
脓毒症相关性脑病(SAE)是由脓毒症所引起的弥漫性脑功能障碍,临床表现以精神状态异常改变为主,病死率高,预后差。目前SAE尚无统一诊断标准,多采取排除性诊断,主要依据临床症状和体征,结合实验室检查和影像学辅助检查进行综合分析。其中,大脑磁共振成像和量化脑电图能够早期发现脑功能异常并预测患儿预后,对SAE的早期诊断和预后评估有重要作用。脑氧监测可动态反映脑功能变化,可用于长期监测重症脑功能损伤患儿。SAE与不良预后密切相关,病死率会随着在院时间的延长而增加,因此早期识别SAE对降低病死率有重要意义。
版权归中华医学会所有。
未经授权,不得转载、摘编本刊文章,不得使用本刊的版式设计。
除非特别声明,本刊刊出的所有文章不代表中华医学会和本刊编委会的观点。
脓毒症是由感染引起机体反应失调导致危及生命的器官功能障碍综合征,具有较高发病率和病死率。由脓毒症所引起的弥漫性脑功能障碍被称为脓毒症相关性脑病(sepsis associated encephalopathy,SAE)[1],是脓毒症的一种常见并发症,同时也是造成PICU患儿死亡的主要原因之一[2,3,4]。收入PICU的脓毒症患儿中约60%合并SAE,全球PICU严重脓毒症病死率约为25%;在发达国家,严重脓毒症导致患儿在院病死率约为8.9%,而在发展中国家,PICU严重脓毒症或脓毒性休克病死率可高达19.2%~58.0%[5,6,7]。SAE的发病机制较为复杂,与神经炎症反应、缺血性损伤、神经内分泌系统功能障碍、神经递质平衡失调、血脑屏障破坏和线粒体功能障碍相关[6,8,9,10]。临床表现以精神状态改变为主,学龄期儿童可出现注意力不集中、记忆力下降、语言和定位障碍,婴幼儿可表现为烦躁不安、易激惹、哭闹和难以安抚,急性期内可能会出现睡眠-觉醒周期紊乱、意识受损或丧失、躁动、抽搐、谵妄、昏迷甚至死亡[11]。极少数患儿也可观察到脑神经功能障碍、非癫痫性肌阵挛、震颤和癫痫。SAE与不良预后密切相关,病死率会随着在院时间的延长而增加,因此早期识别SAE对降低病死率有重要意义。目前SAE尚无诊断金标准,多采用排除性诊断[12]。脓毒症患者在排除了脑外伤、脑膜炎、脑炎、脑脓肿、非感染性全身炎症反应(胰腺炎、烧伤、电解质紊乱、药物过量使用等因素造成的代谢紊乱)后,出现认知功能障碍、谵妄等神经系统功能异常表现,结合实验室检查和影像学辅助检查才能确定为SAE。由于SAE早期症状不具备特异性,因此在临床上较难及时发现。本文就儿童SAE诊断方法的相关研究进展作一综述。
不同程度的谵妄是SAE最早开始出现的症状,因此判断谵妄发生的时间有助于确定病情的发展情况。临床上有很多筛查谵妄的工具,但缺乏对SAE具有特异性的量表。ICU患者意识模糊评估量表(CAM-ICU)是目前唯一证实对SAE早期诊断有临床意义的量表工具,但其结果的可信度受操作者的影响较大[13]。格拉斯哥昏迷评分(Glasgow coma scale,GCS)用于客观描述患者意识受损程度,操作简便快捷,适用于2岁及以上人群。2岁以下婴幼儿可使用儿科GCS进行评估,其准确性稍低于传统GCS量表,但对于重症脑损伤患儿同样准确[14]。GCS是SAE的有效评估工具,也是SAE独立危险因素,与SAE预后相关,GCS评分越低,患者预后越差[15]。蒙特利尔认知评估量表(montreal cognitive assessment)是一种筛查式量表,可识别轻度意识障碍,有助于早期发现患儿意识变化。当蒙特利尔认知评估量表评分<25时可高度怀疑发生了SAE[16]。此外,儿科思维混乱评估方法、儿科麻醉苏醒谵妄量表以及康奈尔儿科谵妄评估都是专为PICU患儿设计的量表,可以用来客观判断患儿是否发生谵妄或其他神经系统异常表现。
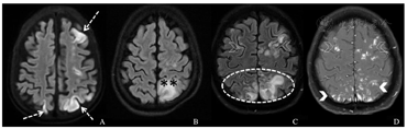
临床上最常用的脑影像学辅助诊断方法为头颅磁共振成像(magnetic resonance imaging,MRI)和头颅CT。头颅CT操作简便,对颅内出血、大面积脑梗死和较大脓肿灶敏感,可用于排除其他神经系统病变。头颅MRI,尤其是磁共振扩散加权成像对脑内细胞毒性水肿和血管源性水肿具有更高的特异性和敏感性,可发现脑内微脓肿灶。但部分患者因病情过重或出现谵妄而难以配合检查。研究发现,SAE患儿头颅MRI常表现为异常脑白质高信号、多发性缺血性卒中、内皮或内皮下出血或血肿、血管源性水肿、弥散性脑微脓肿,少数患儿可见脑萎缩和轴索损伤(图1、图2)[17,18,19,20],因此头颅MRI对SAE患儿诊断价值更高。根据脑白质高信号分级,SAE患者以2、3级多见,磁共振液体衰减反转恢复序列增强[18]。弥散性MRI急性变化也可以提示另一种特殊的脑损伤,即可逆后部脑病综合征(posterior reversible encephalopathy syndrome,PRES)。SAE是PRES的最常见病因之一,PRES可以看做SAE的一种特殊并发症,出现PRES的SAE患者常表现为全身性癫痫发作,少见或无高血压[21]。


A:虚线箭头处为双侧大脑半球前、后分水岭区弥散受限,代表分水岭梗死。B:图示左侧顶叶皮质及皮质下白质内非特异性T2信号高信号融合区(**),左侧额叶后周区可见散在微小高信号灶。C、D:液体衰减反转恢复高信号在皮质和皮质下区域(虚线椭圆形)汇合,顶叶(实箭头)结节性增强灶,特征符合可逆后部脑病综合征;额叶左侧比右侧多见异常信号强度的散在区域(虚线箭头)。


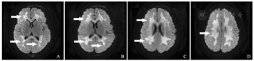
患儿,女,5岁,因呕吐、腹泻、反复惊厥致昏迷入院,诊断为脓毒症相关性脑病。图A~D为患儿入院当日MRI,扩散加权成像序列显示脑室周围白质对称性高信号,损伤区域包括半卵圆体和冠状辐射(白色箭头)。
目前缺少关于儿童SAE脑影像学检查的前瞻性研究,大部分为回顾性研究且样本量少,无法排除发病前的影像学改变,低血压、凝血功能障碍、血管加压素等混杂因素没有直接量化,不能确定脑影像学检查在SAE诊断和预后中的实际价值。
脑电图作为一种非侵入性检查工具,有助于评估SAE的严重程度,是目前临床上对SAE最灵敏的辅助检查方法。由于常规脑电图需受过专业培训的人员进行分析且报告,具有一定的主观性,国内外正在探索使用qEEG对患者进行监测。qEEG在原脑电图基础上通过傅里叶变换对原始脑电图的振幅、功率、频率和节律进行量化,从而生成数值、比率或百分比,可以更加直观地反映观察指标,易于解读。qEEG的观测指标很多,其中频谱熵(spectral entropy)和脑电双频指数(bispectral index,BIS)是近年来使用较多的两种分析方法。频谱熵是脑电非线性分析的指标,用以描述信号复杂性和规律性,临床上多用于量化麻醉深度[22]。熵值可反映脑损伤程度,熵值越高,脑损伤越轻[23]。国内有研究尝试将频谱熵作为PICU危重症患儿监测指标,结果证实频谱熵可用于评估患儿意识障碍程度,动态监测患儿病情变化[24,25]。BIS是一种通过脑电图的频率及功率进行混合处理后用数字表示的评估患者意识状态及镇静深度的有效方法,具有操作简便及抗干扰性强等特点[26]。对SAE患者进行持续BIS监测可随时了解脑损伤程度。BIS值与GCS呈正相关,BIS值越低,脑损伤程度越重[26,27]。目前国内研究表明BIS对SAE的诊断和预后有实用价值,但国外相关报道较少,且仍缺少前瞻性大规模队列研究。
诱发电位是神经系统对听觉、视觉或躯体感觉的感官刺激做出反应时产生的电信号,相较于脑电图,诱发电位更适用于需要镇静的危重症患者,有助于定位大脑潜在病变。随着神经电生理检测技术的发展,脑干听觉诱发电位、体感诱发电位(somatosensory evoked potential,SEP)、事件相关电位已在临床上得到广泛应用[28]。Zauner等[29]研究发现,严重脓毒症和(或)脓毒性休克患者的短潜伏期SEP和长潜伏期SEP峰潜伏期相比健康对照组显著延长,可早期提示严重脓毒症时脑功能异常变化。国内也有研究支持短潜伏期SEP较高波幅是预测重度脑损伤患者预后良好的指标[30]。诱发电位与EEG联合应用能清晰地反映皮质或皮质下通路损害,为临床诊断提供帮助[30,31,32]。关于诱发电位对儿童SAE患者诊断意义的研究有待开展。
TCD通过测量大脑中动脉平均血流速度间接反映脑血流量,进而评价脑灌注,是目前唯一无创评估实时脑血流的方式。儿童颅骨较薄,超声透过效果更好。马伟科[33]应用TCD评估SAE患儿,发现脑病患儿搏动指数值和阻力指数值显著高于非脑病患儿,有助于早期识别SAE。国外有研究对45例SAE患儿进行TCD监测,对数据分析后得到相似结论,同时发现搏动指数和阻力指数可以预测SAE病死率,对SAE预后有指导价值[34]。另有报道称搏动指数值高的患儿更容易发生脓毒性休克,搏动指数值>1.3可作为脓毒症患儿发生谵妄的危险因素[35]。综上,TCD能灵敏地反映脑灌注不足,有利于SAE早期诊断和预后评估,可以作为对SAE患儿进行早期干预的参考依据。
发生SAE时脑灌注不足导致神经元发生不同程度损伤,可以通过持续监测脑氧及时了解脑功能动态变化。一项前瞻性研究通过比较合并SAE脓毒症患者和非SAE脓毒症患者的局部氧饱和度及其衍生参数发现,肌氧饱和度、肌-脑组织氧饱和度梯度诊断SAE的特异度较高,脑氧饱和度诊断SAE的准确性较低[36]。另有研究证实,中心静脉血氧饱和度可以用来早期靶向监测儿童脓毒症[37,38]。脑氧监测的无创性和实时性适用于PICU长期监测重症脑病患儿,但仍需更多的临床研究证据支持。
目前已发现与SAE相关的生物标志物多达170余种,可大致分为感染相关标志物、炎症激活和免疫失衡相关标志物、器官功能障碍相关标志物和特殊标志物[35,36,37,38,39]。C-反应蛋白和降钙素原是最常见的感染指标,在脓毒症早期即可升高。成人SAE患者血浆和脑脊液中Tau蛋白、神经丝轻链蛋白、白细胞介素-8、白细胞介素-6等多个标志物水平显著升高,且与SAE病死率相关[40,41]。对SAE患儿行脑脊液检查,通常无明显异常,部分患儿蛋白轻度升高,部分患儿压力稍升高,细菌培养阴性[12]。研究发现,脓毒性休克患儿体内髓系细胞触发受体-1水平显著升高[39]。N末端脑钠肽前体、神经元特异性烯醇化酶和S100B蛋白用于反映脑损伤严重程度,多项研究证明它们的增加与SAE的严重程度呈正相关,但敏感性和特异性较低[42,43]。
乳酸作为肌肉、大脑和心脏组织的重要能量来源,一定程度上可以反映休克患者的严重程度。在危重患者中,血浆乳酸升高提示器官灌注不足和组织缺氧。多项研究表明血乳酸水平升高与儿童严重脓毒症病死率密切相关,并且可以预测患儿预后[44,45,46]。由于乳酸浓度变化太慢,不能用于指导治疗中的急性变化,但可以帮助评估整体反应,因此指南建议对SAE患儿进行评估时可以参考血乳酸水平,但不能作为评估脓毒症病情严重程度的唯一标志[47]。
SAE作为脓毒症最常见的严重并发症,病死率高,预后差,其发生与神经炎症反应、脑缺血性损伤、血脑屏障破坏和能量代谢障碍等因素有关。由于缺乏金标准,诊断SAE较为困难。目前常用诊断方法包括意识状态评估、头颅MRI、qEEG、脑诱发电位检测、脑氧监测和生物标志物检测。不同程度的谵妄是SAE最早开始出现的症状,判断谵妄发生的时间有助于确定病情的发展情况。CAM-ICU是目前唯一证实对SAE早期诊断有临床意义的量表工具。头颅MRI和qEEG能够早期提示脑功能异常并预测患儿预后,对SAE的早期诊断和预后评估有重要作用。脑氧监测具有实时性和无创性,适于长期监测重症脑功能损伤患儿,但仍需更多的临床证据支持。对于无法进行临床评估的患儿,可通过观察血清或脑脊液生物标志物浓度对其脑病严重程度进行监测。基于儿童的特殊性,早期识别SAE有助于改善患儿预后。
所有作者均声明不存在利益冲突





















