVT要充分重视,及时完善相关检查予以评价。早期诊断,获得病原学证据前给予合理、强有力的经验性抗感染治疗,适时的外科手术干预,是治疗成功、改善预后的关键。
所有作者均声明不存在利益冲突





















