
版权归中华医学会所有。
未经授权,不得转载、摘编本刊文章,不得使用本刊的版式设计。
除非特别声明,本刊刊出的所有文章不代表中华医学会和本刊编委会的观点。
急性前庭综合征(acute vestibular syndrome,AVS)是一组以急性眩晕为主要症状,或伴恶心、呕吐、眼球震颤以及步态不稳的临床综合征。AVS分为外周性和中枢性两种类型,中枢性AVS多累及小脑和脑干。内侧纵束孤立性病变临床极少见,可表现为头晕、核间性眼肌麻痹等症状和体征。现将我们在临床工作遇到的3例单纯内侧纵束梗死引起的AVS报道如下。
例1女,68岁,既往有高血压病史,平素口服氨氯地平片(5 mg/次,1次/d)及坎地沙坦酯(8 mg/次,1次/d)降血压治疗,未监测血压。患者因"头晕伴恶心6 h"入院。6 h前与他人争吵后出现头晕、视物旋转、行走不稳伴恶心、呕吐。无视物不清以及复视,无言语不清及饮水呛咳,无吞咽困难,无肢体麻木无力,无意识障碍及肢体抽搐。入院查体:双肺呼吸音清,未闻及干湿性啰音;心率78次/min,律齐,心脏各瓣膜听诊区未闻及杂音;腹软,无压痛及反跳痛;双下肢无水肿。神经系统查体:意识清楚,言语流利。双侧瞳孔等大同圆,光反应灵敏;双眼可见水平向右眼震,水平头脉冲试验(horizontal head impulse test,h-HIT)向左阳性,凝视诱发眼震阴性。四肢肌力5级,肌张力正常。共济运动完成好;双侧病理征阴性。深浅感觉无异常。入院后行头颅磁共振检查示脑干梗死(图1)。给予口服阿司匹林肠溶片(100 mg/次,1次/d)抗血小板聚集、阿托伐他汀钙片(20 mg/次,1次/d)调节血脂;静脉滴注银杏叶提取物注射液70 mg+ 0.9%氯化钠注射液250 ml(1次/d)改善循环等治疗。患者症状好转后出院。嘱继续行脑梗死二级预防治疗。


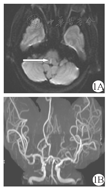
注:1A:DWI示内侧纵束高信号,提示内侧纵束梗死;1B:脑血管成像示轻度脑动脉硬化
例2男,72岁,既往有高血压病史,未服用降血压药物以及监测血压。因"头晕伴恶心1 d"入院。患者1 d前无明显诱因感头晕,主要表现为感觉自身上下晃动,行走不稳,伴恶心,无呕吐。无复视,无肢体麻木无力,无言语不清及饮水呛咳。症状于活动后加重并持续存在。入院查体:心肺腹检查未见明显异常。神经系统查体:意识清楚,精神不振,言语流利。双侧眼球各方向运动充分,双眼可见水平向左持续眼球震颤,h-HIT向右侧阳性,凝视诱发眼震(gaze-evoked nystagmus,GEN)阴性;余颅神经征阴性。四肢肌力、肌张力正常。无偏身痛觉减退。双侧指鼻试验及跟膝胫试验稳准。双侧病理征阴性。行头颅磁共振示脑干梗死灶(图2)。脑梗死明确,给予口服阿司匹林肠溶片(100 mg/次,1次/d)抗血小板聚集、瑞舒伐他汀钙片(10 mg/次,1次/d)调节血脂,并给予其他对症支持治疗,病情好转后出院。


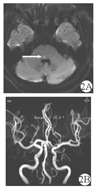
注:2A:DWI示内侧纵束高信号,提示内侧纵束梗死;2B:脑血管成像示轻度脑动脉硬化
例3男,68岁,既往有高血压及2型糖尿病病史,平素未服用药物,未系统监测血压及血糖。患者因"头晕1 d,复视12 h"入院。患者1 d前无明显诱因出现头晕,视物旋转,行走不稳;伴恶心,无呕吐,无视物不清,无肢体麻木无力等不适,未诊治,症状持续存在。12 h前患者突然出现复视,头晕仍持续不缓解,遂就诊于我院。入院查体:意识清楚,言语流利。GEN阳性,水平头脉冲试验向右侧阳性。双侧面纹对称,伸舌居中,四肢肌力肌张力正常,双侧病理征阴性,深浅感觉无异常。入院当天行头颅磁共振示脑干梗死(图3)。入院后给予口服阿司匹林肠溶片(100 mg/次,1次/d)、氢氯吡格雷(75 mg/次,1次/d)抗血小板聚集、阿托伐他汀钙(20 mg/次,1次/d)调节血脂,并给予相应对症支持处理,病情好转后出院。


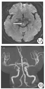
注:3A:DWI示内侧纵束高信号,提示内侧纵束急性梗死;3B:脑血管成像未见明显异常
内侧纵束位于脑干中线两侧,是由前庭神经核向中线两侧发出,沿第四脑室底中线两侧纵行排列的上、下行复合纤维束,贯穿于脑干全长;向上可止于第Ⅲ、Ⅳ及Ⅵ对脑神经核,向下可至副神经核和颈髓前角,是所有类型眼球共轭运动的最终通路,在前庭眼反射中起着重要的作用。其中水平性前庭眼反射和AVS关系密切,其外周感受器位于水平半规管,兴奋性刺激经由同侧前庭神经传至前庭神经核,经内侧纵束上行至对侧展神经核,展神经核一方面发出神经纤维支配同侧外直肌,另一方面由中间神经元再次经由内侧纵束将纤维投射至对侧动眼神经核的内直肌亚核从而支配内直肌[1]。h-HIT可快速检测水平性前庭眼反射的完整性,对于AVS患者,h-HIT阴性提示前庭眼反射通路完整,头晕极有可能由其他部位中枢性前庭传导通路受损所致;h-HIT阳性则提示反射通路遭到破坏,提示前庭周围性眩晕可能性大,同时亦少部分是由中枢(前庭神经进入带、桥臂、前庭神经核等)受损所致[2]。故h-HIT阴性对于诊断中枢性AVS意义可能更大。本组3例患者均表现为首次发作的AVS。除1例(例3)发病存在复视以及凝视诱发眼球震颤外,余2例除水平单向眼球震颤外均缺乏其他神经缺损的症状和体征。3例患者h-HIT均为阳性,提示前庭眼反射通路受损,通常情况下考虑前庭周围性眩晕可能性大,极易误诊为前庭神经元炎[2]。在缺乏影像学证据前提下,无法单从临床症状上区分外周性和中枢性AVS,极易漏诊和误诊。
为进一步区分周围性AVS和中枢性AVS,研究者将h-HIT、GEN以及扭转偏斜三种体征应用临床区分AVS,总结为头脉冲-眼震-扭转偏斜(head impulse-nystagmus-test of skew,HINTS),HINTS阳性(GEN阳性或h-HIT阴性或扭转偏斜阳性)提示为中枢性AVS,反之则为周围性AVS,其敏感度为100%、特异度为96%[3,4]。本组3例患者除例3外另2例均为HINTS阴性,故单纯依靠HINTS也容易误诊,提示HINTS对单纯内侧纵束患者作用可能有限,应结合头颅影像学检查明确诊断。
Newman-Toker等[5]报道34例中枢性AVS患者,其中3例h-HIT阳性,均为中年患者,病灶分别为前庭小脑、桥臂以及迷路,均为小脑前下动脉供血区域,发病机制1例考虑为心源性栓塞,另外2例考虑为大动脉粥样硬化。和其所报道的3例不同,本组3例均为老年患者,既往均有高血压病史,入院相关检查未发现存在其他脑血管疾病的危险因素。病灶累及内侧纵束。解剖上内侧纵束位于脑干被盖区域,为基底动脉长旋动脉供血区域,基底动脉长旋动脉除供应内侧纵束外尚供应内侧丘系、面神经核、展神经核、脊髓丘脑束等神经核以及传导束。上述患者发病机制考虑为长旋动脉自身或其小分支病变所致。而上述患者头颅MRA后循环血管未见明显狭窄以及动脉硬化斑块,也支持患者发病机制为小血管病变。
综上所述,临床上我们应该加强对少见部位梗死引起AVS的重视,特别是内侧纵束,有时单从临床症状很难区分。其发病机制可能以小血管病为主,高血压可能是主要病因,其h-HIT可表现为周围性眩晕特点;同时HINTS对此类患者作用可能有限,也提醒我们对于表现为AVS并且有脑血管病危险因素的老年患者,应尽早完善影像学检查进一步除外脑梗死。





















