
版权归中华医学会所有。
未经授权,不得转载、摘编本刊文章,不得使用本刊的版式设计。
除非特别声明,本刊刊出的所有文章不代表中华医学会和本刊编委会的观点。
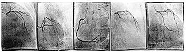
患者 男,43岁,因"反复胸前区疼痛约10 h,加重约3 h"入院。患者2014年2月5日早晨8: 00左右无明显诱因突然出现胸前区、上腹部阵发性疼痛,疼痛位置不固定,向背部放射,伴有胸闷,症状数分钟后能自行缓解,但症状反复发作,当日13: 00来我院诊治,14: 05查丙氨酸氨基转移酶(ALT) 25 U/L(正常值9~ 52 U/L)、天冬氨酸氨基转移酶(AST) 33 U/L(正常值15~ 46 U/L )、乳酸脱氢酶(LDH) 442 U/L(正常值313~ 618 U/L)、肌酸激酶(CK) 71 U/L(正常值30~ 170 U/L )、肌酸激酶同工酶(CK-MB) 20 U/L(正常值0~ 16 U/L)。患者14: 27胸痛间歇期查十二导联心电图示下侧壁导联ST段改变(图1),后患者疼痛有所好转,拟诊腹痛待查,不排除冠心病、心绞痛,给予麝香保心丸后患者离院。15: 00左右患者疼痛加重,剑突下疼痛明显,症状持续不缓解,阵发性加剧,伴有恶心、呕吐、出汗,无晕厥、心悸、呼吸困难,收入院进一步诊治。患者平素吸烟,每天约吸1包烟,否认高血压、糖尿病病史。查体:血压154/109 mmHg (1 mmHg= 0.133 kPa),两肺未闻及干、湿性啰音,心率92次/min,律齐,无杂音,腹平软,上腹部轻压痛,无反跳痛,未触及包块,肝脾肋缘下未触及,Murphy征阴性,肝肾区无叩击痛,双下肢无水肿。胸部X线片无异常。18: 25十二导联心电图无异常(图2)。18: 26查ALT 28 U/L、AST 19 U/L、LDH 433 U/L、CK 83 U/L、CK-MB 16 U/L,血糖、肾功能、血淀粉酶、凝血功能无异常。给予吸氧、严密监护、抗血小板聚集、扩张冠状动脉等处理。胸部、腹部增强CT未见胸腹部异常情况,无主动脉夹层形成。患者症状缓解不明显。22: 30查ALT 27 U/L、AST 36 U/L、LDH 431 U/L、CK 289 U/L、CK-MB 58 U/L,肌钙蛋白T 253 ng/L,血淀粉酶正常。次日0: 10十八导联心电图正常(图3, 图4)。诊断为冠心病、急性心肌梗死、心功能Killip 1级,行冠状动脉造影检查:左前降支近中段狭窄30%,对角支无狭窄;左主干无狭窄;右冠状动脉无狭窄,左回旋支近段完全闭塞;各血管间未见明显的侧支循环(图5)。手术中发现左回旋支近段严重固定狭窄并急性闭塞,予回旋支植入2枚药物支架。数天后患者病情好转出院。










急性心肌梗死的诊断通常根据典型的临床症状、心电图的特异性改变和血清生化标志物异常升高甚至冠状动脉造影而确立。虽然心电图对诊断急性心肌梗死的特异度很高,但敏感度仅为70%~80%。尸检证实,在存在心肌梗死的病例中,约有30%生前心电图无心肌梗死图形[1]。目前认为急性心肌梗死患者心电图正常,其可能机制:(1)冠状动脉多支病变,心肌多部位损伤,心电向量变化相互抵消,从而出现心电图正常的假象。此患者的冠状动脉造影结果与之不符。(2)若患者原有慢性心内膜下心肌缺血已有ST段下移和T波倒置时,则心肌梗死时ST段抬高和T波直立高耸互相抵消而使心电图表现为正常,称"伪常化"。此例患者胸痛间歇期心电图结果为部分下侧壁导联ST段压低,心肌梗死后心电图ST段无异常,结合左回旋支的严重固定狭窄,符合这种推断。(3)存在缺血预适应,或有侧支循环建立。前者是指反复短暂的心肌缺血对心肌产生保护作用,使心肌对更长时间缺血的耐受性增强。本例患者与此不符。(4)左回旋支急性闭塞时ST段无改变,该患者和此相符。左回旋支急性闭塞时体表心电图往往表现不敏感,经常不出现典型的ST段抬高图形而仅在个别导联出现ST段压低或T波倒置,甚至表现为完全正常的心电图。在Triton TIMI-38研究中,1 198例诊断为非ST段抬高型急性心肌梗死的患者行冠状动脉造影检查,结果发现314例实际上是冠状动脉完全闭塞,而其中有近一半闭塞的冠状动脉是左回旋支,说明体表心电图诊断冠状动脉急性闭塞的敏感性不高,特别是当左回旋支存在闭塞时[2]。另有研究结果显示,冠状动脉造影证实为左回旋支闭塞的急性心肌梗死中,体表心电图ST段抬高的仅占48%,压低的占45%,无变化的占38 %[3]。
左回旋支急性闭塞体表十二导联心电图可能出现的形态:(1 )V1、V2导联T波高尖,且该导联以R波为主波(R/S > 1),但是这种改变可能要在症状发作24 h才表现出来[4]。(2) V1、V2、V3导联ST段压低,这也可能是左回旋支闭塞时唯一的十二导联心电图改变。有研究者观察了20例经冠状动脉造影证实的左回旋支闭塞的急性心肌梗死心电图,均无ST段抬高,但其中61%的患者表现为V1、V2、V3导联ST段压低[5]。(3) V7、V8、V9和/或V3R、V4R、V5R导联ST段抬高,但其持续时间都较为短暂,必须在首次接诊后尽快检查。
该患者急性心肌梗死时由于心电图正常,存在急性心肌梗死的延误诊治,其原因:(1)患者缺血性胸痛的症状不典型,疼痛部位于胸前区和上腹部,不是典型的胸骨下段疼痛,而心电图又正常。(2)没有严密观察V7、V8、V9和V3R、V4R、V5R导联ST段的改变。(3)没有注意观察患者胸痛间歇期和疼痛期间心电图的变化,该患者前后心电图比较,Ⅱ、Ⅲ、AVF、V5、V6导联ST段在胸痛时较前抬高,提示存在心肌的损伤,要注意急性心肌梗死的可能,应尽早进行冠状动脉造影检查。临床工作中对于急性胸痛的患者首次接诊必须行十八导联心电图检查并动态观察其变化,同时尽可能与发病前心电图进行对比,如果还不能确诊而又高度怀疑,应该急诊给予冠状动脉造影检查明确诊断。





















