
人细小病毒B19(human parvovirus B19,HPVB19)是一种无囊膜包被的单链DNA病毒,病毒颗粒直径为23 nm,属于细小病毒科,红细胞病毒属。HPVB19感染儿童多为传染性红斑症状,引起脑部神经系统感染的病例国内外少见报道,本例患儿为国内首次通过宏基因组二代测序(metagenomic next-generation sequencing,mNGS)对儿童HPVB19脑膜炎进行确诊的病例,现报道如下。
版权归中华医学会所有。
未经授权,不得转载、摘编本刊文章,不得使用本刊的版式设计。
除非特别声明,本刊刊出的所有文章不代表中华医学会和本刊编委会的观点。
人细小病毒B19(human parvovirus B19,HPVB19)是一种无囊膜包被的单链DNA病毒,病毒颗粒直径为23 nm,属于细小病毒科,红细胞病毒属。HPVB19感染儿童多为传染性红斑症状,引起脑部神经系统感染的病例国内外少见报道,本例患儿为国内首次通过宏基因组二代测序(metagenomic next-generation sequencing,mNGS)对儿童HPVB19脑膜炎进行确诊的病例,现报道如下。
患儿,男,14岁,因"发热,头痛3 d"于2021年5月29日急诊入北部战区总医院。患儿入院前3 d无明显诱因出现发热,热峰达39 ℃以上,伴头痛,前额、头顶最为明显,无明显血管搏动感,无抽搐,无精神行为异常,无意识障碍。无高血压、糖尿病、传染病、哮喘等病史,无输血史及药物过敏史,否认异物呛咳史。
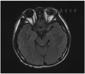
入院查体:体温37.2 ℃,脉搏80次/min,呼吸22次/min,血压90/60 mmHg(1 mmHg=0.133 kPa),意识清,精神可,营养良好,发育正常,自动体位。周身皮肤黏膜无黄染、皮疹及出血点,浅表淋巴结不大,头颅无畸形。双侧瞳孔等大等圆,对光反射灵敏,颈软无抵抗,双肺及心脏检查正常。神经系统检查:浅感觉正常,深感觉检查不配合,复合感觉检查不配合,浅反射正常,肱二头肌反射正常,双侧膝、跟腱反射正常,生理反射存在,病理反射未引出,双侧巴氏征阴性、克氏征阴性、布氏征阴性。辅助检查:血常规示白细胞计数2.9×106/L;中性粒细胞% 46.1%;淋巴细胞% 36.3%;单核细胞% 16.2%;红细胞计数5.05×1012/L;血小板计数89×109/L;血清淀粉样蛋白A 120.09 mg/L;全血C-反应蛋白4.83 mg/L。脑电图正常,头颅MRI平扫示小缺血灶,脑炎不除外(图1)。完善头部MRI检查后患儿突然出现头痛剧烈,手脚发麻,四肢颤抖,深大呼吸,情绪激动,无明显意识障碍及喷射样呕吐。初步诊断考虑重症病毒感染,中枢神经系统感染不除外。入院第2天行腰椎穿刺检查,颅内压约80 mmH2O(1 mmH2O=9.81 kPa),脑脊液常规:潘氏试验弱阳性,红细胞计数1×106/L;脑脊液生化:蛋白442 mg/L,糖2.66 mmol/L,氯119.3 mmol/L均在正常范围内,同时留取血液及脑脊液。为确定感染原,经医学伦理审核及家长签字同意后,对留存的血液和脑脊液样本进行病原微生物mNGS检测,均显示HPVB19阳性,诊断为病毒性脑炎,见表1。


右侧颞叶皮质下可见一小斑片状T2高信号,T2FLAIR呈高信号,弥散像信号不高,余脑质形态信号正常,脑炎不能完全除外。

宏基因组二代测序检测致病病原微生物的组成
宏基因组二代测序检测致病病原微生物的组成
| 样本 | 基因组 | 属名 | 序列 | 种名 | 序列 | 相对丰度(%) | 关注 |
|---|---|---|---|---|---|---|---|
| 脑脊液 | DNA | 细小病毒属 | 1134 | 人细小病毒B19 | 1096 | 96.3 | 高 |
| DNA | 单纯疱疹病毒属 | 1 | 人疱疹病毒1型 | 1 | <0.001 | 低 | |
| 血液 | DNA | 细小病毒属 | 54026 | 人细小病毒B19 | 53263 | 97.8 | 高 |
| RNA | 轮状病毒属 | 1 | A组轮状病毒 | 1 | 0.001 | 低 |
注:相对丰度:除去宿主序列之后,某微生物物种序列在相应大类物种(通常分为细菌、真菌、病毒、寄生虫4大类)中的分布比例。丰度越高,表示该物种所占比例越高。
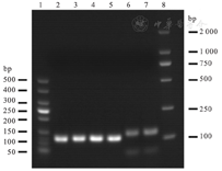
进一步,通过传统PCR扩增法以HPVB19特异性基因片段设计引物(HPVB19-NS1-F:TGCAGATGCCCTCCACCCA;HPVB19-NS1-R:GCTGCTTTCACTGAGTTCTTC)[1],进行特异性扩增(图2)并将扩增产物利用mNGS技术进行测序比对(图3),与HPVB19基因片段完全匹配。通过PCR扩增为mNGS技术检出患儿感染HPVB19提供支持。在明确病原体后,静脉注射地塞米松磷酸钠及人免疫球蛋白,并给予头孢曲松钠静脉滴注预防继发的细菌感染,但由于目前国际尚无一致认可的抗HPVB19药物且无明确诊疗规范,所以未给予抗病毒药物治疗,加用鲨肝醇片、维生素B4片口服升粒细胞对症治疗。治疗13 d后,患儿体温正常,无头痛,无呕吐腹泻等不适症状,查体未见异常,临床各项指标正常,治愈后出院。


1:50 bp DNA;2~5:HPVB19;6~7:β-Actin;8:DL 2000。


细小病毒感染非常普遍,分布于全球各地,人群感染率可达60%~70%以上,传播方式以呼吸道传播为主,也可经过血液或母婴垂直传播[2],尤以5~15岁儿童和孕妇最为易感,整个成年期发病率持续较低,70%~85%的成年人血清学证据显示过去感染过细小病毒[3]。随着HPVB19在人群中的感染逐渐增加,不同年龄不同免疫状态的人群感染HPVB19的临床表现各不相同。儿童感染后最常诱发传染性红斑;免疫功能正常人群感染后一般为轻型自限性症状;孕妇感染可造成胎儿水肿和先天性贫血,严重时导致胎儿死亡;先天性免疫缺陷患者、艾滋病患者、肿瘤或器官移植手术后进行化疗的患者感染会导致慢性贫血症、镰状细胞贫血症等血液系统疾病,患者感染会发生再生障碍性危象而导致急性贫血[2]。同时,HPVB19在神经系统的感染不断上升,与各种神经系统表现相关,包括脑炎、癫痫发作、意识障碍、脑膜炎、小脑共济失调、横贯性脊髓炎、视神经病变、神经性肌萎缩、吉兰-巴雷综合征、感觉异常和腕管综合征等[4]。Barah等[5]对129例HPVB19感染患者进行分析显示,HPVB19相关脑炎与其他病毒性脑炎临床表现差异无统计学意义,通过临床症状无法作出鉴别。随着HPVB19脑膜炎重症表现在临床的日渐突出,且HPVB19引起儿童脑膜炎的病例少有报道,Barah等[6]通过患者的临床表现,筛选出16例年龄1 d~15岁的HPVB19感染患儿,利用PCR扩增与血清学检测技术,在患者脑脊液中检出HPVB19及其抗体。HPVB19感染初期,仅有低热、不适等轻微感冒症状,脑部感染后出现头痛、发热、颈部僵硬等脑膜刺激征表现及意识改变[7]。对于多数确诊感染HPVB19并引起脑膜炎的患者,可利用特异性PCR对脑脊液进行扩增确证,但仅通过常规的血清抗体检测试验,在脑脊液中很难检出阳性且时间上具有一定延迟[8],很大程度延误病情。因此,在HPVB19感染儿童初期,临床很难通过症状确定病原体,亟需对其感染进行快速确定,及时精准治疗才能避免病情进一步恶化。mNGS技术是以环境中所有微生物基因组为研究对象,通过对样品的全基因组DNA进行高通量测序,可快速、高效、准确地获得检测样本基因组信息,分析出致病病原体,指导临床诊断和治疗。mNGS在医学病原检测中运用广泛,检测敏感度高且覆盖广,含细菌、真菌、病毒和寄生虫等[9]。与传统方法相比,其可综合分析临床样本中的疑似致病微生物,且无需培养即可鉴定[10],甚至可以发现新的病原体。2019年武汉暴发的不明原因肺炎就是Chen等[11]通过mNGS方法从患者肺泡灌洗液中检测出的一种新型冠状病毒。mNGS技术的成熟运用,正在逐步改变临床医生对感染性疾病的诊疗方式。因此,利用mNGS检测技术对未知感染下的HPVB19进行快速确定,可为儿童HPVB19脑膜炎的确诊提供高效精准支持,推进疾病治疗过程。
本研究依据文献[12,13,14]的研究方法总结出病毒性脑炎的mNGS诊断标准:(1)对比阴性对照,去除过去3个月>50%样本中出现的常见背景微生物,获得疑似病原微生物列表;(2)样本检出至少3条reads特异性比对到相应病毒物种(3条序列非重叠);(3)检出特异性reads均匀分布在整个病毒基因组;(4)阴性对照中未检出样本检出的特异性病毒reads,对已知实验室常见试剂污染微生物且阴性对照中检出时,不呈现报告;(5)检出结果符合参考文献报道且致病性与临床表现一致;(6)常见皮肤定植病毒(如指环病毒属、人乳头瘤病毒等)报告中呈现为疑似背景微生物。在本例患儿中,通过mNGS在患儿血液及脑脊液中均检测出高序列HPVB19,在抗体检测及培养均未查到相关病原的情况下,及时确定病原,为临床治疗提供依据,实现从标本采样到检测结果报告24 h内完成,为患儿的救治节省了时间。
HPVB19感染人体的症状和轻重程度不尽相同,这与患者的年龄、免疫状态等因素有关[15]。既往研究显示,HPVB19引起儿童中枢神经系统感染并不多见,本例丰富了临床医生对儿童中枢神经系统感染性疾病的认识。本例患儿并未出现典型的传染性红斑,仅以发热、头痛为主要症状就诊,由于患儿血液标本、脑脊液标本mNGS结果病原体明确,临床病毒性脑炎诊断明确、及时,救治及时,并未导致心肌炎、肝炎、急性贫血、再生障碍性贫血危象等严重并发症[16]。一般情况下,HPVB19感染为自限性疾病,且目前国际上尚无一致认可的抗HPVB19药物,HPVB19引起的病毒性脑炎也尚无明确诊疗规范,现有治疗大部分都以对症和支持治疗为主[17]。本例患儿按每千克体重1 g静脉输注人免疫球蛋白后临床症状明显好转,并以小剂量地塞米松磷酸钠注射液静脉注射免疫抑制治疗,给予头孢曲松钠静滴以抵抗细菌感染,加用鲨肝醇片、维生素B4片口服升粒细胞等支持治疗,治疗效果显著。中医认为,重症病毒感染多因外邪自口鼻、肌肤等侵入,机体正邪交争,故患儿入院时高热不退、头痛剧烈,所以加用喜炎平注射液静滴清热解毒对症治疗。由此可见,HPVB19感染的治疗并不复杂,一般抗病毒治疗及对症支持治疗即可。HPVB19感染人体后产生的抗体可长期携带,使人体终身免于再次感染该病毒[18]。因此,该病治疗的关键在于早期明确诊断,既可避免很多不必要的检查增加患者经济负担,又可及早对患者进行救治。
结合本例患儿的治疗过程及现有文献报道提示,利用mNGS检测技术对患儿脑脊液和外周血进行快速、精准检测,可为儿童HPVB19脑膜炎的病原诊断提供新思路。而国内目前利用该技术对HPVB19脑膜炎感染诊断的研究较少,尚需更多相关研究进行考证。
所有作者均声明不存在利益冲突





















