
探讨儿童特发性高嗜酸性粒细胞综合征(IHES)的临床特点与诊疗方案。
回顾性分析兰州大学第一医院儿科收治的1例IHES患儿的临床表现、实验室、胃镜和影像学、病理学检查、治疗经过,结合相关文献对儿童IHES临床特点及诊疗方案进行探讨。
患儿,女,10岁,以泌尿系统症状为首发症状,外周血、骨髓均可见嗜酸性粒细胞增多,影像学及病理学检查显示消化、泌尿、循环、血液、呼吸系统均受累,诊断IHES。给予患儿口服激素治疗后嗜酸性粒细胞明显下降,临床症状缓解,虽激素减量过程中有病情反复,再次原剂量激素口服治疗后好转,仍对激素敏感。
儿童IHES临床表现复杂多样,尽早完善FIP1L1/PDGFRA融合基因等相关检查,并结合临床表现,早诊断、早治疗,长期随访、密切监测,可改善预后。
版权归中华医学会所有。
未经授权,不得转载、摘编本刊文章,不得使用本刊的版式设计。
除非特别声明,本刊刊出的所有文章不代表中华医学会和本刊编委会的观点。
特发性高嗜酸性粒细胞综合征(idiopathic hypereosinophilic syndrome,IHES)是一组病因不明,以外周血嗜酸性粒细胞显著增多及嗜酸性粒细胞侵犯组织并造成多器官功能损害为特征的疾病[1]。IHES主要累及中年男性患者,在儿童中极为罕见,其发病率尚不明确。儿童IHES临床表现不典型,合并多器官受损者少见,易漏诊、误诊。本研究报道1例多系统损害的IHES女性患儿的诊疗过程,并回顾相关文献对该疾病的临床表现、诊断、治疗进行探讨。
患儿,女,10岁,主因"发热、尿痛1周,胸闷、腹胀1 d"于2021年9月5日入院。患儿于入院前1周出现发热,伴有尿痛,偶有咳嗽,就诊于本院门诊,查血常规+CRP:CRP 48.89 mg/L,白细胞计数19.51×109/L,嗜酸性粒细胞百分比57.6%,嗜酸性粒细胞计数11.49×109/L,血小板计数480×109/L。尿常规:葡萄糖阳性(++),潜血阳性(+),白细胞定量10个/μL。门诊建议住院治疗,家属拒绝。遂门诊输注头孢类抗生素治疗6 d,体温降至正常,咳嗽较前好转,但仍有尿痛,并出现胸闷、腹胀。患儿入院前5个月因间断尿痛于私人诊所输液抗感染治疗。否认食物及药物过敏史。否认家族遗传病史。
入院查体:体温36.8 ℃,脉搏89次/min,呼吸23次/min,血压102/56 mmHg(1 mmHg=0.133 kPa),体重51 kg。双肺听诊呼吸音粗,可闻及痰鸣音,心律齐,腹膨隆,腹围75 cm,全腹无压痛及反跳痛,肾区无叩击痛,肝脾肋下未触及,移动性浊音(+),尿道口无红肿、分泌物。
辅助检查:入院查血常规:白细胞计数16.65×109/L,嗜酸性粒细胞百分比30.4%,嗜酸性粒细胞计数4.99×109/L,血小板计数705×109/L。尿常规:酮体阳性(++++),潜血弱阳性(±),白细胞定量48个/μL,结晶475个/μL。凝血功能:FDP 33.23 μg/mL, D-D 12.5 μg/mL。肿瘤标记物:CA125 139 U/mL,人附睾蛋白469.0 pmol/L,铁蛋白237 ng/mL。25-羟维生素D 6.0 ng/mL。血细胞质量分析:中性分叶核粒细胞51%,嗜酸性分叶核粒细胞20%,成熟淋巴细胞28%,成熟单核细胞1%。腹水常规:颜色黄色,透明度微浑,凝固性无凝块,红细胞计数3 000×106/L,白细胞计数7 706×106/L,单个核细胞百分比9%,多个核细胞百分比91%,黏蛋白定性试验阳性(+);细胞学检查:有核细胞量多,以中性粒细胞为主,可见嗜酸性粒细胞(20%)、嗜碱性粒细胞(4%)。腹水生化:总蛋白43.4 g/L,碱性磷酸酶47.0 U/L,血糖4.79 mmol/L,乳酸脱氢酶218 U/L,腺苷脱氨酶6.3 U/L。腹水细菌涂片:未查到细菌。腹水细菌培养:无细菌生长。痰、尿、血培养:未见病原菌生长。骨髓涂片结果:未见任何异常细胞或寄生虫;粒系增生活跃,成熟嗜酸性粒细胞偏高占30%。骨髓活检结果:免疫组织化学:嗜酸性粒细胞增多,未见幼稚细胞及淋巴细胞增多,巨核细胞少见;流式细胞免疫荧光分析:CD34+细胞占有核细胞比例约0.50%,其免疫表型未见明显异常,粒细胞相对比例增多,其免疫表型CD13、CD15、CD16、CD11b未见明显表达紊乱,可见约40.6%的嗜酸性粒细胞;淋巴细胞相对比例减少,其中T细胞占淋巴细胞的72.0%,CD4∶CD8=1.77;NK细胞占淋巴细胞5.96%;成熟B淋巴细胞占淋巴细胞19.88%。骨髓染色体核型分析:46,XX,未见克隆样结构和数目异常。融合基因BCR/ABL、PDGFRB、PDGFRA、FGFR1、JAK2均阴性。寄生虫血清学检查:血吸虫、肺吸虫、囊虫、旋毛虫、肝吸虫、裂头蚴、包虫均未检出。过敏原检测均阴性。总IgE正常。粪便常规、生化全项、红细胞沉降率、降钙素原、T细胞亚群检测、免疫球蛋白、风湿二项、甲功五项、术前八项均正常。自身抗体全项、72 h结核菌素试验、结核γ干扰素实验、呼吸道病毒抗体8项均阴性。动态心电图监测未见明显异常。心脏彩超提示三尖瓣反流(少量)、心包积液(少量)。腹部彩超提示腹水大量,最大深度位于下腹部约73 mm。胸部CT提示:右肺散在结节;左肺上叶局限性肺不张;双肺多发索条;心包积液;双侧胸腔少量积液(图1)。全腹CT及泌尿系MRI+MRU提示:膀胱壁弥漫性不均匀增厚;腹膜弥漫增厚;腹盆腔大量积液;肠系膜根部、腹膜后、双侧腹股沟及髂血管旁多发肿大淋巴结(图2)。


A:右肺散在结节;B:左肺上叶局限性肺不张;C:双肺多发索条;D:心包积液,双侧胸腔少量积液。


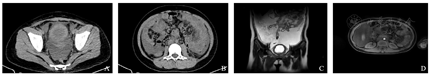
A:腹部CT横断位示膀胱壁弥漫性不均匀增厚、双侧腹股沟及髂血管旁多发肿大淋巴结;B:腹部CT横断位示腹膜弥漫增厚,肠系膜根部、腹膜后多发肿大淋巴结;C:泌尿系核磁共振T2冠状位示膀胱壁弥漫性不均匀增厚、腹盆腔大量积液;D:泌尿系核磁共振T2横断位示腹腔多发肿大淋巴结。
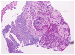
入院后暂给予抗感染、雾化吸入及双嘧达莫对症治疗,因患儿腹胀明显,且饮食欠佳,伴反酸,偶有胸骨后疼痛,于2021年9月10日完善电子胃镜显示:下段近贲门、胃体、胃窦可见糜烂灶;胃底黏膜可见少量胆汁附着。胃镜下组织活检结果:(1)食管:组织表面被覆鳞状上皮,局灶鳞状上皮轻度不典型增生,组织充血、水肿,淋巴细胞、浆细胞、大量嗜酸性粒细胞浸润;免疫组织化学结果:CK5/6[1+],ki67[上皮下1/3+,间质5%],p53[-],CD15[约400个/HPF]。(2)胃窦:黏膜腺上皮未见明显异常,固有膜内见较多嗜酸性粒细胞浸润,约200个/HPF。(3)十二指肠降部:黏膜腺上皮未见明显异常,固有膜内见淋巴细胞、浆细胞及较多嗜酸性粒细胞浸润,约100个/HPF(图3)。综合上述临床表现、实验室、组织病理及影像学检查,经多学科会诊后诊断为IHES。给予患儿口服泼尼松[1 mg/(kg·d),50 mg]治疗3 d后,复查血常规:白细胞计数10.94×109/L,嗜酸性粒细胞百分比7.3%,嗜酸性粒细胞计数0.80×109/L,血小板计数345×109/L。应用激素治疗1周后患儿未再发热,胸闷、腹胀、尿痛明显减轻,复查血常规:白细胞计数12.47×109/L,嗜酸性粒细胞百分比2.1%,嗜酸性粒细胞计数0.26×109/L,血小板计数397×109/L。凝血功能:FDP 4.88 μg/mL,D-二聚体1.21 μg/mL。复查心包积液及胸腹超声提示心包积液微量,未见胸水,腹水较前明显减少,遂出院随诊。


食管、胃窦、十二指肠降部固有膜内大量嗜酸性粒细胞浸润。
出院后规律减药,院外服药过程中每2周门诊复诊,复查血常规共6次,外周血镜检均未见嗜酸性粒细胞增多。2022年1月11日泼尼松减至5 mg×1/d。2022年1月18日因夜尿增多再次入院,查血常规:白细胞计数22.14×109/L,嗜酸性粒细胞百分比49.3%,嗜酸性粒细胞计数10.91×109/L。心脏超声提示:心包积液(微量)。胸腹超声未探及胸水、腹水。心脏超声示:心内结构未见明显异常;左室收缩及收缩功能正常;彩色血流未见明显异常。腹部超声示:肝、胆、胰、脾、双肾未见明显异常。胸部CT与前片(图1)对照:左肺上叶局限性肺不张较前复张;双肺多发索条较前减少;双侧胸腔积液、心包积液较前吸收;肺动脉增粗,主动脉弓管腔略细;食管壁弥漫性增厚(图4)。


A:左肺上叶局限性肺不张较前复张;B:双肺多发索条较前减少;C:双侧胸腔积液、心包积液较前吸收;D:肺动脉增粗,主动脉弓管腔略细;食管壁弥漫性增厚。
泌尿系MRI+MRU与前片(图2)对照:膀胱壁弥漫性不均匀增厚较前略明显;腹盆腔大量积液较前吸收;肠系膜根部、腹膜后、双侧腹股沟及髂血管旁淋巴结部分较前缩小(图5)。上调泼尼松至25 mg×2次/d,住院治疗4 d,患儿再无夜尿增多,复查血常规:白细胞计数17.58×109/L,嗜酸性粒细胞百分比7.7%,嗜酸性粒细胞计数1.35×109/L,遂出院。出院后予以口服泼尼松25 mg/早、20 mg/晚。出院后未再出现不适,规律门诊随诊及减药,每2周复查血常规均未见嗜酸性粒细胞增多,2022年3月6日停用泼尼松。截止2022年9月5日,随访患儿未复发。


A:T1横断位示膀胱壁弥漫性不均匀增厚较前略明显,双侧腹股沟及髂血管旁肿大淋巴结较前缩小;B:T2冠状位示膀胱壁弥漫性不均匀增厚较前略明显,腹盆腔大量积液较前吸收;C:T1横断位示肠系膜根部、腹膜后肿大淋巴结较前缩小;D:T2横断位示腹腔肿大淋巴结较前缩小。
传统意义上,根据外周血嗜酸性粒细胞计数将嗜酸性粒细胞增多分为轻度增高(0.5×109/L~1.5×109/L)、中度增高(1.5×109/L~5.0×109/L)、重度增高(>5.0×109/L)。1975年Chusid等[2]首次确立了高嗜酸性粒细胞综合征(hypereosinopilic syndrome,HES)的诊断标准,包括:(1)外周血嗜酸性粒细胞计数>1.5×109/L,持续6个月以上,或6个月内与高嗜酸性粒细胞疾病相关的死亡;(2)排除如寄生虫、过敏、血管炎、肿瘤等所引起的嗜酸性粒细胞增多;(3)有多系统脏器受累的依据。2011年嗜酸性粒细胞疾病和综合征工作会议组织了免疫学、变态反应学、血液学和病理学多领域专家小组,更新和完善了嗜酸性粒细胞疾病的诊断和分类标准:(1)高嗜酸性粒细胞增多症(hypereosinophilia,HE)的诊断:①外周血HE:间隔1个月以上的两次外周血嗜酸粒性细胞计数>1.5×109/L。②组织HE(满足以下1项即可):骨髓涂片中嗜酸性粒细胞百分比>有核细胞的20%;病理学检查示嗜酸性粒细胞广泛浸润组织;免疫染色显示组织中嗜酸性粒细胞衍生蛋白在细胞外广泛沉积。(2)HES被定义为外周血HE伴组织HE引起的终末器官损伤,但不强调HE持续6个月,而是间隔1个月以上的两次外周血检查满足HE即可;满足外周血HE诊断标准,并且伴有组织型HE导致的器官损伤功能障碍,除外导致器官损伤的其他疾病,亦可诊断HES。(3)按病因将HES分为3种亚型,即原发性(克隆性/肿瘤性)HES、继发性(反应性)HES及特发性HES(IHES)。原发性HES可通过FISH或PCR方法分析有无4q12 PDGFRA、5q31~33 PDGFRB、8p11~12 FGFR1或9p24 JAK2基因重排或缺失来确诊,而淋巴细胞变异性HES是原发性的一种亚型,以异常的T淋巴细胞群为特征。继发性HES多见于药物或食物过敏、感染性疾病(寄生虫、细菌、病毒、真菌等感染)、自身免疫性疾病等。满足了HES,并除外了过敏、感染、寄生虫、变应性肺病及其他血液肿瘤、肥大细胞增生等导致HE的各种继发因素后,可诊断为IHES[3]。2016年世界卫生组织提出IHES新的定义标准:外周血嗜酸性粒细胞计数>1.5×109/ L持续6个月以上,且必须伴有组织受损,并除外以下情况:反应性嗜酸性粒细胞增多症、淋巴细胞变异型嗜酸性粒细胞增多症、慢性嗜酸性粒细胞白血病-非特指型、髓系肿瘤伴嗜酸性粒细胞增多;伴有PDGFRA、PDGFRB、FGFR1重排或伴PCM1-JAK2融合基因嗜酸性粒细胞增多相关的MPNs或急性粒细胞/淋巴细胞白血病[4]。中国专家共识关于HES和IHES的定义则引用了世界卫生组织2016版的内容[5]。
本例患儿入院前5个月即出现间断尿痛,就诊于私人诊所,未完善检查仅给予抗感染治疗。入院前1周出现发热、尿痛,就诊于本院门诊,查血常规提示重度嗜酸性粒细胞增多,因家属拒绝住院,门诊未进一步完善检查,给予头孢类抗感染治疗6 d,出现胸闷、腹胀后方收入院。入院后复查外周血嗜酸性粒细胞仍明显增多,积极完善骨髓涂片、腹水病理见大量嗜酸性粒细胞,食管、胃黏膜内镜下活检病理示大量嗜酸性粒细胞浸润,影像学检查见肺、胸膜、食管与膀胱受累,提示患儿肺、胸膜、胃、食管、腹膜及膀胱多器官受损,融合基因BCR/ABL、PDGFRB、PDGFRA、FGFR1、JAK2均阴性,经多种检查,除外白血病、感染性疾病、过敏、药物反应、自身免疫性疾病等其他引起嗜酸性粒细胞增多的疾病,并且应用激素治疗有效,嗜酸性粒细胞下降与病情缓解有关,最终明确诊断为IHES。儿童IHES临床表现复杂多样,其症状和体征缺乏特异性,是一种排除性诊断,而临床上反应性或继发性嗜酸性粒细胞增多的原因又很多,故首诊常易误诊。本例患儿以尿痛为首发症状,初期未发现合并多器官受损,本院门诊查血常规示重度嗜酸性粒细胞增多,未能从多系统受累的特征进行综合考虑积极完善检查早期识别嗜酸性粒细胞增多症,导致未能早期治疗。嗜酸性粒细胞产生的嗜酸性颗粒,如碱性蛋白、嗜酸性粒细胞阳离子蛋白、嗜酸性粒细胞源性神经毒素和嗜酸性粒细胞过氧化物酶的直接毒性,以及释放细胞因子和炎症介质引起的炎症反应可累及各个系统[6]。长期的嗜酸性粒细胞增多症可影响皮肤、肾脏、肺、心脏、肌肉和神经系统,导致多系统病变,故嗜酸性粒细胞增多症的早期诊断和治疗至关重要。
IHES主要累及20~50岁的男性患者,预后较差,男女比例为9∶1[7]。儿童IHES发病极为罕见,其真实发病率和病死率尚不明确[1],目前国内外多为个案报道,女童患儿数量明显少于男童。国外文献报道,儿童IHES中皮肤、肺和心脏是最常受累的器官[8]。Pallesen等[9]报道1例10岁男性儿童,新生儿期发病,以多发瘙痒性丘疹样皮疹为主要症状,外周血及骨髓检查提示嗜酸性粒细胞显著增多,皮肤病理活检显示大量嗜酸性粒细胞浸润,FIP1L1/PDGFRA等基因检测阴性,口服激素后病情好转,皮疹消退,外周血嗜酸性粒细胞降至正常,此后有病情反复,激素联用沙利度胺治疗后长期缓解,未再复发。Hernandez-Benitez等[10]报道1例1岁5个月男童患儿,主要症状为咳嗽、发热和皮疹,外周血、骨髓活检示嗜酸性粒细胞明显增多,FIP1L1/PDGFRA融合基因检测阴性,胸部CT显示双肺弥漫性炎症,糖皮质激素治疗后好转。Massin等[11]报道1例12岁男童患儿,以发热、呼吸困难、消瘦、乏力起病,外周血示嗜酸性粒细胞明显增多,胸部正位片显示双肺浸润,超声心动图示左心室附壁血栓、二尖瓣肥厚,心脏MRI证实早期坏死性心肌心内膜病变所致心室壁血栓;糖皮质激素疗效欠佳,先后给予羟基脲、长春新碱、甲泼尼龙(静脉冲击)、干扰素α、尼罗替尼、美泊利单抗、沙利度胺多种二线药物病情未缓解;患儿因心内膜纤维化及二尖瓣肥厚持续进展导致心力衰竭,急诊行心脏瓣膜置换术,术中病理组织活检显示心内膜明显纤维增厚,可见大量嗜酸性粒细胞浸润,经造血干细胞移植后好转,但2年余病情反复,3年后死于脓毒性休克。国内文献报道,儿童IHES常受累部位是胃肠道、呼吸系统。王晶瑶和赵煜[12]报道1例8岁女童患儿,以腹胀、腹泻为主要症状,骨髓及外周血嗜酸性粒细胞增多,胸部CT显示肺实变,腹部CT显示小肠肠壁、膀胱壁增厚,胸、腹水病理见大量嗜酸性粒细胞,完善FIP1L1/PDGFRA、FGFR1、IGH等基因检测均阴性,经口服糖皮质激素治疗病情缓解,停药后随访未再发作。李微娜等[13]报道1例12岁男童患儿,主要症状为腹痛、腹泻、乏力、消瘦,外周血及骨髓涂片中见嗜酸性粒细胞异常增高,胃肠组织病理回报提示间质嗜酸性粒细胞浸润,对糖皮质激素治疗敏感。郭婕等[14]报道1例2岁男童患儿,以咳嗽和发热为首发症状,外周血象及骨髓象示嗜酸性粒细胞显著增多,胸部CT显示双肺磨玻璃样改变、支气管充气征,送检FIP1L1/PDGFRA融合基因阴性,应用糖皮质激素治疗后好转。
HES治疗主要目的是降低嗜酸性粒细胞计数和减少嗜酸性粒细胞介导的器官功能受损。目前,尚无确切的儿童HES治疗指南,但研究表明,糖皮质激素是其一线治疗方案,泼尼松推荐剂量为1 mg/(kg·d),1~2周后逐渐减量,约85%的患者接受激素治疗后1个月可达到部分或完全缓解。若减量过程中病情反复,可恢复至减量前剂量;若治疗1个月后嗜酸性粒细胞计数>1.5×109/L,或最低剂量>10 mg/d,则改用二线药物治疗[5]。当出现危及生命的并发症,如心力衰竭、呼吸衰竭时,可使用大剂量甲泼尼龙(10 mg/kg)静脉输注,症状缓解后可减量至[1~2 mg/(kg·d)][15]。
二线治疗药物选择包括伊马替尼、羟基脲、干扰素-α、环孢素、沙利度胺等。对于FIP1L1/PDGFRA阳性的患儿,伊马替尼是治疗的最佳选择,其可抑制酪氨酸激酶,推荐剂量为400 mg/d,治疗4~6周后若无效应则停药[5]。Ramzan等[16]报道,1例FIP1L1/PDGFRA阳性的HES 8岁女童仅并发双侧葡萄膜炎,导致视力下降,使用泼尼松[2 mg/(kg·d)]及甲磺酸伊马替尼(400 mg/d)联合治疗后视力显著改善,嗜酸性粒细胞恢复正常。羟基脲是一种细胞毒性药物,对于激素耐药或依赖的IHES患儿可与激素联合使用,推荐剂量为0.5~3.0 g/d[5]。Kim等[17]曾报道,1例7岁女性患儿主要表现为结膜下浸润和复发性上眼睑肿胀,并提出当嗜酸性粒细胞计数>2.0×109时可出现眼部症状,经激素联合羟基脲治疗后症状可缓解。干扰素-α是一种免疫调节因子,可抑制嗜酸性粒细胞的某些效应功能,并可直接诱导嗜酸性粒细胞凋亡,其在儿童HES治疗中尚未明确剂量,目前推荐剂量为100~500 IU/(m2·d),干扰素-α治疗嗜酸性粒细胞增多症患者可有效控制嗜酸性粒细胞计数[5]。Leblond等[18]曾报道,1例5月龄患有IHES的男性患儿使用强的松[3 mg/(kg·d)]治疗15 d后疗效欠佳,遂皮下注射干扰素-α 730 IU/(m2·d),症状缓解,后缓慢减量至600 IU /(m2·周)。环孢素是一种免疫抑制剂,其可选择性抑制T细胞的激活,推荐剂量为150~500 mg/d。周锦等[19]报道,1例以皮肤受损为临床表现的HES患儿给予泼尼松[2 mg/(kg·d)]联合环孢素[3 mg/(kg·d)]口服治疗1周后症状明显缓解。沙利度胺是一种免疫调节剂,具有抗血管生成,抑制肿瘤坏死因子-α、白细胞介素-10产生的作用,沙利度胺治疗有皮肤损害的儿童HES可获得长期缓解,尚未发现明显不良反应[9]。
其他治疗方案还包括:长春新碱、抗白细胞介素-5抗体、免疫调节剂[美泊利单抗:成人推荐剂量为≤750 mg/(kg·月)、阿伦单抗]、IVIG、细胞毒性药物(环磷酰胺、6-巯基嘌呤、甲氨蝶呤、阿糖胞苷、2-CDA),目前儿童尚缺乏药代动力学数据[8]。因药物治疗生存率为12%~80%,故对于药物治疗后复发的IHES患儿而言,造血干细胞移植将是一种可行的治疗方案。武万良等[20]报道1例6岁11个月患儿曾给予泼尼松治疗,并先后联合羟基脲、长春新碱、环孢素、干扰素-α治疗后,疗效欠佳,行造血干细胞移植后疗效显著。
本例患儿确诊IHES后口服泼尼松[1 mg/(kg·d)]1周后,外周血嗜酸性粒细胞计数及百分比降至正常,临床症状明显好转。此后激素减量过程中虽有病情反复,口服激素上调至原剂量后外周血嗜酸性粒细胞计数及百分比迅速下降,临床长期缓解后逐渐停药,说明该患儿对激素敏感。需要注意的是,该患儿合并肺、胸膜、胃、食管、腹膜及膀胱多器官受损,激素减量过程中仅关注外周血嗜酸性粒细胞计数,未定期复查胸腹部CT及泌尿系MRI+MRU对肺实质病变及食管壁、腹壁、膀胱壁增厚情况进行随访评估,需警惕复发。而且,该患儿首诊激素治疗1个月后最低剂量>10 mg/d,且减量过程中有病情反复,应考虑联用二线药物治疗。
总之,儿童IHES是一种具有挑战性的排他性诊断,需提高对该病的认识,尽早明确诊断,及时治疗,否则导致病情持续发展或反复发作,引起多器官功能障碍,预后极差。一旦确诊HES,应参考国内外指南,及早完善相关基因检测进一步明确HES具体分型,制定合理、有效的治疗方案,密切监测、治疗并发症,并长期随访。
所有作者均声明不存在利益冲突





















