
版权归中华医学会所有。
未经授权,不得转载、摘编本刊文章,不得使用本刊的版式设计。
除非特别声明,本刊刊出的所有文章不代表中华医学会和本刊编委会的观点。
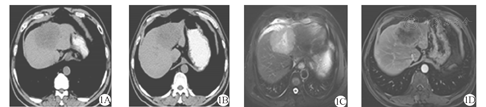
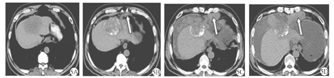
患者 男,57岁,乙型肝炎病史20余年。患者以"右上腹不适1周"为主诉入院。上腹部平扫CT(2015年10月21日)示:肝内Ⅳ段及Ⅷ段交界处可见8.2 cm × 6.2 cm团片状低密度区(图1A、图1B)。上腹部增强MRI(2015年10月22日)示肝左叶团块影,增强扫描病灶边缘不规则强化(图1C、图1D)。实验室检查:乙型肝炎表面抗原(HBsAg)阳性,甲胎蛋白(AFP)833.40 μg/L,癌抗原(CA)19-9 108.58 kU/L,肝功能Child-Pugh分级B级。临床诊断为原发性肝细胞癌,巴塞罗那肝癌分期(BCLC)B期。患者无介入治疗禁忌证,于2015年10月29日行肝动脉化疗栓塞术(TACE),术中造影见肝内肿瘤轻度染色(图2A),超选后肝右动脉予以碘化油5 ml +吡柔比星5 mg缓慢栓塞,辅助明胶海绵微粒(350~560 μm)50 mg+吡柔比星10 mg栓塞至肿瘤染色消失(图2B)。为明确病理诊断,术中经皮经肝超声定位下穿刺活检(16 G COOK活检针),术后病理(图3):肝细胞癌。术后第4天复查:AFP 263.50 μg/L,CA19-9 233.4 kU/L,肝功能基本正常。1个月后复查:AFP 712 μg/L,CA19-9 512.3 kU/L。于是,2015年12月7日再次行TACE,术中造影见肝肿瘤轻微染色(图4A),予以50 mg明胶海绵微粒(350~560 μm)10 mg+雷替曲塞2 mg+奥沙利铂50 mg栓塞肿瘤,造影见肿瘤染色消失(图4B)。第1次TACE术后1个月(2015年12月10日)复查上腹部CT示肝内见团片状、点状高低混杂密度影,较大切面为7.3 cm × 6.2 cm,局部突出于肝包膜之外,腹膜及肝被膜下见多发小结节状影,提示腹膜转移(图5A、图5B)。第1次TACE术后3个月(2016年2月14日)复查上腹部CT示肝内病灶较前缩小,腹膜多发结节状较前增多、增大(图5C);复查AFP上升至6 028 μg/L,腹水脱落细胞检查为腺癌。为控制腹膜转移瘤进展,患者口服索拉非尼(200 mg/次,2次/d)和腹腔灌注化疗(每3周腹腔灌注洛铂、雷替曲塞、香菇多糖及苦参碱)。第1次TACE术后6个月(2016年5月14日)复查上腹部CT提示肝内病灶缩小,坏死明显,但腹膜转移灶较前增多、增大,腹水较前增多(图5D);复查AFP >10 000 μg/L。患者于2016年6月20日不慎摔倒出现意识模糊伴发恶心呕吐,呕吐物为咖啡样物,随后出现心脏、呼吸骤停,临床死亡。


注:1A和1B:肝内Ⅳ段及Ⅷ段交界处可见8.2 cm × 6.2 cm团片状低密度区,边界不清,密度欠均匀,中心可见坏死液化区;1C:上腹部MRI示肝内团块状稍长T2信号影,8.0 cm × 7.0 cm;1D:增强扫描示病灶边缘不规则明显强化,内部见斑片状未强化区


注:2A:术前造影见肝内团块状肿瘤染色,肝左右动脉供血;2B:肝动脉化疗栓塞术后造影见肿瘤染色消失


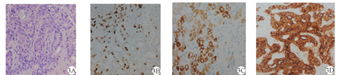
注:3A:肝癌细胞HE × 400;3B:肝细胞单克隆抗体HepPar-1细胞质颗粒状阳性EnVision × 400;3C:绒毛蛋白抗体Villin阳性EnVision × 400;3D:Ki-67阳性(40%)EnVision × 400


注:4A:RH导管入肝动脉造影见肝左叶肿瘤染色,肝左动脉供血为主;4B:肝动脉化疗栓塞术后造影见肿瘤染色消失


注:5A:术前;5B:术后1个月;5C:术后3个月;5D:术后6个月
原发性肝细胞癌常见的转移途径为肝内、血行及淋巴转移,此外还可以发生少见的种植转移。从肝表面脱落的癌细胞可种植在腹膜、橫膈及盆腔等处,可引起血性腹水。原发性肝细胞癌伴腹膜转移从尸检和腹腔镜检查中的发生率为2%~6%[1]。Kaido等[2]的研究结果显示,肝细胞癌破裂是腹膜转移的一个独立危险因素,游离的癌细胞种植于腹膜从而引起转移。腹腔转移病灶的治疗多采用手术切除。Thomas等[3]报道8例肝细胞癌手术切除患者,发现腹膜转移后再次行腹膜转移灶手术切除,中位生存时间为13.8个月;即使同时切除肝内原发灶及腹膜转移灶的患者中位生存期为11.6个月。上述研究结果显示,单纯切除肝内肿瘤与同步切除肝内肿瘤及腹膜转移灶比较,患者的生存期没有明显差异,同样提示伴发腹腔转移患者预后欠佳。本例患者病理检查诊断为原发性肝细胞癌伴腹膜多发转移,因患者拒绝手术切除,我们在应用微粒型栓塞剂药物栓塞治疗,包括巨块型肝癌在内的各种难治性肝癌,取得良好疗效的基础上[4,5,6,7],本例患者在2次TACE治疗过程中,均采用350~560 μm微粒型栓塞剂,混合化疗药物治疗肝内原发肿瘤,肝内病灶显著缩小至疾病临终期仍处于稳定,而且TACE术后肝功能恢复迅速,肝内肿瘤的治疗取得了良好疗效。但令人遗憾的是,疾病演进过程中,肝内病灶虽然长期处于稳定状态,血清AFP也一过性显著降低,但随着腹膜转移灶的出现和进展,AFP快速持续增高,虽然立即给予分子靶向药物联合腹腔灌注化疗等综合治疗措施,腹膜转移灶仍然难以控制,病情在短期内进展迅速。该病例提示:(1)原发性肝细胞癌伴腹腔转移发生率低,但预后很差。即使在肝内病灶控制良好的情况下,没有有效方法治疗腹膜转移病灶,并不能改变患者远期疗效。(2)尽早进行包括分子靶向药物、化疗等以全身治疗为主的多学科综合治疗,可能有助于延长伴腹膜转移的原发性肝细胞癌患者的生存时间,取得更好的临床疗效。





















