
版权归中华医学会所有。
未经授权,不得转载、摘编本刊文章,不得使用本刊的版式设计。
除非特别声明,本刊刊出的所有文章不代表中华医学会和本刊编委会的观点。
急性早幼粒细胞性白血病(acute promyelocytic leukemia,APL)已成为可治愈的疾病,但疾病早期严重的肺、脑等重要脏器出血常导致早期死亡,是影响治愈的主要原因。弥漫性肺泡出血(diffuse alveolar hemorrhage,DAH)是APL致命的并发症,本文报道1例APL诱导治疗中并发DAH的病例。
女,29岁。于2016年6月23日因"反复牙龈出血、皮肤淤点淤斑1周"入院,血常规:白细胞计数1.41 × 109/L,中性粒细胞计数0.12 × 109/L,血红蛋白68 g/L,血小板计数27 × 109/L。凝血功能:凝血酶原时间16.1 s,纤维蛋白原1.43 g/L。生化检查、彩超、胸部DR、头颅CT未见异常。外周血细胞形态:可见异常早幼粒细胞。骨髓细胞涂片:骨髓增生明显活跃,粒系增生明显活跃,占79%,比例增高以形态异常的早幼粒细胞为主,细胞体积增大,胞质丰富,可见奥氏小体、双核。免疫分型:异常细胞群体主要表达CD9、CD13、CD15、CD33、CD38、CD64、CD117、CD123、MPO,部分表达CD2。骨髓活检:弥漫的髓系幼稚细胞增生。基因检测:PML-RARα阳性。染色体:del(2)(p21);t(15,17)(q22;q21)。诊断:APL。
明确诊断后当日开始维甲酸20 mg每日2次诱导分化治疗,6月26日予MA方案治疗(米托蒽醌11 mg每日1次,共3 d,阿糖胞苷100 mg每12 h 1次,共7 d)。7月1日患者出现发热,体温38.5 ℃,无伴随症状,考虑感染,按粒细胞缺乏合并发热指南处理,先后予头孢哌酮钠舒巴坦钠、亚胺培南西司他丁钠、利奈唑胺联合头孢哌酮钠舒巴坦钠抗感染后,患者仍有发热,体温波动在37.0~38.9 ℃。7月8日予重组人粒细胞刺激因子125 μg皮下注射,每日1次以促进粒细胞恢复,重组人白细胞介素- 11 3 mg皮下注射,每日1次,以升高血小板。期间白细胞监测结果见图1。7月9日体温降至正常,未再发热。


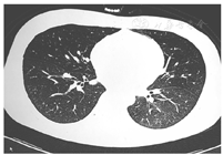
7月10日(化疗后第8天)血常规:白细胞计数1.58 × 109/L,中性粒细胞计数1.09 × 109/L,血红蛋白61 g/L,血小板计数17 × 109/L,当日11:20患者出现咳嗽,咳少量白痰带血丝,余未见出血,亦无呼吸气促等其他不适,予完善G试验,并予止咳糖浆对症处理。18:30患者咳嗽加重,并咳血2次,量约15 ml,予床边监测,血压118/72 mmHg(1 mmHg=0.133 kPa),脉搏105次/min,动脉血氧饱和度0.71,双侧中下肺可闻及细啰音,立即予4 L/min中流量给氧,动脉血氧饱和度升至0.94,查血常规:白细胞计数3.34 × 109/L,中性粒细胞计数3.1 × 109/L,血红蛋白50 g/L,血小板计数10 × 109/L;凝血功能:活化部分凝血活酶时间正常,凝血酶原时间18.6 s,纤维蛋白原3.65 g/L,降钙素原0.24 μg/L,C反应蛋白38.87 mg/L,B型脑钠肽前体1 503 ng/L,血气分析提示Ⅰ型呼吸衰竭,胸腹CT可见右肺上叶后段、左肺上叶尖后段、左肺舌段、右肺中叶、双肺下叶弥散多发斑片状阴影及磨玻璃影,边缘模糊,腹部重要脏器未见明显异常,考虑双肺多发炎性反应,并肺泡内积血(图2)。诊断:弥漫性肺泡出血。立即停用维甲酸、重组人粒细胞刺激因子及重组白细胞介素-11,予甲泼尼龙琥珀酸钠500 mg静脉滴注,并予无创呼吸机辅助通气,头孢哌酮钠舒巴坦钠、利奈唑胺、伏立康唑抗感染,垂体后叶素止血,以及成分血输注。次日患者临床情况稳定,床旁胸片与CT对比大致相似,完善床边纤维支气管镜检查并行肺泡灌洗,镜下各支气管未见出血,多肺段灌洗见血性灌洗液,常规留取标本送检及培养。


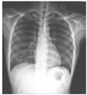
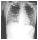
7月12日床旁胸部X线片(图3)示病灶好转吸收,完善风湿三项、免疫六项、自免十二项、结核抗体、抗中性粒细胞胞质抗体、磷脂综合征二项以及G试验,结果回报均阴性。至7月14日患者情况保持稳定,甲泼尼龙琥珀酸钠予逐渐减量,改为80 mg静脉滴注,每8 h 1次,并复查骨髓检查。7月15日床边胸片示病灶继续吸收,停无创呼吸机后复查血气仍提示Ⅰ型呼吸衰竭,深部痰培养出产超广谱β内酰胺酶的肺炎克雷伯菌(亚胺培南敏感),改亚胺培南西司他丁钠、伏立康唑维持,骨髓涂片报告当日回复:骨髓增生减低,G=41%,E=1.5%,G/E=27.67∶1。粒系增生减低,可见约7.5%原始、早幼粒细胞,破碎细胞易见,提示疾病未缓解,予亚砷酸10 mg静脉滴注,每日1次,继续诱导分化。7月18日情况稳定,甲泼尼龙琥珀酸钠继续减量,改为80 mg静脉滴注每日2次,其后每3~4天予减量1次,减至10 mg后维持至出院后。7月22日血常规:白细胞计数1.92 × 109/L,中性粒细胞计数1.56 × 109/L,血红蛋白83 g/L,血小板计数91 × 109/L,粒细胞缺乏恢复,情况稳定,停无创呼吸机。8月12日(亚砷酸治疗第29天)复查骨髓:骨髓涂片:骨髓增生活跃,粒系增生活跃,见个别早幼粒细胞,分叶略多于杆状核粒细胞。PML-RARα融合基因拷贝数<20,PML-RARα/ABL1<0.001。免疫残留:原始-前体细胞约占有核细胞的0.5%,CD34+细胞约占0.09%,未见免疫表型明显异常的细胞。评价疾病完全缓解。改甲泼尼龙10 mg每日1次口服维持治疗。8月11日复查胸部CT炎性反应基本吸收(图4),患者情况稳定于8月16日出院。8月22日复查胸部X线片(图5)心肺均未见病变,无呼吸系统后遗症,停甲泼尼龙。定期返院序贯诊疗,疾病均未复发,至今生存。






急性早幼粒细胞白血病约占急性髓系细胞白血病的10%,多数患者的骨髓中早幼粒细胞可见Auer小体,并存在t(15;17)染色体异常以及PML-RARα融合基因,发病时伴有中至重度的血小板减少和严重的凝血功能障碍。凝血功能障碍包括弥漫性血管内凝血、膜联蛋白Ⅱ上调、促凝物质释放增加等[1]。最早该病预后不佳,但随着维甲酸及亚砷酸的应用及强有力的支持治疗降低了该病的早期病死率,改善了远期预后,使其成为高度可治愈的白血病[2,3]。尽管如此,仍有3%~10%的患者在疾病早期死亡,在排除选择性偏倚后病死率甚至更高,而严重的出血仍是早期死亡的首要原因[4]。
弥漫性肺泡出血是APL致命的并发症,典型的DAH表现为呼吸困难、咯血、贫血及弥漫性肺内浸润,若合并感染或存在系统性红斑狼疮等基础疾病时可有发热,出现急性呼吸衰竭。DAH发生的原因按机制可归为三类:(1)冷球蛋白血症、白塞综合征、各类小血管炎等导致中性粒细胞浸润引起肺泡毛细血管损伤,红细胞渗出,并有病理性血管炎。(2)凝血障碍、弥散性血管内凝血、系统性红斑狼疮等微观层面的上皮损伤导致红细胞的渗出,无病理性血管炎。(3)骨髓移植、化疗及放疗、感染、恶性肿瘤等导致的弥漫性肺泡损伤引发DAH,此种类型以肺泡内透明膜形成,肺间质水肿及微量炎性反应为特征表现,常导致急性呼吸窘迫综合征[5,6]。
DAH是致命的疾病,由于临床发生率偏低,漏诊误诊情况较多,故早期的识别对预后十分关键。虽然DAH的诊断并不复杂,典型的临床症状,加上血性的支气管肺泡灌洗回收液见含有大量红细胞及含铁血黄素巨噬细胞即可确立DAH诊断[6]。但由于DAH发生率低,症状及体征缺乏特异性,甚至部分患者起病时并无咯血[7],导致与肺炎、急性心力衰竭等鉴别困难,不能及时地选择针对性的检查和治疗。故对于新出现咯血,或咳嗽、呼吸困难伴有血红蛋白进行性减低的患者应当考虑DAH可能,全面系统的检查,严密的监测,可以帮助尽早地识别DAH,避免漏诊误治。纤维支气管镜能直接观察气管及其黏膜的情况,能到达指定部位行灌洗治疗,经其获得的深部痰液标本的病原学及药敏检查可靠性强[8],而且多肺段的血性灌洗回收液对DAH的诊断具有重要意义,故对可疑的病例尽早行纤维支气管镜检查是必要的。此外,对APL患者,临床还需注意与维甲酸综合征(RAS)相鉴别,RAS典型表现为咳嗽、呼吸困难、发热,影像学亦有肺部浸润表现,可导致急性呼吸衰竭,与DAH相区别的是RAS常伴有胸膜或心包的渗出,肺泡出血罕见,CT及肺泡灌洗检查可帮助鉴别[9,10]。对于难以确诊的患者,肺穿刺活检或开胸活检有助于明确诊断,但可能导致病情加重,需要谨慎评估获益及风险。
DAH的治疗主要包括三方面:(1)去除病因(如停用可疑药物)或针对基础疾病进行治疗。(2)强有力支持治疗,如止血、纠正凝血功能紊乱、成分血输注、恰当的氧疗等,有助于控制出血,稳定生命体征。(3)大剂量糖皮质激素。Metcalf等[11]对63例骨髓移植相关的DAH患者进行回顾分析,发现高剂量糖皮质激素治疗组(注射用甲泼尼龙琥珀酸钠用量大于30 mg每日1次,多数为125~250 mg每6 h 1次用4~ 5 d)较低剂量组和单纯支持治疗组有更高的生存率,而低剂量组(注射用甲泼尼龙琥珀酸钠用量小于30 mg每日1次)与单纯支持治疗组间生存率比较差异无统计学意义(P>0.05)。此外,尽管三组患者在DAH后继发各种类型感染的发生率都很高(单纯支持治疗组42%,低剂量组30%,高剂量组42%),但组间比较差异无统计学意义(P>0.05),说明高剂量的糖皮质激素治疗是有效的,并且未增加感染风险。目前国内外均将糖皮质激素作为各种原因导致DAH的一线治疗,首选注射用甲泼尼龙琥珀酸钠,用量尚无统一标准,一般用量为125 ~ 250 mg静脉滴注,每日4次,用4~5 d,最大可用至500 mg每6 h 1次,维持4~5 d,视情况逐渐减量,而是否长期维持取决于基础疾病的情况。
本病例取得良好的治疗效果得益于早期识别和及时针对性治疗。患者出现咳嗽症状后,10 h内血红蛋白下降了11 g/L,咳血症状亦不突出,但很快出现呼吸衰竭。可见,DAH进展迅速,症状缺乏特异性,尤其无典型咳血表现时早期识别十分困难。考虑患者为年轻女性,无既往特殊病史,在病情逐渐稳定的情况下突然出现变化,故迅速完善了系统的实验室检查。因为胸部CT检查的分辨率高于胸部X线检查,并且在影像上没有重叠,可以观察结构的横断面,在诊断方面更为可靠[12],故我们选择全胸及全腹CT检查而非胸部X线检查,这对于后续诊断和及时的针对性治疗尤为关键。随后床边胸片监测表明大剂量糖皮质激素治疗发挥了预期作用,阻断了DAH的进展,强力支持治疗以及经验性广谱抗感染治疗为病情的好转争取了时间,确保了病情平稳转归。
本例患者DAH的病因尚不明确。体外实验显示重组人粒细胞刺激因子和维甲酸的联合应用可促进早幼粒细胞的分化[13]。经维甲酸诱导后分化成熟的早幼粒细胞会浸润到包括肺在内的多个器官[14]。故我们猜测本例DAH是由于化疗之后重组人粒细胞刺激因子的应用使得中性粒细胞快速恢复,并在维甲酸的作用下分化成熟并浸润于肺,引发了肺毛细血管及肺泡的炎性反应,最终导致DAH发生。
总之,DAH是APL少见而凶险的并发症,目前缺乏明确有效的预防方法,其预后取决于早期识别和及时针对性治疗。由于DAH的症状缺乏特异性,故加强对其认识,争取尽早地识别并给予针对性治疗尤为必要。





















