
版权归中华医学会所有。
未经授权,不得转载、摘编本刊文章,不得使用本刊的版式设计。
除非特别声明,本刊刊出的所有文章不代表中华医学会和本刊编委会的观点。
垂体促甲状腺激素腺瘤罕见,约占垂体瘤的0.5%,人群中约为百万分之一[1]。我院2014年9月收治1例,因术前准备不充分,术后发生甲状腺功能亢进(甲亢)危象,现报道如下。
男,41岁。因"四肢肌肉痛1个月"入院。患者1个月前在吹空调后出现四肢肌肉疼痛。多汗、有时心慌,大便次数多。无口渴、多尿。无晨僵,无关节痛,无发热、畏寒,未治疗。既往有低钾血症病史。查体:心率110次/min,神志清楚,智力正常,语言流利。嗅觉灵敏,耳鼻口无流血及异常分泌物,眼睑无水肿,眼球无突出,球结膜无充血,视力正常,双眼视野无缺失,眼球活动正常,双瞳孔直径2.5 mm,形状圆形,对光反射正常。甲状腺未扪及肿大,未闻及血管杂音。四肢肌力Ⅴ级,四肢肌张力正常。双手震颤。辅助检查:鞍区MRI:垂体上缘膨隆,偏右半部见类圆形T1WI稍低信号影,大小1.2 cm × 0.6 cm,边缘清楚,增强扫描呈弱强化区,垂体柄向左侧偏移。
性腺六项检查结果:促卵泡激素(FSH)12.94 U/L↓,黄体生成激素(LH)12.99 U/L,催乳激素(PRL)160.9 U/L,雌二醇(E2)243.2 μmol/L↑,孕酮(P)2.4 nmol/L,睾酮(T)44.99 nmol/L↑。甲状腺功能三项检查结果:游离三碘甲腺原氨酸(FT3)18.05 pmol/L↑,促甲状腺激素(TSH)6.68 mU/L↑,游离甲状腺素(FT4)59.61 pmol/L↑。甲状腺彩超:甲状腺未见异常。入院诊断:垂体腺瘤(垂体促甲状腺激素腺瘤)。术前准备:口服普萘洛尔10 mg,每日3次,5 d后心率降至70次/min。行全身麻醉下经蝶垂体瘤切除术,术前应用地塞米松10 mg,术中经右鼻孔入路,咬除蝶窦前壁1.5 cm × 1.5 cm大小,咬除蝶窦分隔,近右侧咬除鞍底,1.0 cm × 0.8 cm,硬膜电灼后"十"字切开,见有烂鱼肉样瘤组织,质软,血运丰富,彻底刮除,瘤腔内填塞明胶海绵。术后清醒,视力正常,眼球活动正常,瞳孔等大等圆,对光反射灵敏,肢体活动正常,拔除气管插管。当患者被搬离手术床,准备回病房时,突然心率升至167次/min,血压100/60 mmHg(1 mmHg=0.133 kPa),高热,全身皮肤潮红,大汗,考虑甲亢危象。立即给予地塞米松10 mg静脉推注,艾司洛尔降心率,物理降温。迅速静脉滴注注射用甲泼尼龙琥珀酸钠80 mg,1 h后体温降至正常。心率120次/min,艾司洛尔持续静脉泵入。24 h后患者生命体征恢复正常,双手震颤消失。术后第1天复查甲状腺功能:TSH1.17 mU/L,FT3 9.1 pmol/L↑,FT4 74.58 pmol/L↑。术后第2天:TSH 0.856 mU/L,FT3 4.36 pmol/L,FT4 25.98 pmol/L↑。术后第4天皮质醇:21.47 nmol/L↓。注射用甲泼尼龙琥珀酸钠80 mg连用3 d后,改为醋酸泼尼松10 mg口服。术后第6天出院。术后3个月复查颅脑MRI,提示肿瘤无复发。甲状腺功能三项:TSH 0.81 mU/L,FT3 4.1 pmol/L,FT4 15.53 pmol/L,均在正常范围内。影像学检查和病理检查见图1,图2,图3。


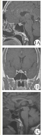
注:1A:术前头颅MRI强化(矢状位);1B:术前头颅MRI强化(冠状位);1C:术后3个月复查




注:3A:催乳激素(+);3B:促甲状腺激素(++)
垂体促甲状腺激素腺瘤的诊断:根据临床症状、内分泌血清学和动力试验异常[包括TSH、FT3、FT4、甲状腺释放激素(TRH)刺激试验]、影像学检查阳性(包括垂体MRI和甲状腺B超)和免疫组化等。诊断最关键的内分泌学特点是在甲状腺激素水平升高的基础上,测得TSH超出正常水平[2]。甲状腺可以表现为弥漫性肿大、结节性肿大或者无肿大。甲亢症状可轻可重。本例临床表现甲亢症状明显,甲状腺无增生和结节。FT3、FT4和TSH超出正常范围。
垂体促甲状腺激素腺瘤的治疗:手术切除、放疗和使用生长抑素类似物均可作为垂体促甲状腺激素腺瘤的治疗方法。治疗方法的选择应以患者的具体情况而定,如果患者能够耐受手术,手术应是首选的治疗方法,经蝶手术切除垂体腺瘤为首选的手术入路[3,4]。特别是以内分泌症状为主,无严重视神经压迫症状或有视神经减压要求的。本例证明,只要手术可以达到肿瘤全切,效果很明显,激素水平很快恢复正常。放射治疗作为手术的辅助治疗亦证明有效,当手术后残留或影像无残留但甲亢症状仍存在时,可行放疗。生长抑素类药物可使肿瘤缩小和控制甲亢症状,但不能根治,需长期或终身服药[5]。
垂体促甲状腺激素腺瘤造成的中枢性甲亢与原发性甲亢存在区别,关于围手术期处理,包括是否需要控制甲亢症状,如何控制甲亢症状,避免术后甲亢危象的发生至关重要。对于是否需要控制甲亢症状的答案是一致的,需要控制甲亢症状。但是具体采用抗甲状腺治疗还是采用针对垂体促甲状腺激素腺瘤的药物治疗尚不统一,我们知道,垂体促甲状腺激素腺瘤导致TSH分泌增多,FT3、FT4增多,出现甲亢症状。有学者主张术前只采用常规的抗甲状腺药物(丙硫氧嘧啶),抑制甲状腺素的合成,控制甲亢症状[3]。但术前采用抗甲状腺治疗,不能控制中枢性甲亢,但可抑制甲状腺素的合成。李桂林等[6]报道7例术前接受抗甲状腺治疗,服药后心率降低,体质量增加,大便次数减少,但基础代谢率仍高出正常范围,FT3、FT4没有明显变化,血清TSH反而升高。另外,抗甲状腺治疗还有诱导TSH细胞腺瘤呈侵袭性增长,长期应用者侵袭性垂体腺瘤占52%,未应用者占26%[7]。增加肿瘤纤维化的程度,造成术中难以全切。而针对垂体促甲状腺激素腺瘤的药物生长抑素类药物奥曲肽,影响TSH腺瘤中的TSH糖基化,使其生物活性下降,可控制80%患者的甲亢症状,并使40%患者的肿瘤缩小。李桂林等[6]还报道,应用生长抑素类似物(奥曲肽),在3周内获得了控制甲亢和肿瘤缩小的双赢结果。术中发现肿瘤质软,有坏死,和周围结构有明显边界,可以达到完全切除肿瘤的目的,这是抗甲状腺药物和直接手术患者所不能实现的,所以他们认为在围手术期中枢性甲亢控制方面,生长抑素类药物比抗甲状腺药物有着明显优势。邹积典等[8]报道1例术前误诊原发性甲亢3年,并长期服用抗甲状腺药物丙硫氧嘧啶,术前FT3 8.73 pmol/L,TSH 9.33 mU/L,FT4 25.16 pmol/L,说明服用抗甲状腺药物不能控制中枢性甲亢。术前未给予针对垂体促甲状腺激素腺瘤的药物,术中见肿瘤呈淡黄色,质软,彻底刮除瘤组织,术后给予地塞米松10 mg静脉滴注,连用3 d,TSH、FT3、FT4水平很快恢复正常范围,患者术后未发生甲亢危象,随访2年未复发。说明应用抗甲状腺药物对该例垂体促甲状腺激素腺瘤未造成肿瘤侵袭性增长及增加肿瘤的纤维化程度。
由于垂体促甲状腺激素腺瘤非常罕见,文献报道不多,作者对该病的认识及经验不足,本例术前仅用普萘洛尔控制心率,未用抗甲状腺药物或针对垂体促甲状腺激素腺瘤的药物治疗,导致术后甲亢危象的发生,造成患者生命危险。通过本例垂体促甲状腺激素腺瘤术后甲亢危象,作者意识到,高度重视甲亢症状明显的垂体促甲状腺激素腺瘤围手术期的甲亢控制,术前应用抗甲状腺药物或针对垂体促甲状腺激素腺瘤的药物治疗,改善患者由于甲亢导致的机体异常的高代谢状态,选用生长抑素类药物或比抗甲状腺药物更有针对性,以防术后甲亢危象的发生。





















