
探讨人类疱疹病毒6B型感染的临床特征及诊治要点,提高临床医生对此病毒感染的认识。
对我院PICU收治的2例人类疱疹病毒6B型感染患儿的临床资料进行回顾性分析,并结合文献资料进行讨论。
2例患儿均经病原体高通量测序明确人类疱疹病毒6B型感染,病例1以胃肠道症状表现为主。病例2以神经系统受损表现为主,病例1虽经积极抗病毒及对症治疗,最终患儿因坏死性小肠结肠炎抢救无效死亡,病例2患儿经抗病毒及大剂量激素等治疗好转出院。
人类疱疹病毒6B型感染除了常见的发热、皮疹表现,亦可引起胃肠道症状、神经系统损害等表现,且在免疫功能正常的儿童,亦可引起严重感染。
版权归中华医学会所有。
未经授权,不得转载、摘编本刊文章,不得使用本刊的版式设计。
除非特别声明,本刊刊出的所有文章不代表中华医学会和本刊编委会的观点。
人类疱疹病毒6B型(HHV-6B)在免疫功能正常的儿童中引起的原发感染,主要表现为幼儿急疹,多为3~5 d的高热突然消失,随后出现皮疹,一般病情较轻、呈自限性。本文2例患儿临床症状却以肠道损害和神经系统受损为主要表现,且病情凶险。现对我院PICU收治的2例HHV-6B感染患儿的临床资料进行回顾性分析,并结合文献资料进行讨论,以提高临床医生对此病毒感染的认识。
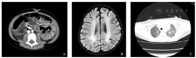
病例1,患儿,女,3岁1个月,因"发热、咳嗽5 d,腹泻4 d,全身水肿1 d"于2020年8月29日入院。既往体健。入院查体:T 38.4 ℃,P 160次/min,R 48次/min,BP 92/61 mmHg(1 mmHg=0.133 kPa),SpO2 100%。神志清,精神欠佳,颈软,颜面部及双手足水肿,咽充血,呼吸促,可见吸气性三凹征,双肺呼吸音粗,未闻及干湿性啰音,心律齐,心前区未闻及病理性杂音,腹平软,肝肋下3 cm,脾肋下未及肿大,神经系统查体无异常,全身无皮疹,指趾端未见脱皮,口唇无皲裂,未见杨梅舌,双眼结膜无充血,肛周皮肤红肿,有破损,卡疤不红。患儿入院后出现血压低,心脏超声提示心包积液,心肌酶增高明显,心包积液及外周血高通量检测示HHV-6B阳性,诊断为病毒性心肌炎,予阿昔洛韦抗病毒治疗及营养心肌后,患儿心包积液减少,血压正常,查心脏超声提示心功能正常。入院当天患儿出现腹胀腹痛伴反复腹泻及血便,查肠道病毒阴性,腹部增强CT提示肠管形态僵硬,肠壁不均匀强化,肠壁增厚,肠间隙模糊(图1A),考虑坏死性小肠结肠炎,予抗感染及对症支持保守治疗后,患儿腹胀及血便情况好转,表现为排黄稀便,偶可见血丝,偶有腹胀,排便排气后好转,未再诉明显腹痛。患儿入院后亦出现神经系统异常表现,主要表现为神志淡漠,头颅MRI提示大脑半球深部脑白质内大片状异常信号(图1B);脑电图示异常儿童脑电图:多量持续性、广泛性δ活动,两枕区尤著;查脑脊液常规及生化正常,考虑病毒性脑炎,予继续阿昔洛韦抗病毒及加用小剂量甲泼尼龙后,患儿神志转清,神经系统无阳性体征。患儿胸部CT提示肺炎(图1C),予抗感染治疗后好转。患儿住院期间予查CD19波动于4.1%~8.95%,全外显子基因检测未发现异常;后患儿病情稳定,于9月25日出院至康复医院行康复治疗。出院后19 d患儿再次因"呕吐8 d,发热伴全身水肿1 d"于10月14日转回我院治疗,入院查体:T 38.4 ℃,P 186次/min,R 32次/min,BP 80/55 mmHg,SpO2 99%。神志清,精神欠佳,颈软,咽充血,呼吸促,可见吸气性三凹征,双肺呼吸音粗,未闻及干湿性啰音,心律齐,心前区未闻及病理性杂音,腹软,腹膨隆,脐周压痛,肝肋下2 cm,脾肋下未及肿大,神经系统检查未见阳性体征,全身无皮疹,毛细血管充盈时间2 s。入科当晚患儿出现反复的血压伴心率下降,腹部膨隆进行性加重,结合患儿上次住院情况,考虑患儿存在肠坏死,完善术前准备,立即联系普外科会诊行手术治疗,但患儿予大剂量血管活性药物应用下血压仍无法维持,凝血功能极差,迅速出现肺出血及严重的电解质紊乱,最终无法进行手术,抢救无效宣告死亡。


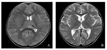
A.腹部增强CT示肠管形态僵硬,肠壁不均匀强化,肠壁增厚,肠间隙模糊;B.患儿头颅磁共振示大脑半球深部脑白质FLAIR序列呈高信号;C.胸部CT肺窗示肺野内散在密度增高影。
病例2,患儿,男,1岁2个月。因"发热5 d,反复抽搐2次"于2020年10月4日入院。入院查体:T 37 ℃,P 140次/min,R 32次/min,BP 110/90 mmHg,GCS评分9分,双眼凝视,反应差,面色苍白,全身浅表淋巴结未触及肿大,瞳孔等大等圆,直径2 mm,对光反射迟钝,颈软,无抵抗,双肺听诊呼吸音粗,未闻及干湿性啰音,心音中,律齐,心前区未闻及病理性杂音,腹软,未触及包块,肝脾肋下未触及,肢端凉,毛细血管再充盈时间3 s,双侧巴氏征阴性,肌力及肌张力正常。入院后行腰椎穿刺术,脑脊液常规:白细胞2.0×106/L,脑脊液生化:微量总蛋白3 513.3 mg/L,脑脊液病原体高通量测序:HHV-6B。10月5日头颅MRI平扫示:双侧大脑半球皮层及双侧基底节区、背侧丘脑广泛异常信号(图2A)。血尿遗传代谢病筛查阴性。结合患儿HHV-6B感染后出现发热、抽搐、意识障碍等急性脑病症状,脑脊液无细胞数升高、脑脊液蛋白水平升高及以上头颅影像结果,诊断急性坏死性脑病,予更昔洛韦抗病毒,力月西联合德巴金持续泵注止痉,甲泼尼龙大剂量冲击20 mg/(kg·d),连用3 d,人免疫球蛋白1 g/(kg·d),连用2 d。10月13日复查头颅MRI示:双侧丘脑异常信号已不明显,双侧大脑半球皮层及双侧基底节区病变较10月5日MRI明显改善(图2B)。患儿于入院第4天意识转清,未再抽搐,未遗留神经系统后遗症,于入院第11天康复出院。


A.2020年10月5日头颅MRI示T2WI背侧丘脑饱满,信号偏高;B.2020年10月13日头颅MRI示T2WI背侧丘脑异常信号已不明显。
HHV-6最早是从淋巴细胞增生性疾病患者的外周血单核细胞中分离出来的,因其具有嗜B细胞特性,最初被称为人类B淋巴细胞病毒。由于其基因序列和生物学特性与巨细胞病毒相似,因此将其划分入疱疹病毒家族。随着研究的深入,人们发现人类B淋巴细胞病毒还可感染其他细胞,如T细胞、巨核细胞、成纤维细胞等,因此将其正式命名为HHV-6[1]。根据病毒遗传学、免疫学及生物学特性,可分为A型和B型,两者同源性在96%以上。HHV-6A的流行程度低于HHV-6B,对其在疾病和传播途径中的因果作用仍知之甚少[2]。
HHV-6B的原发感染主要发生在婴幼儿期,而后病毒可长期潜伏于宿主体内,不引起临床症状[2]。此外,研究发现,HHV-6是人类疱疹病毒家族中唯一可以整合到人类染色体末端的病毒,在此情况下HHV-6的完整基因组可以整合到染色体的端粒末端,称为染色体整合的人疱疹病毒6型(chromosomally integrated HHV-6,CI-HHV-6)[3]。CI-HHV-6个体中,每个有核细胞都稳定整合一份HHV-6基因组,并以50%的概率稳定传给后代,健康人群中HHV-6的整合率为1%左右,在脑炎患者中整合率为3%,并且整合的HHV-6可以游离下来,引起HHV-6的再激活。尤其当宿主的免疫功能下降或因药物治疗而被抑制时,使原先处于潜伏感染的病毒被激活,出现相应的临床症状,但HHV-6的激活及致病的分子机制目前尚不清楚。HHV-6有嗜T细胞特性,尤其是CD4+T细胞。HHV-6的糖蛋白通过与宿主细胞表面CD46分子作用,识别和穿入宿主细胞[4]。HHV-6与CD46结合后,抑制CD46分子的补体调节功能,造成补体对自身细胞的杀伤;抑制抗原呈递细胞分泌IL-2,从而抑制Th l生成,抑制细胞免疫;促进调节性T细胞分化,从而抑制机体免疫,HHV-6可通过上调肿瘤坏死因子受体表达,诱导细胞凋亡[3]。本病例1中,患儿前期经过抗感染及对症治疗后病情好转并出院,但患儿病情反复,再次出现严重胃肠道症状,推测HHV-6基因很有可能已整合到患儿染色体的端粒末端,并且患儿持续病毒携带被再次激活,患儿多次检测示CD19明显降低,推测HHV-6极有可能对患儿的免疫系统已经造成不可逆损伤,同时可能已经导致补体调节系统失衡,造成对自身细胞的杀伤作用,最终导致患儿抢救无效死亡,至于为何此患儿以消化系统损害为突出表现,原因尚未可知,有待进一步探讨研究。
一般发生于儿童期的HHV-6原发感染,病情较轻、呈自限性,免疫功能正常的儿童原发性HHV-6感染25%~30%表现为幼儿急疹[5]。文献报道的重症感染多见于先天或继发的免疫抑制或缺陷者[6]。本文中病例1患儿全外显子检测未提示免疫缺陷病,其感染HHV-6B后突出表现为坏死性小肠结肠炎,临床表现为反复的腹泻、便血、腹胀以及肠管扩张,最终出现肠管坏死、穿孔,这在以往文献中尚未有报道。本文中病例1于血液及心包积液中同时检测到HHV-6B,却引起严重的胃肠道症状,同时合并心包积液、心肌损害及中枢神经系统症状,推测机体感染HHV-6B后可能引起了免疫功能的紊乱或炎症因子风暴,这一点在本文病例2中亦有迹可循。病例2患儿于脑脊液中检测到HHV-6B,临床出现急性坏死性脑病的相关表现,包括抽搐、意识障碍等急性脑病症状,脑脊液白细胞计数正常,蛋白水平升高,神经影像学提示双侧大脑半球皮层及双侧基底节区、背侧丘脑广泛异常信号[7]。通常坏死性脑病多见于流感季节病毒感染时,最常见感染是甲型、乙型流感病毒,目前普遍认为坏死性脑病并非病毒感染直接侵袭所致,而是中枢神经系统受累为细胞因子风暴所导致的过度免疫反应[8],这与上述病例1感染HHV-6B后引起的肠道损害相似。
治疗上,在免疫功能正常的宿主中,HHV-6只引起轻微的临床症状或无相关临床表现,一般不需要进行抗病毒治疗。部分小样本研究显示,造血干细胞移植后HHV-6相关脑炎患儿接受更昔洛韦治疗后,脑脊液中HHV-6 DNA拷贝数下降[9];另一项研究表明,磷钾酸钠、更昔洛韦亦可降低造血干细胞移植后HHV-6相关脑炎脑脊液中HHV-6 DNA拷贝数[10];西多福韦在体外对HHV-6B具有抗病毒活性[11]。目前,有研究者推荐更昔洛韦或磷钾酸钠作为抗病毒的首选治疗,西多福韦为次选方案;治疗HHV-6B相关脑炎,推荐抗病毒疗程为21 d,若治疗效果不佳者,推荐可延长至6周,但目前均缺乏药物疗效的比较研究[9,10]。急性坏死性脑病目前最有效的治疗包括免疫与抗细胞因子风暴及对症支持治疗,主要包括糖皮质激素如甲泼尼龙冲击、丙种球蛋白或血浆置换治疗,而不是抗病毒本身[12]。本病例1患儿经过21 d抗病毒治疗及小剂量激素应用后病情好转,但未复查HHV-6B DNA拷贝数即予停药,患儿后期病情出现反复,是否与过早停药有关,值得大样本进一步研究;而病例2经过10 d抗病毒治疗、大剂量甲泼尼龙及丙种球蛋白治疗后,病情好转,并予小剂量甲泼尼龙维持治疗,患儿病情无反复。
综上,HHV-6B在人群中感染率极高,以往认为免疫功能正常者几乎形成隐性感染,或只引起轻微临床症状,通过本文2例病例,提示免疫功能正常的个体感染HHV-6亦可引起各系统严重症状,甚至死亡。但病毒潜伏感染、潜伏状态如何激活、激活后在体内组织中播散以及致病的具体分子机制,抗病毒疗程,激素应用剂量、时机、疗程等均有待进一步研究。
所有作者均声明不存在利益冲突





















